Cartilage Flashcards

(44 cards)

1
Q

What are the main functions of cartilage?

A

Semi-rigid support to many specific cells
Shock absorber
Protects ends of bones

How well did you know this?
1
Not at all
2
3
4
5
Perfectly
2
Q

Ligaments provide:

A

stability of joints and connect bone to bone

How well did you know this?
1
Not at all
2
3
4
5
Perfectly
3
Q

Tendons provide:

A

Strong, flexible connects between muscle and bones

How well did you know this?
1
Not at all
2
3
4
5
Perfectly
4
Q

Where does the skeletal system originate from ?

A

undifferentiated mesenchymal cells that can differentiate into various cell types: bone, fibrous tissue

How well did you know this?
1
Not at all
2
3
4
5
Perfectly
5
Q

Where is differentiation and maturation most advanced?

A

at the center of mass of growing cartilage; immature at periphery (perichondrium)

How well did you know this?
1
Not at all
2
3
4
5
Perfectly
6
Q

Completion of growth of cartilage mass consists of…

A

chondrocytes embedded in a large amount of extracellular matrix

How well did you know this?
1
Not at all
2
3
4
5
Perfectly
7
Q

What happens at the periphery of the mature cartilage?

A

There is a zone of condensed CT (perichondrium), containing elongated fusiform cells that resemble fibroblasts. These cells give rise to chondroblasts

How well did you know this?
1
Not at all
2
3
4
5
Perfectly
8
Q

When is cartilage avascular?

A

In adult, though young animals have blood vessels in growing cartilage

How well did you know this?
1
Not at all
2
3
4
5
Perfectly
9
Q

What type of tissue does cartilage support?

A

Soft tissue

Composed of cells (chondrocytes) that are embedded in an amorphous gel-like substance and connective tissue fibers, making this tissue resilient

How well did you know this?
1
Not at all
2
3
4
5
Perfectly
10
Q

Why is important for cartilage to support soft tissue?

A

For longitudinal bone growth – endochondral ossification

How well did you know this?
1
Not at all
2
3
4
5
Perfectly
11
Q

What are the stages of chondrogensis?

A

a = embryonic mesenchyme

b= proliferation and early differentiation

c = chondroblasts separate from each other due to production of matrix

d = multiplication of cartilage cells in aggregates

How well did you know this?
1
Not at all
2
3
4
5
Perfectly
12
Q

Isogenous group

A

cluster of chondrocytes formed through the division of a progenitor cell; found in hyaline cartilage, elastic cartilage, and fibrocartilage

How well did you know this?
1
Not at all
2
3
4
5
Perfectly
13
Q

What is endocondral ossification?

A

cartilage in physes matures, dies, mineralized and forms scaffold to form bone – longitudinal growth of bones

Primary ossification centers form first at epiphyses

How well did you know this?
1
Not at all
2
3
4
5
Perfectly
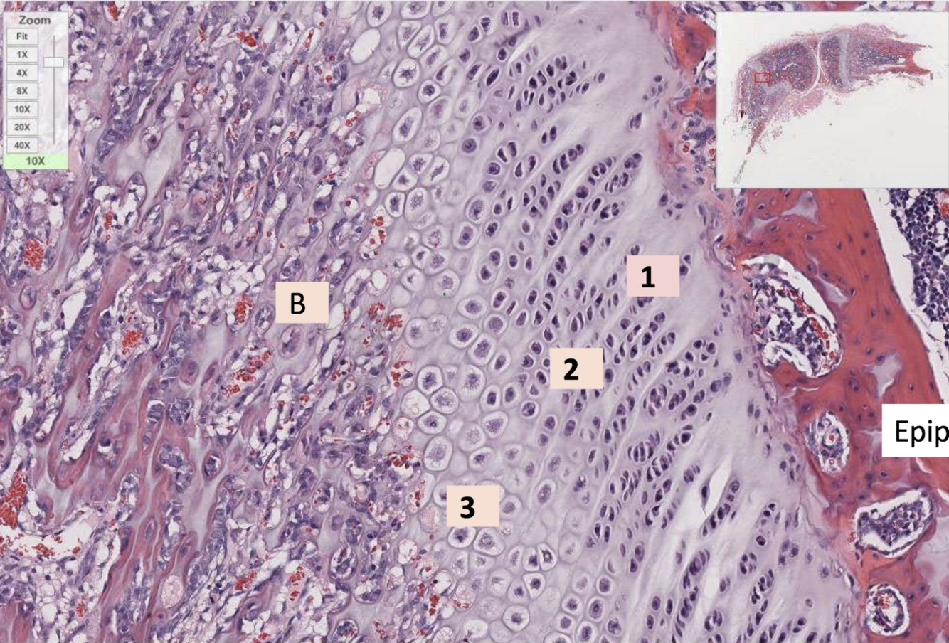
14
Q

Growth plate (physis)

A
  1. Zone of reserve/resting cells
  2. Zone of proliferation
  3. Zone of hypertrophic cells
    B. Primary spongiosa - bone forms on dead mineralized cartilage “scaffold”
How well did you know this?
1
Not at all
2
3
4
5
Perfectly
15
Q

What are the type of cartilage based on?

A

the amount of collagen or elastic fibers present in the extracellular matrix as well as the presents of GAGs

How well did you know this?
1
Not at all
2
3
4
5
Perfectly
16
Q

What are the types of cartilages

A
  1. Hyaline
  2. Elastic
  3. Fibrocartilage
How well did you know this?
1
Not at all
2
3
4
5
Perfectly
17
Q

Describe Hyaline cartilage

A

Most abundant cartilage

Location: growth plates = physes

Articular cartilage covers joint surfaces at costochondral junctions of the ribs, the nasal septum, larynx, tracheal rings and bronchi

Fetal axial and appendicular skeletal

Perichondrium: presented

How well did you know this?
1
Not at all
2
3
4
5
Perfectly
18
Q

Describe Elastic Cartilage

A

Perichondrium, chondroblasts and chondrocytes in large lacuna

Elastic fibers stain dark

Flexible due to the presence of numerous bundles of branches in elastic fibers in cartilage matrix

Location: Ear pinna (external auditory), epiglottis, the corniculate and cuneiform processes of the arytenoid cartilage

19
Q

Describe Fibrocartilage

A

Lacks a perichondrium - therefore does not have the capacity to regenerate

Contains chondrocytes and lacunae and type 1 collagen fibers

Features are intermediate between cartilage and dense fibrous connective tissue

Location: where support and tensile strength are required: Intervertebral discs (annulus fibrosus) menisci, insertions of tendons and ligaments, mandibular symphysis, pubic symphysis

20
Q

What is the matrix of cartilage

A

composed of collagen, elastic fibers, proteoglycans (GAGs)

21
Q

Outer layer of perichondrium

A

the outer layer is composed of dense fibrous CT; resembles mature fibroblasts.

22
Q

the inner layer of perichondrium

A

The inner layers is cellular and it is presented in all hyaline cartilage EXCEPT on articular surfaces → inner layer: is chondrogenic, contains cell with the capacity to become chondroblasts (can regenerate) BUT not present in articular cartilage

23
Q

What is the reason for the cartilage matrix to be so basophillic

A

due to the high concentrations of GAGs `

24
Q

What are the importance of GAGs

A

Bound to a protein core form macromolecules called proteoglycans that are responsible for strong and flexible property of cartilage → shock absorption (increase ground substance)
Give rise to different types of cartilage

25
What is territorial
the matrix near the clusters of chondrocytes more basophilic due to the greater amount of GAG than the matrix further away from the chondrocytes (interterritorial) The tissue surrounding chondrocytes (cells which produce cartilage)
26
What is (interterritorial)
The matrix further away from the chondrocytes the matrix that occupies the majority of space between chondrocytes
27
Chondroclasts
breakdown/absorption of cartilage
28
Chondrocytes
mature cells embedded in cartilage matrix within lacunae
29
Chondroblasts
Deposit cartilage matrix
30
What is tendon primary composed of?
primarily composed of type 1 collagen (elastic and strong) Parallel bundles of type 1 collagen fibers in tendon
31
Mature tendon?
Mature tendon cells have a limit ability to regenerate: Following injury, a tendon lays down type III collagen → stronger than type I but stiffer and less elastic → makes it less flexible and prone to re-injure when the animal begins to stretch the tendon during strenuous work
32
What are the types of joint?
Fibrous joints (Synarthroses) Cartilaginous (Amphiarthrosis) Synovial (Diarthrosis/true joints)
33
What is Fibrous joints (Synarthroses)
Bones or cartilage united by fibrous tissue suture (cranial), Syndesmosis (tibia-fibia) Gomphosis (tooth socket)
34
What is Cartilaginous (Amphiarthrosis)
unites cartilage and bone by hyaline cartilage or fibrocartilage
35
What is Synovial (Diarthrosis/true joints)
units two bone ends and are covered by articular cartilage and surrounded by a thick articular capsule
36
Bone surface is covered by
hyaline cartilage (articular cartilage)
37
What is the articular surface?
should be smooth; formed by type II collagen and proteoglycans; avascular → limited capacity for repair + nourish from synovial fluid
38
What is the articular capsule?
thick sac of connective tissue that covers the entire joint and provide additional joint stability
39
What is the synovial membrane
thin membrane with lots of vili superficial lined by a continuous layer of specialized cells
40
What are the type of cells found in the synovial membrane
Type A and Type B cells
41
What are type A cells of the synovial membrane
Phagocytic function - remove debris
42
What are the type B cells of the synovial membrane
secrete hyaluronic acid & protein complex (mucin) into synovial fluid = lubricant, protectant + nutrition to joints
43
What is synovial fluid?
clear, viscous, colorless or slightly yellow fluid produced by synoviocytes (low cellularity and low protein content); function is to reduce friction; increases in many joint diseases (effusion)
44
What is lacunae
Lacunae are spaces in which bone cells are present. The main purpose of a lacuna in bone or cartilage is to provide a home for the cells it contains while also keeping them alive and functional. In bones, lacunae encase osteocytes; in cartilage, lacunae enclose chondrocytes.