Endocrine Flashcards

(33 cards)

1
Q

What are the primary endocrine hormones

A
  1. Pituitary gland (Hypophysis cerebri)
  2. Pineal gland (Epiphysis cerebri)
  3. Thyroid gland
  4. Parathyroid glands
  5. Adrenal glands
How well did you know this?
1
Not at all
2
3
4
5
Perfectly
2
Q

What are the functions of the endocrine organ

A

Internal environment, Energy production,
storage, and utilization, Reproduction, Growth & development

How well did you know this?
1
Not at all
2
3
4
5
Perfectly
3
Q

What is the role of the hypothalamus

A

ventral pt. of the diencephalon

Integrates nervous system + endocrine system (neurosecretory neurons)

homeostasis

No BBB

How well did you know this?
1
Not at all
2
3
4
5
Perfectly
4
Q

What are the two parts of the pituitary?

A

Anterior pituitary/adenohypophysis and Posterior pituitary/neurohypophysis

How well did you know this?
1
Not at all
2
3
4
5
Perfectly
5
Q

What are the three parts of the anterior pituitary

A

Parsdistalis
Parsintermedia
Parstuberalis

How well did you know this?
1
Not at all
2
3
4
5
Perfectly
6
Q

What are the two parts of posterior pituitary

A

Infundibulum
Parsnervosa

How well did you know this?
1
Not at all
2
3
4
5
Perfectly
7
Q
A

Located ventral to hypothalamus (H), near optic chiasm (O)

Lies in hypophyseal fossa of sella turcica (ST)

Pituitary gland (P) = 2 parts

Anterior pituitary or adenohypophysis (AP)

Posterior pituitary or neurohypophysis (PP)

Anterior pituitary envelops posterior pituitary

How well did you know this?
1
Not at all
2
3
4
5
Perfectly
8
Q

Origin of the anterior pituitary

A

Epithelial from the roof of pharynx

How well did you know this?
1
Not at all
2
3
4
5
Perfectly
9
Q

Origin of the posterior pituitary

A

Neuroectordermal from dienchephalon

How well did you know this?
1
Not at all
2
3
4
5
Perfectly
10
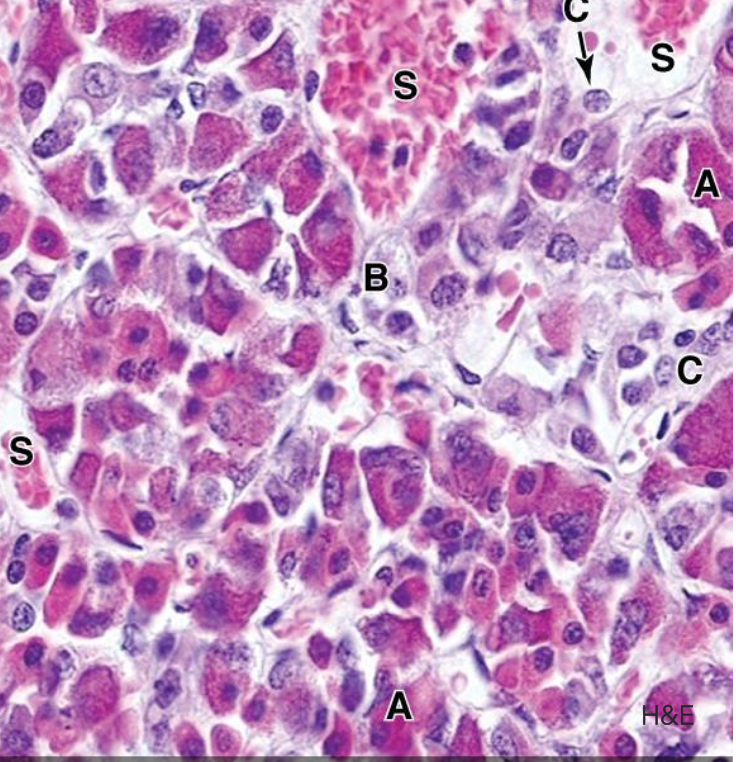
Q

Pars distalis in H&E stain

A

Chromophils (stimulating horomones)
- Acidophils (PRL, GH) -
- Basophils (LH, FSH, ACTH and TSH)

Chromophobes (C)

Sinusoids

How well did you know this?
1
Not at all
2
3
4
5
Perfectly
11
Q

Adenohypophysis:
Pars distalis immunohistochemical stain for Luteinizing Hormone (LH)

A

cells in the anterior pituitary are difficult to differentiate based on H&E stains

Immunohistochemical (IHC) stains have
been developed to identify the cells

Antibodies attach to LH and then a secondary stain that is easy to visualize is applied

Neoplasia and research

How well did you know this?
1
Not at all
2
3
4
5
Perfectly
12
Q

Adenohypophysis: pars intermedia

A

Species differences in size

Lies between pars nervosa and pars distalis

Contains large pale cells produce large molecule proopiomelanocortin (POMC)

POMC cleaved into endorphins, melanotropins (parenchymal cell) and lipotropins

How well did you know this?
1
Not at all
2
3
4
5
Perfectly
13
Q

Hormones of Neurohypophysis: posterior pituitary

A

Stores hormones made in hypothalamus
for release directly into blood stream

Antidiuretic hormone (ADH)
Oxytocin

How well did you know this?
1
Not at all
2
3
4
5
Perfectly
14
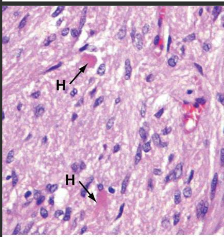
Q

Neurohypophysis : pars nervosa

A

Unmyelinated nerve fibres (neurosecretory)

Herring bodies (H) store ADH and oxytocin

Pituicytes (Glial cells)
- Indistinct on H&E
- Provide support

How well did you know this?
1
Not at all
2
3
4
5
Perfectly
15
Q

Hormones of the hypothalamo- pituitary axis

A

Clusters of neurosecretory neurons (paraventricular and supraoptic nuclei) that monitor HOMEOSTASIS

RELEASING HORMONES
- GnRH, TRH, CRH, GHRH, PRF
- ADH and OXYTOCIN

The pituitary gland secretes STIMULATING HORMONES

How well did you know this?
1
Not at all
2
3
4
5
Perfectly
16
Q

Pineal Gland

A

Pinealocytes secrete MELATONIN
* Blood vessels
*Neuroglial supporting cells

Responds to stimuli detected in the retina
Darkness stimulates pinealocyte secretion of MELATONIN –> circadian 24 hr rhythm

Reg. of rhythmic body activity

Seasonal reproduction
* Long day and short day breeders

17
Q

Thyroid Gland

A

Regulated by TSH secretion

18
Q

Follicles (Thyroid gland)

A
  • Cuboidal follicular cells secrete THYROGLOBULIN
  • Stored in follicle lumen (COLLOID) and combined with IODINE
  • Cuboidal follicular cells convert colloid to active THYROXINE→ increases basal metabolic rate, thermogenesis, gluconeogenesis
19
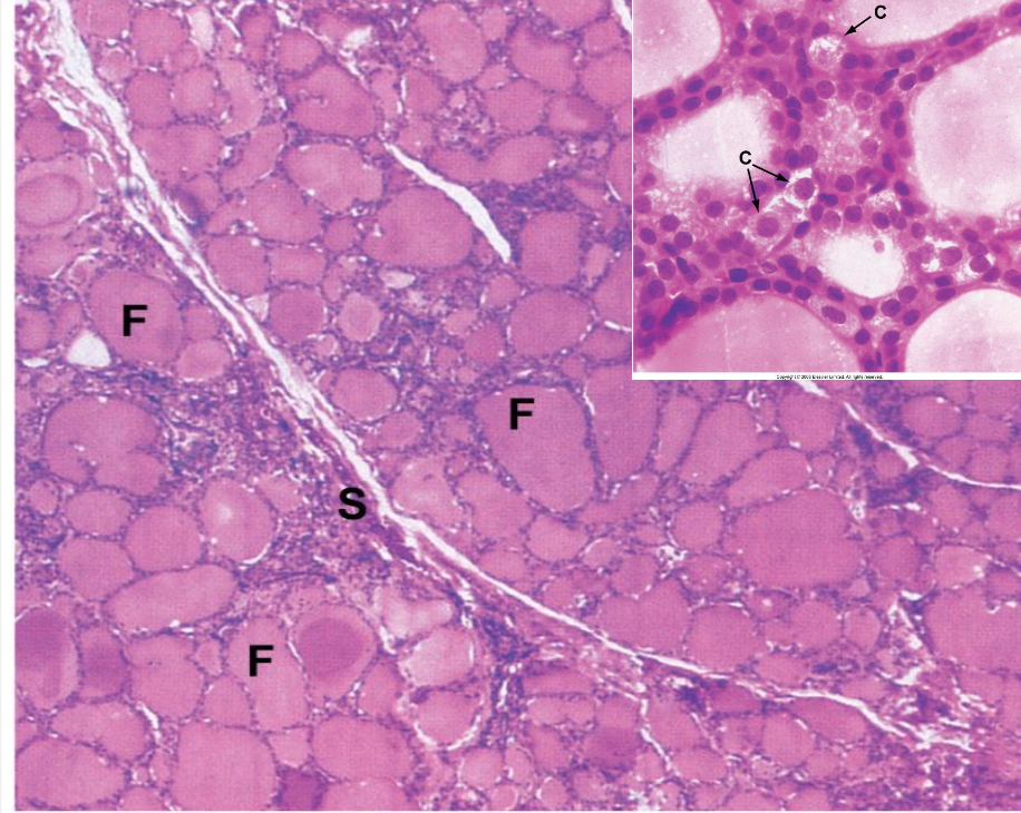
Q

PARAFOLLICULAR ‘C’ cells (C)

A

Large pale, round
Secrete CALCITONIN (in response to
increased plasma calcium)
Decreases plasma calcium
Decreased osteoclast activity– > calcium stored in bone
Increased renal excretion

20
Q

What thyroid follicle is less active?

21
Q

Parathyroid Gland

A

CHIEF CELLS secrete PARATHORMONE (PTH) in response to decreased plasma calcium

PTH increases plasma calcium
- Stimulates osteoclasts –> bone resorption and calcium release
- Increases intestinal uptake
- Increases renal resorption

22
Q

Adrenal glands

A

Cortex originates from mesoderm (3 ZONES)

Medulla originates from neural crest
- Modified neurons and secrete catchecolamines

23
Q

Layers of the adrenal cortex

A

Zona glomerulosa
Zona fasciculata
Zona reticularis

24
Q

Zona glomerulosa

A

Mineralocorticoid (ALDOSTERONE→
Na+/H2O resorption and K+secretion at distal convoluted tubule→increase blood pressure)

25
Zona Fasciculata
Glucocorticoid (CORTISOL→liver, skeletal muscle, adipose, immune cells)
26
Zona reticularis
Sex steroids (WEAK ANDROGENS→ male characteristics)
27
Adrenal Medulla
Large sympathetic ganglia cells * Vascular sinusoids Chromaffin (phaeochromocytes) cells secrete EPINEPHRINE and NOREPINEPHRINE * Pale, foamy cells (ADRENALINE and NORADRENALINE) * Fight and flight response stimulate sympathetic nervous system
28
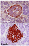
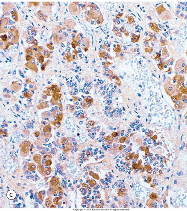
Pancreatic Islets of Langerhan
Alpha cells - GLUCAGON - Cholecystokinin - Gastrointestinal peptide Beta cells - INSULIN Delta cells - Somatostatin
29
Enteroendocrine cells
Groups or individual hormone producing cells that act in the digestive system Gastrin Cholecystokinin Gherelin Known by many names previously - Diffuse neuroendocrine cells - Enterochromaffin cells - Enterochromaffin-like cells - Amine precursor uptake and decarboxylation cells (APUD)
30
Heart as a secondary endocrine organ
Atrial myocardial cells Secrete Atrial Natriuretic Peptide (ANP) ANP promotes Na+ and water loss, decreases blood pressure ANP Target: Distal convoluted tubules of kidneys
31
What are the two hormones produced by kidneys
Renin and Erythropoietin
32
Erythropoietin
Controls erythropoiesis (red blood cell production) -It is a cytokine for red blood cells precursors
33
Renin
- produced by juxtaglomerular cells - Part of Renin-Angiotensin-Aldosterone System (RAAS) - Involved in control of blood pressure