What is Osteoporosis
Osteoporosis is a health condition that weakens bones, making them fragile and more likely to break. It develops slowly over several years and is often only diagnosed when a fall or sudden impact causes a bone to break (fracture).
Embryonology of the parts of the bones
What is osteogenesis and ossification
What are the Classifications of bones:

Bone histology:



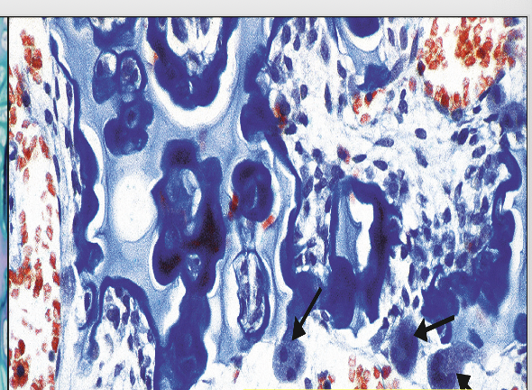
Decsribe Woven Bone
Describe the Parts of a long bone

Where does provisional calcification start in the growth plate?

What are the ones labelled G,H,O,R

G = Growth zone
H= hypertorphic zone
0 = ossification zone
R= Remodelling zone

What are labelled

Osteoid and osteoclasts
What is the sequence of longitudinal growth in long bone
Describe Diametric Growth in long bones
What factors affect bone growth?
Membranous ossification - Describe the main steps
How do osteoclasts work with osteoblasts in th ebone remodelling cycle

Pleuripotent mesenchymal stem cells: What can they differentiate into?

What are the 3 aetiotypes of frctures
What are thr 4 phases of fracture healing:
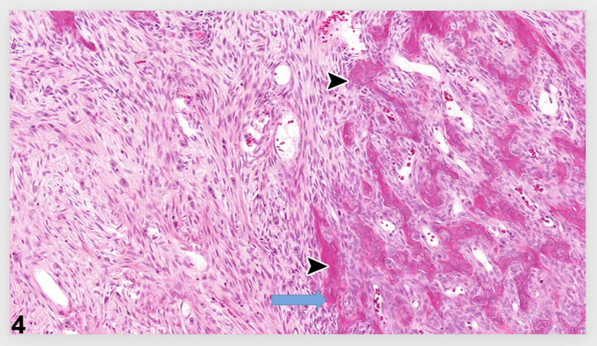
Cement lines in bone

The cement line, which is the interface between the ‘fibers’ (osteons) and extraosteonal bone matrix, may impart important mechanical properties to compact bone.
What are the 3 stages of fracture healing

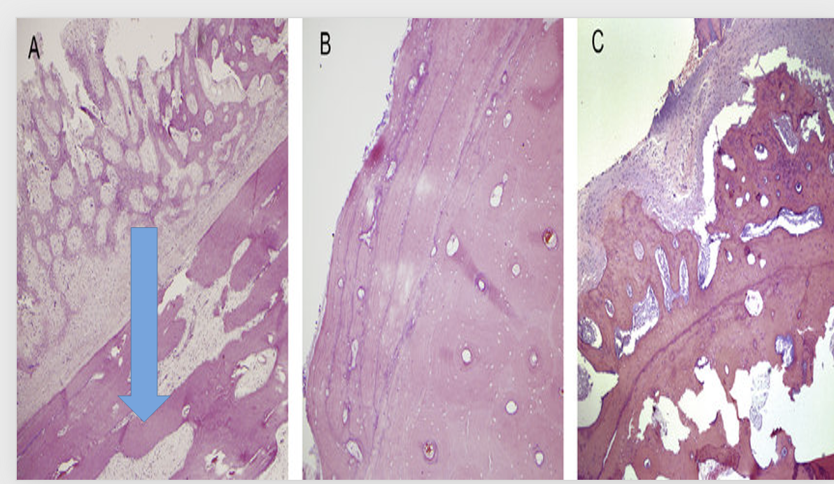
What does this image show

Provisional fracture callus, note zonation.

Arche sof bone - periosteal reaction form inner cambium layer - benign