Anatomy of the biliary system

What are th eparts of the common bile duct
Patterns on insertion
Note - unluje ureter drainage is less strictly gravitational and more difficutl to navigate.

Why dy do you get Gall stones/Cholelithiasis/Choledocholithiasis
Presentation of gallstones
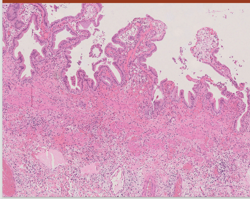
What is this?

Chronic calculus cholecystitis =Chronic cholecystitis is swelling and irritation of the gallbladder that continues over time.

Complications of Chronic claculus cholecystitis
What are the causes of pancreatitis
WHta are the risk factors of pancretitis
WHat is the presentation of pancreatitis
Pancreatitis diagnosis
Pancreatitis (Revised atlanta classification)
Pancreatitis grading
2 Phases of pancreatitis
Clinical findings of pancreatitis
Treatment of pancreatitis
Ix in pancreatitis
WHat is the modified marshall score for pancreatitis
BISAP Score for severity in pancreatitis

Ransons score on admission in pancreatitis
Ranson criteria are used to predict the severity and mortality of acute pancreatitis.

Ransons score at 48horus for pancreatitis
Ranson criteria are used to predict the severity and mortality of acute pancreatitis.

What is the criteria for pancreatitis escalation to ICU
Complications of pancreatitis
