Bowel obstruction Flashcards

(19 cards)

1
Q

Definition

A

Intestinal obstruction is a bloackage that keeps food or liquid from passing through the large or small intestine. It can be either mechanical or functional obstruction and is a medical emergency.

How well did you know this?
1
Not at all
2
3
4
5
Perfectly
2
Q

Symptoms

A
  1. Colicky abdominal pain
  2. vomitting
  3. abdominal distention
  4. constipation
  5. gastric splash

Small bowel - pain is colicky (cramping and intermittent) with spasms lasting a few minutes. The pain is central and mid-abdominal. Vomitting may occur before constipation , electrolyte abnormalities with prolonged vomitting (hyponatraemia, hypokalameia, hypochoraemia). Renal failure due to fluid loss into bowel and vomitting

Large bowel- pain felt lower in the abdomen and spasms last longer. Constipation occurs earlier and vomitting less prominent. Proximal obstruction of the large bowel may present as small bowel obstruction

How well did you know this?
1
Not at all
2
3
4
5
Perfectly
3
Q

Signs

A
  • dehydration
  • abdominal distention
  • visible peristalisl
  • evidence of obstruction (Scars from prebious surgery, hernia, abdominal mass)
  • percussion produces tympanic note
  • ausculation (high pitched tinkling bowel sounds)

DO a PR examination

How well did you know this?
1
Not at all
2
3
4
5
Perfectly
4
Q

Investigations

A

Plain AXR - differentiates between small and large bowel obstruction

Small bowel obstruction

  • distended loops of small bowel (over 3 cm)
  • no gas seen in the colon or rectum

Large bowel obstruction

  • distended colon (over 5cm) proximal to the obstructing lesion, collpased colon distallly, this is known as the cut-off sign
  • distended small bowel may also be seen if the ileocacecal valve is incompetent

CT scan

Constrast studies (enema or follow through)

Endoscopu (upper colonoscopy depending on level of obstruction)

Biopsy of mucosal lesion

How well did you know this?
1
Not at all
2
3
4
5
Perfectly
5
Q

Types of bowel obstruction

A
  • Gastric outlet
  • small bowel obstruction
  • large bowel obstruction
  • acute/chronic
How well did you know this?
1
Not at all
2
3
4
5
Perfectly
6
Q

Causes of small bowel obstruction

A
  • adhesions from previous surgery
  • incarcerated hernias
  • crohns disease
  • gallstone ileus
  • malignancy- small bowel cancers are rare but external compression from other cancers e.g large bowe, stomach are most likely
  • ileus- most common after abdominal surgery
How well did you know this?
1
Not at all
2
3
4
5
Perfectly
7
Q

Treatment of small bowel obstruction

A
  • Naso-gastric suction
  • appropriate IV fluids
  • adhesive obstruction often resolves spontaneously
  • crohsn stricture can respond to medical treatment (ateroids + immunosuppresion) - final option is surgery
  • surgical treatmeent for unresolved adhesions, hernias, malignancy, gallstone ileus. Laparaotomy + division of adhesions/hernia repair etc. If bowel is ischaemic small resection is also required. Advanced malignayc may require bypass
How well did you know this?
1
Not at all
2
3
4
5
Perfectly
8
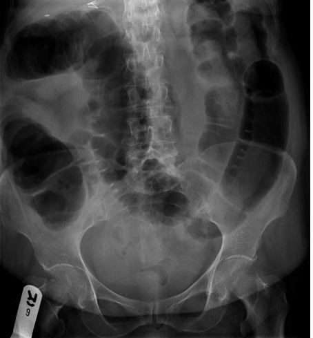
Q

What does this AXR show?

A

Small bowel obstruction

  • centrally localted multiple dilated loops of gasd filled bowel
  • plicae are present confirming this is small bowel
  • evidence of previous surgery- anastomes (red ring) - suggesting adhesions is the likely cause
How well did you know this?
1
Not at all
2
3
4
5
Perfectly
9
Q

What is a sentinel loop?

A
  • localised loop of small bowel is dilated
  • (sometimes after pancreatitis)
  • appereance is not diagnostic of intra-abdominal inflammation, but rather an occasional associated feature
How well did you know this?
1
Not at all
2
3
4
5
Perfectly
10
Q

Ileus definition

A

a painful obstruction of the ileum or other parts of the intestine caused by lack of peristalsis

How well did you know this?
1
Not at all
2
3
4
5
Perfectly
11
Q

Large bowel obstruction causes

A
  • Colonic carcinoma
  • sigmoid volvulus
  • Psudeo-obstruction - ileus of large bowel. No actual obstructing lesion
  • constipation
  • benign stricture e.g diverticular
How well did you know this?
1
Not at all
2
3
4
5
Perfectly
12
Q

Treatment of large bowel obstruction

A
  • carcinoma- surgery- laparotomy+ resection segment of affected section of large bowel + anastomosis or stoma
  • volvulus - sigmoidoscopy/colonoscopy are usually successful
  • constipation- laxatives
  • psuedo-obstruction- colonoscopy, constrast enema, colonic stimlating drugs e.g neostigmine
How well did you know this?
1
Not at all
2
3
4
5
Perfectly
13
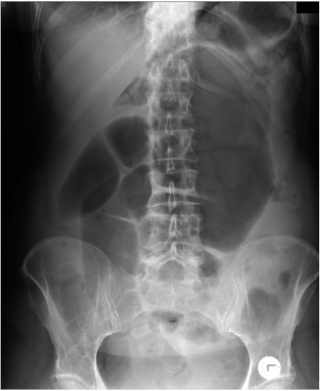
Q

What does this X-ray show

A

Large bowel obstruction

Note

  • dilation of the caecem >9cm is abnormal
  • dilation of any other part of the colon >6cm is abnormal
  • abdominal X-ray may demonstrate the level of obstruction
  • abdominal x-ray cannot reliable differentiate mechanical obstruction from psuedo-obstruction

X-ray

  • colon is dilated down to the level of the distal colon
  • Soft tissue density at level of obstruction
  • small volumen of gas has reached the rectum (obstruction no definite)
How well did you know this?
1
Not at all
2
3
4
5
Perfectly
14
Q

Psudeo- Obstruction

A

Psudeo-obstruction is a poorly understood functional abnormality of bowel, most often occuring in the elderly population in thise with underlysing systemic medical conditions or due to certain drugs. The clinical features can be similar to true obstruction, but not mechanical cause is found

How well did you know this?
1
Not at all
2
3
4
5
Perfectly
15
Q

Volvulus definition

A

Twisting of the bowel on its mesentery

How well did you know this?
1
Not at all
2
3
4
5
Perfectly
16
Q

Two common types of volvulus

A

Sigmoid volvulus

  • more prone to twisting than other sements because its mobile on its own mesentery.
  • Twisting at the root of the mesentery can result in the formation of an enclosed loop of sigmoid colon which becomes very dilated
  • untreated can lead to perforation, due to excess dilation, or ischaemia to due blood supply compromise
  • LIF
  • Coffee bean sign

Caceal volvulus

  • retroperitoneal structure normally and not prone to twisting
  • 25% congeintal incomplete peritoneal covering of the caecum with formation of a mobile caecum on a mesenetery
  • normally RIF
17
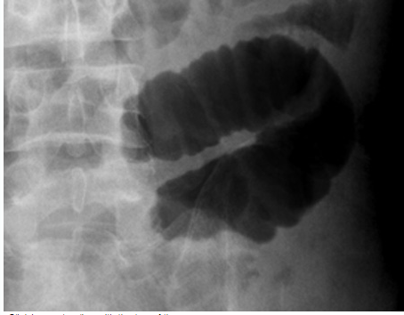
Q

What does this show?

A

Sigmoid volvulis - coffee bean sign

  • sigmoid is very dilated due to twisting at the root of the mesentery in the left iliac fossa
  • proximal bowel also dilated
  • dilated loop points upwards towards diaphragm
  • high risk of perforation
18
Q

What does this show?

A

Caecal volvulus

  • massively dilated caecem no long lies in RIF
  • small bowel now occupies this space
19
Q

Gastric outlet obstruction

A
  • caused by chronic ulcer or gastric malignancy
  • main symptom- vomitting
  • diagnosis by upper GI endoscopy + biopsy
  • treatment for benign causes- proton pump inhibitor, endoscopic dilation, may need surgery with gastric bypass
  • treatment for malignant - gastrectomy if suitable or pyloric stenting/bypass if palliative