The brachial plexus is derived of which nerve roots?
C5 - T1

Loss of ability to abduct arm from 15 to 90° and loss of sensation over the deltoid is caused by damage to which nerve? Which roots of the BP supply this nerve? Give two examples of injuries that will cause damage to this nerve
Axillary nerve C5, C6

The radial nerve is responsible for which movement in the arm, wrist, fingers? Which part of the arm does it provide sensation to?
Movement: Extensors in arms, wrists, fingers → including triceps (elbow extension)
Sensation: back of hand/forearm

This woman has been asked to extend both wrists. What is wrong with her left wrist?

Wrist drop: radial nerve lesion → wrist flexors will dominate

What type of fracture is more likely to result in a radial nerve lesion?
Midshaft humeral fracture causing radial groove damage

Which nerve innervates the biceps? What is the sensory component of this nerve?
Musculocutaneous nerve
→ Sensation to lateral forearm

What are the two main trunk lesions of the brachial plexus?

What’s this baby’s deal?
what is this condition caused by? Explain which three nerves are involved

Erb’s palsy/upper plexus injury → caused by excessive angle at neck/shoulder, classically birth trauma

This person fell from a tree and clung onto branch on the way down. They presented with this hand, what have they damaged? Which nerves are affected?

Lower plexus injury/Klumpke palsy

What is thoracic outlet syndrome?
Compression of nerves and vessels leaving thorax through the thoracic outlet, a space between first rib and clavicle

What is the anatomical location where nerves and blood vessels become compressed in thoracic outlet syndrome?
Scalene triangle: formed by →

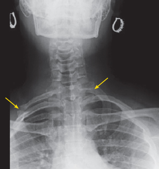
What anatomical variance predisposes to thoracic outlet syndrome?
Cervical rib
→ these people are more likely to get thoracic outlet syndrome after hyperextension-flexion injury (whiplash)

What part of the brachial plexus is normally injured in thoracic outlet syndrome? Which palsy will this cause? What symptoms are associated with vascular compression? Which movement typically worsens the symptoms?
Lower plexus injury: Klumpke palsy (claw hand)
► Symptoms typically worsened by raising the arm

Which nerve is derived from C5, C6 and C7 and comes off of the brachial plexus before the development of trunks? Which muscle does it innervate? What are the movements of this muscle (arm and scapula)?
Long thoracic nerve
Serratus anterior muscle: abduction of arm above 90°, protraction of scapula

What is this condition? What is it caused by?

Winging of scapula
Long thoracic nerve injury
