What are the two main joints affected by gout?

A patient with long-standing gout presents with the following. Explain what this shows and what causes it. Do you expect this condition to be painful? Where else can it occur?

Tophi → chunks of uric acid (monosodium urate) crystals accumulate in and around joints as result of advanced gout.

What type of kidney stone would you expect in somebody with gout?
Uric acid kidney stones
Where can urate deposit in kidneys? What can this cause in people with gout?
Renal medulla + pyramids
→ Gout nephropathy

Why can renal failure, volume depletion, diuretics all cause gout attacks?
All reduce GFR and reduce uric acid excretion further
What are the three main sources of purines?
Ultimately: DNA breakdown

How does alcohol trigger gout? Two main points
Why are people with myeloproliferative disorder is more likely to get gout?
High cell turnover → increased purine metabolism

A male child with hypotonia, chorea, self-mutilation and gout has which syndrome?

Lesch-Nyhan Syndrome

How do you diagnose gout?
Arthrocentesis with synovial fluid analysis
+ serum uric acid level
+ USS/XR

What is an important DDx of acute gout and septic arthritis? How do you differentiate? What is the main prophylaxis?
Pseudogout AKA calcium pyrophosphate deposition disease (2/3 of patients with haemochromatosis have this condition)

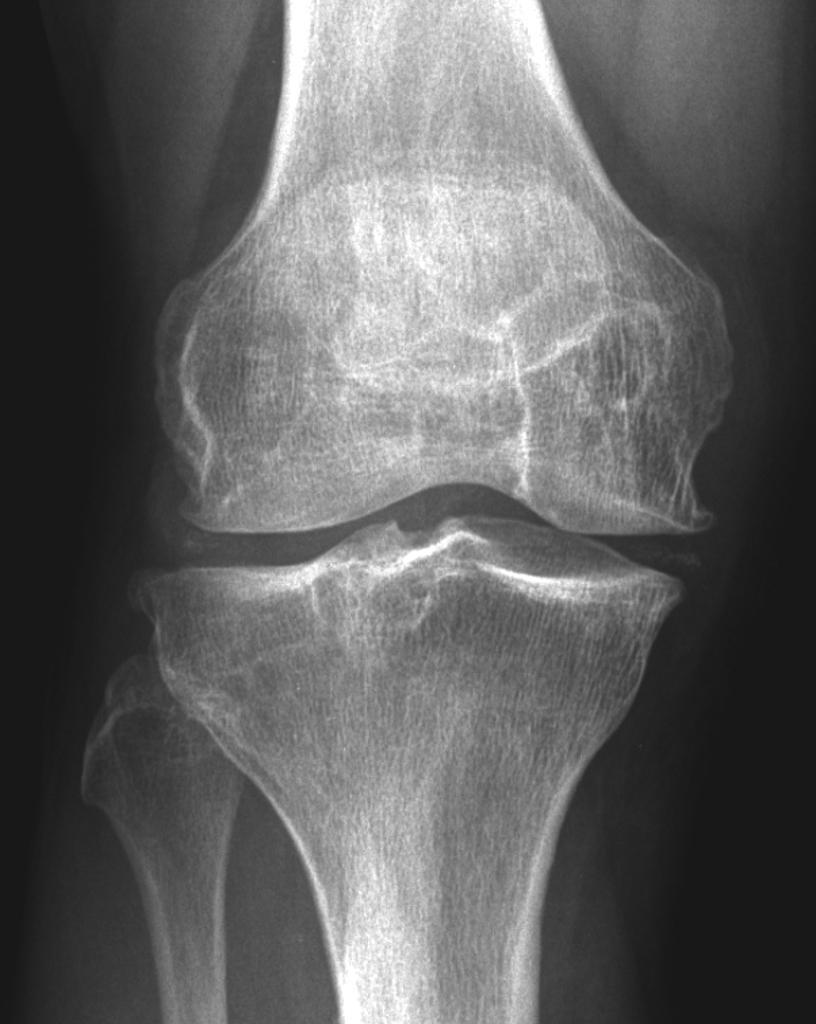
Chondrocalcinosis is a key feature of which condition? What is it?
Calcium pyrophosphate deposition disease
Calcification of hyaline cartilage seen on x-ray → often asymptomatic

What are the two main flares of pseudogout?
Chronic pseudogout mimics which other joint condition? How is it treated?
Osteoarthritis
→ treated the same way as OA in chronic disease
