Label the carpal bones


What are two important complications of scaphoid bone fractures?
What is the blood supply to the scaphoid bone? Why is it at risk of avascular necrosis in fracture?
Radial artery
→ supplies distal portion of bone first then works proximally, relying on retrograde flow. In a fracture, proximal blood supply is compromised

The anterior dislocation of which bone can lead to median nerve dysfunction? Explain why
Lunate
sits on top of carpal tunnel so can compress it

What is the name of the strong, fibrous band that covers the carpal bones on the palmar side of the hand near the wrist? What lies beneath?
Flexor retinaculum (carpal ligament)
carpal tunnel

List 3 Endocrine risk factors for carpal tunnel syndrome?

Which renal condition increases risk of carpal tunnel syndrome?
Dialysis-related amyloidosis
Amyloid deposits form from beta2 microglobulin which accumulates in the carpal tunnel

What is the name of this test?

Tinel’s test
What is the name of this test?

Phalen’s manoeuvre
Which canal carries the ulnar nerve and artery to the wrist? Where does this lie in relation to the transverse carpal ligament?
Guyon’s canal (ulnar canal)
ABOVE transverse carpal ligament

Which nerve is responsible for the abduction and adduction of fingers?
Ulnar - innervates the interossei muscles

Overuse of the wrists and direct pressure on the handlebars of a bike are likely to result in which wrist condition?
Guyon’s Canal syndrome

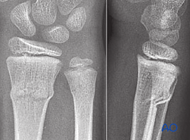
What type of fracture is this? What patient demographic is it most common in?

Greenstick fracture: occurs when a bone bends and cracks, instead of breaking completely. The fracture looks similar to what happens when you try to break a small, “green” branch on a tree.
Most occur in children younger than 10

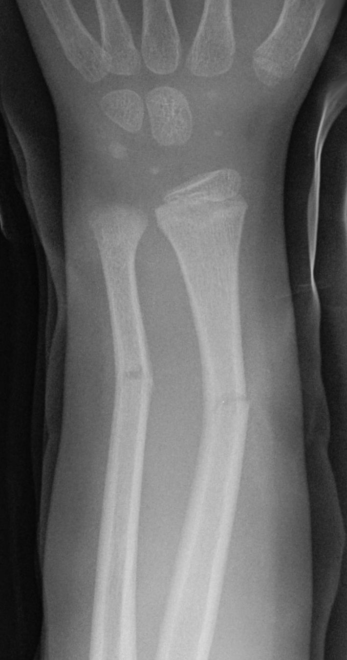
What type of fracture is this? What patient group is often seen in? What type of force causes it?

Torus fracture, also known as buckle fracture → incomplete fracture of shaft of a long bone that is characterised by bulging of cortex. They result from trabecular compression due to an axial loading force along the long axis of bone
children

Scaphoid fracture is have a high false negative x-ray rate. Which symptom should be treated as a scaphoid fracture?
Pain in the anatomical snuff box