brain Flashcards

(26 cards)

1
Q

Which of the following pulse sequins often best demonstrate periventricular white matter lesions (such as MS)?
A T1-weighted FSE
B PD-weighted FSE
C T1-weighted GRE
D T2-FLAIR

A

D T2-FLAIR

How well did you know this?
1
Not at all
2
3
4
5
Perfectly
2
Q

Which of the following sequences can be utilized to greatly reduce artefact from flow following the injection of a gadolinium-based contrast agent?
A T1-weighted IR
B T1-weighted spoiled gradient echo
C T1-weighted conventional spin echo
D T1-weighted fast spin echo

A

B T1-weighted spoiled gradient echo

How well did you know this?
1
Not at all
2
3
4
5
Perfectly
3
Q

Which of the following sequences would likely better demonstrate a hemorrhagic stroke?
A Conventional spin echo
B Fast spin echo
C Gradient echo

A

C Gradient echo

How well did you know this?
1
Not at all
2
3
4
5
Perfectly
4
Q

Following the injection of a gadolinium-based MR contrast agent, magnetization transfer can help increase visualization of minimally enhancing lesions due to
A the reduction in signal from normal brain tissue
B the increase in SNR from the MT pulse
C the higher SAR required for the MT pulse

A

A the reduction in signal from normal brain tissue

How well did you know this?
1
Not at all
2
3
4
5
Perfectly
5
Q

A major reason for producing an ADC map (or image) with a DWI sequence in the brain is to
A shorten the overall scan time
B improve the SNR of the DWI scan
C eliminate the effects of ‘T2 shine-through’
D calculate the actual T2-relaxation times of the stroke

A

C eliminate the effects of ‘T2 shine-through’

How well did you know this?
1
Not at all
2
3
4
5
Perfectly
6
Q

In order to produce good quality reformatted images, a 3D sequence should be acquired with voxels which are
A isotropic
B rectangular
C greater than 2 mm
D greater than 3 mm

A

A isotropic

How well did you know this?
1
Not at all
2
3
4
5
Perfectly
7
Q

The sequence which will likely better demonstrate fractures or lesions within the vertebral bodies is
A T1-weighted FSE
B T2-weighted FSE
C T2-weighted conventional spin echo
D STIR

A

D STIR

How well did you know this?
1
Not at all
2
3
4
5
Perfectly
8
Q

The pulse sequence utilized for axial cervical spine imaging which would best demonstrate osteophytes is
A T1-weighed conventional spin echo
B T2*-weighted gradient echo
C T2-weighted fast spin echo

A

C T2-weighted fast spin echo

How well did you know this?
1
Not at all
2
3
4
5
Perfectly
9
Q

Generally, the type of receiver coil which would provide the best SNR would be
A single element linear
B multi-coil array
C linear posterior element only
D quadrature

A

B multi-coil array

How well did you know this?
1
Not at all
2
3
4
5
Perfectly
10
Q

The sequence which is least likely to demonstrate MS lesions in the cervical cord is
A T2-weighted FSE
B STIR
C Balanced GRE
D T2*-weighted GRE

A

C Balanced GRE

How well did you know this?
1
Not at all
2
3
4
5
Perfectly
11
Q

Which of the following fat suppression techniques should not be utilized following the administration of a gadolinium-based MR contrast agent?
A Spectral fat saturation
B Dixon-based method
C STIR

A

C STIR

How well did you know this?
1
Not at all
2
3
4
5
Perfectly
12
Q

 In a dual echo sequence, which of the following combinations would result in reduced flow artefact in the second echo?

a)TE 20 and 50 ms
b)TE 20 and 70 ms
c)TE 40 and 80 ms
d)TE 40 and 95 ms

A

c)TE 40 and 80 ms

How well did you know this?
1
Not at all
2
3
4
5
Perfectly
13
Q

What is the chemical shift at 1.5 T?

a)2.2 Hz
b)22 Hz
c)220 Hz
d)220 KHz

A

c)220 Hz

How well did you know this?
1
Not at all
2
3
4
5
Perfectly
14
Q

Give three reasons why motion artefact only occurs along the phase encoding axis of the image.

A

Phase encoding gradient amplitude changes throughout the scan time delay between phase encoding and read out sampling interval longer in phase axis of k-space.

How well did you know this?
1
Not at all
2
3
4
5
Perfectly
15
Q

What factors affect the time of flight phenomena?

A

TE, slice thickness, and velocity of flow.

How well did you know this?
1
Not at all
2
3
4
5
Perfectly
16
Q

How is phase wrap reduced or eliminated?

A

Increase phase FOV, use presaturation bands over aliased anatomy, and use anti-aliasing software

17
Q

Define chemical shift.

A

The difference in precessional frequency of the magnetic moments of fat and water. It is dependent on field strength and increases as field strength increases.

18
Q

How is magnetic susceptibility reduced?

A

Use spin echo sequences, preferably SS-TSE. Remove metal from the patient. Use short TEs. Use a wide-receiving bandwidth as this reduces the TE

19
Q

What is the mechanism that produces high vascular signal in an inflow angiogram?

A

Entry slice phenomenon, when unsaturated spins enter the first slice of a stack they experience the excitation pulse and their magnetization is flipped into the transverse plane.

20
Q

Describe the “Time of Flight” phenomenon

A

Time of flight relates to the transit time of spins passing through a slice or 3D volume. It is influenced by the rate of flow in cm/s over a given distance (slice thickness). Spins that leave a slice before the rephasing pulse is applied and this will reduce the signal from a vessel lumen.

21
Q

Why does laminar flow cause anomalous appearances on a MIP reconstruction?

A

Flow at different velocities across a vessel will travel different distances along a time-varying gradient. High-velocity spins will experience a different field strength along the gradient compared to low-velocity spins. This can cause dephasing in a voxel and a reduction in a signal. There may also be saturation of slow-moving spins near the vessel wall. The resulting image may not reflect the true morphology of the vessel, appearing narrower.

22
Q

Identify the practical differences between 2D and 3D inflow examinations.

A

Two-dimensional (2D) sequences acquire single slices sequentially. Spins do not spend long enough in each slice to become saturated. Three-dimensional (3D) sequences acquire a thick slab with narrower partitions. The trade-off is between coverage, signal, and spatial resolution. Three-dimensional reconstructions will typically have smaller voxels and a higher spatial resolution, but spins will become saturated as they traverse a thick slab. This precludes venography as slow flow will saturate quickly

23
Q

What are the principal benefits of the EKG-triggered 3D FSE angiography technique.

A

This technique offers many of the benefits of contrast-enhanced MRA without the need for contrast agents. These include a large FOV, no in-plane flow saturation, background subtraction, and visualization of arteries and/or veins.

25
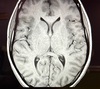
What is the highlighted structure ? A. Midbrain B. Pons C. Medulla D. Foremen magnum
A. Midbrain
26
This image was acquired with what type of parameters ? A. Short TE, short TR B. Short TE, long TR C. Long TE, long TR D. Long TE, short TR
A. Short TE, short TR