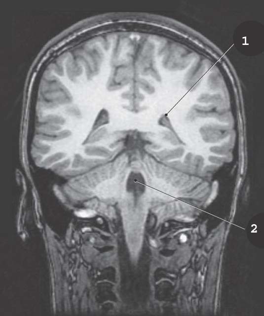
1

Lateral Vetnricle
2

4th ventricle
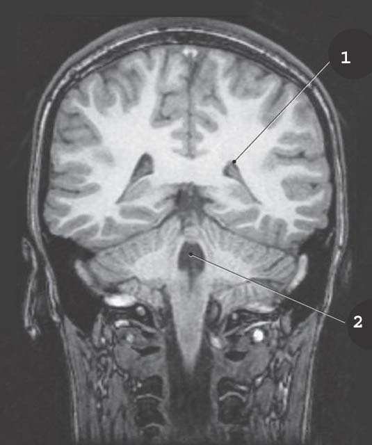
1

Midbrain
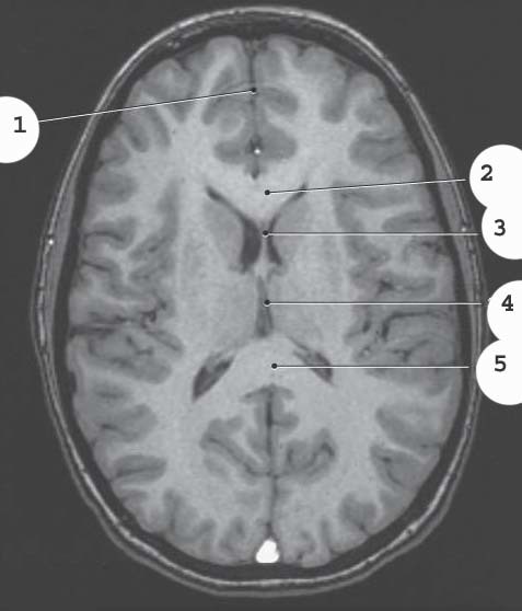
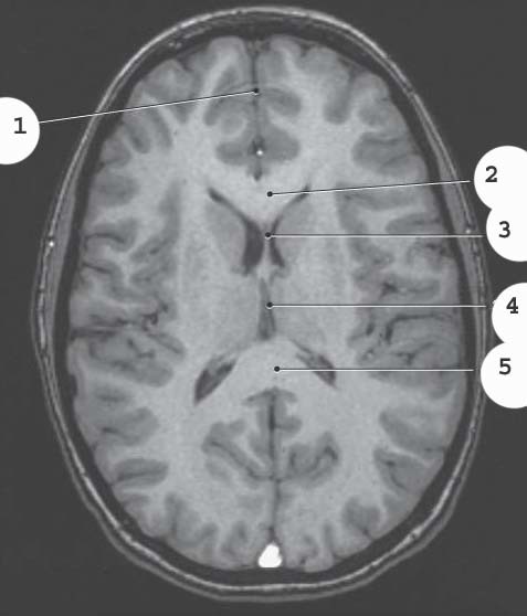
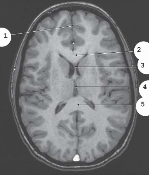
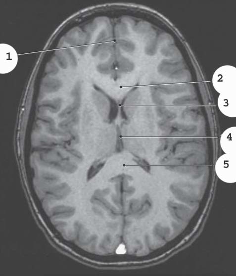
1

Longitudinal Fissure
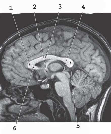
2

corpus collosum genu
3

septum pellucidum
4

3rd ventricle
5

corpus collosum splenium
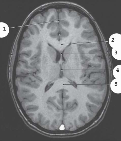
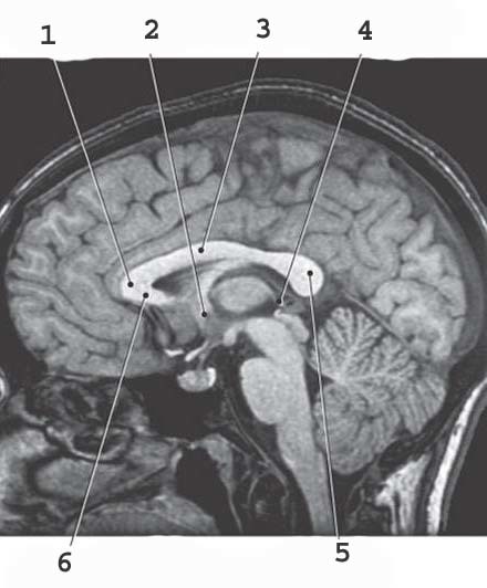
5

corpus collosum splenium
6

corpus collosum rostrum
1

Thalamus
3

Pineal gland
6

cerbral aqueduct
12

infundibulum
13

mammilary body
14

optic nerve
15

hypothalamus
1

White matter
2

gray matter
4

lateral ventricle
5

suprasellar cistern
6

Longitudinal fissure
7

sphenoid sinus
1

Superior Sagittal sinus