1

Left Adrenal gland
2

Kidney
3

Rt adrenal gland
4

liver
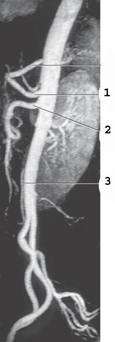
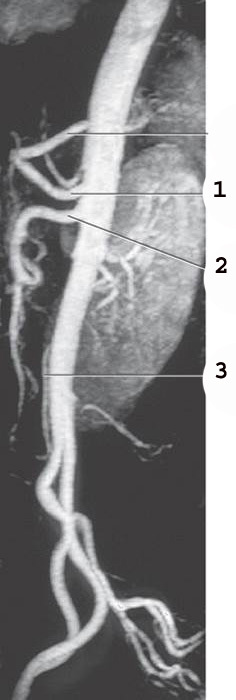
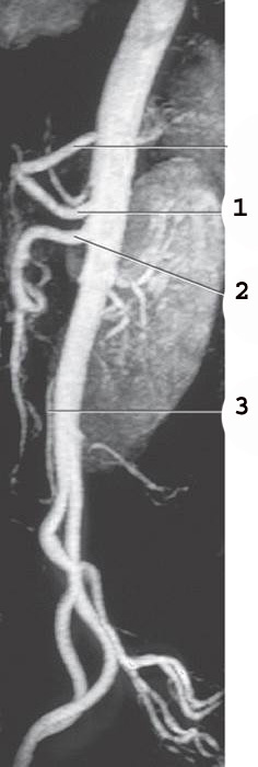
1

celiac trunk
2

superior mesenteric artery
SMA
3

Inferior mesenteric artery
IMA
1

gastroduodenal Artery (fig 7.156)
2

common hepatic Artery(fig 7.156)
3

splenic Artery (fig 7.156)
4

left renal Artery (fig 7.156)
5

Left gonadal artery (fig 7.156)
6

left common iliac Artery
7

right gondal artetry (fig 7.156)
1

Common hepatic A
2

L gastric A
3

celiac trunk
4

splenic A
5

Superior mesenteric A
SMA
6

L common Iliac
7

inferior mesenteric A
IMA
8

Aorta
9

Rt renal A
1

liver