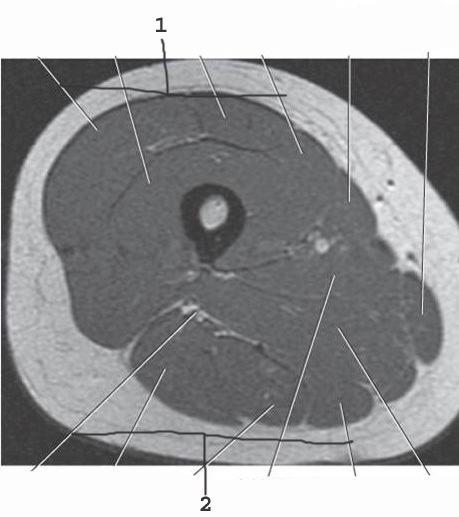
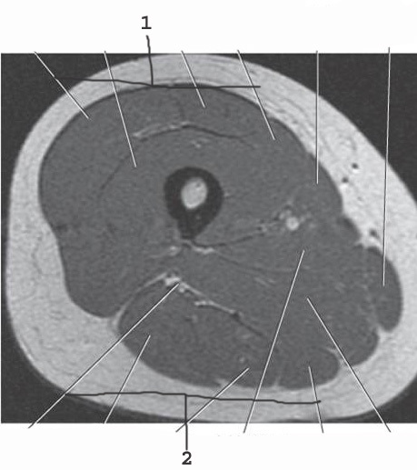
1

Quadracep group
2

hamstring group
1

Aorta
2

Left common iliac artery
3

Left internal iliac artery
4

left external iliac artery
5

left femoral artery
1

popliteal artery
2

anterior tibial artery
3

fibular artery
4

posterior tibial artery
1

femoral head
2

femoral artery
3

femoral vein
4

ligamentum teres
5

gluteus muscles
6

greater trochanter
1

quadricep tendon
2

patella
3

lateral condyle
4

lateral colateral ligament
5

anterior cruciate ligament
ACL
6

posterior cruciate ligament
PCL
7

intercondylar fossa