Breast Flashcards

(114 cards)

1
Q

what are the four quadrants of the breast

A

upper inner
lower inner
upper outer
lower outer

How well did you know this?
1
Not at all
2
3
4
5
Perfectly
2
Q

at which week does breast development begin

A

week 4 of gestation

How well did you know this?
1
Not at all
2
3
4
5
Perfectly
3
Q

what are the milk lines

A

parallel lines of glandular tissue which extend from axilla to peritoneum

How well did you know this?
1
Not at all
2
3
4
5
Perfectly
4
Q

what are milk line remnants

A

persistence of epidermal thickenings along the milk lines

How well did you know this?
1
Not at all
2
3
4
5
Perfectly
5
Q

define mastalgia

A

breast pain

How well did you know this?
1
Not at all
2
3
4
5
Perfectly
6
Q

define mastodynia

A

breast pain

How well did you know this?
1
Not at all
2
3
4
5
Perfectly
7
Q

who is most susceptible to a breast malignancy

A

older aged women (older than 50 - chance goes up with age)

How well did you know this?
1
Not at all
2
3
4
5
Perfectly
8
Q

define galactorrhea

A

milk discharge not associated with malignancy

How well did you know this?
1
Not at all
2
3
4
5
Perfectly
9
Q

which quadrant of the breast is most common for malignancy

A

upper outer quadrent (50%)

How well did you know this?
1
Not at all
2
3
4
5
Perfectly
10
Q

what are the two main modalities for breast imaging

A

ultrasound and MRI

How well did you know this?
1
Not at all
2
3
4
5
Perfectly
11
Q

what is a fibroadenoma

A

well-circumscribed, benign, proliferating mass of fibrotic tissue

How well did you know this?
1
Not at all
2
3
4
5
Perfectly
12
Q

what is acute mastitis

A

bacterial infection during breastfeeding causes inflammation of breast

How well did you know this?
1
Not at all
2
3
4
5
Perfectly
13
Q

what is the most common bacteria to cause acute mastitis

A

staph. aureus

How well did you know this?
1
Not at all
2
3
4
5
Perfectly
14
Q

what is squamous metaplasia of lactiferous ducts (SMOLD)

A

keratin plug causes abscess to form within duct

How well did you know this?
1
Not at all
2
3
4
5
Perfectly
15
Q

what are the three other names for squamous metaplasia of lactiferous ducts (SMOLD)

A

recurrent subareolar abscess
periductal mastitis
zuska disease

How well did you know this?
1
Not at all
2
3
4
5
Perfectly
16
Q

which two conditions are most associated with squamous metaplasia of lactiferous ducts (SMOLD)

A

smoking and vitamin A deficiency

How well did you know this?
1
Not at all
2
3
4
5
Perfectly
17
Q

what is duct ectasia

A

white nipple secretions that present as a palpable periareolar mass

How well did you know this?
1
Not at all
2
3
4
5
Perfectly
18
Q

who is most affected by duct ectasia

A

50-60 year old women who haven’t had children

How well did you know this?
1
Not at all
2
3
4
5
Perfectly
19
Q

what are the two most common (50%) causes of fat necrosis of the breast

A

trauma or previous surgery

How well did you know this?
1
Not at all
2
3
4
5
Perfectly
20
Q

which two conditions are associated with lymphocytic mastopathy (sclerosing lymphocytic lobulitis)

A

type 1 diabetes and autoimmune thyroid disease

How well did you know this?
1
Not at all
2
3
4
5
Perfectly
21
Q

what are the three categories of benign epithelial lesions of the breast

A

non-proliferative breast changes
proliferative breast disease
atypical hyperplasia

How well did you know this?
1
Not at all
2
3
4
5
Perfectly
22
Q

what are the three principal morphologic changes seen with non-proliferative breast changes (fibrocystic changes)

A

cystic change
fibrosis
adenosis

How well did you know this?
1
Not at all
2
3
4
5
Perfectly
23
Q

are non-proliferative breast changes associated with a risk of cancer

A

no

How well did you know this?
1
Not at all
2
3
4
5
Perfectly
24
Q

does proliferative breast disease without atypia increase your risk for cancer

A

yes - small increase

How well did you know this?
1
Not at all
2
3
4
5
Perfectly
25
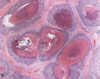
what is epithelial hyperplasia of the breast
a type of proliferative breast disease without atypia increased numbers of luminal and myoepithelial cells within the ducts
26
what is sclerosing adenosis
a type of proliferative breast disease without atypia increased number of acini
27
what is a complex sclerosing lesion
a type of proliferative breast disease without atypia hardened area of breast tissue that appears as a scar
28
what is a radial scar
radial sclerosing lesion that has a irregular shape and can closely mimic invasive carcinoma
29
complex sclerosing lesions have components of what
sclerosing adenosis papillomas epithelial hyperplasia
30
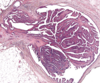
what is a papilloma
a type of proliferative breast disease without atypia growth in a dilated duct made of branching fibrovascular cores
31
where is the most common location for a large duct papilloma
lactiferous sinuses of the nipple
32
where is the most common location for a small duct papilloma
deeper within the duct system
33
a fibrovascular core is a key distinctive feature in which condition
breast papilloma
34
define gynecomastia
enlargement of male breast
35
what are the two main forms of atypical hyperplasia of the breast
atypical ductal hyperplasia atypical lobular hyperplasia
36
what is the most common non-skin malignancy in women
breast carcinoma
37
what is the ratio for women getting breast cancer
1 in 8
38
in which breast is cancer more common
left
39
what are the three main types of breast carcinoma, hormonally speaking
luminal HER2+ triple negative
40
which receptors are involved in luminal breast carcinoma
ER+ HER2-
41
which receptors are involved in HER2+ breast carcinoma
overexpression of HER2
42
which receptors are involved in triple negative breast carcinoma
ER- PR- HER2-
43
what is the most common type of breast cancer in terms of hormone receptors
ER+
44
what is the least common type of breast cancer in terms of hormone receptors
HER2+
45
what should a positive hormone receptor IHC look like
brown (right) - indicates update
46
in which year was mammographic screening introduced
1986
47
what is the average age of breast cancer diagnosis in those who are white
61
48
what is the average age of breast cancer diagnosis in those who are hispanic
56
49
what is the average age of breast cancer diagnosis in those who are African American
46
50
ER- breast carcinomas are most common in which ethnicity
white women
51
what is tamoxifen
a hormone therapy for ER/PR+ tumors blocks the hormone receptors and thus stops the hormone stimulation
52
what are aromatase inhibitors
hormone therapy for ER/PR+ tumors stops estrogen production
53
which drug can be used to treat HER2+ breast carcinomas
Herceptin - reduces recurrence rates
54
what are the two main consequences of Herceptin use
heart and lung damage
55
what is the most aggressive type of breast carcinoma hormonally speaking
triple-negative breast cancer aggressive but respond well to chemo and radiation
56
what is a stage 1 breast tumor
less than 2 cm usually treated conservatively
57
what is a stage 2 breast tumor
between 2 and 5 cm surgery and radiation
58
what is a stage 3 breast tumor
greater than 5 m neoadjuvant therapy - more aggressive treatment
59
which ethnicity has the highest mortality rate for breast cancer
African Americans
60
which three lifestyle aspects can increase the risk for breast cancer
delayed pregnancies fewer pregnancies decreased breastfeeding
61
what is one of the biggest risks of developing breast cancer
exposure to extrogen
62
having a first-degree relative with breast cancer increases your risk by which percentage
15-20%
63
what are the four major known susceptible genes for familiar breast cancer
BRCA1 BRCA2 TP53 CHEK2
64
mutations in which two genes are responsible for 80-90% of single gene breast cancers
BRCA1 and 2
65
BRCA1 gene mutation increases your risk for what
breast, ovarian, and other epithelial cancers
66
BRCA2 gene mutation increases your risk for what
breast (male and female) cancer
67
where is the BRCA1 gene mutation located
17q21 chromosome
68
where is the BRCA2 gene mutation located
13q12-13 chromosome
69
how do ER+, HER2- cancers develop
due to a BRCA2 mutation
70
how do HER2+ cancers develop
due to TP53 mutations
71
how do ER-, HER2- cancers develop
due to BRCA1 mutations
72
why is fibrous stroma important in terms of developing breast cancer
cancers occur in the areas of greatest density, so more fibrous stroma can increase your risk for cancer
73
what are the four main types of breast carcinoma
ductal carcinoma in-situ lobular carcinoma in-situ invasive ductal carcinoma invasive lobular carcinoma
74
what is the most common type of breast cancer
adenocarcinoma
75
what is seen on mammography for ductal carcinoma in-situ
calcifications periductal fibrosis
76
which two types of ductal carcinoma in-situ can produced nipple discharge
micropapillary and papillary
77
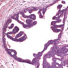
what are the two main categories of ductal carcinoma in-situ
comedo non-comedo
78
what are the four types of non-comedo ductal carcinoma in-situ
cribriform micropapillary papillary solid
79
what are the two main microscopic features of comedo ductal carcinoma in-situ
pleomorphic, high grade nuclei central necrosis
80
what is the other name for large cell ductal carcinoma in-situ
comedocarcinoma
81
which, comedo or non-comedo ductal carcinoma in-situ, is more likely to progress to carcinoma
comedo
82
what is the histologic appearance of cribriform non-comedo ductal carcinoma in-situ
rounded (cookie cutter like) spaces filled with calcified material
83
a rounded, cookie cutter link appearance histologically is indicative of what
cribriform non-comedo ductal carcinoma in situ
84
what is important to note about the papillary projections in papillary and micropapillary non-comedo ductal carcinoma in-situ
the projections lack fibrovascular cores
85
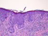
what is Paget disease
a type of ductal carcinoma in-situ Paget cells extend within the ductal system to the nipple causing an unilateral eruption with a scale crust
86
what is the radiologic appearance of Paget disease
rod-like micro calcifications
87
what is the histologic appearance of Paget disease
basal cells with clear cytoplasm containing mucin
88
what are the three major risk factors for recurrence in ductal carcinoma in-situ cases
high nuclear grade and necrosis extent of disease positive surgical margins
89
which gene mutation is most common in lobular carcinoma in-situ
E-cadherin (CDH1) mutation
90
what is unique about lobular carcinoma in-situ
no calcifications
91
what are the two main treatment options for lobular carcinoma in-situ
bilateral prophylactic mastectomy tamoxifen
92
what is the radiographic appearance of invasive (infiltrating) carcinoma of the breast
well-defined stellate
93
what is the main grading system for invasive (infiltrating) breast carcinoma
(scarff) Bloom-Richard grading system
94
what is a mucinous (colloid) breast carcinoma
variant of invasive (infiltrating) carcinoma shows clusters of tumor cells with mucin
95
what is an apocrine breast carcinoma
variant of invasive (infiltrating) carcinoma shows punctate nucleoli
96
what are the two types of metaplastic breast carcinoma
spindle cell carcinoma matrix-producing carcinoma
97
what is inflammatory breast carcinoma
variant of invasive (infiltrating) carcinoma tumor cells are in the dermal lymphovascular space leading to a Peau d-orange appearance
98
Peau d-orange is seen with which condition
inflammatory breast carcinoma
99
what is the hallmark of the lobular variant of invasive (infiltrating) breast carcinoma
dyscohesive infiltration tumor cells with no tubular formation
100
what are the 7 variants of invasive (infiltrating) breast carcinoma
mucinous (colloid) tubular apocrine papillary metaplastic inflammatory lobular
101
which gene mutation puts males most at risk for breast cancer
BRCA2
102
which syndrome can be associated with male breast cancer
Klinefelter syndrome
103
which type of male breast cancer is most common (hormonally speaking)
ER+
104
what is the most important prognostic factor in the absence of distant metastasis in male breast cancer cases
axillary lymph node metastasis
105
what is a sentinel lymph node
first one or two nodules that a tumor's lymphatics drain into - found using radiotracers and color dyes
106
what is the most common benign breast tumor
fibroadenoma
107
what is the most common gross and microscopic feature of a breast fibroadenoma
slit-like spaces both grossly and histologically
108
what is a phyllodes tumor (cystosarcoma phyllodes)
stromal tumor of the breast benign, "leaf-like" tumors that can become malignant as a type of sarcoma
109
what is fibromatosis
stromal tumor of the breast proliferation of fibroblasts that does not metastasize associated with FAP, hereditary desmoid syndrome, and Gardner syndrome
110
what is a myofibroblastoma
interlobular stromal lesion of the breast made mainly of myofibroblasts
111
what is the most common sarcoma in the breast
angiosarcoma
112
what is the gross appearance of a breast angiosarcoma
very hemorrhagic
113
the most common metastatic tumors of the breast are from which two locations
melanoma ovarian cancers
114
what is this
breast implant associated anaplastic large cell lymphoma