Endocrine System Flashcards

(144 cards)

1
Q

what do neural cells do

A

communicate with each other and with cells of sensory and effector tissues by means of neurons

How well did you know this?
1
Not at all
2
3
4
5
Perfectly
2
Q

where does the adenohypophysis (anterior pituitary) arise from

A

rathke’s pouch

How well did you know this?
1
Not at all
2
3
4
5
Perfectly
3
Q

what controls the pituitary

A

hypothalamus

How well did you know this?
1
Not at all
2
3
4
5
Perfectly
4
Q

what are the 6 hormones produced by the anterior pituitary

A

TSH
ACTH
LH
FSH
HGH (human growth hormone)
prolactin

How well did you know this?
1
Not at all
2
3
4
5
Perfectly
5
Q

what are the two hormones produced by the posterior pituitary

A

oxytocin
vasopressin (ADH)

How well did you know this?
1
Not at all
2
3
4
5
Perfectly
6
Q

which hormone inhibits growth hormone

A

somatostatin

How well did you know this?
1
Not at all
2
3
4
5
Perfectly
7
Q

which hormone inhibits prolactin

A

dopamine

How well did you know this?
1
Not at all
2
3
4
5
Perfectly
8
Q

what are the three main cell types of the adenohypophysis (anterior pituitary)

A

chromophobic
eosinophilic (acidophilic)
basophilic

How well did you know this?
1
Not at all
2
3
4
5
Perfectly
9
Q

what are lactotrophs and what do they secrete

A

anterior pituitary acidophilic cells that secrete prolactin

How well did you know this?
1
Not at all
2
3
4
5
Perfectly
10
Q

what are somatotrophs and what do they secrete

A

anterior pituitary acidophilic cells that secrete growth hormone or somatotrophin

How well did you know this?
1
Not at all
2
3
4
5
Perfectly
11
Q

what are corticotrophs and what do they produce

A

anterior pituitary basophilic cells that produce pro-opiomelanocortin (POMC) which becomes ACTH

How well did you know this?
1
Not at all
2
3
4
5
Perfectly
12
Q

what are thyrotrophs and what do they produce

A

anterior pituitary basophilic cells that produce TSH

How well did you know this?
1
Not at all
2
3
4
5
Perfectly
13
Q

what are gonadotrophs and what do they produce

A

anterior pituitary basophilic cells that produce gonadotropins

How well did you know this?
1
Not at all
2
3
4
5
Perfectly
14
Q

what is the most common cause of hyperpituitarism

A

anterior pituitary adenoma

How well did you know this?
1
Not at all
2
3
4
5
Perfectly
15
Q

what are the most common causes of hypopituitarism

A

ischemic injury, surgery, radiation, or inflammation

How well did you know this?
1
Not at all
2
3
4
5
Perfectly
16
Q

what are the 5 classifications of pituitary adenomas

A

hormone production
functional vs non-functional
cell type
sporadic vs inherited
size

How well did you know this?
1
Not at all
2
3
4
5
Perfectly
17
Q

what is a functional adenoma

A

one that produces excess hormone production that causes clinical manifestations

How well did you know this?
1
Not at all
2
3
4
5
Perfectly
18
Q

what is a non-functional adenoma

A

one that does not produce thyroid hormones - no clinical manifestations

How well did you know this?
1
Not at all
2
3
4
5
Perfectly
19
Q

how big is a microadenoma

A

less than 1 cm

How well did you know this?
1
Not at all
2
3
4
5
Perfectly
20
Q

how big is a macroadenoma

A

greater than 1 cm

How well did you know this?
1
Not at all
2
3
4
5
Perfectly
21
Q

what two things do atypical pituitary adenomas have

A

a TP53 mutation and brisk mitotic activity

How well did you know this?
1
Not at all
2
3
4
5
Perfectly
22
Q

what is the other name for a prolactinoma

A

lactotroph adenoma

How well did you know this?
1
Not at all
2
3
4
5
Perfectly
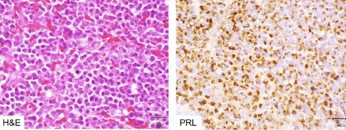
23
Q

which pituitary lesion has a cap-like “Golgi-pattern”

A

prolactinoma (lactotroph adenoma)

How well did you know this?
1
Not at all
2
3
4
5
Perfectly
24
Q

what is the most common hyperfunctioning pituitary adenoma

A

prolactinoma (lactotroph adenoma)

How well did you know this?
1
Not at all
2
3
4
5
Perfectly
25
what is the second most common functional pituitary adenoma
growth hormone producing adenoma (somatotroph adenoma)
26
what is the other name for a growth hormone producing pituitary adenoma
somatotroph adenoma
27
what is the other name for an adrenocorticotrophic hormone producing pituitary adenoma
chromophobe
28
which stain is used to differentiate for an adrenocorticotrophic hormone producing pituitary adenoma (chromophobe)
Periodica-Acid Schiff (PAS) stain - stains positive for glycoprotein
29
what does an adrenocorticotrophic hormone producing pituitary adenoma (chromophobe) present with
Cushing syndrome and hyperpigmentation
30
what is the aggressive variant of an adrenocorticotrophic hormone producing pituitary adenoma (chromophobe)
Crooke's cell adenoma
31
what technique is done to visualize Crooke's cell adenoma and what is seen
touch prep - shows cytokeratin-rich perinuclear rings
32
what is the criteria for a malignant pituitary tumor
it must have metastasized
33
what is considered hypopituitarism
75% loss of anterior pituitary
34
what is Sheehan Syndrome
post pregnancy blood loss leads to ischemic necrosis of pituitary gland causes hypopituitarism
35
what are the three cell types of the posterior pituitary gland (neurohypophysis)
pituicytes (glial cells) axon processes from hypothalamus herring bodies
36
what is a herring body
terminal end of axons from hypothalamus
37
where does the posterior pituitary gland (neurohypophysis) come from
it's a downgrowth of the diencephalon that forms the floor of the third ventricle mostly made of neuroectoderm
38
what do the neurons of the posterior pituitary gland produce
oxytocin and ADH
39
what does ADH do
promotes reabsorption of water in the collecting tubules of the kidney
40
ADH deficiency is associated with which condition
diabetes insipidus
41
what is a rathke's cyst
a cyst in the rathke's area between the anterior and posterior pituitary gland
42
what is a craniopharyngioma
benign tumor that arises from remnants of the Rathke's pouch and stalk (infundibulum)
43
what are the 3 key microscopic features of an adamantinomatous craniopharyngioma
1.) squamous cells with peripheral palisading 2.) stellate reticulum 3.) wet keratin
44
what is primary empty sella syndrome (ESS)
defect in the diaphragma sella leading to a flattened pitutiary
45
what is secondary empty sella syndrome (ESS)
a pituitary mass enlarges the sella and damages it
46
what is pituitary cachexia (Simmonds disease)
destruction or physiological exhaustion of pituitary can be caused by things like syphilis, TB, tumor, etc. affects the thyroid, adrenals, and gonads
47
what is froehlich syndrome (adiposogenital dystrophy)
damage to the hypothalamus leads to obesity, atrophy of gonads, etc.
48
what type of tumor most commonly metastasizes to the pituitary
breast
49
what is the average weight of a thyroid gland
18-25 g
50
what are the two types of thyroid gland cells
follicular and parafollicular
51
what do the follicular cells of the thyroid gland do
secrete T3 and T4
52
what do the parafollicular cells of the thyroid gland do
make calcitonin
53
which is more abundant, T3 or T4
T4
54
what is thyrotoxicosis
hypermetabolic state due to elevated T3 and T4 or decreased TSH
55
what is Graves disease
autoimmune diseases of the thyroid which causes a beefy appearance
56
what is the most common cause of endogenous hyperthyroidism in the US
Graves disease
57
Exophthalmos is common in which condition that affects the thyroid
Graves disease
58
which condition has papillary infoldings and peripheral scalloping on microscopy
Graves disease
59
what are the two types of goiter
diffuse and multinodular
60
what is the most common cause of a goiter
dietary iodine deficiency
61
what is a multinodular goiter
long standing diffuse goiter turns into a multinodular goiter hyper functioning which can develop into hyperthyroidism
62
what is Plummer-vinson syndrome
toxic multinodular goiter making it hard to swallow with esophageal webs
63
what is cretinism
hypothyroidism that develops in infancy
64
what is myxedema
severely advanced hypothyroidism due to the lack of thyroid hormone production in older children and adults
65
what is thyroiditis
acute inflammation of the thyroid causing hypothyroidism
66
what is Hashimoto thyroiditis
autoimmune disease of the thyroid
67
what are the classic cells of Hashimoto thyroiditis
Hurthle (oxyphil) cells
68
what is subacute granulomatous thyroiditis (De Quervian)
enlarged thyroid that mostly affects women with a history of upper respiratory infections microscopy shows granulomas
69
generally, is a hot thyroid nodule benign or malignant
benign
70
generally, is a cold thyroid nodule benign or malignant
malignant
71
what is a critical feature of a hyperfunctioning toxic adenoma
intact capsule
72
what is a follicular adenoma
benign adenoma of the thyroid
73
what are the four main types of thyroid carcinomas
papillary follicular anaplastic medullary
74
what is the most common type of thyroid cancer
papillary carcinoma
75
how is papillary carcinoma of the thyroid diagnosed
fine needle aspiration
76
Orphan Annie Eye is seen in which condition
papillary carcinoma of the thyroid
77
what are some microscopic features of papillary carcinoma of the thyroid
papillae with dense fibrovascular cores, psammoma bodies, overlapping nuclei, and orphan Annie eyes
78
cribriform pattern is seen in which condition
papillary microcarcinoma variant of papillary carcinoma of the thyroid
79
tall cell variant (tall cuboid cells) is seen in which condition
tall cell variant of papillary carcinoma of the thyroid
80
what is the sclerosing variant of papillary carcinoma of the thyroid
variant where the tumor involves the entire lobe and is made of dense fibrosis common in children
81
what is the most common variant of papillary carcinoma of the thyroid
follicular variant
82
is follicular carcinoma most common in males or females
mid aged females
83
what is the most distinguishing factor between a follicular carcinoma and adenoma
capsule invasion - must submit entire capsule
84
what is anaplastic carcinoma of the thyroid
extremely aggressive tumors of follicular epithelium with distant metastasis
85
what is medullary carcinoma of the thyroid
neuroendocrine neoplasm derived from parafollicular cells tumors secrete calcitonin which can be altered to become amyloid deposits
86
patients with which mutations will get a prophylactic thyroidectomy to protect them from medullary carcinoma
RET mutations
87
which thyroid carcinoma has the worst prognosis
anaplastic carcinoma
88
which tumor has a fish-flesh appearance
thyroid lymphoma
89
what are the two types of parathyroid cells
chief cells oxyphil cells
90
what do the chief cells of the parathyroid secrete
parathyroid hormone (PTH)
91
what does parathyroid hormone do
raise blood calcium levels
92
what is the most common cause of asymptomatic hypercalacemia
hyperparathyroidism
93
who, males or females, are more affected by hyperparathyroidism
females (4:1)
94
what is the most common cause of primary hyperparathyroidism
parathyroid adenoma
95
what is a nephrolithiasis
kidney stone
96
what is nephrocalcinosis
calcium salt deposition in the renal parenchyma
97
what is osteitis fibrosa cystica
condition caused by hyperparathyroidism causes calcium to be released into blood and reabsorbed by the kidney
98
what are brown tumors
masses that result from excess osteoclast activity in the mandible and maxilla occurs due to hyperparathyroidism (PTH makes osteoclasts break down more bone to raise calcium levels)
99
how much does a normal parathyroid gland weigh
less than 50 mg
100
what are two consequences of a parathyroid adenoma
increased calcium and PTH
101
what is the definitive feature to tell a parathyroid carcinoma from an adenoma
invasion and metastasis
102
what is muscular opening of the duodenum into the pancreas called
sphincter of oddi
103
what do the islets of langerhans of the pancreas do
secrete hormones to regulate blood glucose levels
104
what are the four major cell types in the pancreas
alpha cells beta cells delta cells PP (F) cells
105
what do alpha cells of the pancreas do
secrete glucagon
106
what do the beta cells of the pancreas do
produce insulin and amyloid
107
what do the delta cells of the pancreas do
secrete somatostatin which stops release of glucagon and insulin
108
what do the PP (F) cells of the pancreas do
secrete pancreatic polypeptides
109
what do D1 cells of the pancreas do
secrete vasoactive intestinal polypeptide (VIP)
110
what is diabetes mellitus
group of metabolic disorders that lead to hyperglycemia because of issues with either insulin production or insulin receptors
111
what is the most common type of diabetes
type 2 - often affects those who are obese
112
what is the classic triad of diabetes mellitus
polyuria polydipsia polyphagia
113
what is polyuria
loss of water and electrolytes
114
what is polydipsia
intense thirst
115
what is polyphagia
increase appetite
116
what does diabetes increase your risk for
pancreatic cancer
117
what is an insulinoma
type of neuroendocrine pancreatic tumor beta cell tumor of the pancreas that causes too much insulin to be produced
118
what is Zollinger-Ellison syndrome
condition of having one or more gastrinomas
119
what is a gastrinoma
type of neuroendocrine pancreatic tumor tumor secretes large amounts of gastrin, therefore causing the stomach to produce too much acid
120
what is a glucagonoma
type of neuroendocrine pancreatic tumor alpha cell tumor that produces glucagon most are malignant
121
what is a somatostatinoma
type of neuroendocrine pancreatic tumor that produces somatostatin
122
what is a VIPoma
type of neuroendocrine pancreatic tumor that produces vasoactive intestinal peptide (VIP)
123
what is most important when staging a pancreatic tumor
size
124
what is the most abundant portion of the renal cortex
zona fasciculata (more white appearing layer)
125
what are the neuroendocrine cells of the medulla
chromaffin cells
126
what is Cushing syndrome
elevated glucocorticoid (cortisol) levels
127
what is Cushing disease
elevated glucocorticoid (cortisol) levels due to a pituitary adenoma
128
what is the normal weight of an adrenal gland
5 g
129
what is congenital adrenal hyperplasia (CAH)
bilateral hyperplasia of the adrenal glands
130
what is Conn Syndrome
overproduction of aldosterone which leads to hypertension can present with an aldosterone secreting carcinoma
131
what is waterhouse-friderichsen syndrome
acute adrenocortical insufficiency caused by a bacterial infection leads to excessive bleeding
132
what is an adrenal cortical adenoma
tumor of adrenal cortex ACTH independent - rather it's caused by too much cortisol (cushing syndrome) appears very yellow grossly
133
what is a pheochromocytoma
paraganglioma of the chromaffin cells of the adrenal glands
134
which condition presents with zellballen pattern microscopically
pheochromocytoma
135
what is the staging system used for neuroblastoma of the adrenals
international neuroblastoma Risk Group Staging System (INRGSS)
136
what is a paraganglioma
neuroendocrine tumor that comes from the chromaffin cells of the adrenals
137
what is wermer's syndrome (men type 1 syndrome)
disorder that affects the endocrine glands and leads to mostly benign tumors manifests usually as primary hyperparathyroidism ex. prolactinoma
138
what are the most common of the MEN1 pituitary tumors
prolactinomas
139
what are the three cells types of the pineal gland
epithelioid cells (pinealocytes) neuroglia cells (astrocytes) corpora arenacea (brain sand - not technically cells)
140
what is the main function of the pineal gland
pinealocytes produce melatonin to support the sleep/wake cycle
141
what is a pineocytoma and what is its main microscopic feature
solid mass of the pineal gland that can cause neuro symptoms like headaches and vomitting microscopy: neurocytic rosettes
142
what is the most aggressive tumor of the pineal gland
pineoblastoma
143
what is the most common type of pineal germ cell tumor
germinoma
144
which types of conditions fall under MEN-1
pituitary adenomas parathyroid hyperplasia pancreatic tumors