Kidney Flashcards

(122 cards)

1
Q

order the kidney hilum structure from anterior to posterior

A

vein
artery
nerve
ureter

How well did you know this?
1
Not at all
2
3
4
5
Perfectly
2
Q

what is the significance of perirenal sinus fat

A

it is important in staging cancer

How well did you know this?
1
Not at all
2
3
4
5
Perfectly
3
Q

what is the functional unit of the kidney

A

nephron

How well did you know this?
1
Not at all
2
3
4
5
Perfectly
4
Q

what 5 things make up a nephron

A

glomerulus
proximal tuule
thin limb
distal tubule
collecting duct

How well did you know this?
1
Not at all
2
3
4
5
Perfectly
5
Q

what forms the walls of glomerular tuft capillaries

A

endothelial cells

How well did you know this?
1
Not at all
2
3
4
5
Perfectly
6
Q

what forms fenestrated areas in the glomeruli to let things filter

A

podocytes

How well did you know this?
1
Not at all
2
3
4
5
Perfectly
7
Q

what makes up the glomerular basement membrane

A

endothelial cells and podocytes

How well did you know this?
1
Not at all
2
3
4
5
Perfectly
8
Q

what do mesangial cells do

A

support cells (contractile, phagocytic, proliferators, and chemical mediators)

How well did you know this?
1
Not at all
2
3
4
5
Perfectly
9
Q

which structure is found at the base of a glomerulus

A

vascular pole - where the afferent vessel enters and the efferent vessel leaves

How well did you know this?
1
Not at all
2
3
4
5
Perfectly
10
Q

define azotemia

A

elevation in blood urea nitrogen (BUN) and creatine

How well did you know this?
1
Not at all
2
3
4
5
Perfectly
11
Q

define uremia

A

clinical condition of having azotemia

How well did you know this?
1
Not at all
2
3
4
5
Perfectly
12
Q

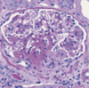
what is a nephritic syndrome

A

inflammation of the glomerulus

How well did you know this?
1
Not at all
2
3
4
5
Perfectly
13
Q

what four things does nephritic syndrome present with

A

hematuria
decreased GFR
mild/moderate proteinuria
hypertension

How well did you know this?
1
Not at all
2
3
4
5
Perfectly
14
Q

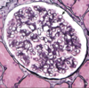
what is nephrotic syndrome

A

derangement în glomerular capillary walls which leads to increased permeability to plasma proteins

How well did you know this?
1
Not at all
2
3
4
5
Perfectly
15
Q

what four things does nephrotic syndrome present with

A

massive proteinuria
hypoalbuminemia
severe edema
hyperlipidemia and lipiduria

How well did you know this?
1
Not at all
2
3
4
5
Perfectly
16
Q

what is acute kidney injury

A

glomerular, interstitial, vascular, or tubular injury

How well did you know this?
1
Not at all
2
3
4
5
Perfectly
17
Q

what are two clinical manifestations of acute kidney injury

A

oliguria (little urine) or anuria (no urine)

How well did you know this?
1
Not at all
2
3
4
5
Perfectly
18
Q

what classifies kidney disease as chronic

A

persistent diminished GFR for 3 months or more and/or persistent albuminuria

How well did you know this?
1
Not at all
2
3
4
5
Perfectly
19
Q

what is the GFR in someone in end stage renal disease (ESRD)

A

less than 5%

How well did you know this?
1
Not at all
2
3
4
5
Perfectly
20
Q

what are the two main types of glomerular disease

A

antibody mediated destruction or deposition of circulating antigen/antibody complexes

How well did you know this?
1
Not at all
2
3
4
5
Perfectly
21
Q

which type of glomerular injury is most common

A

immune mediated (anti-body immune complex mediated)

How well did you know this?
1
Not at all
2
3
4
5
Perfectly
22
Q

what are the four basic pathological responses to glomerular injury

A

hypercellularity
basement membrane thickening
hyalinosis
sclerosis

How well did you know this?
1
Not at all
2
3
4
5
Perfectly
23
Q

what happens when there is hypercellularity from glomerulus injury

A

crescent formation

How well did you know this?
1
Not at all
2
3
4
5
Perfectly
24
Q

what is hyalinosis

A

accumulation of eosinophilic, protein material on H&E

How well did you know this?
1
Not at all
2
3
4
5
Perfectly
25
what is sclerosis
deposition of extracellular collagenous matrix
26
what is segmental sclerosis
one area of sclerosis
27
what is global sclerosis
entire glomerulus involvement
28
what is nodular sclerosis of the kidney
multiple areas of sclerosis in the glomerulus
29
what is the other name for acute proliferative glomerulonephritis
postinfectious and infection-associated glomerulonephritis
30
what is acute proliferative glomerulonephritis
diffuse proliferation of glomerular cells associated with leukocytes (immune complexes)
31
what infection most commonly causes acute proliferative glomerulonephritis
streptococcal
32
who is most likely to get acute proliferative glomerulonephritis
children between 6-10 years old due to strep. infections
33
what are the IF features of acute proliferative glomerulonephritis
granular deposits of IgG and C3
34
what are the EM features of acute proliferative glomerulonephritis
humps (aggregates of immune mediated cells) on epithelial side of basement membrane
35
in which condition would you see humps in the EM
acute proliferative glomerulonephritis
36
what is crescentic glomerulonephritis
immune mediated fibrin reaction leads to fibrin build up in the periphery of the glomerulus, leading to a crescent shape
37
what is membranous nephropathy
diffuse thickening of the glomerular capillary wall due to accumulation of IgG deposits along the subepithelial side of the basement membrane
38
what are the most common causes of membranous nephropathy
mostly primary (autoimmune disease) can also be due to things like drugs or cancer
39
what are the light microscopy features of membranous nephropathy
diffuse thickening of the glomerular capillary wall
40
what are the EM features of membranous nephropathy
electron-dense deposits on the epithelial side of the basement membrane
41
what is minimal change disease
thinning of the podocytes only seen by electron microscopy
42
what is the most common cause of nephrotic syndrome in children
minimal change disease
43
minimal change disease is a common occurrence with what
corticosteroid therapy
44
what is the most common cause of nephrotic syndrome in adults in the US
focal segmental glomerulosclerosis
45
which portion of the glomerulus is affected by focal segmental glomerulosclerosis
capillary tuft of glomerulus
46
what are two secondary causes of focal segmental glomerulosclerosis
HIV and obesity
47
what does the EM of focal segmental glomerulosclerosis show
diffuse effacement (loss) of podocyte foot processes
48
what is HIV-associated nephropathy
collapsing variant of focal segmental glomerulosclerosis shows collapsing of tuft
49
what is membranoproliferative glomerulonephritis
deposition of immune-mediated complexes two different types
50
what is seen in type 1 membranoproliferative glomerulonephritis
subendothelial IgG complex deposits typically due to infections
51
what is seen in type 2 membranoproliferative glomerulonephritis
intramembranous dense deposits due to compliment cascade activation
52
what is another name for IgA nephropathy
berger disease
53
what is IgA nephropathy (Berger disease)
mesangial thickening with IgA deposition that can be accompanied by IgG, IgM, and C3
54
what is the most common type of glomerulonephritis worldwide
IgA nephropathy (Berger disease)
55
what is hereditary nephritis
mutations in type 4 collagen genes
56
what are the two main types of hereditary nephritis
alport syndrome and thin basement membrane lesion
57
what is Alport syndrome
type 4 collagen causes irregular basement membrane thickening
58
what is thin basement membrane lesion
type 4 collagen causes thinning of the basement membrane
59
what is henoch-schonlein purpura
deposition of IgA or C3 complexes in small vessels
60
what is the leading cause of renal failure in the US
diabetic nephropathy
61
what are the two main things seen in the glomerulus of someone with diabetic nephropathy
basement membrane thickening and Kimmelsteil Wilson nodules
62
Kimmelsteil-Wilson nodules are seen in which condition
diabetic nephropathy
63
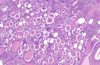
what is the most common acute kidney injury
acute tubular injury/necrosis
64
what do you see in someone with acute tubular injury/necrosis
proteinaceous casts mostly in the proximal tubules
65
what are the three main causes of acute tubular injury/necrosis
infections, toxins, and physical factors
66
what is the most common origin of pyelonephritis
ascending infection
67
define pyelonephritis
inflammation of kidneys and collecting systems
68
what are the two most common gross features of acute pyelonephritis
papillary necrosis and micro-abscesses
69
define pyonephrosis
acute case where there is a total or almost complete obstruction of renal parenchyma
70
in which condition could you see a blunted calyx/scar
a chronic case of pyelonephritis
71
what is the most important microscopic feature of chronic pyelonephritis
tubular thyroidization
72
what is xanthogranulomatous pyelonephritis
rare form of chronic pyelonephritis that can produce stag horn calculi
73
xanthogranulomatous pyelonephritis mostly affects who
women and those with diabetes mellitus
74
what is phenacetin
a type of acetaminophen that used to cause lots of cases of tubulointerstitial nephritis
75
what is urate nephropathy
uric acid crystals in the renal tubules (collective ducts) which causes obstructions and can lead to acute renal failure
76
what is seen in the medulla of someone with urate neuropathy
renal tophi (aggregate of urate crystals)
77
what is nephrocalcinosis
excess calcium deposition in the kidney which can lead to stone formation
78
what is seen in light chain cast nephropathy (myeloma kidney)
bence jones protein (casts)
79
what is bile cast nephropathy
condition seen in patients with chronic liver disease elevated serum bilirubin leads to bile casts
80
what is another name for bile cast nephropathy
cholemic nephrosis
81
what would be seen in someone with nephrosclerosis
sclerosis of small renal vessels leads to medial and intimal thickening, hyalinization, and fine granular cortical surfaces
82
how does malignant hypertension affect the kidneys
pinpoint petechial hemorrhages on cortical surface (flea bitten appearance) and fibrinoid necrosis
83
in which condition would you see a flea bitten appearance of the kidneys
malignant hypertension
84
what is the second most common cause of renal artery stenosis
fibromuscular dysplasia
85
sickle cell nephropathy causes what three clinical manifestations
hematuria diminished concentrating ability proteinuria
86
renal agenesis is most commonly associated with which genetic condition
trisomy 13
87
what is renal hypoplasia
kidney is underdeveloped - usually unilateral
88
what is an ectopic kidney
kidney in an abnormal position
89
horseshoe kidney most commonly affects which pole
lower pole
90
what is the most common congenital kidney anomaly
horseshoe kidney
91
autosomal dominant (adult) polycystic kidney disease is caused by a gene mutation in which gene
PKD1 gene
92
40% of patients with polycystic kidney disease also have which disease
polycystic liver disease
93
which condition is often caused by polycystic disease
hypertension
94
autosomal recessive (childhood) polycystic kidney disease is caused by a gene mutation in which gene
PKHD1
95
what do the cysts look like in someone with autosomal recessive (childhood) polycystic kidney disease
elongated, slit like cysts
96
what is medullary sponge kidney
condition where multiple cysts form in the collecting ducts of the medulla
97
what is multicystic renal dysplasia
sporadic, varying sized cysts made of undifferentiated mesenchyme like cartilage
98
acquired cystic disease increases your risk of which disease at a 100-fold increase
renal cell carcinoma
99
define hydropnephrosis
dilation of renal pelvis and calyces with atrophy of the kidney due to obstructed urine outflow
100
what are the four types of calculi
calcium oxalate struvite uric acid cystine
101
what is the most common type of calculi
calcium oxalate
102
what is a renal papillary adenoma
often peripheral and benign tumor arising from the renal tubular epithelium
103
what is an angiomyolipoma
benign tumor of the kidney made of vessels, smooth muscle, and fat
104
which tumor can be described as mahogany
oncocytoma
105
what is an oncocytoma
benign tumor of the kidney that can metastasize and may have a central scar
106
what is the most common type of renal cancer in adults
renal cell carcinoma
107
renal cell carcinoma is associated with which condition
Von Hippel-Lindau syndrome
108
what are the 5 major variants of renal cell carcinoma
clear cell papillary chromophobe collecting duct medullary
109
what is the other variant of clear cell variant of renal cell carcinoma
Xp11 translocation carcinoma
110
which is the most common variant of renal cell carcinoma
clear cell
111
what is clear cell carcinoma
kidney carcinoma where the cells have a clear cytoplasm and can invade the renal vein grossly, they appear very yellow-orange
112
what is papillary cell carcinoma of the kidney
arises from the distal convoluted tubule grossly, they are very hemorrhagic and cystic
113
in which condition would you see perinuclear halos and nuclear pleomorphism
chromophobe carcinoma
114
in which condition would you see a hobnail pattern
collecting duct carcinoma
115
which variant of renal cell carcinoma has the worst prognosis
medullary carcinoma
116
what is urothelial carcinoma of the renal pelvis
a tumor originating from the pelvic urothelium grossly, they are very friable
117
what is the most common primary renal tumor of childhood
wilms tumor (nephroblastoma)
118
wilms tumor (nephroblastoma) is associated with which three conditions
WAGR syndrome denys-drash syndrome beckwith-wiedemann syndrome
119
wilms tumors are made of which three things
blastema, stroma, and epithelial cells
120
a T1 kidney tumor is how big in size
less than or equal to 7 cm
121
renal vein and renal sinus fat involvement stages a kidney tumor at what automatically
T3
122
involvement outside of Gerota's fascia stages a kidney tumor to what
T4