Bronchiectasis Flashcards

(25 cards)

1
Q

Define bronchiectasis

A

Chronic inflammatory and destructive airway disease, leading to permanent destruction/ secondary dilation and thickening of mucosal walls.

How well did you know this?
1
Not at all
2
3
4
5
Perfectly
2
Q

What is the typical history in bronchiectasis?**

A

History of initial insult such as lung infections aka whooping cough in childhood.
Progressively worse breathlessness
With a productive cough - copious amounts of clear/purulent sputum.

How well did you know this?
1
Not at all
2
3
4
5
Perfectly
3
Q

What is the basic pathophysiology underlying bronchiectasis?

A

History of initial lung injury e.g CF or whooping cough
Area of airway damage and inflammation
Dilated section of airway - increased mucus production - defect in mucociliary clearance - leads to accumulation of mucus
Environment prone to infection
Inflammation and further bronchial wall dilation and thickening, oedema and inc mucous production.
Ongoing progressive airway disease/cycle ‘vicious cycle hypothesis’
Reduces the surface area for gaseous exchange leading to breathlessness.

How well did you know this?
1
Not at all
2
3
4
5
Perfectly
4
Q

What are the core presentations in bronchiectasis?

A

Chronic progressive shortness of breath 8w+
Persistent productive cough - clear phlegm outside of exacerbation 8w+
Recurrent infections

How well did you know this?
1
Not at all
2
3
4
5
Perfectly
5
Q

What are the most common causes of bronchiectasis?

A

Idiopathic
Previous pulmonary pathology - commonly pertussis (whooping cough) and pneumonia
Underlying immunological conditions (inc risk of infection)
Aspergillosis (fungal RTI)
Cystic fibrosis (excess secretion of thick mucus makes the airway prone to infection)
Connective tissue disorders
Yellow nail syndrome

How well did you know this?
1
Not at all
2
3
4
5
Perfectly
6
Q

What are patients with bronchiectasis at risk of?

A

Atypical infections
e.g psuedomonas

How well did you know this?
1
Not at all
2
3
4
5
Perfectly
7
Q

What investigations should be ordered for a patient with suspected bronchiectasis?

A

Bedside - obs (RR, O2sats, temp), ECG, sputum sample for culture and sensitivity
Bloods - blood cultures, FBC (wcc, Hb, Hematocrit), CRP, ESR, U&Es
Imaging - CXR, high res contrast CT
Others - spirometry, bronchoscopy

How well did you know this?
1
Not at all
2
3
4
5
Perfectly
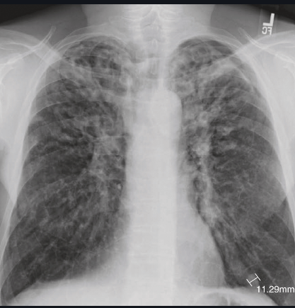
8
Q

What can be seen on a CXR of bronchiectasis?

A

Tramlines - side one
Ring lesions - front on
Respresent dilated and thickened bronchial walls.

How well did you know this?
1
Not at all
2
3
4
5
Perfectly
9
Q

What is the golden standard imaging technique for diagnosis bronchiectasis?
What is shown on this image technique?

A

High Res contrast CT
Dilated bronchi - lack of tapering
Thicked bronchial walls
Signet ring sign - when dilated bronchi and accompanying pulmonary artery are seen in cross section - bronchus is markedly dialted >1:
Bronchi visible within 1cm of pleural surface
Bunch of grapes sign

How well did you know this?
1
Not at all
2
3
4
5
Perfectly
10
Q

What conservative management should be used for bronchiectasis?

A

Annual vaccination
Chest physio/Pulmonary rehab - airway clearing techniques such as breathing technique, postural drainage and manual techniques
Community Nurses
Smoking cessation
Patient education

How well did you know this?
1
Not at all
2
3
4
5
Perfectly
11
Q

What medical management should be used for bronchiectasis?

A

Specialist respiratory input
Prophylactic antibiotics
Salbutamol inhaler
Carbocysteine

How well did you know this?
1
Not at all
2
3
4
5
Perfectly
12
Q

What signs and symptoms might a person with bronchiectasis have?

A

Shortness of breath 8w
Chronic productive cough 8w
Recurrent chest infections
Weight loss
Finger clubbing
Cor pulmonale (raised JVP and peripheral oedema)
Scattered crackles throughout the chest that change or clear with coughing
May have pleuritic chest pain
Scattered wheezes and squeaks.
Rhinosinusitis symptoms - 65-75%
GORD

How well did you know this?
1
Not at all
2
3
4
5
Perfectly
13
Q

How does yellow nail syndrome present?

A

Yellow fingers nails
Bronchiectasis
Lymphoedema
Stable with good clinical signs

How well did you know this?
1
Not at all
2
3
4
5
Perfectly
14
Q

How does bronchiectasis present on respiratory examination?

A

May be on oxygen, and may have sputum pot
Check - yellow nail syndrome, clubbing (uncommon)
Auscultation - scattered wheeze and fine inspiratory crackles.
Palpable chest secretion of cough
Large airway rhonchi

Tend to be female and non smokers.

How well did you know this?
1
Not at all
2
3
4
5
Perfectly
15
Q

What features of bronchiectasis can suggest a undiagnosed CF as underlying aetiology?

A

Early onset (norm onset at 70yrs)
Male infertility
History of malabsroption
Childhood steatorrhea

How well did you know this?
1
Not at all
2
3
4
5
Perfectly
16
Q

What are the three morphological types of bronchiectasis?

A

Tubular/cylindrical - most common - smooth uniform dilation of bronchi with loss or norm tapering - signet ring sign and tram-track sign as parallel bronchial walls
Varicose - uncommon, irregular bronchiole dilation, interspered areasof constriction
Cystic - associated with CF, dilate bronchi cyst like and filled with air or fluid.

17
Q

What are the most common colonising pathogens in bronchiectasis?

A

Haemophilius Influenza
Psuedomonas aeruginosa

18
Q

What pattern of spirometry would you expect to see in a bronchiectasis patient?

A

Obstructive
May be mixed
Can be restrictive in late stage

19
Q

What autosomal recessive condition is a common cause of bronchiectasis?

A

Cystic fibrosis

20
Q

After how many recurrent exacerbations should a bronchiectasis patient be considered for first line antibiotics, what antibiotic should be used first line?

A

> 3 in a year
Azithromycin

21
Q

NICE guidelines say that bronchiectasis should be suspected in adults with?

A

Persistent production of mucopurulent or purulent sputum, esp if risk factors
Cough 8w+, sputum production or history of trigger
RA with chronic productive cough or recurrent RTI
COPD 2+ exacerbations a year +/- productive sputum culture for Pseudomonas aeruginose whilst stable
Asthma that is severe or poorly controlled
IBD and chronic productive cough

22
Q

How should patients with bronchiectasis be followed up long term?

A

High risk of future exacerbation and all children - reviewed in secondary care
Lower risk - Primary care
In both = annual symptoms/ADL assessment, offer pul rehab isneeded, measure BMI, exacerbation frequency, sputum sample, MRC dysponea scale, spirometry, O2 sats, compliance with sputum clearance exercises,

23
Q

What is the greatest predictor of mortality in bronchiectasis?

A

Breathlessness - indicates tissue damage/disease beyond a point where patient can successfully oxygenase themselves
Also consider: frequent exacerbation, colonisation with Pseudomonas, other co-morbidities and those who smoke.

24
Q

What are the risk factors for bronchiectasis?

A

Recurrent chest infections/ severe childhood lung infections (pneumonia)
Compromised immunity - HIV, diabetes, transplant medications
Pre-exisinting lung disease - CF, COPD, asthma
Smoking
Connective tissue diseases (Marfan’s syndrome)
Airway blockages - tumours, lymph nodes etc - that block mucus clearance
Age - more likely in older patients.

25
What antibiotic is commonly given to bronchiectasis patients?
Acute exacerbation - amoxicillin (beta lactam) or erythromycin (macrolide 50s) Prophylactic - erythromycin