Pneumonia Flashcards

(47 cards)

1
Q

Define Pneumonia

A

Inflammation of the lung parenchyma leading to consolidation.
Symptoms of a LRTI wixh CXR changes, usually related to a bacterial infection

How well did you know this?
1
Not at all
2
3
4
5
Perfectly
2
Q

What are the different classifications of pneumonia?

A

Community acquired
Hospital acquired - after 48 of being in, or within 48hrs of discharge from a health care environment, not incubating or present on admission
Aspiration pneumonia - compromised swallow, vomiting, causes chemical pneumonitis
Ventilation acquired pneumonia

How well did you know this?
1
Not at all
2
3
4
5
Perfectly
3
Q

What are the risk factors for pneumonia?

A

Immunocompromised - HIV, elderly, young children, splenectomy, sickle cell disease
Existing lung disease - asthma, CF< COPD
Social situation - care home, group care facility, contact with children, smoking, excessive alcohol use
Recent viral respiratory tract infection - aka influenza.
Pharmaceuticals - PPI, inhaled corticosteroids, antipsychotics, opioids
Chronic disease - DM, CLD, CKD

How well did you know this?
1
Not at all
2
3
4
5
Perfectly
4
Q

What pathogens are the typical causes of CAP?

A

Streptococcus pneumonia
Haemophilus influenza
Moraxella catarrhalis
Staphylococcus aureus

How well did you know this?
1
Not at all
2
3
4
5
Perfectly
5
Q

What viruses can cause pneumonia?

A

Influenza A?B
Parainfluenza
Rhinovirus
RSV

How well did you know this?
1
Not at all
2
3
4
5
Perfectly
6
Q

What are the common pathogens causing HAP?

A

Tends to be anaerobic gram negative bacilli
Pseudomonas aeruginosa (CF patients)
E.coli
Klebsiella pneumonia
Acinetobacter MRSA

How well did you know this?
1
Not at all
2
3
4
5
Perfectly
7
Q

What are some atypical causes of pneumonia?

A

Mycoplasm pneumonia - younger, recent ear.eye infection
Chlaymidophila pneumonia
Chlaymidia psticcai
Legionella pneumonia

How well did you know this?
1
Not at all
2
3
4
5
Perfectly
8
Q

What indicates legionella as the cause of pneumonia?

A

Hot tube exposure/stagnant water exposure
Dry cough short prodrome with
Diahorrea / Vomiting
Confusion
Hyponatremia (inappropriate ADH secretion)
Transaminitis (elevated transanimases - liver enzymes) poor LFTs.
Lymphopaenia

Diagnosed with legionella urinary antigen

How well did you know this?
1
Not at all
2
3
4
5
Perfectly
9
Q

What is the basic pathophysiology of pneumonia?

A
  1. Impaired pulmonary defence - loss of cough reflex, IgA, injured mucocilliary clearance + loss of alveolar macrophages, accumulation of secretions
  2. Arrival of pathogen in the alveolar air space (inhlaed, aspiration or hematogenous spread), overcomes defence mechanisms
  3. Uncontrolled multiplication of pathogens, results in colonisation of the airway
    4.Local production of cytokines and chemokines (IL-8) primary by alveolar macrophages in response to pathogen toxins and DAMPs
  4. Key responses include - vasodilation, inc vascular permeability, lymphocyte/wcc immigration, inc in mucus secretion, sm construction = narrowing of the airways.
  5. Results in formation of alveolar exudate, fluid and thickened alveolar walls
  6. Impaires gas exchange leading to hypoxemia and respiratory distress.
How well did you know this?
1
Not at all
2
3
4
5
Perfectly
10
Q

What are the key signs and symptoms of pneumonia?

A

SOB
Pleuritic Chest Pain - sharp that worsens during breathing
Cough - with sputum
Chills rigor fever.
Haemoptysis
Malaise
Arthralgia
Myalgia
Can be more subtle presentation - in elderly and immunocompromised

How well did you know this?
1
Not at all
2
3
4
5
Perfectly
11
Q

What are some recent questions to consider in the history of a patient with pneumonia as a differential?

A

Risk of exposure to specific pathogens
Recent defects of immunity
Recent travel /aircon /hottubs
Recent weight loss/TB exposure - important to TB differential.

How well did you know this?
1
Not at all
2
3
4
5
Perfectly
12
Q

How might a pneumonia patient present on examination?

A

Tachycardia, hypotensive, tachypnoea, low o2 sats, pyrexial
Basal crackles and bronchial breathing sounds
Cyanosis
Dullness over percussion

How well did you know this?
1
Not at all
2
3
4
5
Perfectly
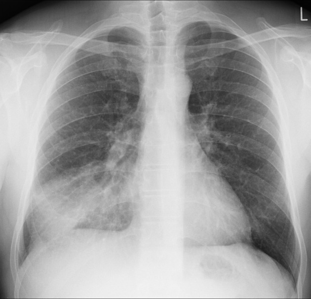
13
Q

What is the gold standard imaging technique for suspected pneumonia?
What might you see?

A

CXR is the gold standard
Unilateral - consolidation, typically in the lower lobes.
Air bronchograms? - dilated bronchi

How well did you know this?
1
Not at all
2
3
4
5
Perfectly
14
Q

What bloods should be taken on a patient with pneumonia as a differential diagnosis?

A

FBC - elevated wcc
CRP - elevated
U&E - urea for CURB score
LFT - acutely unwell
Blood cultures.

How well did you know this?
1
Not at all
2
3
4
5
Perfectly
15
Q

What bedside examinations should be done on a patient with suspected pneumonia?

A

Pneumococcal and legionella urinary antigen test.
Sputum culture and sensitivity

How well did you know this?
1
Not at all
2
3
4
5
Perfectly
16
Q

What guidelines should be followed in the treatment of pneumonia?

A

BTS pneumonia Care Bundle

How well did you know this?
1
Not at all
2
3
4
5
Perfectly
17
Q

What does the BTS Pneumonia Care bundle state as guidance for pneumonia management?

A
  1. Perform CXR within 4hrs of admission
  2. Assess oxygen saturation and prescribe oxygen to appropriate target range
  3. Calculate CURB 65 in all patients where CXR positive
  4. Adminster antibiotics within 4hrs of diagnosis, appropriate to CURB score.
How well did you know this?
1
Not at all
2
3
4
5
Perfectly
18
Q

How do you calculate the CURB score for a pneumonia patient?

A

Confusion - ABMT score of 8 or less
Urea - above 7mmol/L
RR - equal to or above 30bpm
RR - equal to or above 30bpm
BP - low sytolic less than 90mmHg +/or diastolic less than 90mmHg/
Age - 65yrs or above.
Each of the above scores one point.

How well did you know this?
1
Not at all
2
3
4
5
Perfectly
19
Q

What do the different CURB65 scores relate to in pneumonia?

A

Risk of mortality in the next 30 days
Low severity - 0 to 1 - 3% mortality - community based treatment
Moderate severity 2 - 9% mortality - treat in hospital
High severity - 3+ -15-40% mortality may require intensive care.

20
Q

What is the pneumonia severity index?

A

Considers demographics, co-morbidities, physical signs/vital signs and labs/imaging to calculate a score - aligns with mortality rates and recommended location of care.
2 or below = outpatient
3 case be case basis
4 or above - inpatient treatment.

21
Q

What is the common treatment for pneumonia?

A

Antibiotics
IV fluids
Oxygen
VTE prophylaxis
Chest physio review - to help expectorate spututm

22
Q

What antibiotics tend to be used in HAP?

A

Co-amoxiclav 500/125mg TDS for 5/7,
Second ling doxycycline.

23
Q

What antibiotics tends to be used for CAP?

A

CURB0/1 amoxiciilin
CURB 2 + clarithormycin
CURB3/4 change to co-amoxiclav and clarithoryomycin.

24
Q

What safeguaring/longer term management is given to pneumonia patients on discharge?

A

6/52 post discharge CXR - check for lung cancer
Safeguard to return to GP if symptoms do not improve 3/7 after starting antibiotics.

25
What are some common complications of pneumonia?
Sepsis Acute respiratory distress syndrome Pleural effusion Empyema Lung abscess Pericarditis Death
26
What is the key epidemiology of pneumonia?
Effects 1 in 10 adults every year 80% of cases are treated in primary care Disproporationaly affects older population with rates doubline in incidence over 65yrs, then against in over 85yrs Higher rates in socioeconomically deprived social situation. Most common cause of ARDS, sepsis in A&E and admission to ICU.
27
What is the recovery from pneumonia like?
After 1w - fever gone 4w - less phlegm and better chest 6w - not coughing and easier breathing 3m - nearly back to normal 6m - back to normal
28
What CAP cause organism is this?
Gram-positive lancet-shaped streptococcus pneumonia
29
What CAP cause organism is this?
Staphylococcus aureus Gram positive coccis in clusters
30
What CAP cause organism is this?
Haemophilius influenza Gram negative coccobacillus
31
What CAP cause organism is this?
Moraxella catarrhalis Gram negative diploccocus
32
What are the gram stains of the pathogens causing HAP?
Pseudomonas aeruginosa - gram negative bacilli E.coli - gram negative bacili Klebsiella pneumonia - gram negative rods, surrounded by a 'halo'/clear area Acinetobacter - gram negative coccobacillus
33
What is the difference between a LRTI and pneumonia?
Pneumonia shows consolidation on a CXR alongside symptoms of a LRTI If not CXR findings than just a LRTI
34
What is the terminal result of pahtophysiology that underpins pneumonia, including causing CXR changes?
Terminal alveoli and lung tissues become filled with infective material.
35
What lung is most common affected in pneumonia?
Right lung due to vertical and larger diameter bronchus - more likely for aspirated material to collect here.
36
What are the features of staphylococcal pneumonia?
More common in IVDU and CF patients CXR shows focal cavitating consolidation
37
What are the key features of mycoplasm pneumonia?
Presents with flu-like symptoms (malaise, headache) and a dry cough CXR shows interstitial shadowing localised to a lobar region Associated with erythema multiforme, GB and stevens-Johnsons syndrome
38
What are the key features of fungal pneumonia?
Cavitating lesion on CXR If present screen for immune compromise
39
What is the key features of pneumocysts pneumonia?
Presents with exertional dyspnoea, dry cough and bilateral signs CXR shows diffuse interstitial shadowing Associated with HIV diagnosis
40
What is the main associated cause with klebsiella pneumonia?
Alcoholism
41
What conditions in pseudomonas pneumonia associated with?
CF patients Or is hospital acquired.
42
What are the key features of TB pneumonia on CXR?
Caseating lesions within lung apices associated with calcification.
43
How does effusion develop as a complication of pneumonia?
Para-pneumonic effucsion Pleural inflammation surrounding the infection - allows some exudative fluid to pass into the pleural space.
44
How is empyema a complication of pneumonia?
Infective effusion (pus in pleural cavity) Requires USS guided chest drain in order to prevent damage to the pleural membranes. Suspect in patients with a resolving pneumonia who spike a new fever.
45
How is lung abscess a complication of pneumonia?
Incompletely treated pneumonia/atypical pneumonia (staph)/aspiration pneumonia Causes a ring lesion with an air-fluid level
46
How is pericarditis present as a complication of pneumonia?
Surrounding infection irritates the pericardium May have pleural rub, ECG changes and chest pain relieved on sitting forward.
47
What is the most common pathogen causing pneumonia after influenza?
Staphylococcus aureus