COPD Flashcards

(32 cards)

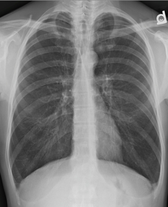
1
Q

What features on this CXR are indicative of COPD?

A

Flattened hemi-diaphragms
Narrow mediastinum
Hyperinfalted lungs
Barrel chest

How well did you know this?
1
Not at all
2
3
4
5
Perfectly
2
Q

Define COPD

A

Chronic and gradually progressive functional obstruction of the large airways. Caused by exposure to inhaled noxious gases particles or irritants.
Irreversible

How well did you know this?
1
Not at all
2
3
4
5
Perfectly
3
Q

What are the two different pathological elements within COPD?

A

Emphysema - alveolar wall destruction causing inflammation. Reduces SA for gas exchange
Chronic bronchitis - bronchiole inflammation causes mucosal thickening and mucous production which creates relative obstruction to expired air.

How well did you know this?
1
Not at all
2
3
4
5
Perfectly
4
Q

What are the key clinical features of COPD?

A

Progressive breathlessness
Productive cough - white sputum, worse in morning
Expiratory wheeze
Hyperinflated chest - reduced cricosternal distance, reduced chest expansion, intercostal recession and barrel chest.

How well did you know this?
1
Not at all
2
3
4
5
Perfectly
5
Q

What are the key features of emphysema in COPD?

A

Weight loss
Barrel Chest
Easily fatigued
Use of accessory muscles to breathe (tripod position)
Pink discolouration
Orthopneic
Pursed lip breathing
Prolonged expiratory time.

How well did you know this?
1
Not at all
2
3
4
5
Perfectly
6
Q

What are the key symptoms in chronic bronchitis?

A

Cough - productive increased sputum
Obesity
Peripheral Oedema
Cor pulmonale
Fatigue
Central cyanosis
Wheeze on exculation
Elevated JVP

How well did you know this?
1
Not at all
2
3
4
5
Perfectly
7
Q

What social factor is very important in the diagnosis of COPD?

A

Significant smoking history

How well did you know this?
1
Not at all
2
3
4
5
Perfectly
8
Q

What genetic conditions is associated with emphysema?

A

Alpha 1 antitrypsin deficiency
Autosomal recessive

How well did you know this?
1
Not at all
2
3
4
5
Perfectly
9
Q

What are some key complications from chronic bronchitis?

A

Secondary polycythemia vera due to hypoxemia - elevated hemoglobin
Pulmonary HTN - due to reactice vasoconstriction from hypoemia
Cor pulmonale from chronic pulmonary HTN

How well did you know this?
1
Not at all
2
3
4
5
Perfectly
10
Q

What are some key complications of emphysema?

A

Pneumothorax due to bulbae
Weight loss due to work of breathing cachetic

How well did you know this?
1
Not at all
2
3
4
5
Perfectly
11
Q

What are the differences in the treatment for chronic bronchitis and emphysema?

A

Chronic bronchitis - respond better to inhaled steroids
Emphysema - home oxygen therapy

How well did you know this?
1
Not at all
2
3
4
5
Perfectly
12
Q

What is the key pathophysiology of chronic bronchitis?

A

Chronic inflammation of the bronchioles - due to irritant such as cigarette smoke
Results in increased mucus production, goblet cell hyperplasia, mucocilliary destruction.
Obstruction - mainly affects expired air
Less O2 in and less CO2 out - leaves to hypoxia and hypercapnia.
Alveolar hypoxia = Pul HTN, leads to cor pulmonale =>JVP
Dec LV output = dec circulatory volume = activation of RAAS = increased fluid volume.

How well did you know this?
1
Not at all
2
3
4
5
Perfectly
13
Q

What is the key pathophysiology of emphysema?

A

Proteases released from immune cells and epithelial cells such as neutrophil elastase.
Protease-antiprotease imbalance - damage to lung parenchyma and respiratory epithelium
Damage to alveoli - loss of elastic recoil and radial tension - enlarged alveoli and air trapping - functional obstruction - inc work of breathing.
Reduced gas exchange - allergen triggers chronic inflammation in the lungs leading to airway remodelling.
Loss of capillary beds - impaired gas exchange.

How well did you know this?
1
Not at all
2
3
4
5
Perfectly
14
Q

What are some common complications of COPD?

A

Cor pulmonale - elevated pressure in pulmonary arteries, inc pressure on right side of heart.
Exacerbations - infective or non-infective
Pneumothorax - peripheral emphysematous bullae rupture causing a secondary pneuomothax, present with acute deterioration in COPD patients with pleurtic chest pain
Drug-related complications - steroid side effects and steroid withdrawal.

How well did you know this?
1
Not at all
2
3
4
5
Perfectly
15
Q

What investigations should be done for Chronic COPD in the GP?

A

Bedside - ECG = cardiac compromise?
Bloods - FBC (polycythaemia)
Scoring - MRC dysponea scale
Imaging - CXR
Special tests - spirometry, echo for cor pulmonale

How well did you know this?
1
Not at all
2
3
4
5
Perfectly
16
Q

What investigations should be done for acute COPD in A&E?

A

Bedside - obs (news score), sputum culture, ECG
Bloods - ABG, FBC, U&Es, CRP + blood cultures (pyrexial)
Imaging - CXR

17
Q

How does chronic CO2 retention present on an ABG?

A

Raised bicarbonate on an ABG
Also raised CO2

18
Q

What is the MRC breathlessness scale?

A

1 - not troubled by breathlessness except on strenuous exercise
2 - SOB hurrying on level or walking up a slight hill
3 - slower than most on level, stops after 15mins on pace or a mile
4 - stops every 100yards or a few minutes on level ground
5 - too breathless to leave the house or dress/undress.

19
Q

What is the acute management of COPD exacerbation?

A

Oxygen - 15L O2 controlled oxygen therapy - venturi mask tirate as required
Help - call for senior
Salbutamol Nebuliser 5mg

Hydrocortisone IV/ Prednisolone 30mg PO
Ipratropium bromide - 500mg - swap with salbutamol
Theophylline
Exacerbate

+/- antibiotics

20
Q

What type of ventilation can be offered to COPD exacerbations?

A

BIPAP - Biphasic Postive Airway Pressure = non-invaice - eliminate CO2

Invasive ventilation - if severely acidotic.

21
Q

What conservative management can be used by COPD?

A

Smoking cessation - reduce the severity of bronchitis
Dietary supplementation - treat cachexia
Chest physio/pulmonary rehab
Rescue pack - self-treat exacerbations in the community
COPD community nurse. (antibiotics and steroids)

22
Q

What medications can be used to manage chronic COPD?

23
Q

What long term changes occur in the airway of a person with COPD?

A

Long term changes in the airway of chronic bronchitis include:
Lumen obstruction - increased vol of dehydrated mucus
Epithelium = inc goblet cells in small airway, neutrophils infiltrate, sqaoumous metaplasia due to smoke, hypertrophy and hyperplasia of underlying mucus glands, smooth muscle hyperproliferatoin and hypersensitive

24
Q

What investigations should be done in the diagnosis of COPD?

A

CXR - barrel chest, weight loss - exclude other diagnosis
Spirometry - obstructive condition - FEV1/FVC less than 70%, little or no response to reversibility test with B2agonist.
FBC - polycythemia (raised Hb due to chronic hypoxia), anemia (iron deficit from meds or diet)
Sputum culture - chronic infection such as pseudomonas
ECG and echo - cor pulmonale and HF
Serum alpha-1 antitrypsin - for deficient (consider if early onset, family history, no or low smoking history)

25
What are the key features of COPD on a respiratory examination?
Reduced cricosternal distance Reduced chest expansion No clubbing
26
What are the key similarities and differences between COPD and asthma?
27
What is the prognosis of having COPD?
Progressive - poor prognosis if breathlessness is not well managed. Progression and severity is monitored by comparing acute FEC1 against predicted FEV1 80% stage 1 mild 50-79% stage 2 moderate 30-49% severe Less than 30% stage 4 very severe. - also includes patients withFEV1 <50% predicated is resp failure on ABG
28
What adjuvant treatment can be given for COPD patients?
Carbocysteine - reduces mucus viscosity to aid expectoration Prophylactic antibiotics - considered is recurrent exacerbations.
29
What treatment may be given for end stage COPD? Why?
Morphine or other opioids Helps reduce the sensation of breathlessness and provide palliative management for the patient.
30
When might long term oxygen therapy be considered for COPD patients?
Very severe airway disease FEV1 <30% predicted Often cyanosis, polycythaemoa, peripheral oedema/raised JVP, o2 sats <92% on room air PaO2 <7.3 on 2 ABGs when stable PaO2 <8 on 2 ABGs and pul HTN, periph oedema or polychthaemia. Must be given for 15hrs a day to feel benefit. Should consider fall risks and risk of burns/fires (not eligible if smoke)
31
What is the normal value of O2 saturation in a healthy population?
95%
32
What pathogen is the most common cause of infective exacerbation in COPD?
Haemophilus influenza