Cabeza 2: EVC Flashcards

(23 cards)

1
Q

EVCs a grandes rasgos se dividen en:

A
  • Isquémico: 80% (tromboembolismo e interrupción de flujo)
  • Hermorrágico: 20%

Uno puede llevar al otro

How well did you know this?
1
Not at all
2
3
4
5
Perfectly
2
Q

Causa más común de EVC y tipo:

A

Tromboembolismo ➝ disección arterial ➝ perfusión disminuye

Isquémico

How well did you know this?
1
Not at all
2
3
4
5
Perfectly
3
Q

EVC por interrupción de flujo característica histopatológica:

A

Necrosis licuefactiva

Puede volverse hemorrágico por reperfusión

How well did you know this?
1
Not at all
2
3
4
5
Perfectly
4
Q

Características EVC isquémico

Fase hiperaguda

A
  • 0-6 horas
  • 60% sin datos
  • ACM hiperdensa = Signo de la cinta insular (raro)
How well did you know this?
1
Not at all
2
3
4
5
Perfectly
5
Q

EVC isquémico

Aguda

A
  • 7-24 hrs
  • Borramiento de giros y surcos
  • Edema ➞ efecto de masa
How well did you know this?
1
Not at all
2
3
4
5
Perfectly
6
Q

EVC isquémico

Subaguda

A
  • 24-72 hrs
  • Edema
  • Mayor hipodensidad
How well did you know this?
1
Not at all
2
3
4
5
Perfectly
7
Q

EVC isquémico

Crónica:

A
  • Meses-años
  • Hipodensidad de equivalencia a líquido
  • Tejido gliótico (cicatriz) ➞ efecto de masa negativo (jala estructuras) =

=Encefalomalacia

How well did you know this?
1
Not at all
2
3
4
5
Perfectly
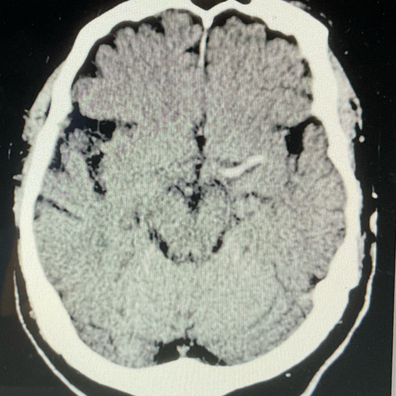
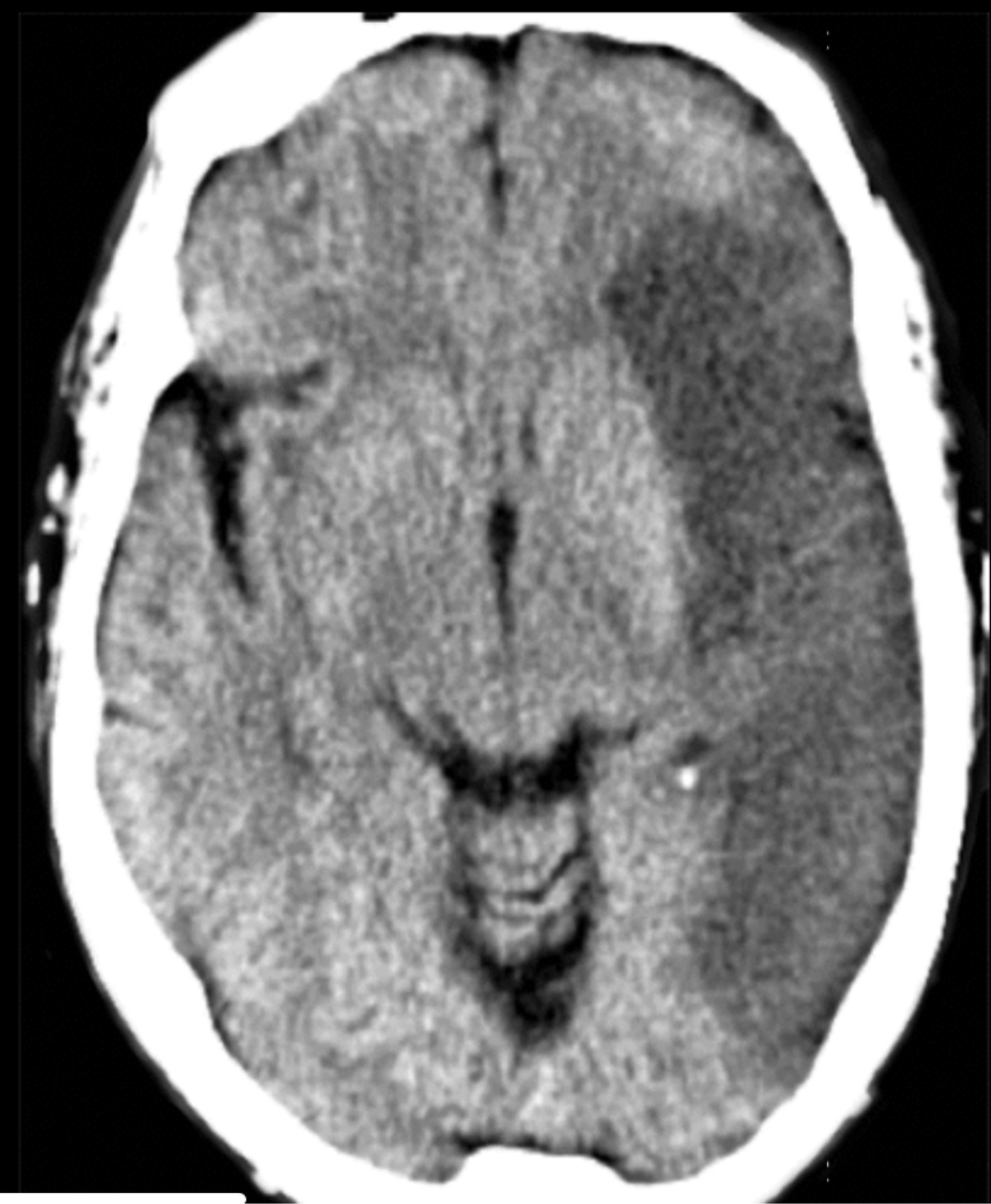
8
Q
A

EVC isquémico crónico

How well did you know this?
1
Not at all
2
3
4
5
Perfectly
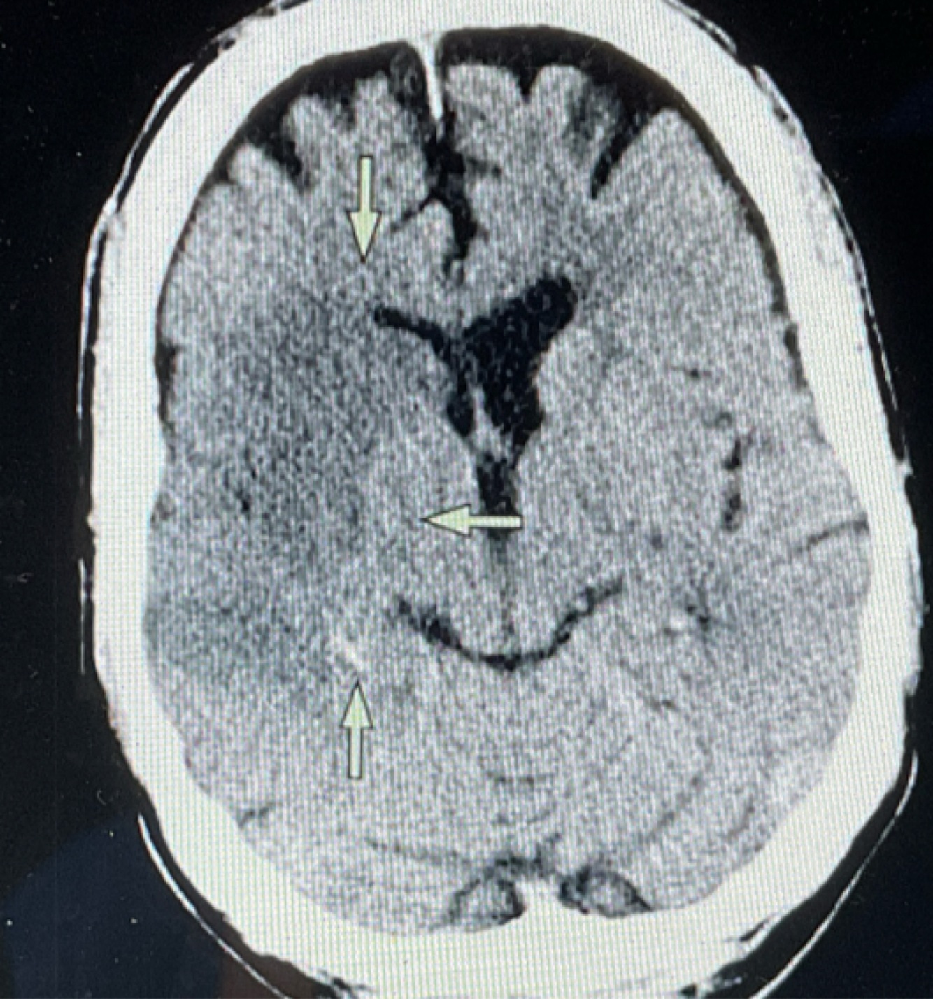
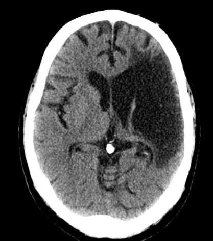
9
Q
A

EVC isquémico agudo

How well did you know this?
1
Not at all
2
3
4
5
Perfectly
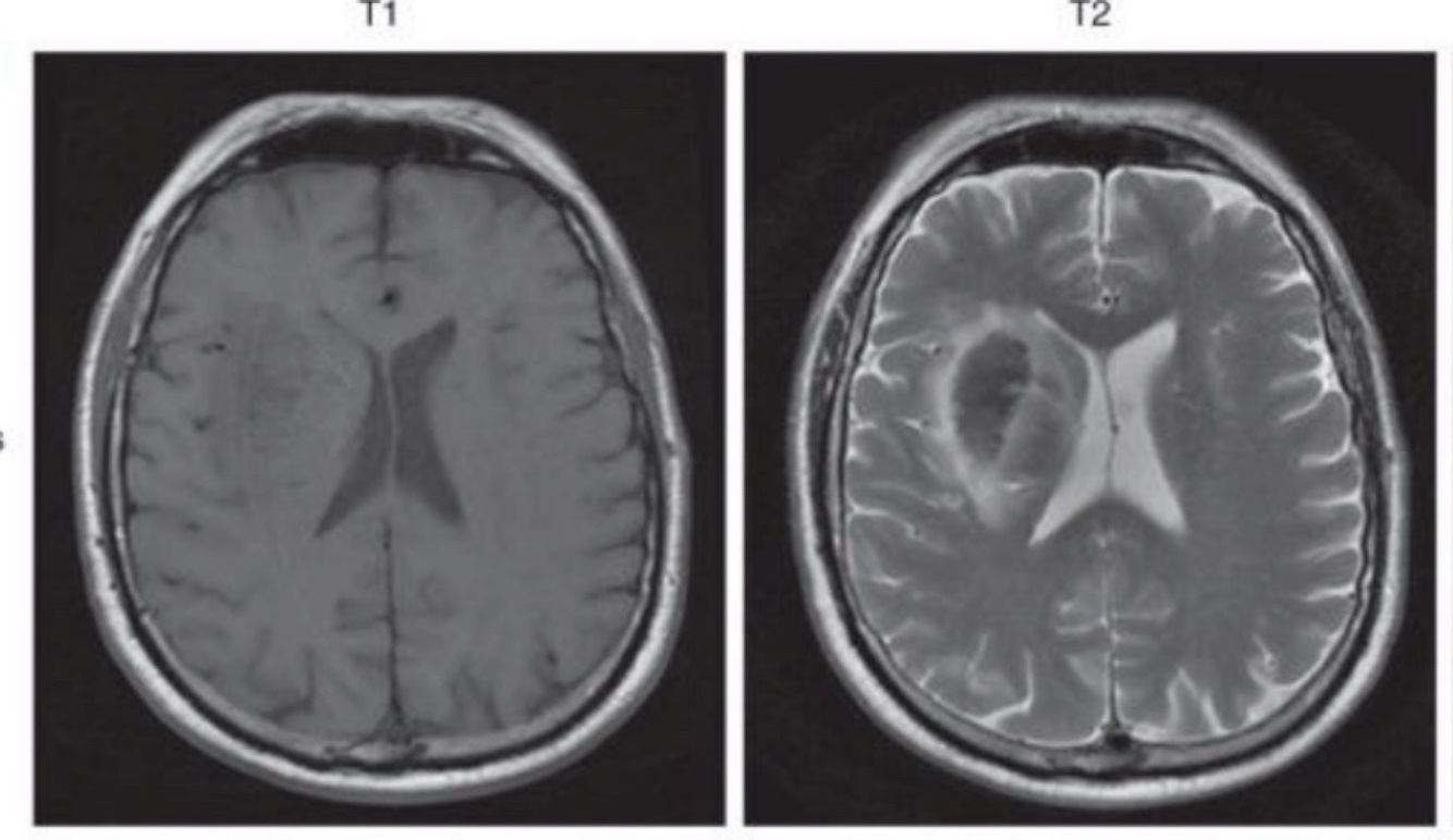
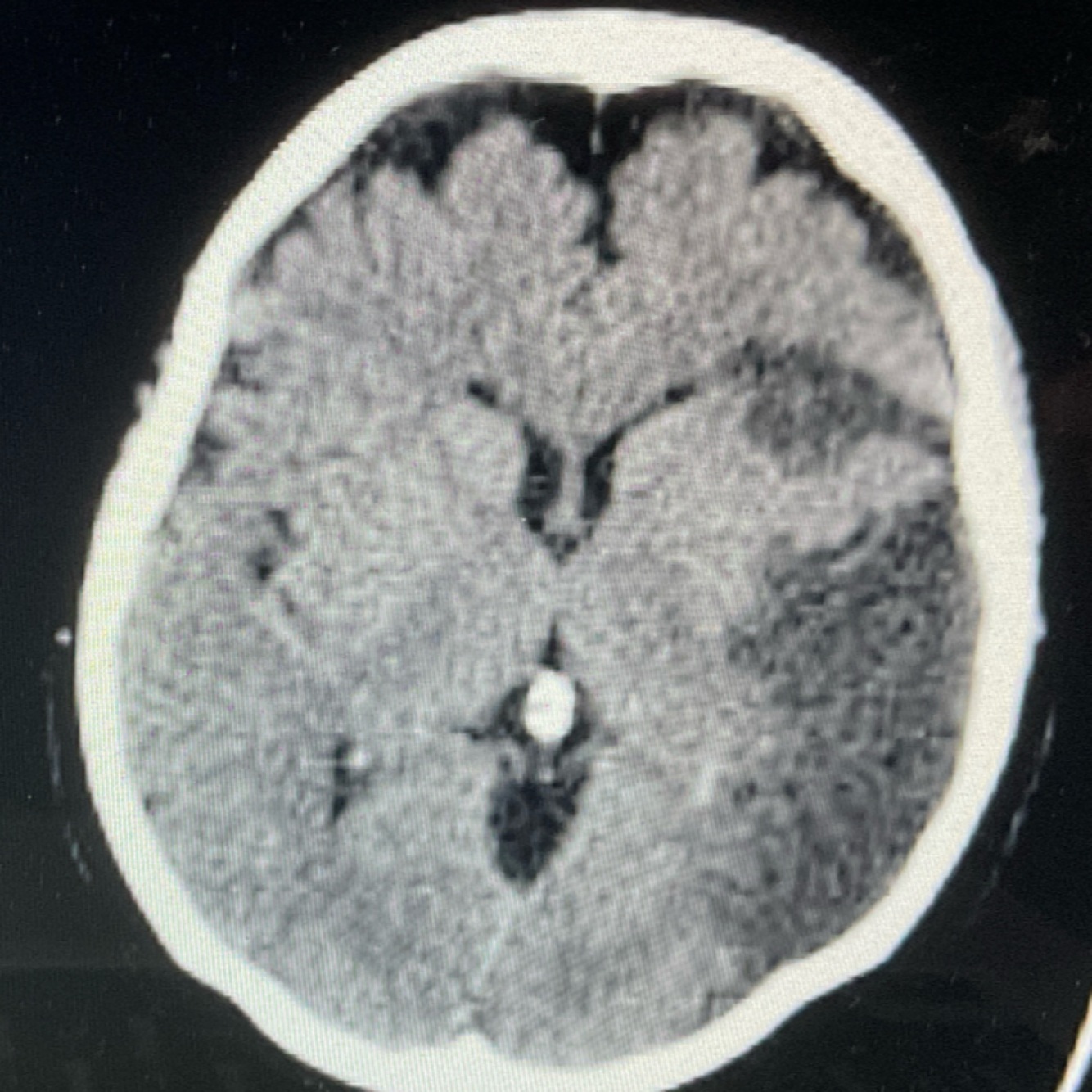
10
Q
A

EVC isquémico subagudo

How well did you know this?
1
Not at all
2
3
4
5
Perfectly
11
Q
A

Hipergudo
signo de la cinta insular (ACM)

How well did you know this?
1
Not at all
2
3
4
5
Perfectly
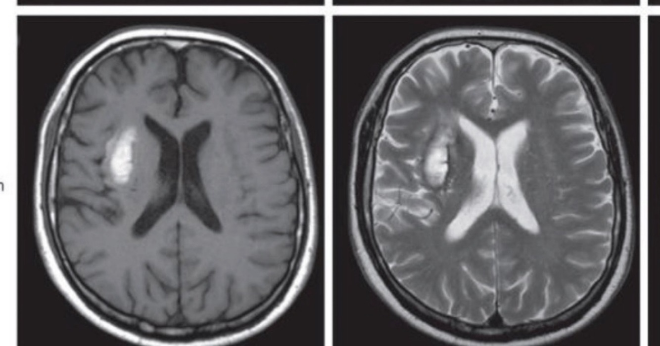
12
Q
A

EVC isquémico subagudo

How well did you know this?
1
Not at all
2
3
4
5
Perfectly
13
Q

Estudio de alta sensibilidad para EVC isquémico en fase hiperaguda:

A

MRI

No se usa

How well did you know this?
1
Not at all
2
3
4
5
Perfectly
14
Q

EVC hemorrágico etiologías:

A
  • HAS = más común
  • Aneurismas
  • TVP
  • Neoplasias
How well did you know this?
1
Not at all
2
3
4
5
Perfectly
15
Q

Zonas del cerebro que mayormente se involucra en un EVC isquémico:

A

80% involucra Núcleos de la base

How well did you know this?
1
Not at all
2
3
4
5
Perfectly
16
Q

Estudios para evaluar aneurismas:

17
Q

Signo encontrado en TC en HSA

A

Signo del “falso realce”

18
Q

Escala que evalúa posibilidad de que un EVC hemorrágico se vuelva isquémico:

19
Q

MRI para EVC hemorrágico es gold standard en:

A
  • Residuos crónicos
  • Amiloidosis
20
Q

V/F MRI es útil para EVC hemorrágico en fase aguda

21
Q

Estudio de primera elección en caso de EVC y por qué:

A

TC

  • Confirma o descarta hemorragia
  • Establece sospecha de isquemia
22
Q
A

EVC hemorrágico subagudo (36 hrs)

23
Q
A

EVC hemorrágico a 1 mes