Ojo Flashcards

(21 cards)

1
Q

Causa más común de exoftalmos:

A

Orbitopatía tiroidea

➞ Enfermedad de Graves

How well did you know this?
1
Not at all
2
3
4
5
Perfectly
2
Q

Clínica de orbitopatía por Enfermedad de Graves

A
  • Edema periorbital y palpebral
  • Diplopía
  • Ojo seco
  • Exoftalmos
  • Retracción del párpado

Ac contra tiroides = hipertiroidismo

How well did you know this?
1
Not at all
2
3
4
5
Perfectly
3
Q

Diferencias H y M en orbitopatía tiroidea:

A
  • Más común en mujeres
  • Más severa en hombres
How well did you know this?
1
Not at all
2
3
4
5
Perfectly
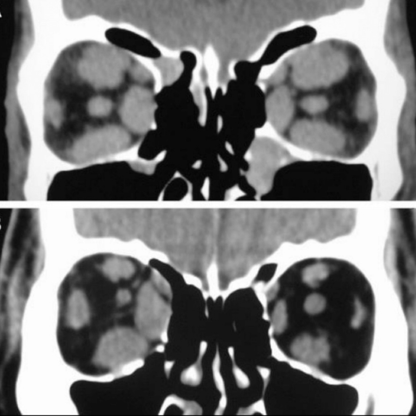
4
Q

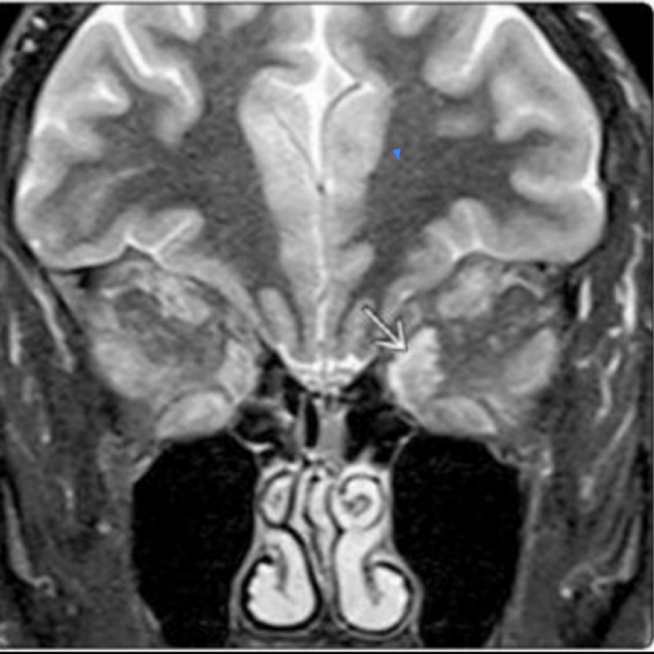
Hallazgo principal en orbitopatía tiroidea:

TC o MRI

A

Agrandamiento bilateral de músculos extraoculares

How well did you know this?
1
Not at all
2
3
4
5
Perfectly
5
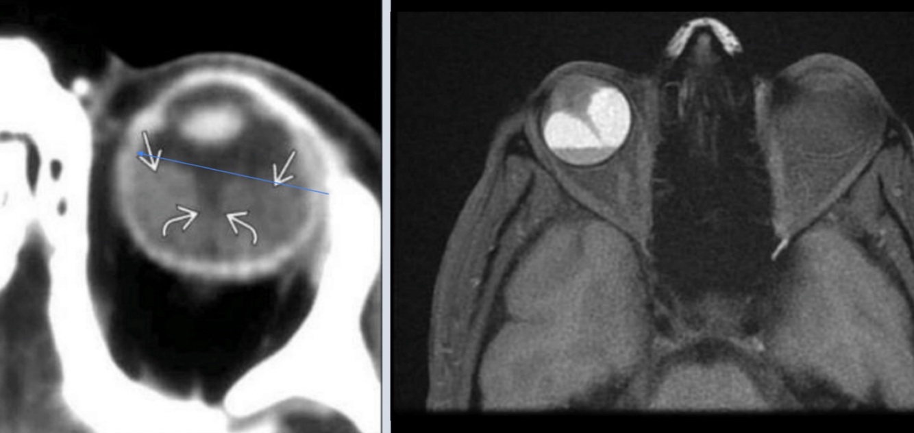
Q

Hallazgos de la TC en orbitopatía tiroidea:
Relevancia de TC sobre MRI:

A
  • Agrandamiento de músculos extraoxulares
  • N. óptico estirado
  • Exoftalmos

Enfermedad no complicada y plantear cirugía

How well did you know this?
1
Not at all
2
3
4
5
Perfectly
6
Q

Resonancia Magnética relevancia:

A
  • Tratamiento
  • Compromiso de N. óptico

Mejor estudio

T1

How well did you know this?
1
Not at all
2
3
4
5
Perfectly
7
Q

Orbitopatía tiroidea

Hallazgos en T2:

A

Fases

  • Aguda: aumenta señal en músculos
  • Crónica: baja densidad

Diámetro disminuido en N. óptico

How well did you know this?
1
Not at all
2
3
4
5
Perfectly
8
Q

Otras etiologías de exoftalmos:

A

Masas ocupativas retroculares

How well did you know this?
1
Not at all
2
3
4
5
Perfectly
9
Q

Medidas de exoftalmometría:

A
  • Normal: 16-17 mm
  • Diferencia de 2 mm anormal: enoftalmos, exoftalmos
How well did you know this?
1
Not at all
2
3
4
5
Perfectly
10
Q

Retinoblastoma subtipos:

A
  • Bilateral
    .
  • Trilateral: + t. pineal
    .
  • Cuadrilateral: bilateral + t. pineales + t. supraselares
How well did you know this?
1
Not at all
2
3
4
5
Perfectly
11
Q

Clínica de RB:

A
  • Leucocoria
  • Pérdida de visión, estrabismo
  • Niños menores de 4 años
How well did you know this?
1
Not at all
2
3
4
5
Perfectly
12
Q

¿Qué se aprecia en RB por USG?

A

Lesión hiperecogénica con calcificaciones

How well did you know this?
1
Not at all
2
3
4
5
Perfectly
13
Q

Hallazgos de TC de RB:

A
  • Calcificación manchada o punteada
  • Masa con densidad intermedia
  • Capta contraste
How well did you know this?
1
Not at all
2
3
4
5
Perfectly
14
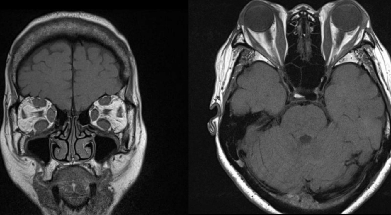
Q

Hallazgos en RM:

A
  • Evaluar implicaciones intra y extraoculares
  • Hemorragia
  • Mejor caracterización de lesión en pineal
How well did you know this?
1
Not at all
2
3
4
5
Perfectly
15
Q

¿Cuántas capas tiene la retina?

A

9

How well did you know this?
1
Not at all
2
3
4
5
Perfectly
16
Q

Etiologías de desprendimiento de retina:

A
  • Regmatógeno = traumatismo
  • No regmatógeno: exudativo (neoplasia) o traccional (diabético)
17
Q

Dx de desprendimiento de retina:

A
  1. Fondoscopía
  2. USG/TC
18
Q

¿Para qué se utiliza la MRI en desprendimiento de retina?

A

Evaluar presencia de neoplasias o fondoscopía no concluyente

19
Q

Hallazgos de USG en deprendimiento de retina:

A
  • Retina doblada y brillante
  • Movimientos disminuyen con tiempo
  • Forma triangular en humor vítreo (sangre)
20
Q

Desprendimiento de retina
Hallazgos en TC/MRI

A
  • Hiper densidad/intensidad
  • Fluido subretiniano
  • Neoplasias
  • Retina triangular
21
Q

¿A qué se debe la hiperdensidad/intensidad en deprendimiento de retina?