Oído Flashcards

(16 cards)

1
Q

Otitis media clínica y etiología:

A
  • Px jóvenes
  • Asociado a IVAs
  • Obstrucción de trompa de Eustaquio
How well did you know this?
1
Not at all
2
3
4
5
Perfectly
2
Q

Mejor estudio de imagen para otitis media:

A

TC

Compara: no hay aire

How well did you know this?
1
Not at all
2
3
4
5
Perfectly
3
Q

Hallazgos de TC en otitis media:

A
  • Masa bien definida en oídeo medio: densidad intermedia
  • Erosiones osiculares

Asociado a mastoiditis

How well did you know this?
1
Not at all
2
3
4
5
Perfectly
4
Q

¿Cuándo se solicita MRI para otitis media?

A

Evaluar complicaciones

How well did you know this?
1
Not at all
2
3
4
5
Perfectly
5
Q

T1 y T2 en otitis media:

A
  • T1: masa hipointensa
  • T2: hiperintensa en oído y mastoides
How well did you know this?
1
Not at all
2
3
4
5
Perfectly
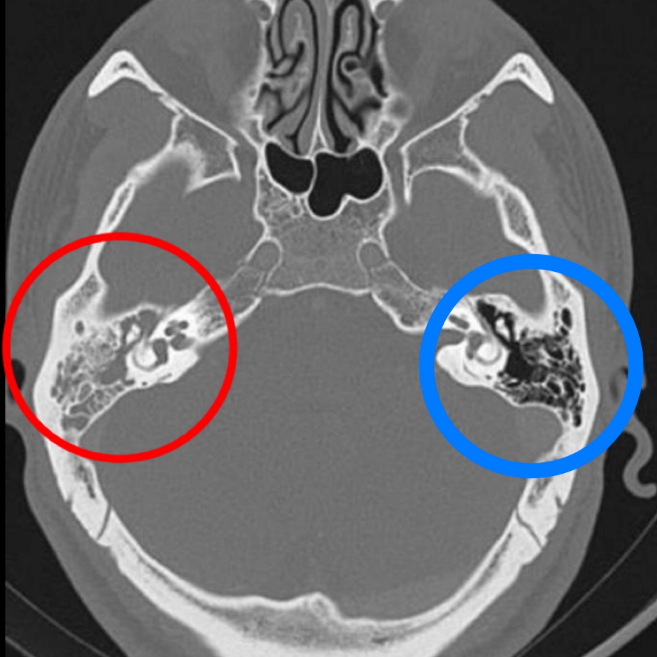
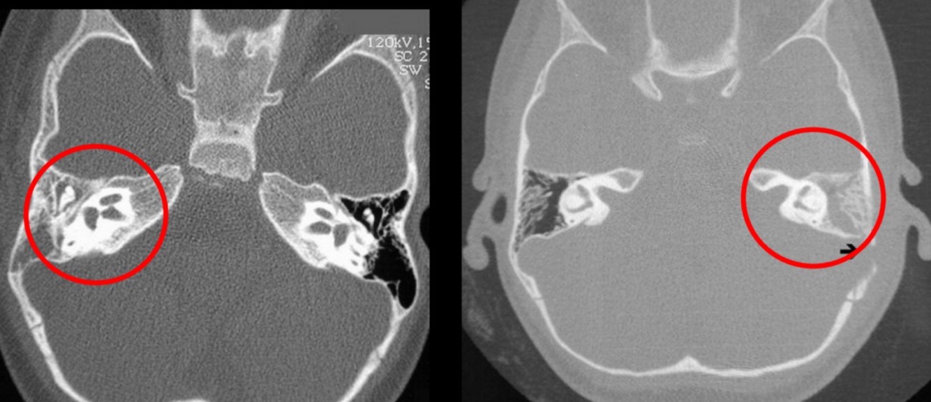
6
Q

Mastoiditis
Complicaciones:
Edad:

A
  • Crónica ➞ resorción ósea y demineralización
  • Comúnmente en niños
  • Asociada a complicación por otitis
How well did you know this?
1
Not at all
2
3
4
5
Perfectly
7
Q

Mejor estudio de imagen para mastoiditis:

A

TC

How well did you know this?
1
Not at all
2
3
4
5
Perfectly
8
Q

Hallazgos de TC:

A
  • Opacificación de celdillas mastoideas

.

  • Crónico: Esclerodiploico = engrosamiento óseo
How well did you know this?
1
Not at all
2
3
4
5
Perfectly
9
Q

Complicación de mastoiditis

A

Meningitis

How well did you know this?
1
Not at all
2
3
4
5
Perfectly
10
Q

¿Para qué se usa la MRI?

A

Extensión intracraneal
➞Meningitis
➞Abscesos por complicación

How well did you know this?
1
Not at all
2
3
4
5
Perfectly
11
Q

Hallazgos de T2 en mastoiditis complicada:

A
  • Señal aumentada
  • Disminución de señal en seno sigmoideo
  • Capta contraste
How well did you know this?
1
Not at all
2
3
4
5
Perfectly
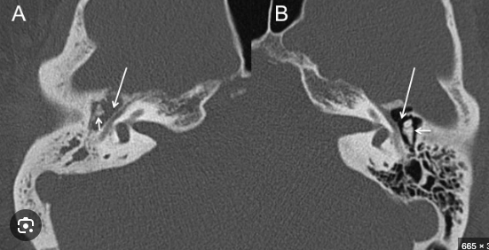
12
Q

¿Qué es el colesteatoma?

A
  • Neoplasia benigna de comportamiento maligno
  • Tejido epidérmico que crece e el interior del conducto auditico
  • Complicación de ostomastoiditis
How well did you know this?
1
Not at all
2
3
4
5
Perfectly
13
Q

¿Por qué colesteatoma tiene comportamiento maligno?

A

Destruye hueso y cadena osicular

How well did you know this?
1
Not at all
2
3
4
5
Perfectly
14
Q

Clínica de osteatoma:

A
  • Dolor retroauricular
  • Sordera
  • Cefalea
  • Meningitis
How well did you know this?
1
Not at all
2
3
4
5
Perfectly
15
Q

Hallazgos en imagen:

A

RM o TC

  • Otitis y mastoiditis
  • Masa que destruye hueso

A (afectado): se pierden huesecillos

How well did you know this?
1
Not at all
2
3
4
5
Perfectly
16
Q

Estudio de imagen dx para colesteatoma:

A

DWI

Hiperintensa en T2

DWI