A. What is the cause of acute coronary syndromes?
B. Differentiate between the two ends of the spectrum.
A. acute coronary syndromes (unstable angina, MI, and sudden death) result from acute plaque change often superimposed with thrombosis.
B.
ulcerated therosclerotic plaque with a partially obtructive thrombus is associated with unstable angin or subendocardial infarction.
a rupture atherosclerotic laque with a fully obstructive thrombus is associated with transmural MI
Differentiate between TRANSudate and EXudate
TRANSudate=an ultrafiltrate of plasma caused by hemodynamic changes
EXudate=an extravasation of 1. plasma water, 2. small ions, 3. plasma protein components, and 4. circulating leukocytes as seen in inflammatory states
A1. Define acute pericarditis
A2. what is the most common form?
A3. what is the most striking physical finding?
B1. Define characteristics/physical findings on chronic pericarditis
B2. how long does it take to develop chronic pericarditis?
A1. Acute pericarditis: acute-onset, mid-chest pleuritic pain that decreases on sitting up and leaning forward
A2. most common form: fibrinous or serofibrinous pericarditis
A3. most strking physical finding: pericardial friction rub
B1.
Chronic pericarditis: can hear a pericardial knock that is a bief, high frequency, precordial sound heard in early diastole (shortly after S2).
B2. takes months/yrs to develop
What are the major assoiations of autosomal and sex chromosomal-inherited disorders that are associated with developmental cardiac and/or aortic defects or cardiac pathology?
>>T-lymphocyte immunodeficiency that results from maldevelopment of the 3rd and 4th branchial (pharyngeal) pouches due to deletion on chromosome 22.
>>clinical associations: absence of a thymic shadow on neonatal x-ray, hypocalcemic tetany (from absence of the parathyroids), cleft palate, mandibular deformity, low-set ears, and aortic arch abnormalities
>>short stature, short and thick neck, broad chest, shortened 4th metacarpals
>>bicuspid aortic valve=most common congenital cardiac malformation-can occur with aortic coarctation
>>>>pts susceptible to infectious endocarditis due to abnml leaflet structure and turbulent flow
>>CP: aortic ejection sound, early systolic, high-frequency cick heard over right second interspace
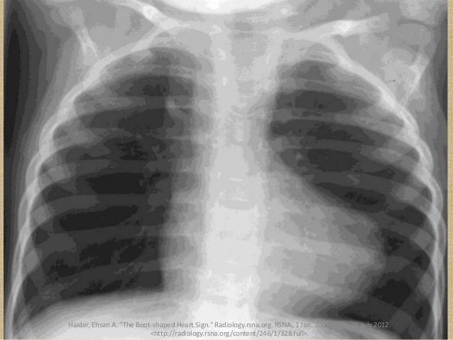
Describe the Tetralogy of Fallot (congenital defect)
Characterized by:
>>R-to-L shunt leads to early cyanosis; degree of stenosis determines the extent of shunting and cyanosis
>>patients learn to squat in response to a cyanotic spell; increased arterial resistance decreases shunting and allows for more blood to reach the lungs
>>boot-shaped heart on x-ray

Differentiate between slow and fast response tissues
Slow response tissues: SA and AV node
fast response: cardiomyocytes
What is the most common cause of aortic stenosis in elderly patients (>70)?
degenerative calcification of the aortic valve leaflets
What causes QT prolongation?
Decreased outward K+ current during repolarization phase of the cardiac AP results in QT prolongation.
>>major cardiac pathophy consequence of QT prolongaion=an increased risk of episodic polymorphic ventricular tachycardia, including torsades de pointes
>>Adenosine and ACh reduce the rate of spontaneous depolarization in cardiac pacemaker cells by prolonging phase 4
Mitral Regurg
Wiggers Diagram

Aortic Regurg
>>LVEDV also increased due to incompetent aortic valve
>>Wiggers: elevated LVDP and decreased aortic diastolic pressure due to regurgitant flow from the aorta to the LV
Mitral Valve Prolapse
Mitral Stenosis:
>>seen in rheumatic heart disease
>>produces a mid-diastolic, low pitched, rumbling murmur that may begin with an opening snap best heard over the apex of the heart
>>on Ventricular PV loop, MV opening occurs at the point between isovolumetric relxation and diastolic filling
>>LV diastolic pressures usualy near-nml, pressures proximal to stenotc MV typically elevated; SV and pulse pressures usually near nml
>>Wiggers: increased LA pressure during diastole (not systole) due to primary obstruction of LV filling
Epidemiology: Often an immigrant (non-US)
Aortic Stenosis
Tricuspid Regurg
>>holosystolic murmur that increase in intensity during inspiration (also in MR and ventricular septal defects)
>>loudest near left lower sternal border
What are the different types of heart pigments?
>>common ex: when urban residing individuals inhale carbon or coal dust that is taken up by macrophages within the lung parenchyma (anthracosis)
(Adult type) Aortic coarctation
>>TRIAD: upper body HTN, diminished lower extremity pulses, enlarged intercostal artery collaterals
>>stenosis is post-ductal (vs. infantile form, coarctation is preductal and fatal soon after birth sans surgical repair)
>>clincal a: can produce HTN in the upper aortic circulation and simultaneously low perfusion in the dital aorta supplying the legs
>>clinical b: HA and epistaxis may be caused by the HTN inthe arteries supplying head/neck
>>clinical c: lower extremity mu weakness orfatigue with exercsie may be caused by inadequate lower body perfuision
likelihood of adult type is greatly increased by the finding of enlarged, palpable intercostal cesse; these indicate the development of a collateral arterial circulation to the region of the aorta distal to the coarctation
>>radiographic exam: notching of the ribs as a result of enlarged tortuous intercostal arteries
Different cell types/dz assoc
>>Acanthocytes-cells with irregularly spaced surface projections that vary in length and width
spur cells=extreme form
typical of abetalipoproteinemia
>>Bite cells-from oxidant-induced damage (ex: G6PDH deficiency)
occur when spenic monocyte-macrophage system removes heinz bodies from erythrocytes
>>Spherocytes-small round erythrocytes without nml central pallor
common in hereditary spherocytosis also, autoimmune hemolytic anemia, burns, and non-fresh blood samples
>>Target cells-bulls eye morphology with central concentration of Hgb surround by colorless area
seen in: obstructive liver dz, thalassemia, iron deficiency anemia, and asplenia
>>Teardrop cells-myelofibrosis
when marrow is replaced with fibrosis (or metastatic cancer), RBC must squeeze through fibrous stranfs, later appearing in peripheral smear as teardrop cells
>>Shistocytes-DIC
What is PARAneoplastic syndrome of hypercoagulability?
>>can be seen in some pts with cancer, especially adenocarcinomas of the pancreas, colon, or lung
>>superficial VT can appear in one sit and resolved, only to recur in another site=Trousseau syndrome (migratory superficial thrombophlebitis); an indication of visceral cancer
LA enlargement
can sometimes cause left laryngeal nerve impingement; neurapraxia resulting in left vocal cord paresis and hoarseness may result
Congestive Heart Failure
>>Clinical features due to decreased forward perfusion and pulmonary congestion.
I.pulmonary congestion leads to pulmonary edema: a. results in dyspnea, paroxysmal nocturnal dyspnea (due to increased venous return when lying flat), orthopnea=specific sign, and crackles
b. small, congested capillaries may burst, leading to intraalveolar hemorrhage; marked by hemosiderin-laden macrophages (HF cells)
II. decreased flow to kidneys leads to activation of RAA system and fluid retention exacerbates CHF
III. tx: ACE inhibitor
I. most commonly due o LSHF; other important causes: L-to-R shunt and chronic lung disease (cor pulmonale)
II. CP-due to congestions:
a. JVD
b. painful hepatosplenomegaly with characteristic nutmeg liver, ma lead to cardiac cirrhosis
c. dependent bilat lower extremity pitting edema (due to increased hydrostatic pressure)
AAA (Abdominal Aortic Aneurysm)
-RF
Coronary Arteries (Occclusion)
>>in 90% occlusion of the RIGHT coronary artery can result in trasmural ischemia of the inferior wall of the LV producing ST elevation in leads II, III, and avF and possible sinus node dysfunction
>>occlusion of proximal LAS results in anteroseptal transmural ischemia with ST elevations in leads V1-V4
>>occlusion of the LCX would produce transmural ischemia of the lateral wall of the LV with ST elevations in V5 and V6, and possibly I and aVL
Paroxysmal supraventricular tachycardia
definition: common dysrhythmia that frequently occurs in patients with no other heart disease.
cause: re-entrant circuit in the AV node
tx: adenosine (in the hospital) OR vagal manuevers (carotid sinus massage and Valsalva)
>>carotid sinus massage increases baroreceptor firing, and increases PS influence on the heart and vessels, will prolong the AV node refractory pd which stops AV re-entrant tachycardias