Caries interpretation Flashcards

(124 cards)

1
Q

One of the most prevalent human diseases:

A

dental caries

How well did you know this?
1
Not at all
2
3
4
5
Perfectly
2
Q

What date did decreasing prevalence of dental caries finally occur?

A

1980s

How well did you know this?
1
Not at all
2
3
4
5
Perfectly
3
Q

Dental caries is considered a disease of:

A

civilized societies

How well did you know this?
1
Not at all
2
3
4
5
Perfectly
4
Q

Dental caries are associated with:

A

highly refined sugar & retentive food diets that remains prevalent in lower socio-economic groups

How well did you know this?
1
Not at all
2
3
4
5
Perfectly
5
Q

Dental caries is the greatest cause for:

A

tooth loss in individuals age 35 & younger

How well did you know this?
1
Not at all
2
3
4
5
Perfectly
6
Q

Explain the pathophysiology of dental caries:

A

related to bacterial adhesion to tooth surfaces & plaque formation

How well did you know this?
1
Not at all
2
3
4
5
Perfectly
7
Q

Plaque is composed of _______ with _____ that attach to tooth surfaces

A

polysccharides/enzyme matrix; bacterial colonies

How well did you know this?
1
Not at all
2
3
4
5
Perfectly
8
Q

Bacteria metabolize _______ producing acid byproducts that lower pH below ____ to decalcify teeth

A

dietary carbohydrates; 5.5 threshold

How well did you know this?
1
Not at all
2
3
4
5
Perfectly
9
Q

The predisposing factors of dental caries include: (5)

A
  1. bacteria
  2. diet
  3. plaque retention
  4. OH compliance
  5. saliva
How well did you know this?
1
Not at all
2
3
4
5
Perfectly
10
Q

Discuss bacteria as a predisposing factor of dental caries:

A

bacteria varies and is dependent on host

How well did you know this?
1
Not at all
2
3
4
5
Perfectly
11
Q

What are three common types of bacteria that are considered predisposing factors to caries?

A
  1. lactobacillus casei
  2. streptococcus mutans
  3. actinomyces viscosus
How well did you know this?
1
Not at all
2
3
4
5
Perfectly
12
Q

What component of a diet may be a predisposing factor for dental caries?

A

glucose

How well did you know this?
1
Not at all
2
3
4
5
Perfectly
13
Q

Discuss how saliva may be a predisposing factor to dental caries:

A

varies based on concentrations of salivary glycoproteins and immunoglobulins

How well did you know this?
1
Not at all
2
3
4
5
Perfectly
14
Q

Dental caries signs range from:

A

slight demineralization to gross coronal decay

How well did you know this?
1
Not at all
2
3
4
5
Perfectly
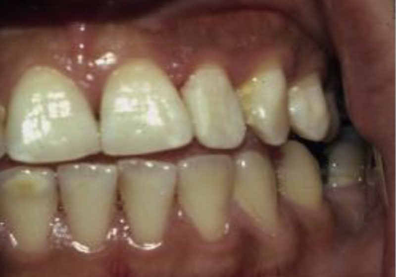
15
Q

How would you describe this image?

A

Slight demineralization

How well did you know this?
1
Not at all
2
3
4
5
Perfectly
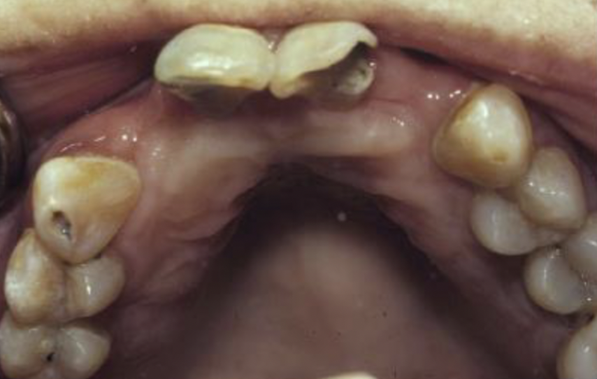
16
Q

How would you describe this image?

A

Gross coronal decay

How well did you know this?
1
Not at all
2
3
4
5
Perfectly
17
Q

Dental signs of caries: Defects appear as violations of: (2)

A
  1. smooth surfaces, usually at inaccessible areas
  2. pit & fissure of occlusal & occasional proximal surfaces
How well did you know this?
1
Not at all
2
3
4
5
Perfectly
18
Q

Dental caries are:

  1. easy to:
  2. not so easy to:
  3. harder to:
A
  1. diagnose
  2. stage
  3. treatment plan
How well did you know this?
1
Not at all
2
3
4
5
Perfectly
19
Q

What type of radiographs are preferred to diagnose interproximal caries?

A

Horizontal Bitewing (standard)

How well did you know this?
1
Not at all
2
3
4
5
Perfectly
20
Q

What type of radiograph is seen in the following image?

A

Horizontal bitewing

How well did you know this?
1
Not at all
2
3
4
5
Perfectly
21
Q

Does the following image show correct or incorrect angulation for a bitewing?

A

Correct

How well did you know this?
1
Not at all
2
3
4
5
Perfectly
22
Q

Does the following image show correct or incorrect angulation for a bitewing?

A

Incorrect

How well did you know this?
1
Not at all
2
3
4
5
Perfectly
23
Q

Does the following image show correct or incorrect angulation for a bitewing?

A

Correct

How well did you know this?
1
Not at all
2
3
4
5
Perfectly
24
Q

Does the following image show correct or incorrect angulation for a bitewing?

A

Incorrect

How well did you know this?
1
Not at all
2
3
4
5
Perfectly
25
What type of radiography is helpful for caries detection if XCP technique is used to minimize linear distortion in the vertical dimension?
Periapical radiography
26
When performing periapical radiography for caries detection, what technique must be used to minimized linear distortion in the vertical dimension?
XCP technique
27
When performing periapical radiography for caries detection, the XCP technique is used to minimize:
linear distortion in the vertical dimension
28
When performing periapical radiography, __________ must project non-overlapped contacts
horizontal angulation
29
What must be correct in order to have NON-overlapping contacts?
Horizontal angulation
30
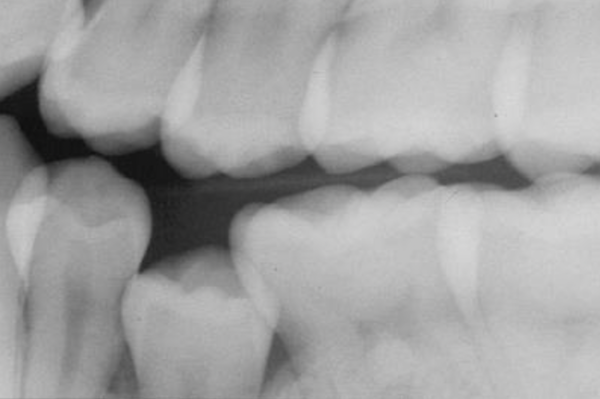
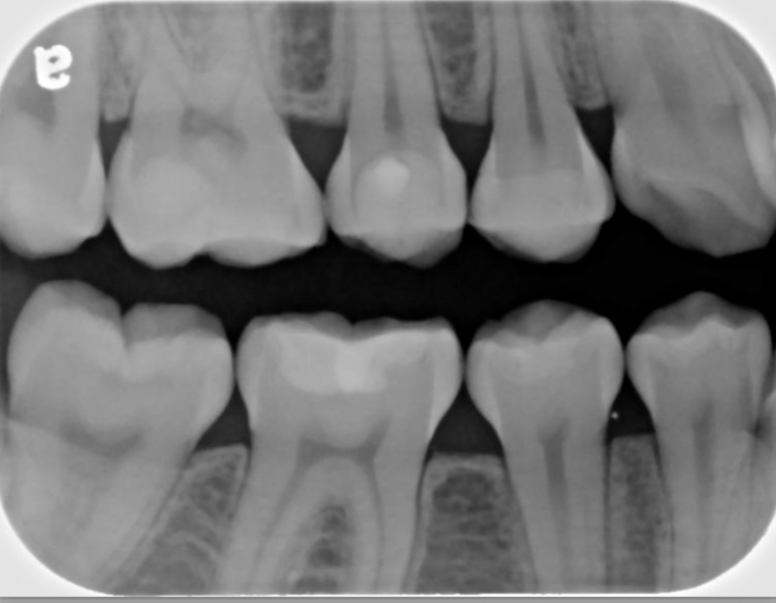
What type of radiographs are seen in the following image?
Periapical radiographs
31
Detect the caries in the following image:
32
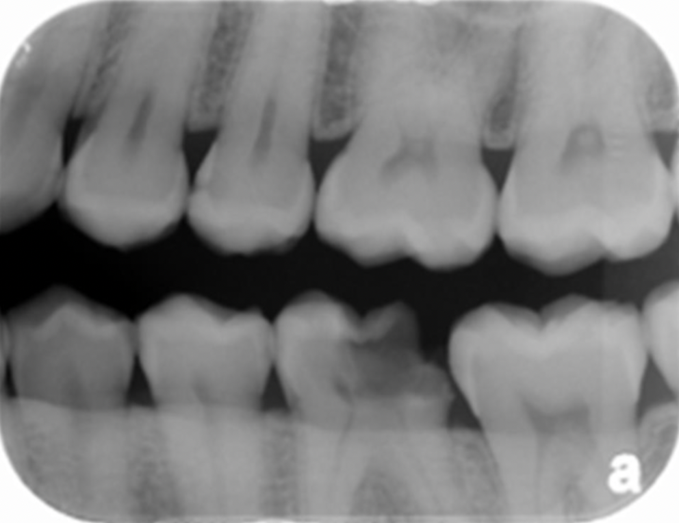
What type of radiographs are seen in the following image?
Periapical radiographs
33
Detect the caries in the following image:
34
What type of radiographs are considered "not as useful" due to technique problems from bending the film and difficulty placing film to open contacts?
Vertical bitewings
35
Why are vertical bitewing radiographs considered "not as useful" to evaluate caries?
1. technique problems from building the film 2. difficulty placing film to open contacts
36
What type of radiographs are seen in the following images?
Vertical bitewings
37
What type of radiographs are seen in the following images?
Vertical bitewings
38
What type of radiographs are seen in the following images?
Vertical bitewings
39
Factors affecting caries presentation include: (9)
1. angle of the X-ray beam 2. placement of the image receptor 3. location of the proximal carious lesion 4. degree of hypomineralization 5. exposure factors 6. degree of cavitation 7. ambient light intensity 8. monitor contrast resolution calibration 9. selection of postprocessing algorithms on digital images
40
A factor affecting caries presentation is the location of the proximal carious lesion, explain what this means:
if caries is exactly cervical to the contact or slightly buccal/lingual
41
A factor affecting caries presentation is the exposure factors, such as:
Low kV vs. High kV
42
Factors affecting the perception of digital display include:
1. monitor resolution 2. monitor luminescence 3. background lighting affect
43
T/F: Standard commercial grade desktop monitors have been shown to be superior for diagnostic medial radiography
False- they have been shown to be INFERIOR for diagnostic medical radiography
44
The caries classification used at UMKC include: (6)
1. IC- initial caries 2. MC- moderate caries 3. AC- advanced caries 4. RSC- root surface caries 5. RC- recurrent caries 6. B/Li- buccal or lingual caries
45
Caries in the enamel layer:
initial caries (IC)
46
Initial caries range from:
a demineralization defect at the proximal surface and can extend axially to contact the DEJ
47
A demineralization defect at the proximal surface and can extend axially to contact the DEJ, this would be considered:
initial caries (IC)
48
What classification of caries is seen in these images?
initial caries (IC)
49
What classification of caries is seen in the following radiograph?
initial caries (IC)
50
Classify the caries in the following radiograph:
initial caries (IC)
51
Caries described as: spreading vertically at the DEJ and/or extending axially greater than halfway in the dentin layer:
moderate caries (MC)
52
The caries represented by this image are:
moderate caries (MC)
53
Classify the caries in the following radiograph:
moderate caries (MC)
54
Describe moderate caries (MC):
Caries spreading vertically at the DEJ and/or extending axially greater than halfway in the dentin layer
55
Moderate caries are described as greater than halfway into the _____ layer
dentin layer
56
Classify the caries seen in the following radiograph:
moderate caries (MC)
57
Caries described as: greater than or equal to halfway into the dentin layer and can extend axially to contact the pulp:
advanced caries (AC)
58
Advanced caries can be described as:
greater than or equal to halfway into the dentin layer and can extend axially to contact the pulp
59
What type of caries are represented by the following image?
advanced caries (AC)
60
Classify the caries seen in the following radiograph:
advanced caries (AC)
61
Classify the caries seen in the following radiograph:
advanced caries (AC)
62
Classify the caries seen in the following radiograph:
advanced caries (AC)
63
How do root surface caries often appear?
saucerized or scooped-out
64
What type of caries has a 50% prevalence in the geriatric population?
Root surface caries
65
Root surface caries are most common in the _____ regions, followed by the ______ areas
Buccal premolar regions; lingual & interproximal areas
66
Classify the caries seen in the following radiograph:
Root surface caries (RSC)
67
Classify the caries seen in the following radiograph:
recurrent caries (RC)
68
Caries that may be difficult to localize on a single view and may superimpose pulp:
B/Li caries
69
B/Li caries may be difficult to localize on a single view and may:
superimpose the pulp
70
Classify the caries seen in the following radiograph:
B/Li caries
71
what does ICDAS stand for?
international caries detection & assessment system
72
List the order of ICDAS classification:
E1 E2 D1 D2 D3
73
What ICDAS classification is being described: Lesion within outer 1/2 of enamel
E1
74
What ICDAS classification is being described: Lesion within inner 1/2 of enamel
E2
75
What ICDAS classification is being described: Lesion within outer 1/3 of dentin
D1
76
What ICDAS classification is being described: Lesion within middle 1/3 of dentin
D2
77
What ICDAS classification is being described: Lesion within inner 1/3 of dentin
D3
78
Classify the following image according to ICDAS:
E1
79
Classify the following image according to ICDAS:
E2
80
Classify the following image according to ICDAS:
D1
81
Classify the following image according to ICDAS:
D2
82
Classify the following image according to ICDAS:
D3
83
Classify the following image according to ICDAS:
E1
84
Classify the following image according to ICDAS:
E2
85
Classify the following image according to ICDAS:
D1
86
Classify the following image according to ICDAS:
D2
87
Classify the following image according to ICDAS:
D3
88
ICDAS classification: Penetrates less than or equal to 1/2 the enamel thickness as a radiolucent notch on the outer surface of the tooth
E1
89
The ICDAS classification system is used to diagnosed what type of caries:
interproximal
90
Diagnose the following radiograph according to ICDAS:
E1
91
ICDAS classification: Penetrates greater than 1/2 the enamel thickness
E2
92
ICDAS classification: May have an isosceles triangular outline with base at the proximal surface and DOES NOT extend to DEJ
E2
93
Diagnose the following radiograph according to ICDAS:
E2
94
Does ICDAS E2 classification extend into the DEJ?
NO
95
Diagnose the following radiograph according to ICDAS:
E2
96
ICDAS classification: Undermines enamel & extends into dentin at or axial to the DEJ:
D1
97
ICDAS classification: Penetrates less than 1/3 of the outer peripheral dentin thickness
D1
98
Diagnose the following radiograph according to ICDAS:
D1
99
Diagnose the following radiograph according to ICDAS:
D1
100
Diagnose the following radiograph according to ICDAS:
D1
101
Diagnose the following radiograph according to ICDAS:
D1
102
ICDAS classification: The dentin lesion is more extensive and penetrates to mid 1/3 of dentin thickness
D2
103
Diagnose the following radiograph according to ICDAS:
D2
104
Diagnose the following radiograph according to ICDAS:
D2
105
Diagnose the following radiograph according to ICDAS:
D2
106
ICDAS classification: The dentin lesion is more extensive than the enamel lesion and penetrate greater than 2/3 (or inner 1/3) of the dentin thickness
D3
107
Diagnose the following radiograph according to ICDAS:
D3
108
Diagnose the following radiograph according to ICDAS:
D3
109
Diagnose the following radiograph according to ICDAS:
D3
110
Diagnose the following radiograph according to ICDAS:
D3
111
Phenomenon in which the dentin artifact simulates caries:
interproximal "burn out"
112
When the lesion is outline by normal anatomic structure and is a relative radiolucency:
interproximal "burn out"
113
Interproximal "burn out" occurs when a lesion is outlined by normal anatomic structures and is a:
relative radiolucency
114
What is occurring in this radiographic image?
Burnout
115
What is occurring in this radiographic image?
Burnout
116
What is represented by the red circle in the following image?
Burnout
117
Incipient occlusal caries are difficult to detect on radiographs due to:
1. small width of the lesion 2. density of superimposing enamel
118
Occlusal caries that are difficult to detect on radiographs:
incipient occlusal caries
119
Broad-based thin radiolucent zone in dentin with no changes in enamel:
moderate occlusal caries
120
How do moderate occlusal caries present?
Broad-based thin radiolucent zone in dentin with no changes in enamel
121
How would you notice a moderate occlusal caries?
Noticed as a relative increase in opacity between pulp and caries
122
What do the blue arrows indication the following radiograph?
Moderate occlusal caries
123
Occlusal caries characterized by undermined enamel with gross loss of tooth structure:
severe occlusal caries
124
What type of occlusal caries can be seen on the following radiograph?
severe occlusal caries