Panoramic Anatomy Flashcards

(77 cards)

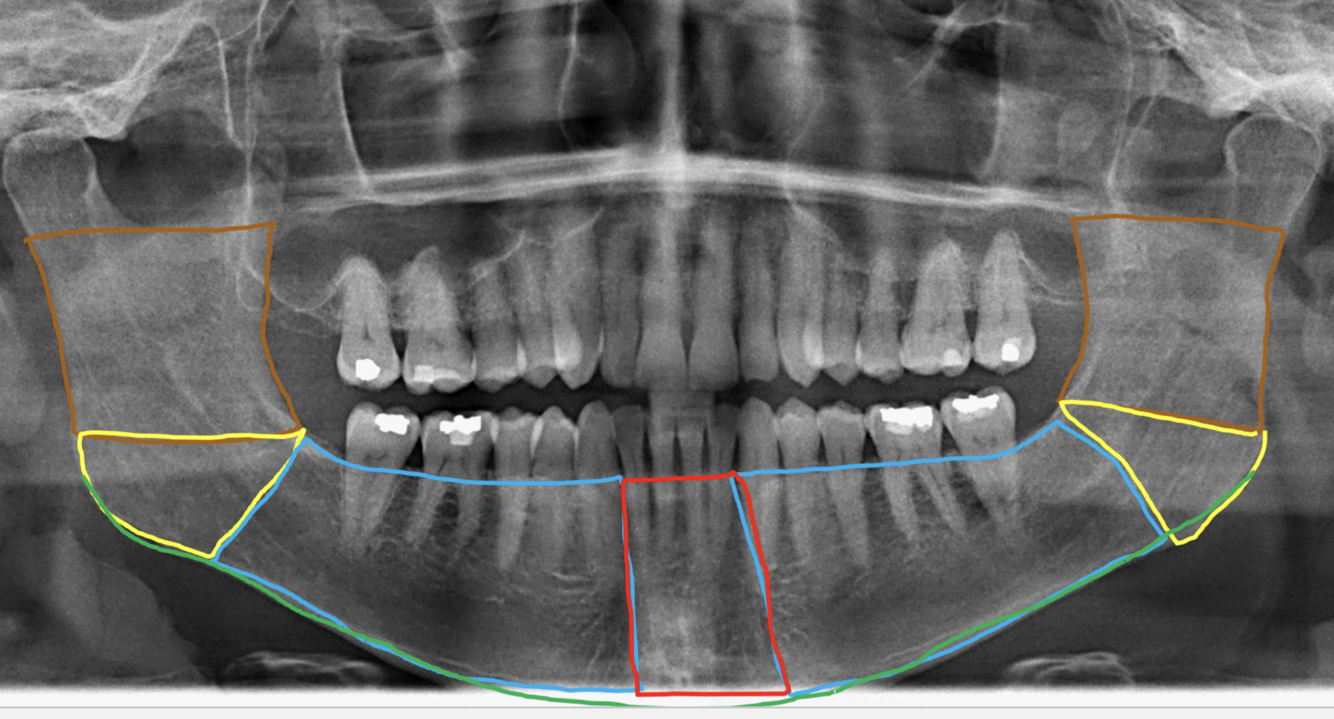
1
Q

Label the following image:

A
  1. blue: mandibular body
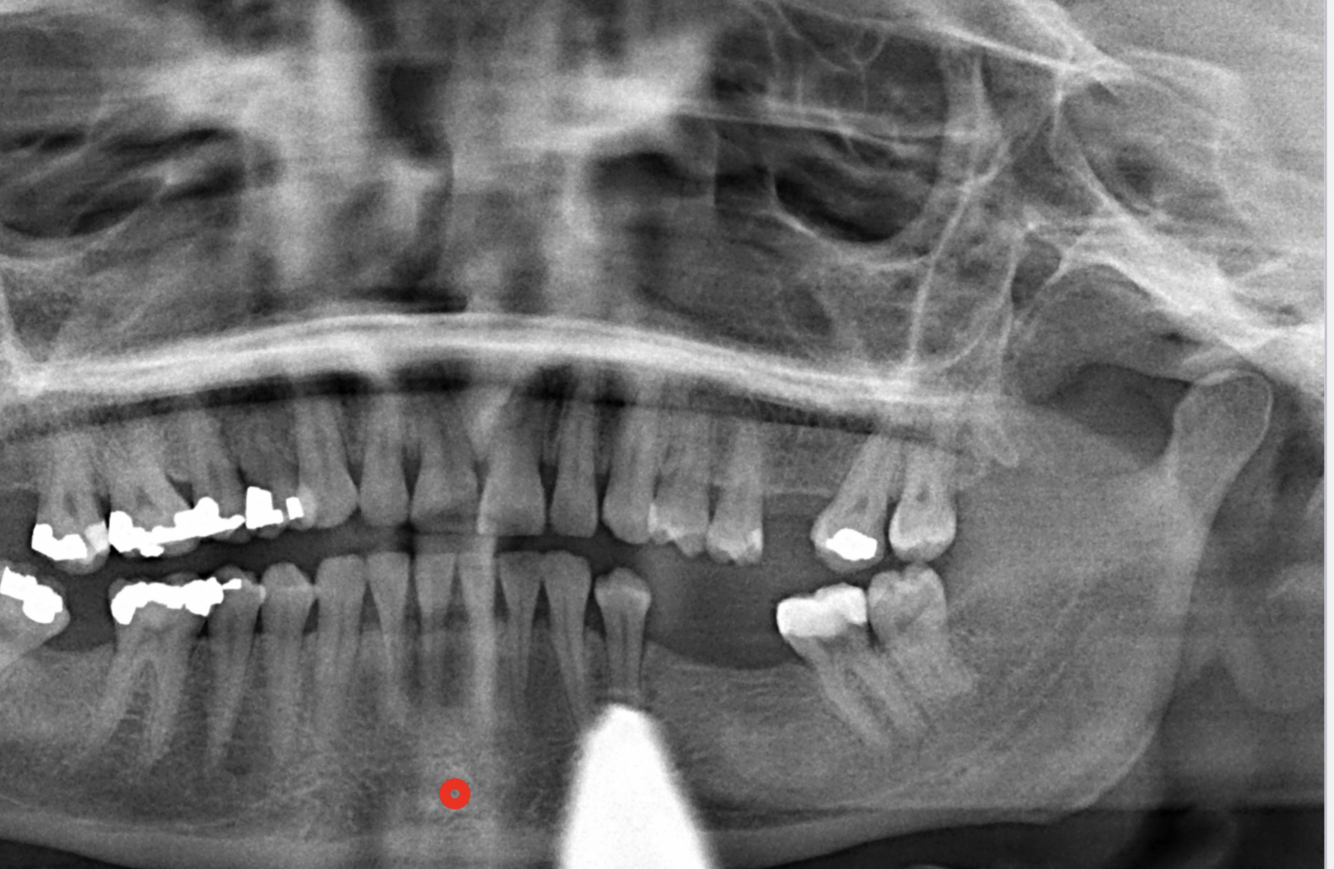
  2. yellow: angle of mandible
  3. orange: ramus of mandible
  4. red: symphysis
  5. green: inferior border
How well did you know this?
1
Not at all
2
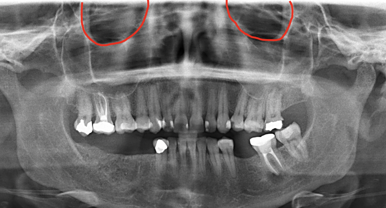
3
4
5
Perfectly
2
Q

What is represented by orange in the following image?

A

Inferior alveolar canal

How well did you know this?
1
Not at all
2
3
4
5
Perfectly
3
Q

What does the green indicate in the following image?

A

Mental foramen

How well did you know this?
1
Not at all
2
3
4
5
Perfectly
4
Q

What does the green and red indicate in the following image?

A

Green: external oblique ridge
Red: anterior portion of the ramus

How well did you know this?
1
Not at all
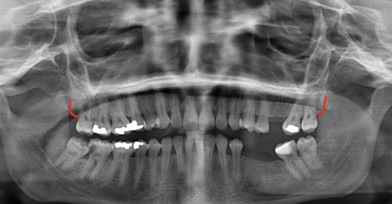
2
3
4
5
Perfectly
5
Q

What does the orange indicate in the following image?

A

Submandibular gland fossa

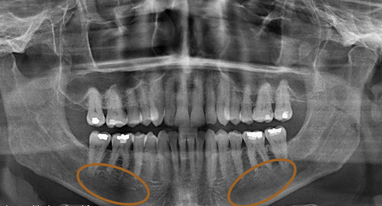
How well did you know this?
1
Not at all
2
3
4
5
Perfectly
6
Q

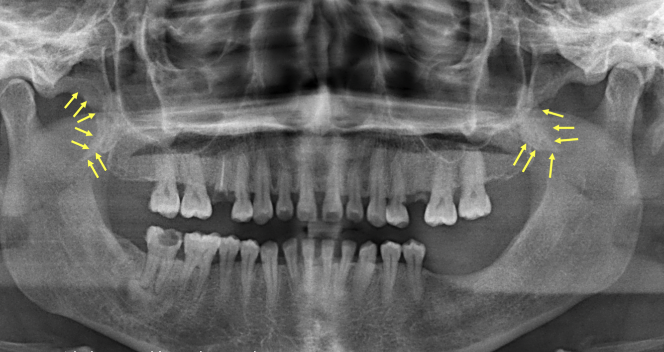
What does the red indicate in the following image?

A

Lingual foramen

How well did you know this?
1
Not at all
2
3
4
5
Perfectly
7
Q

What does the red indicate in the following image?

A

Genial tubercles

How well did you know this?
1
Not at all
2
3
4
5
Perfectly
8
Q

What does the orange indicate in the following image?

A

Mental fossa

How well did you know this?
1
Not at all
2
3
4
5
Perfectly
9
Q

What does the red indicate in the following image?

A

Coronoid process

How well did you know this?
1
Not at all
2
3
4
5
Perfectly
10
Q

What does the orange indicate in the following image?

A

Anterior nasal spine

How well did you know this?
1
Not at all
2
3
4
5
Perfectly
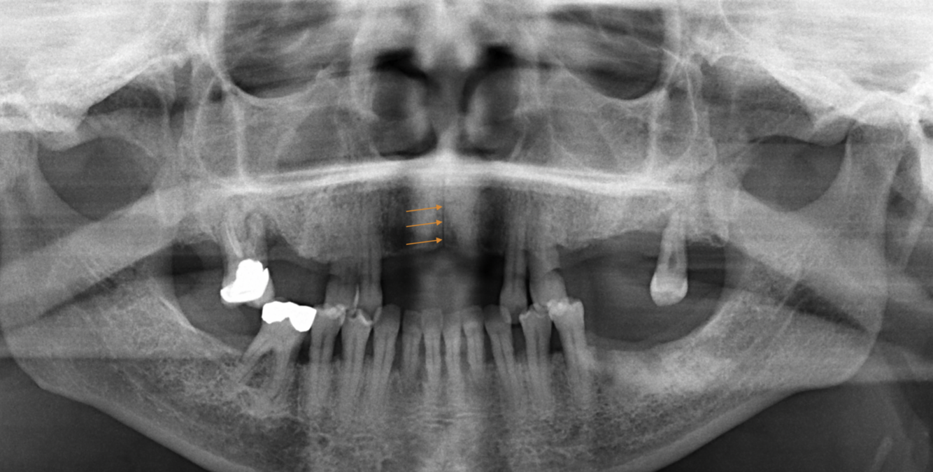
11
Q

What does the orange indicate in the following image?

A

Intermaxillary suture

How well did you know this?
1
Not at all
2
3
4
5
Perfectly
12
Q

Label the following image:

A
  1. red: nasal cavity
  2. green: conchae
  3. yellow: nasal septum
How well did you know this?
1
Not at all
2
3
4
5
Perfectly
13
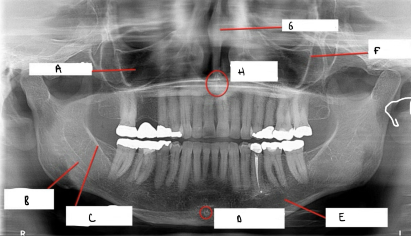
Q

Label the following image:

A

A: maxillary sinus
B: mandibular canal
C: internal oblique ridge
D: genial tubercle & lingual foramen
E: submandibular fossa
F: zygomatic process
G: nasal septum
H: anterior nasal spine

How well did you know this?
1
Not at all
2
3
4
5
Perfectly
14
Q

What does the yellow indicate in the following image?

A

Nose

How well did you know this?
1
Not at all
2
3
4
5
Perfectly
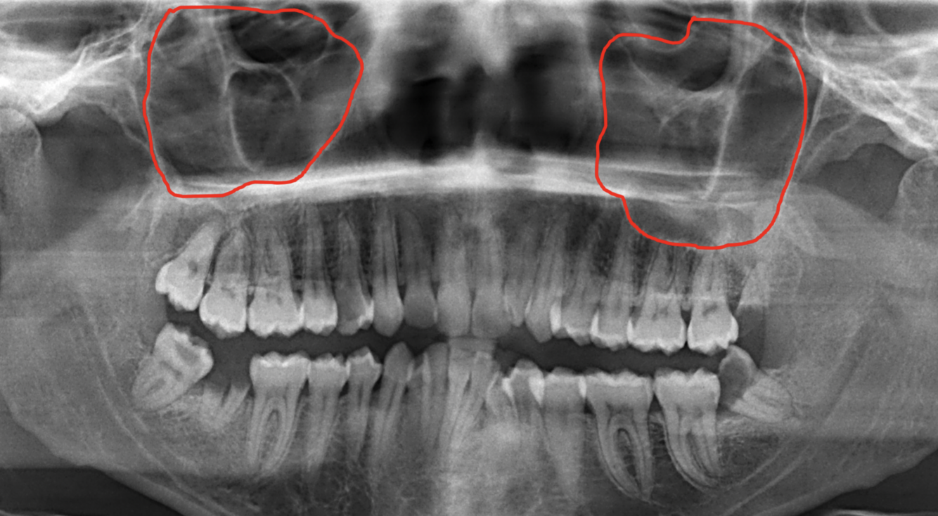
15
Q

What does the red indicate in the following image?

A

Maxillary sinus

How well did you know this?
1
Not at all
2
3
4
5
Perfectly
16
Q

What does the red indicate in the following image?

A

Maxillary sinus

How well did you know this?
1
Not at all
2
3
4
5
Perfectly
17
Q

What does the yellow indicate in the following image?

A

Zygoma

How well did you know this?
1
Not at all
2
3
4
5
Perfectly
18
Q

What does the red indicate in the following image?

A

Zygomatic process of the maxilla

How well did you know this?
1
Not at all
2
3
4
5
Perfectly
19
Q

What does the red indicate in the following image?

A

Zygomatic process of the maxilla

How well did you know this?
1
Not at all
2
3
4
5
Perfectly
20
Q

What does the yellow indicate in the following image?

A

Pterygoid plates & hamular notch

How well did you know this?
1
Not at all
2
3
4
5
Perfectly
21
Q

What does the red indicate in the following image?

A

Maxillary tuberosity

How well did you know this?
1
Not at all
2
3
4
5
Perfectly
22
Q

What does the red indicate in the following image?

A

Maxillary tuberosity

How well did you know this?
1
Not at all
2
3
4
5
Perfectly
23
Q

What does the red indicate in the following image?

A

Orbit

How well did you know this?
1
Not at all
2
3
4
5
Perfectly
24
Q

What does the red indicate in the following image?

A

Infraorbital canal

How well did you know this?
1
Not at all
2
3
4
5
Perfectly
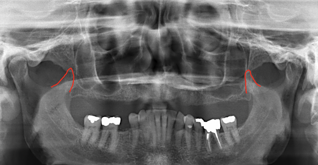
25
What does the red indicate in the following image?
Signmoid notch
26
What does the red & yellow indicate in the following image?
Red: Condylar head Yellow: Condylar neck
27
What does the red & yellow indicate in the following image?
Red: condylar head Yellow: condular neck
28
What is indicated by the arrow in the following image?
articular eminence
29
What is indicated by the arrow in the following image?
articular eminence
30
What does the red indicate in the following image?
articular eminence
31
Label the articular eminence
X
32
What is circled in the following image?
External auditory meatus
33
What is circled in the following image?
External auditory meatus
34
What is indicated by the red circles in the following image?
External auditory meatus
35
What is indicated by the red circle in the following image?
External auditory meatus
36
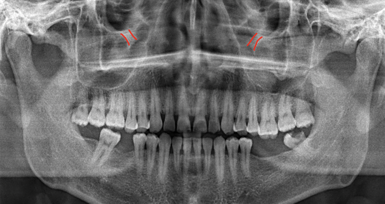
What does the green indicate in the following image?
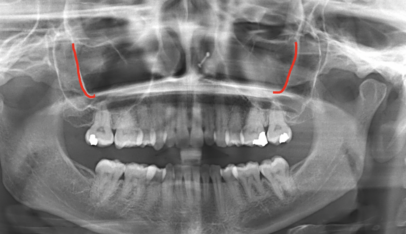
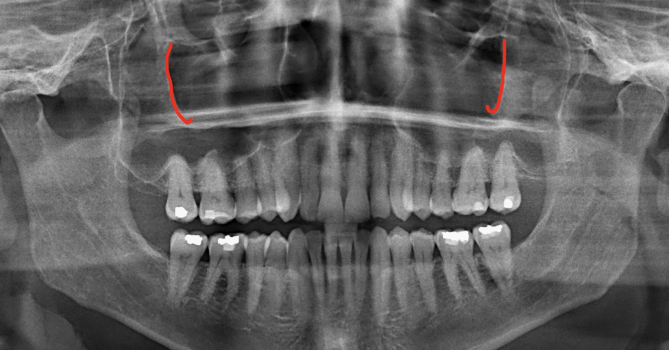
Pterygopalatine fossa
37
What does the arrow indicate in the following image?
Pterygopalatine fossa
38
What does the red indicate in the following image?
Pterygopalatine fossa
39
What does the red indicate in the following image?
Pterygopalatine fossa
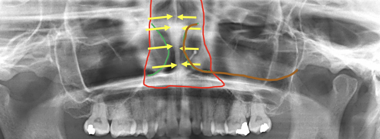
40
Label the pterygopalatine fossa:
X
41
What is indicated by the following images?
Styloid process
42
What is indicated by the yellow in the following image?
Styloid process
43
What is indicated by the yellow in the following image?
Styloid process
44
Label the styloid process in the following image:
X
45
What is represented by the following images?
Hard palate
46
What is indicated by the yellow & red in the following image?
Yellow: hard palate Red: ghost image of hard palate
47
Label the hard palate and its ghost image in the following image:
X
48
What is seen in the following image?
Hyoid bone
49
What is indicated by the red in the following image?
Hyoid bone
50
Label the hyoid bone in the following image:
X
51
What is represented by the following image?
Cervical spine
52
What is indicated by the red in the following image?
Ghost image of cervical spine
53
Label the ghost image of the cervical spine n the following image:
X
54
What can be seen in the following image?
Double real image of cervical spine
55
What does the red indicate in the following image?
lips
56
Label the lips in the following image:
X
57
What is labeled "A" in the following images?
Soft palate
58
What does the red indicate in the following image?
Soft palate
59
Label the soft palate in the following image:
X
60
What is outlined in red in the following image?
Tongue
61
What is outlined in red in the following image?
Tongue
62
What is indicated by red in the following image?
Tongue
63
What is indicated by red in the following image?
Tongue
64
What does the orange represent in the following image?
Palatoglossal air space
65
What does the red indicate in the following image?
Epiglottis
66
What does the red indicate in the following image?
Epiglottis
67
What does the red indicate in the following image?
airway
68
Label the airway in the following image:
X
69
Label the airway in the following image:
X
70
What is seen in the following image?
Stylohyoid ligament
71
What does the yellow indicate in the following image?
Ossified stylohyoid ligament
72
What does the yellow indicate in the following image?
Ossified stylohyoid ligament
73
Label the stylohyoid ligament in the following image:
X
74
What do the yellow arrows indicate in the following image?
Ears
75
Label the ears in the following image:
X
76
Label the ears in the following image:
X
77