Panoramic positioning errors Flashcards

(66 cards)

1
Q

What protective measure cannot be used in panoramic radiographs?

A

thyroid collar

How well did you know this?
1
Not at all
2
3
4
5
Perfectly
2
Q

Before taking a pano, have patients remove:

A
  1. dental appliances
  2. earrings
  3. necklaces
  4. hair pins
  5. glasses
How well did you know this?
1
Not at all
2
3
4
5
Perfectly
3
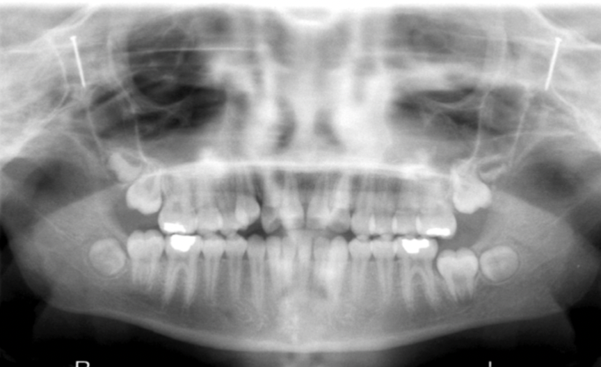
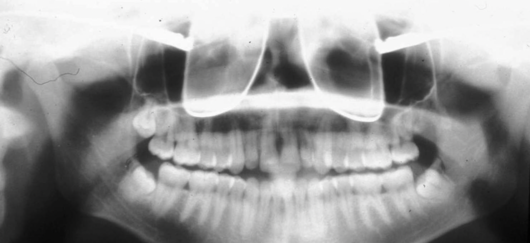
Q

What error is seen in this pano?

A

glasses left on

How well did you know this?
1
Not at all
2
3
4
5
Perfectly
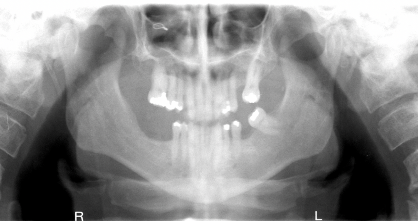
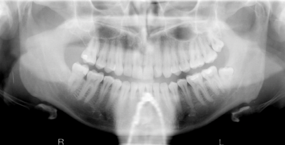
4
Q

What error is seen in this pano?

A

earrings left on

How well did you know this?
1
Not at all
2
3
4
5
Perfectly
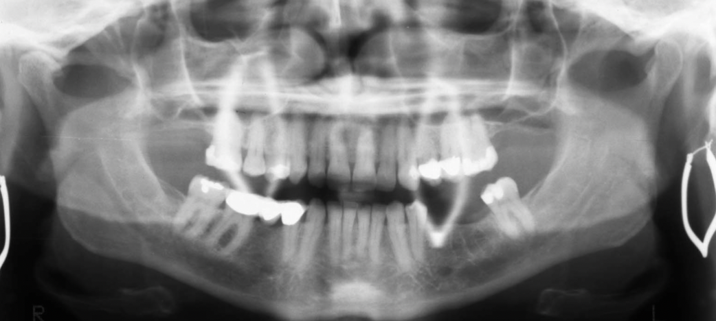
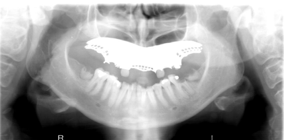
5
Q

What error is seen in this pano?

A

necklace left on

How well did you know this?
1
Not at all
2
3
4
5
Perfectly
6
Q

What error is seen in this pano?

A

hair pins

How well did you know this?
1
Not at all
2
3
4
5
Perfectly
7
Q

What error is seen in this pano?

A

denture left in

How well did you know this?
1
Not at all
2
3
4
5
Perfectly
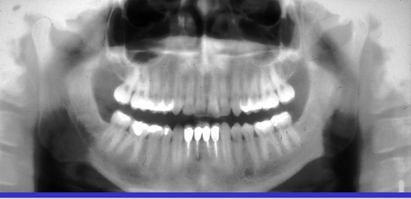
8
Q

If the teeth and jaws are sharply depicted in a pano, this tells you:

A

proper position achieved- teeth and jaws are in focal trough

How well did you know this?
1
Not at all
2
3
4
5
Perfectly
9
Q

If there is a slight curvature of the occlusal plane in a pano, this tells you:

A

proper position achieved- vertical head position is correct

How well did you know this?
1
Not at all
2
3
4
5
Perfectly
10
Q

If their is equal magnification on the left and right side of a pano, this tells you:

A

proper position achieved- head not turned left or right

How well did you know this?
1
Not at all
2
3
4
5
Perfectly
11
Q

If their is no air space obstructing the view of the maxillary roots in a pano, this tells you:

A

proper position achieved- patients tongue is flat on roof of mouth

How well did you know this?
1
Not at all
2
3
4
5
Perfectly
12
Q

If their is no ghost image of the cervical spine in the midline of a pano, this tells you:

A

proper position achieved- patient is standing up fairly straight with neck straight

How well did you know this?
1
Not at all
2
3
4
5
Perfectly
13
Q

Some patients can’t stand up straight so you will know ahead of time that their will be:

A

ghost image of cervical spine

How well did you know this?
1
Not at all
2
3
4
5
Perfectly
14
Q

What do we notice about the cervical spine and ramus in the following radiograph?

A

They are NOT overlapping = good - patient was standing up straight

How well did you know this?
1
Not at all
2
3
4
5
Perfectly
15
Q

In a pano, if the anterior teeth are narrow & blurred, what is the positioning error?

A

Patient too far forward

How well did you know this?
1
Not at all
2
3
4
5
Perfectly
16
Q

In a pano, if the cervical spine is superimposed on the ramus, causing a double real image of the cervical spine what is the positioning error?

A

Patient too far forward

How well did you know this?
1
Not at all
2
3
4
5
Perfectly
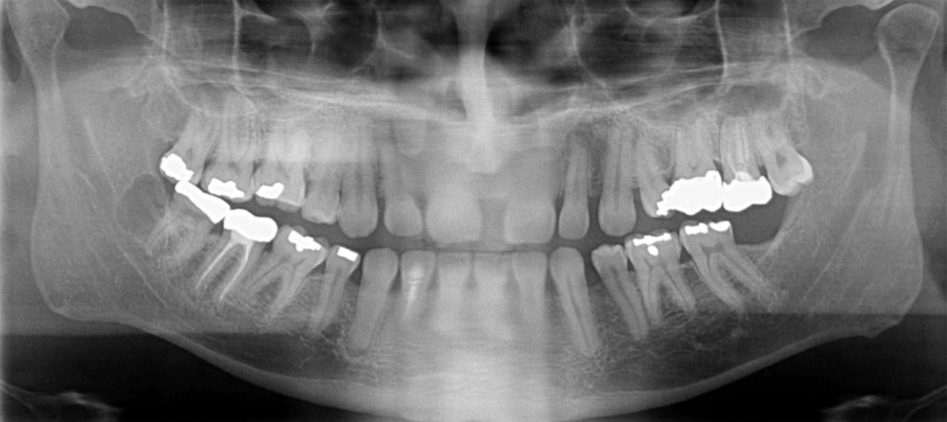
17
Q

What errors can be seen in the following radiograph? What is the cause of these errors?

A
  1. anterior teeth are narrowed & blurred
  2. cervical spine is superimposed on ramus (double real image of cervical spine

Cause: too far forward

How well did you know this?
1
Not at all
2
3
4
5
Perfectly
18
Q

What errors can be seen in the following radiograph? What is the cause of these errors?

A
  1. anterior teeth are narrowed & blurred

cause: too far forward

(notice posterior teeth appear normal)

How well did you know this?
1
Not at all
2
3
4
5
Perfectly
19
Q

In a pano, if the anterior teeth are widened and blurred what is the positioning error?

A

too far back

How well did you know this?
1
Not at all
2
3
4
5
Perfectly
20
Q

In a pano, if the inferior turbinates and meati spread across maxillary sinuses, what is the positioning error?

A

too far back

How well did you know this?
1
Not at all
2
3
4
5
Perfectly
21
Q

In a pano, if condyles are close too or cut off the side of the image, what is the positioning error?

A

Too far back

How well did you know this?
1
Not at all
2
3
4
5
Perfectly
22
Q

What errors are caused by the patient being positioned too far forward? (2)

A
  1. anterior teeth narrowed and blurred
  2. cervical spine superimposed on ramus (double real image of cervical spine)
How well did you know this?
1
Not at all
2
3
4
5
Perfectly
23
Q

What errors are caused by the patient being positioned too far back? (3)

A
  1. anterior teeth widened and blurred
  2. inferior tubercles and meati spread across maxillary sinuses
  3. condyles close to or cut off side of image
How well did you know this?
1
Not at all
2
3
4
5
Perfectly
24
Q

What are the errors in this radiographs? What is the cause of these errors?

A
  1. anterior teeth widened & blurred
  2. inferior tubercles and meati spread across maxillary sinuses
  3. condyles are close to or cut off side image

Cause: Pt too far back

How well did you know this?
1
Not at all
2
3
4
5
Perfectly
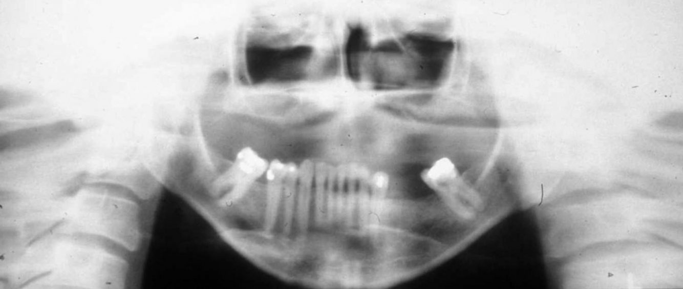
25
What are the errors in this radiographs? What is the cause of these errors?
1. anterior teeth widened & blurred 2. inferior tubercles and meati spread across maxillary sinuses 3. condyles are close to or cut off side image Cause: Pt too far back
26
What is the main error in this radiograph? What is the cause?
inferior tubercles and meati spread across maxillary sinuses
27
What positioning error causes excessive curvature of the occlusal plane?
Chin down
28
What positioning error causes roots of mandibular anterior teeth to be blurred:
Chin down
29
What positioning error causes the rami/condyles tipped inward?
Chin down
30
What positing error causes condyles to be close to or cut off the top of the image?
Chin down
31
What positioning error causes the hyoid bone to be superimpose on the mandible:
Chin down
32
What errors are caused by the chin being too far down? (5)
1. excessive curvature of the occlusal plane 2. roots of mandibular anterior teeth are blurred 3. rami/condyles are tipped inward 4. condyles are close to or cut off top of image 5. hyoid bone superimposed on mandible
33
What errors can be seen in the following radiograph, what is the cause?
1. excessive curvature of the occlusal plane 2. roots of mandibular anterior teeth are blurred 3. rami/condyles are tipped inward 4. condyles are close to or cut off top of image 5. hyoid bone superimposed on mandible Cause: chin down
34
What errors can be seen in the following radiograph, what is the cause?
1. excessive curvature of the occlusal plane 2. rami/condyles are tipped inward Cause: chin down
35
What positioning error causes a flat occlusal plane or reverse curvature?
chin up
36
What positioning error causes the roots of maxillary anterior teeth to be blurred?
chin up
37
What positioning error causes the rami/condyles to tip laterally?
chin up
38
What positioning error causes the hard palate to be superimposed on maxillary apices?
chin up
38
What positioning error causes the condyles to be close to or cut off the side of the image?
chin up
39
What happens to the hard palate in a pano if the chin is too upward?
The hard palate gets projected down and overlaps apices of maxillary teeth
40
What is the maintaining reason we have to retake panoramic images?
Hard palate superimposed on maxillary apices (chin up)
41
What are some errors that can be seen on this radiograph? What is the cause?
1. flat occlusal plane or reverse curvature 2. roots of maxillary anterior teeth are blurred 3. rami/condyles tipped laterally 4. condyles close to or cut off side of image 5. hard palate superimposed on maxillary apices Cause: chin up
42
What are some errors that can be seen on this radiograph? What is the cause?
1. Reverse curvature of occlusal plane 2. hard palate projecting downwards overlapping apices of maxillary teeth Cause: chin up
43
What positing error results in unequal magnification of left and right side (teeth, ramus)?
head turn
44
What positioning error results increased blurring and overlapping of contacts on one side?
Head turned
45
What errors in a pano are caused by chin up?
1. flat occlusal plane or reverse curvature 2. roots of maxillary anterior teeth are blurred 3. rami/condyles tipped laterally 4. condyles close to or cut off side of image 5. hard palate superimposed on maxillary apices
46
What errors in a pano are caused by head turned?
1. unequal magnification of left and right side (teeth, ramus) 2. increased blurring & overlapping of contacts on one side
47
What errors can be seen in the following pano? What is the cause?
1. unequal magnification of left and right side (teeth, ramus) 2. increased blurring & overlapping of contacts on one side Cause: head turned
48
in the following image, list what each color represents (blue, black, red):
blue: area of focal trough red: jaw position in focal trough black: head turned to right with incisors still on anatomic midline
49
When the head is turned to the right the _______ dentition moves closer to the sensor so the teeth will project _____ on the radiographic image
posterior left dentition; narrower
50
When the head is turned to the right the _______ dentition moves farther from the sensor so the teeth will project _____ on the radiographic image
posterior right dentition; wider
51
Based on the left posterior dentition appearing wider on this pano, what error is made?
Head is turned to the left so the posterior left dentition moves further away from the sensor and the teeth project wider on the radiographic image
52
If bite causes teeth to be closer to the sensor, how will the teeth on the side closer to the sensor appear?
closer=narrower
53
Anatomic midline shifted to the left of center of focal trough is referred to as:
lateral translation
54
Due to this left side shift, posterior teeth on the left side will be closer to the sensor and project _____ on the radiographic image
narrower
55
Due to this left side shift the posterior teeth on the right side will be farther away from the sensor and project ____ on the radiographic image
wider
56
If the patient is slumped, what results in the pano?
ghost image of cervical spine
57
What error can be seen on the following image? What is the cause?
Ghost image of cervical spine Cause: slumped patient
58
What error can be seen on the following image? What is the cause?
Ghost image of cervical spine Cause: slumped patient
59
What error is seen in the following image? What is the cause?
Palatoglossal air space Cause: tongue not on roof of mouth
60
What error is seen in the following image? What is the cause?
Palatoglossal air space Cause: tongue not on roof of mouth
61
What error is seen in the following radiograph?
Lead apron artifact
62
What error is seen in the following radiograph?
Ghost image of cervical spine (patient hunching) Lead apron artifact
63
This pano represents:
partial panoramic image
64
What error likely caused the following pano?
Patient movement
65