Cartilage Flashcards

(19 cards)

1
Q

In the development of cartilage, what are the 3 stages?

A

Mesenchyme Cells produce Chondroblasts, which produce Cartilage

How well did you know this?
1
Not at all
2
3
4
5
Perfectly
2
Q

The replacement of cartilage by bone is called _________?

A

Ossification

How well did you know this?
1
Not at all
2
3
4
5
Perfectly
3
Q

What are the three primary types of cartilage?

A

1) Hyaline Cartilage
2) Elastic Cartilage
3) Fibrocartilage

How well did you know this?
1
Not at all
2
3
4
5
Perfectly
4
Q

Which two types of cartilage are covered by a perichondrium?

A

1) Hyaline Cartilage
2) Elastic Cartilage

How well did you know this?
1
Not at all
2
3
4
5
Perfectly
5
Q

Collagen type 1 fibers are present in what part of the body?

A

Bones

How well did you know this?
1
Not at all
2
3
4
5
Perfectly
6
Q

Collagen type 2 fibers are present in what part of the body?

A

Cartilage except for fibrocartilage.

How well did you know this?
1
Not at all
2
3
4
5
Perfectly
7
Q

The ground substance of cartilage is made up of _____________.

A

Proteoglycans (firm gel)

How well did you know this?
1
Not at all
2
3
4
5
Perfectly
8
Q

The Perichondrium of hyaline and elastic cartilage and fibrocartilage contains which type of collagen fiber?

A

Collagen Type 1 Fibers

How well did you know this?
1
Not at all
2
3
4
5
Perfectly
9
Q

How does cartilage differ from other types of connective tissue?

A

The nature of ground substance has firm consistency.

How well did you know this?
1
Not at all
2
3
4
5
Perfectly
10
Q

Which type of cartilage is characterized as being transparent/glass-like?

A

Hyaline

How well did you know this?
1
Not at all
2
3
4
5
Perfectly
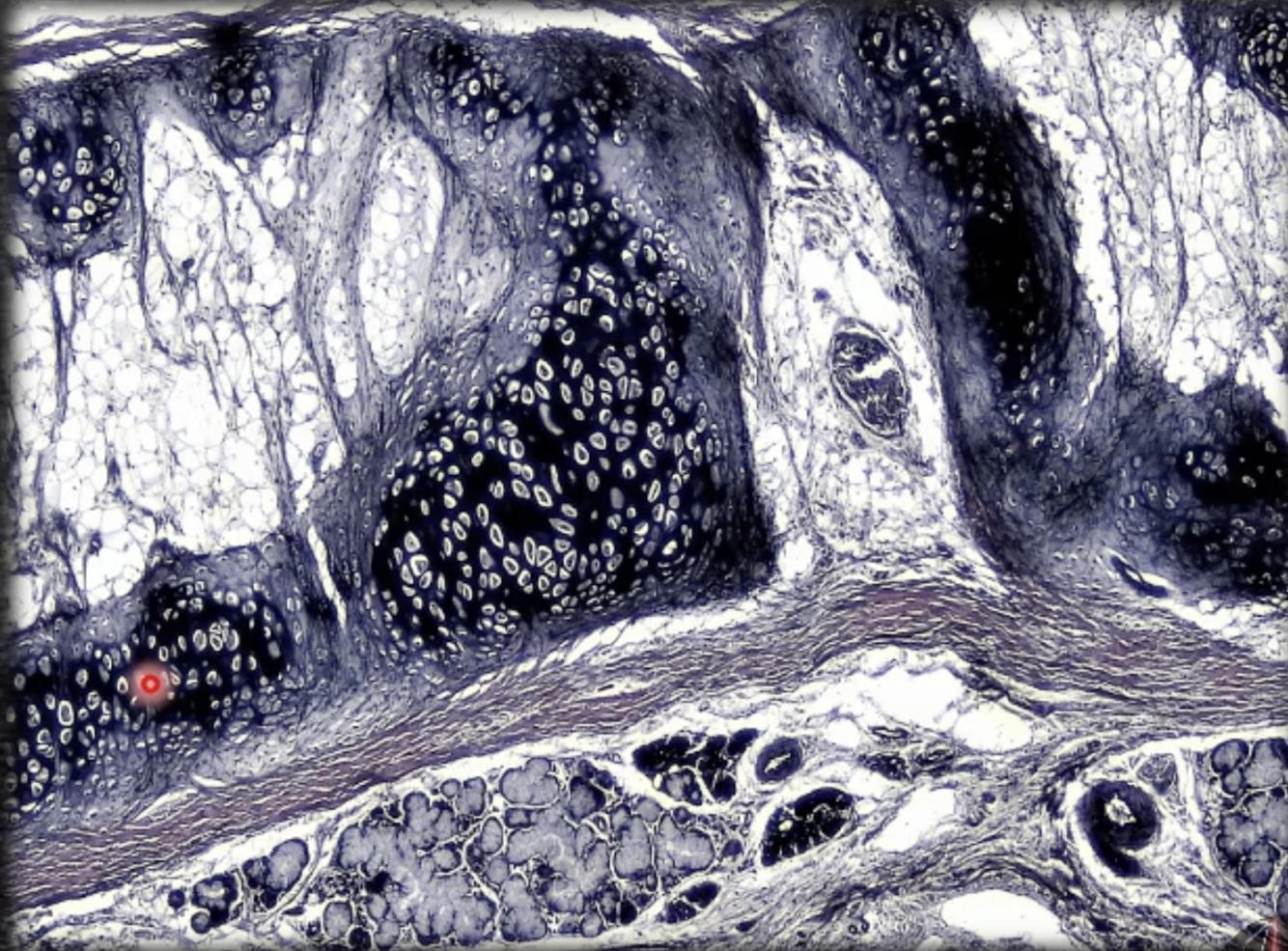
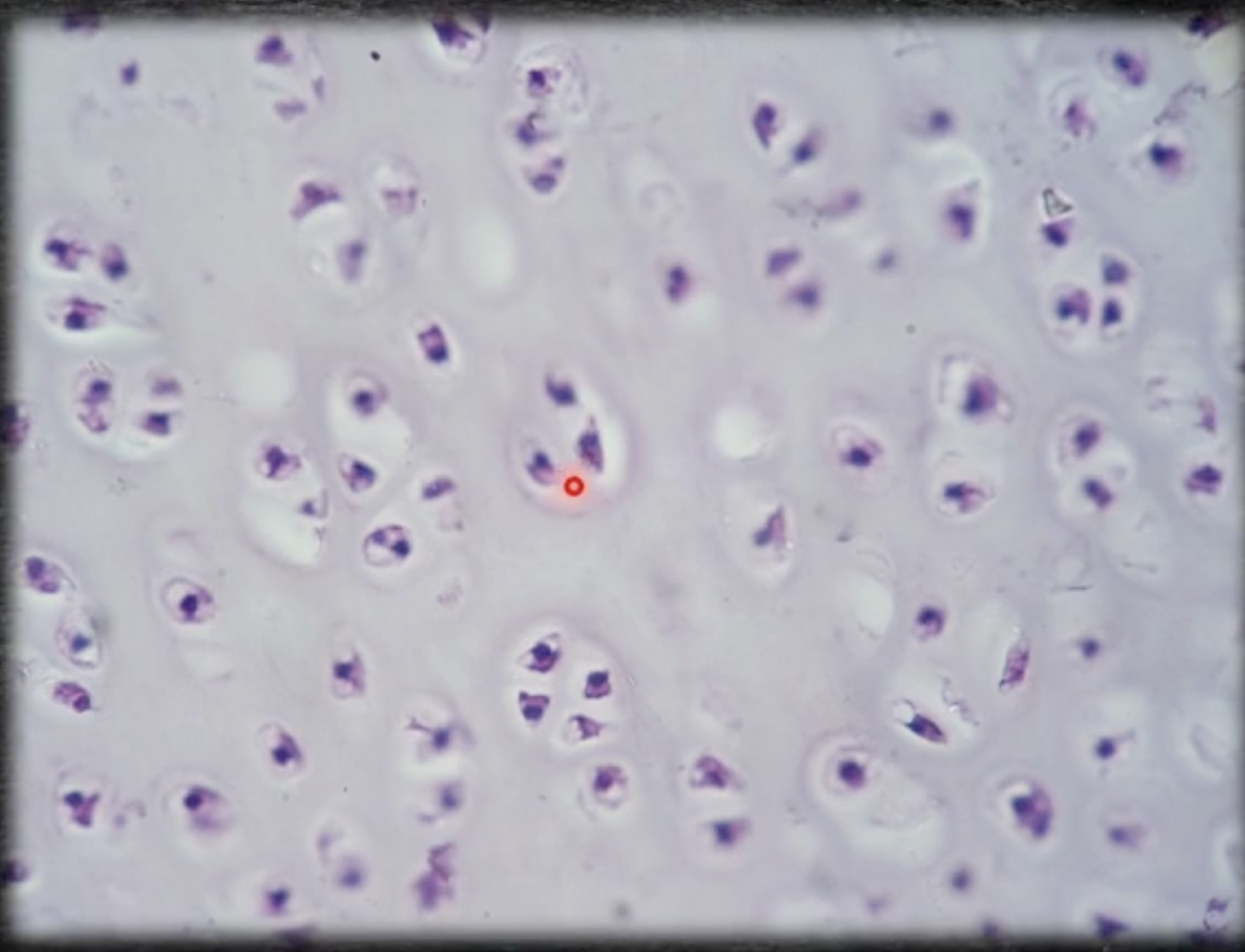
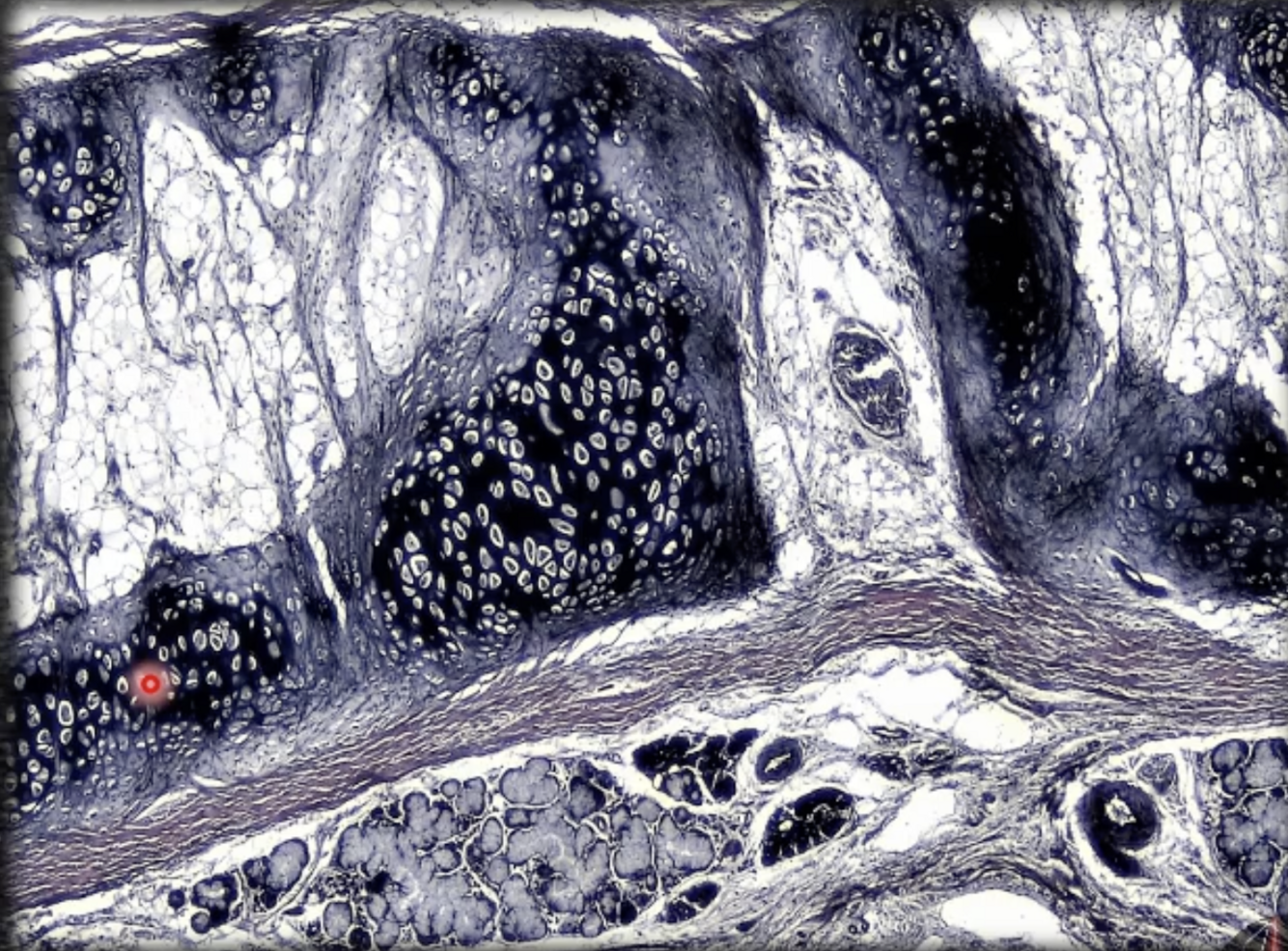
11
Q

Which type of cartilage is in this image?

A

Hyaline, has glass-like appearance (transparent) also cells appear in little “nests”

How well did you know this?
1
Not at all
2
3
4
5
Perfectly
12
Q

What type of cartilage is found in the ribs, nose, larynx, trachea, and joints?

A

Hyaline Cartilage

How well did you know this?
1
Not at all
2
3
4
5
Perfectly
13
Q

As a person ages, hyaline cartilage gradually gets converted into _________?

A

Fibrocartilage

How well did you know this?
1
Not at all
2
3
4
5
Perfectly
14
Q

The main difference between Hyaline and Elastic cartilage is the presence of ___________ _________ in the ____________

A

Elastic Fibers in the Matrix of Elastic cartilage.

How well did you know this?
1
Not at all
2
3
4
5
Perfectly
15
Q

Which type of cartilage is in this image?

A

Elastic Cartilage

How well did you know this?
1
Not at all
2
3
4
5
Perfectly
16
Q

What type of cartilage is found in the auricle, medial auditory tube, epiglottis, laryngeal cartilage, and lateral part of EAM (External Acoustic Meatus),

A

Elastic Cartilage

17
Q

Which type of cartilage contains type 1 fibers and a dense matrix?

A

Fibrocartilage

18
Q

Which type of cartilage is in this image?

A

Fibrocartilage

19
Q

What type of cartilage is found in the glenoid labrum (Shoulder joint) and acetabular labrum (hip joint)?

A

Fibrocartilage, these areas require very strong cartilage.