Complex Flashcards

(9 cards)

1
Q

The arrors here represent which structure found in nerves?

A

Nodes of Ranvier represent gaps or interruptions in the myelin sheath of axons. At these gaps, axons are separated from the extracellular (interstitial) space by finger-like projections of Schwann cell membranes and cytoplasm. Two adjacent nodes mark an internodal segment of the sheath. This makes nerve fibers appear as a “string of sausages.”

How well did you know this?
1
Not at all
2
3
4
5
Perfectly
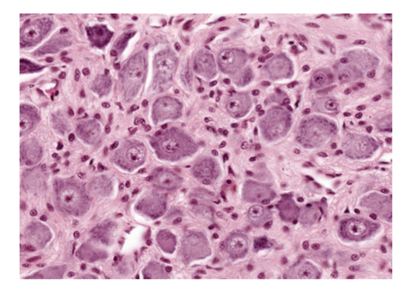
2
Q

Is this sympathetic or parasympathetic ganglia?

A

Sympathetic Ganglia

How well did you know this?
1
Not at all
2
3
4
5
Perfectly
3
Q

Fact Card: difference between Sympathetic and Parasympathetic Ganglia

A
How well did you know this?
1
Not at all
2
3
4
5
Perfectly
4
Q

The asterisk identify which of the following nerve-associated layers?

A

Epineurium

How well did you know this?
1
Not at all
2
3
4
5
Perfectly
5
Q
A

Line 1 Epineurium
Line 2 Perineurium

How well did you know this?
1
Not at all
2
3
4
5
Perfectly
6
Q

The arrows identify the nuclei of which of the following types of cells?

A

Satellite cells,

How well did you know this?
1
Not at all
2
3
4
5
Perfectly
7
Q

What typle of brain cell is this?

A

Astrocyte

How well did you know this?
1
Not at all
2
3
4
5
Perfectly
8
Q

What type of Nervous System Cell is this

A

Astrocyte

How well did you know this?
1
Not at all
2
3
4
5
Perfectly
9
Q

Stereocilia are made up of which protein?

A

Actin

How well did you know this?
1
Not at all
2
3
4
5
Perfectly