Nervous System Flashcards

(36 cards)

1
Q

__________ are the functional unit of the nervous system.

A

Neurons

How well did you know this?
1
Not at all
2
3
4
5
Perfectly
2
Q

The connective tissue cells that support neurons in the brain and spinal cord are the _________.

A

Neuroglia

How well did you know this?
1
Not at all
2
3
4
5
Perfectly
3
Q

What type of neuron is this?

A

Multipolar Neuron

How well did you know this?
1
Not at all
2
3
4
5
Perfectly
4
Q

What is number 1?

A

Unipolar Neuron

How well did you know this?
1
Not at all
2
3
4
5
Perfectly
5
Q

What is number 2?

A

Bipolar Neuron

How well did you know this?
1
Not at all
2
3
4
5
Perfectly
6
Q

What is number 3?

A

Multipolar Neuron

How well did you know this?
1
Not at all
2
3
4
5
Perfectly
7
Q

What is number 4?

A

Pseudo Unipolar Neuron

How well did you know this?
1
Not at all
2
3
4
5
Perfectly
8
Q

Schwann cells myelinate axons in which nervous system?

A

Peripheral Nervous System

How well did you know this?
1
Not at all
2
3
4
5
Perfectly
9
Q

Oligodendrocytes myelinate axons in which nervous system?

A

Central Nervous System

How well did you know this?
1
Not at all
2
3
4
5
Perfectly
10
Q

How many axons can one Schwann cell myelinate?

A

One

How well did you know this?
1
Not at all
2
3
4
5
Perfectly
11
Q

How many axons can one Oligodendrocyte cell myelinate?

A

Several

How well did you know this?
1
Not at all
2
3
4
5
Perfectly
12
Q

What is this an image of?

A

Oligodendrocytes cells, have a fried egg appearance, easy to tell

How well did you know this?
1
Not at all
2
3
4
5
Perfectly
13
Q

What type of cell has a fried egg appearance?

A

Oligodendrocytes cells

How well did you know this?
1
Not at all
2
3
4
5
Perfectly
14
Q

Diagram of Neuroglia in the Central Nervous System (Brain & Spinal Cord). What’s Number 1?

A

Astrocytes

How well did you know this?
1
Not at all
2
3
4
5
Perfectly
15
Q

Diagram of Neuroglia in the Central Nervous System (Brain & Spinal Cord). What’s Number 2?

A

Ependymal Cells

How well did you know this?
1
Not at all
2
3
4
5
Perfectly
16
Q

Diagram of Neuroglia in the Central Nervous System (Brain & Spinal Cord). What’s Number 3?

A

Oligodendrocytes

17
Q

Diagram of Neuroglia in the Central Nervous System (Brain & Spinal Cord). What’s Number 4?

18
Q

Small star-shaped cells surrounding neurons?

19
Q

Neuroglial cells that help to form the blood-brain barrier?

20
Q

The neuroglial cell that functions in the repair of damaged cells in the brain?

21
Q

The neuroglial cell that provides mechanical support to neurons?

22
Q

Simple columnar cells that line the ventricles of the CNS?

A

Ependymal Cells

23
Q

Specialized Ependymal Cells in the choroid plexus secrete what?

A

CSF (Cerebral Spinal Fluid)

24
Q

Which neuroglial cells provide myelin sheath in the CNS?

A

Oligodendrocytes

25
Which neuroglial cells have a phagocytosis function?
Microglia
26
Which neuroglial cells are the smallest?
Microglia
27
A collection of nerve cell bodies outside the CNS is called what?
Ganglia
28
Sensory Ganglia are present in the ________ ________ _______ of the spinal nerves.
Dorsal nerve roots
29
The ___________ ganglia are the collection of cell bodies of postganglionic neurons.
Autonomic Ganglia
30
True/False. Autonomic Ganglia can be sympathetic or parasympathetic ganglia?
True
31
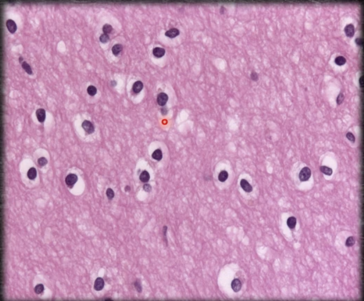
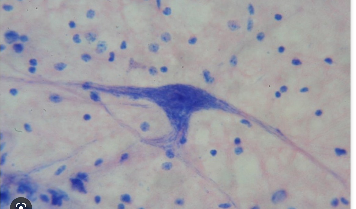
What is this an image of?
Ganglia
32
The grey matter of the spinal cord contains which part of nerves, predominately?
Nerve Cell Bodies
33
The white matter of the spinal cord contains which part of nerves, predominately?
Nerve Axons
34
Which type of spinal cord matter contains two sections, the anterior and posterior horns?
Grey Matter
35
Which type of spinal cord matter contains three sections, dorsal, anterior, and lateral columns?
White matter
36
What is the name of the structure found in both white and grey matter that connects both sides?
Commissure