CBC Flashcards

(25 cards)

1
Q

Define anemia

A

Decrease in total amount of red blood cells and hemoglobin in the blood

(decreased ability to carry oxygen)

How well did you know this?
1
Not at all
2
3
4
5
Perfectly
2
Q

What is the normal RBC count?

A
  • men ~ 4.7 x 106/mL
  • women ~ 4.2 x 106/mL
How well did you know this?
1
Not at all
2
3
4
5
Perfectly
3
Q

When would you see leukocytosis and when would you see leukopenia?

A
  • Leukocytosis during acute infection (11,000/mL)
  • Leukopenia during viral infections or overwhelming bacterial infections (<4,000/mL)

(normal range: 4,500-10,500/mL)

How well did you know this?
1
Not at all
2
3
4
5
Perfectly
4
Q

Which white blood cells are seen during an allergic disorders and or parasitic infection?

A

Eosinophils and basophils

How well did you know this?
1
Not at all
2
3
4
5
Perfectly
5
Q

When are monocytes increased?

A

Severe infection, Phagocytosis

How well did you know this?
1
Not at all
2
3
4
5
Perfectly
6
Q

What is a “band” (seen in a WBC w/diff.)?

A

Immature blood cells causing a “left shift”

How well did you know this?
1
Not at all
2
3
4
5
Perfectly
7
Q

List the white blood cells in order of abundance in the body.

A
  1. Neutrophils
  2. Lymphocytes
  3. Monocytes
  4. Eosinophils
  5. Basophils
  6. Bands
How well did you know this?
1
Not at all
2
3
4
5
Perfectly
8
Q

Thrombocytopenia is a low ______

A

Blood platelet count (<150,000/mL)

(“plt” = platelet)

How well did you know this?
1
Not at all
2
3
4
5
Perfectly
9
Q

Why is a hemoglobin count monitored?

A

Anemia dx or to monitor therapy for anemia

How well did you know this?
1
Not at all
2
3
4
5
Perfectly
10
Q

Hematocrit is a ratio of ______

A

Packed red blood cells : total volume of whole blood

(men: 36-48%; women: 42-52%)

How well did you know this?
1
Not at all
2
3
4
5
Perfectly
11
Q

Macrocytic anemia is caused by a(n) ______; whereas microcytic anemia is caused by a(n) ______.

A
  • B12 /folate deficiency
  • iron deficiency

(diagnosis of anemia is based on the red blood cell volume & hgb)

How well did you know this?
1
Not at all
2
3
4
5
Perfectly
12
Q

How is the average red blood cell volume measured?

(dx of anemia)

A

Mean corpuscular volume (MCV)

(~82-98 fL)

How well did you know this?
1
Not at all
2
3
4
5
Perfectly
13
Q

What is the main difference between the mean corpuscular hemoglobin (MCH) and mean corpuscular hemoglobin concentration (MCHC)?

A
  • MCH: amount of hemoglobin / red blood cell
  • MCHC: average hemoglobin concentration / red blood cells volume
How well did you know this?
1
Not at all
2
3
4
5
Perfectly
14
Q

What is the utility of the MCH and the MCHC?

A
  • MCH: dx severe anemia (26-34 pg/cell)
  • MCHC: monitors anemia tx (32-26 g/dL)
How well did you know this?
1
Not at all
2
3
4
5
Perfectly
15
Q

What does the red blood cell distribution width (RDW) tell us?

A

Variation of RBC sizes

(~11-14 CV)

How well did you know this?
1
Not at all
2
3
4
5
Perfectly
16
Q

What is the difference between poikilocytosis and anisocytosis?

A
  • poikilocytosis: variation in size and shape
  • anisocytosis: larger than normal variation (either anemia or recently released reticulocytes)
18
Q
19
Q
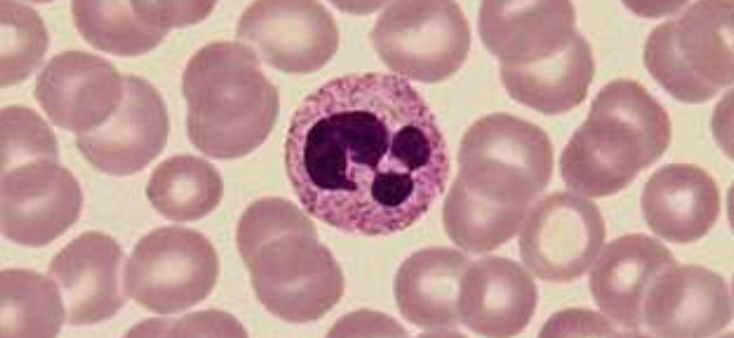
A

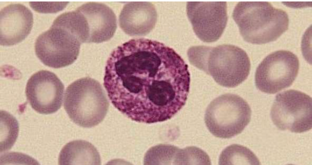
toxic granulation: inflammatory rxn response of neutrophil (activated)

20
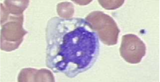
Q
A

vacuolization: inflammatory monocyte/MF (phagocytosis)

21
Q
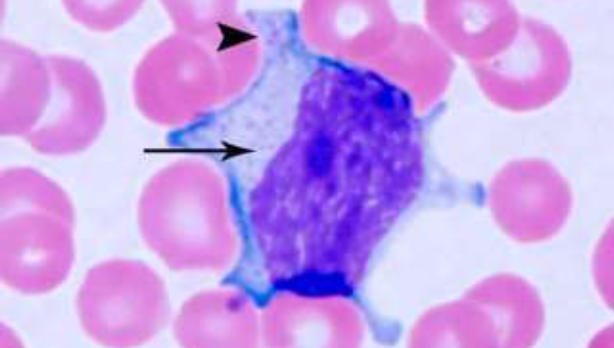
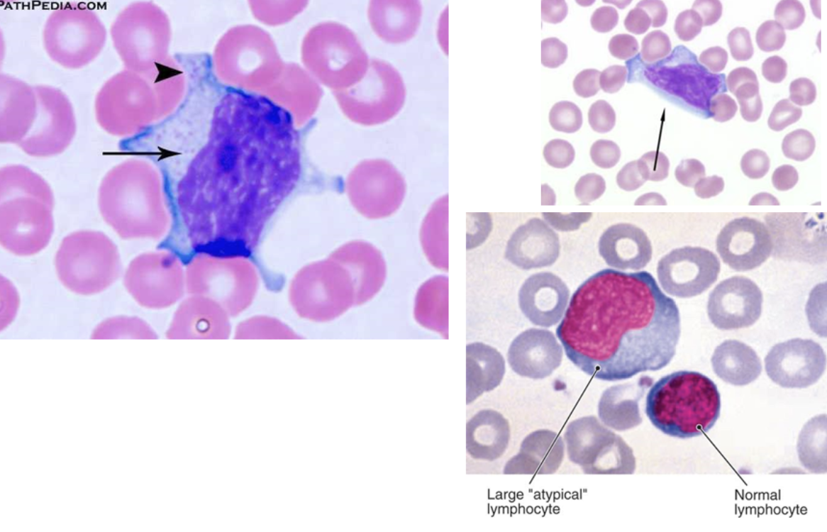
A

atypical lymphocytes (activated; note the blue skirt)

22
Q
A

Mott cell: ab-producing B cell filled w/ab vacuoles

(neutrophil present to the left)

25