Hematologic Infections Flashcards

(60 cards)

1
Q

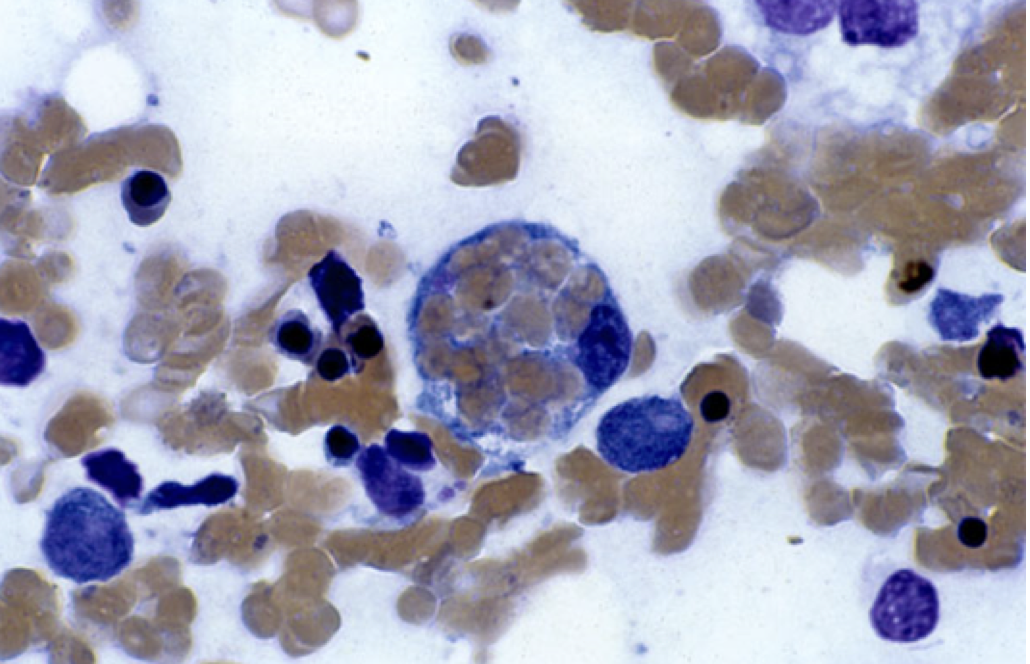
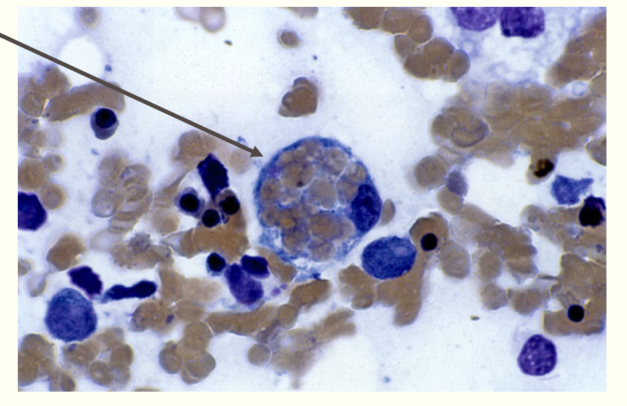
Hemophagocytic lymphohistocytosis (HLH)

A

macrophages are activated by cytokines or EBV → attack RBCs

(IFN-g, IL-1, IL-2, IL-6, TNF-a)

How well did you know this?
1
Not at all
2
3
4
5
Perfectly
2
Q

Major signs and symptoms of hemophagocytic syndrome (HLH)

A
  1. Splenomegaly
  2. Jaundice
  3. Fever
How well did you know this?
1
Not at all
2
3
4
5
Perfectly
3
Q

In HLH, MF will phagocytize ______ (3).

A
  1. erythrocytes
  2. leukocytes
  3. platelets
How well did you know this?
1
Not at all
2
3
4
5
Perfectly
4
Q

In HLH, infections are caused by bacteria, fungi, parasites, viruses. It may also be associated with ____(2).

A
  1. Collagen-vascular disease
  2. Malignancies
How well did you know this?
1
Not at all
2
3
4
5
Perfectly
5
Q

HLH will show _____ bone marrow with active _____.

A
  • hypocellular
  • hemophagocytosis
How well did you know this?
1
Not at all
2
3
4
5
Perfectly
6
Q

If you suspect HVH, what sample would you take at the visit (in office)?

A
  1. throat & rectal swabs (viral)
  2. fungal scrapings
How well did you know this?
1
Not at all
2
3
4
5
Perfectly
7
Q

If you suspect HVH, which labs would you order (6)?

A
  1. EBV
  2. CMV
  3. HIV
  4. HSV
  5. CA screen (T cell lymphoma)
  6. Blood & urine cultures
How well did you know this?
1
Not at all
2
3
4
5
Perfectly
8
Q

If you suspect HVH, what tests would you order?

A

Chest XR for Tb

How well did you know this?
1
Not at all
2
3
4
5
Perfectly
9
Q

Which 2 gram negative rods can cause HLH?

A
  1. Brucella sp.
  2. Rickettsia sp.
How well did you know this?
1
Not at all
2
3
4
5
Perfectly
10
Q

What characteristics do Brucella sp. share with Rickettsia sp.?

A
  1. Gram -
  2. rods
  3. aerobic
  4. intracellular
  5. both may → HLH
How well did you know this?
1
Not at all
2
3
4
5
Perfectly
11
Q

Virulence of brucella sp. is due to ______.

Virulence to rickettsia sp is due to ______.

A
  • O-antigen on LPS
  • phospholipase (destroys membrane)
How well did you know this?
1
Not at all
2
3
4
5
Perfectly
12
Q

While HLH may be caused by Brucella sp. or Rickettsia sp. which is acquired from unpasteurized milk?

A

Brucella sp.

(Rickettsia sp. from ticks)

How well did you know this?
1
Not at all
2
3
4
5
Perfectly
13
Q

Brucella sp. require on the __________ in order to activate their virulence factor genes

A

acidic environment of the phagolysosome

How well did you know this?
1
Not at all
2
3
4
5
Perfectly
14
Q

Brucella activate virulence factors within the phagolysosome and then move on to the spleen, liver, bone marrow, lymph nodes and kidneys to form _______.

A

granulomas

How well did you know this?
1
Not at all
2
3
4
5
Perfectly
15
Q

______ is the preferred stain for Rickettsia sp.

A

Geimsa

How well did you know this?
1
Not at all
2
3
4
5
Perfectly
16
Q

Rocky Mountain Spotted Fever is endemic to the ______ U.S.

A

western

How well did you know this?
1
Not at all
2
3
4
5
Perfectly
17
Q

Pathological manifestations of Rocky Mountain Spotted Fever are found in the ______.

A

small blood vessels

(epithelial lining damage → thrombi & vasculitis in skin, lungs, spleen, heart, liver, kidney)

How well did you know this?
1
Not at all
2
3
4
5
Perfectly
18
Q

Rocky Mountain Spotted Fever may lead to _____.

A

DIC

(severe endothelial damage → systemic activation of coagulation cascade)

How well did you know this?
1
Not at all
2
3
4
5
Perfectly
19
Q

What labs are ordered if Rocky Mountain Spotted Fever is suspected?

A
  1. Pt/PTT
  2. D-dimer (⇡)
  3. Fibrinogen (⇣)
  4. Hct
How well did you know this?
1
Not at all
2
3
4
5
Perfectly
20
Q

Epidemic typhus is caused by ______.

A

Rickettsia prowazekii

How well did you know this?
1
Not at all
2
3
4
5
Perfectly
21
Q

Epidemic typhus is transmitted through ______.

A

louse feces

How well did you know this?
1
Not at all
2
3
4
5
Perfectly
22
Q

Epidemic typhus: s/sx

A
  1. maculopapular rash
  2. hypotension, vascular collapse

(HA, fever, splenomegaly)

How well did you know this?
1
Not at all
2
3
4
5
Perfectly
23
Q

Anemia: general mechanisms

A
  1. ⇣ RBC production
  2. ⇡ RBC destruction
  3. Blood loss
How well did you know this?
1
Not at all
2
3
4
5
Perfectly
24
Q

MC blood smear presentation for iron deficiency anemia

A
  1. hypochromic
  2. microcytic

(decreased iron or transferrin levels, stores are normal or elevated)

How well did you know this?
1
Not at all
2
3
4
5
Perfectly
25
macro/microcytic describes _______ (lab value); while hyper/hypochromic describes _____ (lab value)
* MCV * MCHC
26
Increased hepcidin levels in response to cytokine release will → decreased _______ levels
serum iron | (during inflammation → 100x increase)
27
hepcidin is a key regulator of \_\_\_\_\_.
iron metabolism: GI absorption & release from MF via RBC destruction in RES
28
Hepcidin is a negative regulator of iron ______ (3).
1. Absorption in SI 2. Transport across placenta 3. Release from MF
29
During inflammation hepcidin levels increase by 100x → negative regulation of iron →
lower EPO → suppressed hematopoiesis
30
Which microbe causes the most severe malaria?
*Plasmodium falciparum*
31
How is malaria acquired from plasmodium falciparum?
sporozoites in mosquito saliva → human blood → become merozoites in liver → merozoites invade RBCs → replicate & lyse
32
\_\_\_\_\_ is the gold standard for lab diagnosis of *P. falciparum*.
Geimsa stain
33
Why does P. falciparum cause splenomegaly?
eats Hb → disrupting cytoskeleton → sickle cell shape → clogs splenic vasculature
34
What distinguishes P. falciparum from the other plasmodium sp?
infects all erythrocytes; other forms infect old or young
35
What is the distinguishing feature of Plasmodium vivax on blood smear?
Schuffner's dots (small purple-red granules on Wright's stain)
36
Which labs would you order if you suspect malaria (3)
1. Rapid test: dipstick or cassette 2. PCR (molecular) 3. Serology: IFA, ELISA
37
2 hosts of babesiosis?
1. white footed mouse (*Peromyscus leucopus*) 2. deer tick (*Ixodes Dammini*) (humans = accidental hosts)
38
Babesia sp. are endemic to the _______ U.S.
NE (NY, MA) ***_(note that tetrad formation)_***
39
Diagnosis of babesiosis is done via _____ or \_\_\_\_\_
1. Direct blood smear: tetrad formation 2. IFA: Ab against *Babesia microti*
40
At what point in the life cycle is babesia introduced to humans?
sporozoites (may also be acquired via blood transfusion)
41
Which microbe produces lecithinase which binds to RBC → lysolecithin?
*clostridium perfringens* (lyses leukocytes & muscle cells, too)
42
Which microbe produces alpha-toxin → massive hemolysis & bleeding & myocardial dysfunction?
*clostridium perfringens*
43
Other than lecithinase & alpha-toxin, what are 2 other virulence factors of *C. perfringens*?
1. Theta-toxin (pore-forming hemolysin) 2. hydrogen peroxide → damages RBC membranes
44
Which microbe that causes hemolytic anemia lacks a cell wall and is resistant to penicillin?
Mycoplasma pneumoniae
45
*M. pneumniae* attaches to the eukaryotic host cell through membrane based receptors in the respiratory tract & RBCs →
inhibition of ciliary action of the respiratory tract & cell necrosis (toxins)
46
What is cold autoimmune hemolytic anemia?
acquired autoimmune hemolytic anemia: IgM attacks I Ag on RBC → *transient* agglutination in fingers, ears, nose (areas below normal body temp)
47
Agents that may cause cold-autoimmune hemolytic anemia (5).
1. EBV (mono) 2. Legionella sp. 3. Mumps, rubella 4. CMV 5. Measles vaccine
48
Rubella (aka German measles) is part of the ______ family.
Togaviridae (same as Eastern & Western Equine Encephalitis)
49
Rubella characteristics
1. +ssRNA 2. enveloped
50
Rubella is transmitted via \_\_\_\_\_\_.
respiratory droplets (replicates in nasopharynx & lymph → viremia to other tissue)
51
Rubella manifestation in children
1. Hemorrhagic manifestation: GI, cerebral 2. Low platelet, vascular damage 3. thrombocytopenia purpura
52
Donath-Landsteiner Ab
IgG Ab that react w/RBCs in the cold (below body temp) → cold autoimmune hemolytic anemia
53
Microorganisms can trigger cold-autoimmune hemolytic anemia against the \_\_\_\_\_.
P antigen on RBCs (varicella, mumps, measles, flue, adenovirus CMV, EBC, M. pneumoniae)
54
Haemophilus influenzae type b meningitis is an example of _______ reaction.
antigen-antibody complex (binds to RBC)
55
Polyagglutination is a rare form of hemolysis where the _______ of infectious agents affect RBCs by exposing \_\_\_\_\_.
* metabolic products * surface Ag not normally present → Ab produced against these newly found Ags (i.e. neuraminidase from enteric bacteria)
56
\_\_\_\_\_\_ (2 infectious agents) that can lead to blood loss from disruption of the gastrointestinal or genitourinary mucosa.
* *H. pylori* * Helminthic infections (nematodes & trematodes)
57
H. pylori characteristics (4)
1. spiral-shaped 2. gram (-) 3. urease + 4. flagella that drill into mucosa
58
List the 2 hookworms that penetrate the skin → circulation → lungs → cough up and swallow.
1. *ancylostoma duodenale* 2. *necator americanus*
59
In hookworm infestation, blood loss is due to feeding worms. _______ anemia develops.
microcytic, hypochromic
60
Carries of the _______ (worm) have vitamin B12 deficiency.
diphyllobothrium latum (cestode): fish tapeworm (scolex shaped like a lance)