Chronic Leukemia - Simms Flashcards

(46 cards)

1
Q

Most common leukemia of adults in the western world

A

Chronic Lymphocytic Leukemia

(70 y/o; M>F)

How well did you know this?
1
Not at all
2
3
4
5
Perfectly
2
Q

CD5+ on flow cytometry indicates ______

A

CLL. This is an aberrant marker (belongs to T cell)

(also CD19+/CD20+)

How well did you know this?
1
Not at all
2
3
4
5
Perfectly
3
Q

CLL is an accumulation of ____ cells

A

mature (not blastic) neoplastic lymphocytes (mostly B-cells)

How well did you know this?
1
Not at all
2
3
4
5
Perfectly
4
Q
A

CLL: “smudge cells” or “basket cells”

(made by making the slide)

How well did you know this?
1
Not at all
2
3
4
5
Perfectly
5
Q

Bone marrow failure seen in CLL will lead to _____ (3).

A
  1. thrombocytopenia → bleeding
  2. anemia
  3. neutropenia
How well did you know this?
1
Not at all
2
3
4
5
Perfectly
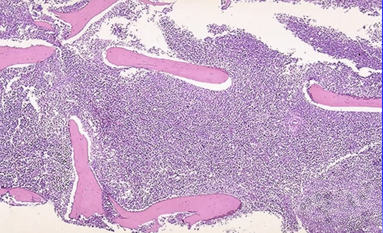
6
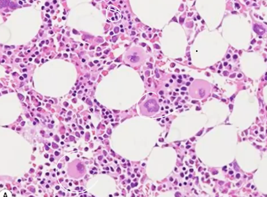
Q
A

Bone marrow bx: CLL

How well did you know this?
1
Not at all
2
3
4
5
Perfectly
7
Q

What does this tell you?

A

light chain restriction

How well did you know this?
1
Not at all
2
3
4
5
Perfectly
8
Q

In CLL, del ____ has an intermediate survival, while del ____ has the poorest.

A
  • 11q → DNA repair mutation
  • 17p → p53 loss
How well did you know this?
1
Not at all
2
3
4
5
Perfectly
9
Q

In T-cell CLL, del _____ has extensive lymph node involvement and is aggressive.

A

11q22 → ATM deletion

How well did you know this?
1
Not at all
2
3
4
5
Perfectly
10
Q

Unlike B-cell Malignant lymphoma, B-cell CLL manifests as a high expression of _____.

A

BCL-2 on 18q21 (anti-apoptotic protein→ maintains neoplastic cells)

(this is a different mechanism than some of the lymphomas)

How well did you know this?
1
Not at all
2
3
4
5
Perfectly
11
Q

In CLL, loss of the tumor suppression is especially prolific in the proliferation centers where tumor cells receive signals for growth and survival through the ______.

A

Bruton Tyrosine Kinase (BTK)

How well did you know this?
1
Not at all
2
3
4
5
Perfectly
12
Q

B-cell CLL has mutations in the ______ chain of the VH gene complex

A

heavy or light

(markers for the VH gene complex are CD38 & ZAP-70)

How well did you know this?
1
Not at all
2
3
4
5
Perfectly
13
Q

How do we monitor the minimal residual disease (MRD) of leukemias?

A

cytogenetic screening of marrow or blood

How well did you know this?
1
Not at all
2
3
4
5
Perfectly
14
Q

Median survival for CLL is ______ w/low tumor burden

A

4-6 years

How well did you know this?
1
Not at all
2
3
4
5
Perfectly
15
Q

Lymph node biopsy of CLL will show diffuse effacement by an infiltrate of ______ & proliferation centers (mixed large lymphocytes & loose aggregates)

A

small lymphocytes

How well did you know this?
1
Not at all
2
3
4
5
Perfectly
16
Q

Good prognosis: markers for the VH gene complex are CD38 & ZAP-70 are _____ (increased/decreased)

(Immature subtype of CLL)

A

decreased (means they are less mature)

(Mature sub-type does not have these at all → better prognosis)

How well did you know this?
1
Not at all
2
3
4
5
Perfectly
17
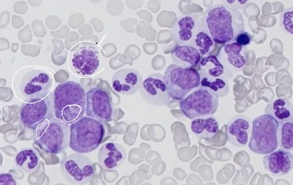
Q
A

AML

(below is normal bone marrow)

How well did you know this?
1
Not at all
2
3
4
5
Perfectly
18
Q

Like AML, CML has CD13+, CD33+, but in opposition to AML, CML is ______ (-).

A

CD45RA

(also CML has a philadelphia chromosome - short 22)

How well did you know this?
1
Not at all
2
3
4
5
Perfectly
19
Q

CML lab findings include immature myelocytic cells as well as elevated ______ (2 cell types).

A
  1. basophils
  2. eosinophils
20
Q

How can you tell if a myeloblast is mature?

A

increased granulation in the cytoplasm

21
Q
A

CML : mixture of mature cells

22
Q

why is uric acid elevated in CML? What can this lead to?

A
  • it is a metabolite of DNA (high cell turnover bc they are dying)
  • oligoarticular arthritis (deposition)
23
Q

______ is a unique is a risk factor for CML

A

Herbicide/pesticide exposure

24
Q

In CML, lab findings include : elevated uric acid, ______(2).

A
  1. anemia
  2. high plts
25
Why is there hyperviscosity in CML?
hyperleukocytosis (may manifest as tinnitus, confusion, priapism)
26
Staging of CML: chronic, accelerated and _____ phase.
blast (\>30% blasts in blood or bone marrow) (based on amount of blasts; after blast phase → becomes ALL or AML. usually w/in 5 yrs)
27
CML can transform into ALL, AML or \_\_\_\_\_.
Sweet syndrome
28
1st line of therapy if CML patient is \<45 years old?
bone marrow transplant (imatinib, nilotinib, dasatinib until they can get the transplant)
29
bone marrow biopsy of CML will show macrophages w/\_\_\_\_\_\_.
blue-green coloration ("sea-blue" hisotcytes)
30
In addition to “sea-blue histiocytes”, CML bone marrow bx will show\_\_\_\_\_\_(2)
1. hypercellular marrow: granulocytic & megakaryocytic precursors 2. no fat in marrow
31
Hairy Cell Leukemia has _____ (markers)
1. ***_CD103+_*** 2. Cyclin D1 3. CD11c+ (Lots of B cell markers: CD19, 20, 22, 25. **No CD3, CD5**)
32
\_\_\_\_\_\_ lab finding include: pancytopenia, elevated IL-2, **+ Tartrate-Resistant Acid Phosphatase (aka TRAP)**.
Hairy Cell Leukemia
33
Hairy cell leukemia has a point mutation in \_\_\_\_\_
BRAF gene (downstream of RAS) → proliferation & survival (Ser/Threonine kinase)
34
CBC on Hairy Cell Leukemia
pancytopenia (WBC, anemia, plts)
35
Mycobacterial infection & massive splenomegaly are common features of ______ leukemia.
hairy cell
36
Prognosis for Hairy Cell Leukemia
Excellent (relapse in 5 years possible, but same tx)
37
HTLV-1 can give rise to a progressive \_\_\_\_\_\_\_
demyelinating disease of the CNS
38
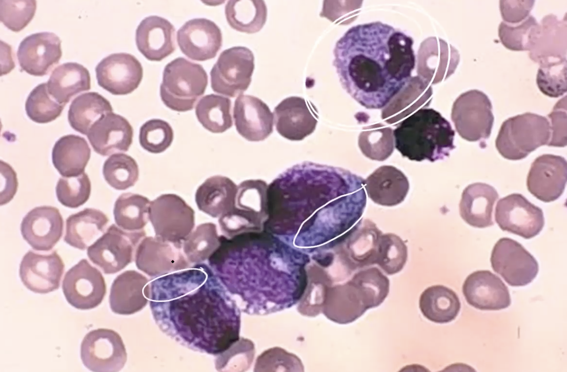
Adult T Cell Leukemia/Lymphoma has atypical lymphocytes known as \_\_\_\_\_\_\_
flower cells | (lobulated multinuclei)
39
Adult T Cell Leukemia/Lymphoma has atypical lymphocytes known as \_\_\_\_\_\_\_
"flower" or "clover" T cells (TH) (lobulated multinuclei; also present in Peripheral T-cell Lymphoma)
40
T cell ______ is detectable with Adult T Cell Leukemia/Lymphoma
clonal receptor rearrangement
41
Which diagnostic feature does Adult T cell Leukemia/Lymphoma share with Multiple Myeloma?
Lytic bone lesions | (this leads to hypercalcemia)
42
How would you dx Adult T cell Leukemia/Lymphoma?
PCR or ELISA for HTLV-1 virus
43
What is the most common presentation of HTLV-1?
Adult T cell **leukemia** **(lymphoma is uncommon)**
44
t(9;22) is seen in which diseases?
1. CML 2. AML 3. ALL (don't rely on that alone for diagnosis)
45
Adult T-cell Leukemia/Lymphoma occurs mainly in which 3 geographic locations?
1. Japan 2. W. Africa 3. Caribbean
46
Once Adult T-cell Leukemia/Lymphoma presents symptoms it is aggressive, prognosis?
fatal within months to 1 year despite aggressive chemo