Vad innebär nästan alla sjukdomar i grunden?
Inflammation, alltså kroppens reaktion på vävnadsskada
Kronisk inflammation kan vara lokaliserad eller generell
Vad beror kronisk inflammation i grunden på?
Inflammtionen kan inte eliminera orsaken, förloppet varierande över tid, pågår så länge orsaken kvarstår
Vad utlöser vanligtvis en inflammation exogent och endogent?
Infektioner (exo)
Autoimmunitet och allergi
Vilka mediatorer driver och startar inflammation?

Vilka mediatorer avslutar en inflammation?

Vilka mediatorer har framför allt skyddande effekt mot inflammationen?
IL-1-receptorantagonist m .fl

Vad ses på bilden?

Här ses utvandrade vita blodkroppar (exodat)
När ses ofta en serös (transudat/proteinfattig) vätska i vävnad vid inflammation?

Var kan vi ofta se fibrinöst, alltså exudat?
I kaviteter som pleura vid ex pleurit och eller hjärtsäcken vid pericardit
Vad innebär att vätska som läckt ut i kroppen är purulent/suppurativ och var kan det ses?
Exudat med neutrofiler/nekros
Diffus (flegmonös) är vanlig i tarmvägg
Lokaliserad är vanlig som abscess
Vad innebär hemorrhagisk?
Exudat med mkt erytrocyter
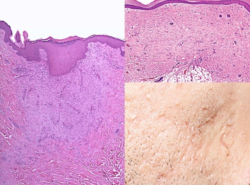
Vad beror den typ av inflammation på och vad blir resultatet?

Beror på histaminfrisättning, epidermis går i nekros och hela regenereras. Om dermis också är skada blir det ärrbildning
Vad beror denna inflammation på?

Substans P genom axonreflexen eller histamin
Bryts ner inom 20-30 min
Vad ses på bilden och vad beror det på?
Vad kan ske om detta händer i tarm?

Mkt exodat med fibrinogen, ger ett klister där perikardiet blir ihopklistrat
Kan många gånger resorberas (brytas ner), om inte nedbrytning så kan det leda till bindvävsuteckling som i lungan på bilden till höger fibros
Fibrösa atteranser (bindvävsstråk) i bukhåla kan göra att tarm fastnar och ger tarmnekros

Vad dominerar i denna inflammations exudat? Vad visar bilderna?

Dominant är neutrofiler
Bronk uppe till höger med neutrofiler i
Högre förstoring visar polymorfa neutrolifer och makrofager i alvoelära lumen, i alveolär vägg syns också dilaterade kärl uppfullda bodkroppar (cellulär reaktion)
Vad visar bilden?
Var tar avfallsprodukterna vägen?

När bronkopneumoni läker, avfallsprodukter hostas upp resorption vätska ger utläkta alveoler
Vad beror denna inflammation på?
Vad händer vid tömning?

Beror på nekrosvätska från lyzosomala enzymer
Ärrvävnad efter tömning

Vad visar bilderna?

Intenstivt rött är erytrocyter (forcat ut pga högre tryck hydrostatiskt)
Det bildas tromber i kärlen, kroppen försler förhindra blödningen vilket ger trombosbildning i kärl vilket stoppar blodflöde vilket ger nekros

Vad kan en kronisk inflammation bero på utöver autoimmun sjukdom?
Om inte orsak elmineras genom t ex intracellulära virus/bakterier och svamp
Även vid nedsatt immunkompetens (defekter i leukocytfunktion, makrofagfunktion)
Recividerande attacker av akut infllammation
Främmande kropp (exogen, endogen), t ex sticka
Kontaktallergi
Cancer
Hur kan den onda cirkeln se ut vid kroniskt inflammation på cellnivå (makrofager, T-hjälparceller osv)?
Samarbete mellan medfödda och adaptiva immunförsvaret är förutsättningen

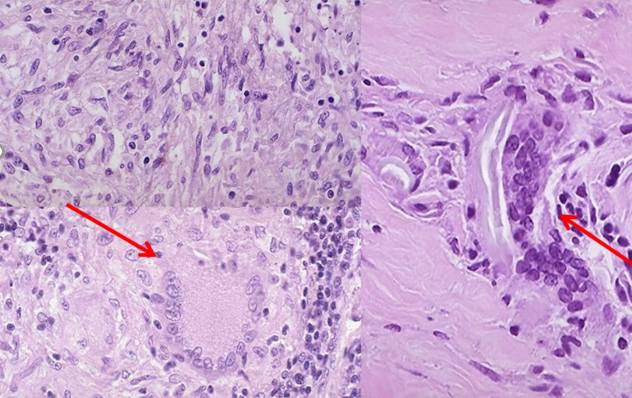
Hur uppstår den specifika inflammationen granulomatös inflammation och vad kännetecknas den av?
Granulomatös inflammation karakteriseras av förekomst av aktiverade makrofager, sk epiteloida celler, som ofta smälter ihop och bildar flerkärniga jätteceller.

Vad visar bilden?

Granulomatös inflammation

Hur fungerar mykobakterien tuberkulos i lungan?

Vad visar bilden?

Ostig nekros
Övre röda pil visar döda nekros, väl avgränsad process (görs för att avgränsa inflammationen)
Många har haft tuberkulos utan att veta det, de har immunsvar som kan avgränsa mykobakterier så att det bildas granulom, dystrofisk förklakning och bindvävsbildning runt om