, CF, פניאומוניה וברונכיאטקזיות, שחפת, Flashcards

(105 cards)

1
Q

מה ההגדרה של פניאומוניה

A

כל זיהום של פרנכימה ריאתית + מחלות אינטרצטינאליות לא זיהומיות

How well did you know this?
1
Not at all
2
3
4
5
Perfectly
2
Q

על מה מבוססת הקלסיפיקציה של פניאומוניה

A

הגורם האתיולוגי

המסגרת הקלינית בה הזיהום התרחש

Communitiy- קהילה (אנשים בריאים בד”כ)

Health care- מטופלי כימו, דיאליזה וכדומה

Hospital- חולים מאושפזים

How well did you know this?
1
Not at all
2
3
4
5
Perfectly
3
Q

מהי המורפולוגיה של

Bacterial pneumonia

A

lobar- מעורבות של אונה שלמה, נרחבת וקשה

Lobular- מעורבות מוקדית = Bronchopneumonia

How well did you know this?
1
Not at all
2
3
4
5
Perfectly
4
Q

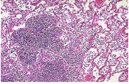
מה נראה בתמונה היסטולוגית של פניאומוניה

לוברית / לובולרית (ברונכופניאומוניה)

A

Congestion- גודל בכלי הדם, נראה חיידקים ונויטרופילים באלבאולי

Red hepatization- הרקמת ריאה נראת יותר סולידית כמו כבד, בגלל אקסודאט + ריבוי אריתרוציטים

Grey Hepatization- רקמת הריאה דומה לרקמת הכבד מאקרוסקופית אך מיקרוסקופית בצבע אפור בגלל פירוק אריתרוציטים, בתפליט יהיה פיברין ונויטרופילים

Resolution- אקסודאט נספג והראה חוזרת למבנה ותפקוד תקין ברוב המקרים

How well did you know this?
1
Not at all
2
3
4
5
Perfectly
5
Q

מהו החיידק הכי שכיח ל

Acquired bacterial pneumonia

A

S.Pneumonia

יוביל להופעה אקוטית . בד”כ גם גורם

Lobular

How well did you know this?
1
Not at all
2
3
4
5
Perfectly
6
Q

מהם אורגניזמיים אטיפיים

A

M.pneumoniae, C. pneumoniae, Coxiella burnetii

לא גדלים בתרבית רגילה (צביעה רגילה), תבנית פניאומוניה מעט שונה

How well did you know this?
1
Not at all
2
3
4
5
Perfectly
7
Q

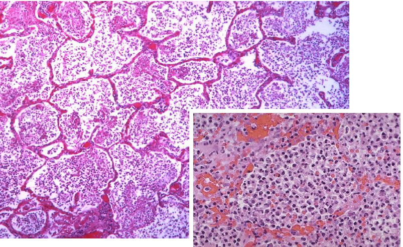
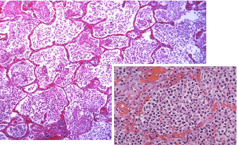
מהו הממצא שבתמונה

A

Lobar acute bacterial pneumonia

פסים אדומים, דפנות אלבאולריות מודגשות עקב גודש. חללים מלאים בתפליט דלקתי חריף.

המון נויטרופילים עם פיברין

How well did you know this?
1
Not at all
2
3
4
5
Perfectly
8
Q

מה הממצא שבתמונה

A

ברונכופניאמוניה (לובולרית), כלומר יהיו אזורים מוסננים עם דלקת חריפה ויהיו אזורים תקינים, הסטרוקטורה האלבאולרית נשמרת

How well did you know this?
1
Not at all
2
3
4
5
Perfectly
9
Q

מהי המשמעות של חפיפה בין מחלה לוברית ללובולרית

Lobar and lobular

A
  • אחרי טיפול אנטיובטי lobar → lobular
  • במחלה מתקדמת של לובולאר מוקדים יכולים להתמזג ולהראות כמו לובאר
How well did you know this?
1
Not at all
2
3
4
5
Perfectly
10
Q

מהם הסיבוכים האפשריים של פניאומוניה

A
  • אבצס (בעיקר בגלל קלבסיאלה / פניאומוקוק)
  • אמפיאמה- תפליט דלקתי
  • אקסודאט שמתארגן במקום להיספג
  • ספסיס
How well did you know this?
1
Not at all
2
3
4
5
Perfectly
11
Q

מה נראה באופן כללי בדלקת ריאות בקטריאלית

Community acquired bacterial pneumonia

A

lobular / lobar

דלקת אקוטית = נויטרופילים ברקמה שימלאו את הרקמה כתפליט דלקתי חריף שממלא את החללים האלבאולריים

How well did you know this?
1
Not at all
2
3
4
5
Perfectly
12
Q

מהי הפתוגנזה של

Community acquired viral pneumonia

A
  • וירוס נדבק לתאי אפיתל רספירטורי ← כניסה והתרבות בו ← הרס התא המארח ← תגובה דלקתית
  • במעורבות של האלבאולי- דלקת איטרסטינאלית
  • נזק לאפיתל רספירטורי- הצטברות הפרשות וסיכון לזיהום בקטריאלי משני
How well did you know this?
1
Not at all
2
3
4
5
Perfectly
13
Q

מהם המאפינים המורפולוגים של דלקת פניאומוניה ויראלית

Community aquierd

A
  • דלקת כרונית = תאים מונוקלונאליים (לימפוציטים) **בשונה מדלקת בקטריאלית שרואים נוטירופילים
  • הסננה אינטרסצאלית
  • חללים האלבאולרים ריקים ומלאים באוויר (בשונה מדלקת בקטראלית שמלאים באקסודאט)
  • Diffuse alveolar damage- בנזק משמעותי לדפנות האלבאולי, יכול להוביל לחדירה של חלבונים, תאים ופיברין שיראו כממברנות הילאנות
How well did you know this?
1
Not at all
2
3
4
5
Perfectly
14
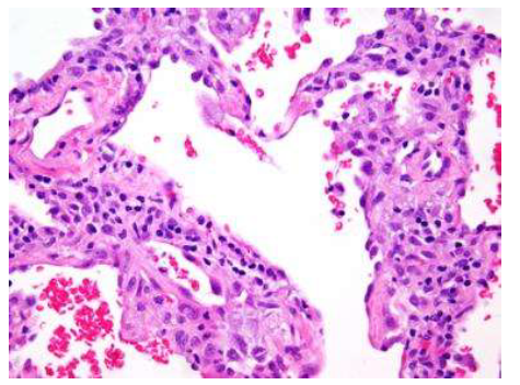
Q

מה הממצא

A

פניאומוניה ויראלית

רואים פילטרט של לימפוציטים באינטראסצטיום ללא אקסודאט באלבאולות

מאפיינים היסטולוגים של פניאומוניה ויראלית

דפנות אלבאולריות מעובות

חללים אלבאולרים ריקים

How well did you know this?
1
Not at all
2
3
4
5
Perfectly
15
Q

מהו

DAD

A

Diffuse alveolar damage

נזק נרחב לפרנכימה הריאתית מתייצג עם ממברנות הילאניות של פיברין

How well did you know this?
1
Not at all
2
3
4
5
Perfectly
16
Q

מהי

Aspiration pneumonia

A

דלקת ריאות כתוצאה מאספירציה של תוכן קיבה

פלאורה מעורבת בחיידקים אירובים ואנארוביים מחלל הפה + השפעה של חומציות תוכ הקיבה - דלקת מאוד קשה

How well did you know this?
1
Not at all
2
3
4
5
Perfectly
17
Q

מהי התמונה ההיסטולוגית של

Aspiration pneumonia

A

Necrotizing pneumonia- הנמק נגרם מחומציות הקיבה

דלקת ריאות חיידקית עם תבנית חיידקית לכל דבר ( אקסודאט, אקוטי עם נוכחות נויטרופלים, לובולרית / לוברית)

**סיבוך אפשרי- אבצס ריאתי

How well did you know this?
1
Not at all
2
3
4
5
Perfectly
18
Q

מה ההגדרה של אבצס

מה נראה באבצס

A

דלקת חריפה עם יצירת מוגלה- דלקת מוגבלת.

חלל עם תוכן נמקי ותפליט דלקתי פורנלטי (מוגלתי- נויטרופילים, חיידקים מתים, פיברין וכדומה).

דלקת חריפה + נמק של הריאה

How well did you know this?
1
Not at all
2
3
4
5
Perfectly
19
Q

איך בעיקר נראה אבצס כתוצאה מאספירציה

A

צד ימין- בגלל מנח הברונכוס הימני ולכן בד”כ יהיה אבצס בודד.

**אבצס של פניאומוניה, ברונכואקטזיה או זיהום ספטי יכול להיות מפושט

How well did you know this?
1
Not at all
2
3
4
5
Perfectly
20
Q

מהי התמונה ההיסטולוגית של אבצס ריאתי

A

דלקת חריפה עם נמק והרס של דפנות האלבאולות

How well did you know this?
1
Not at all
2
3
4
5
Perfectly
21
Q

מה מאפיין פניאומוניה של

COVID-19

A

DAD

בשלב האקוטי- אקסודאט וממברנות הילאניות (שקיעת פיברין)

בשלב מאוחר- התארגנות של רקמה פיברוטית

How well did you know this?
1
Not at all
2
3
4
5
Perfectly
22
Q

מהם הגורמים העיקריים ל

Chronic pneumonia

A

פטריות

ומיקובקטריום TB

How well did you know this?
1
Not at all
2
3
4
5
Perfectly
23
Q

מהי התמונה ההיסטולוגית של דלקת ריאות כרונית

A

דלקת גרנולומטוטית

How well did you know this?
1
Not at all
2
3
4
5
Perfectly
24
Q

מה זה

Histoplasmosis

A

זיהום ע”י ספורות של

Histoplasma capsulatum (fungus) שחודר למאקרופאגים.

התמונה הקלינית דומה לזאת של שחפת:

  1. מעורבות ריאתית לטנטית
  2. מחלת ריאה שניונית ממושכת
  3. מחלה אקסטרא-פולמונרית ממוקמת
  4. מחלה מפושטת- במדוכאי חיסון
How well did you know this?
1
Not at all
2
3
4
5
Perfectly
25
מהי הפתוגנזה של Histoplasmosis
מאקרופאגים עושים פאגוציטוזה להיסטופלזמה ← היסטופלזמה מתרבה ומפרקת את המאקרופאגים ← תאי טי מגיעים ומפרישים אינטרפרון גאמא שיוביל לאקטיבציה של מאקרופאגים ← מאקרופאגים בעצמם מפרישים TNF שיגרום לגיוס ואקטיבציה של מאקרופאג'ים נוספים ← יצירת גרנולמה ## Footnote **_סה"כ התגובה ליצירת הגרנולמה מתווכחת מאקרופאגים ותאי T_**
26
מהי התמונה ההיסטולוגית של היסטופלסמוזיס
גרנולומות עם נמק היסטופלזמה בתוך הגרנולות (בצורת שמר) \*\*אנשים עם דיכוי חיסוני- נראה מאקרופאגים שבעלו היסטופלזמה ללא יצירת גרנולמות
27
באיזה צביעה נשתמש לאבחון שחפת ובאיזו צביעה לאבחון פטריות
שחפת - זיל נילסן פטריות- PAS, MAS (methylamine silver)
28
אילו פתוגנים יובילו לדלקת ריאות באימיונוסופרסיבייים
* Pneumocystis jiroveci (carinii) * Aspergillus * CMV * TB
29
Pneumocystis jiroveci (carinii) מהי התמונה ההיסטולוגית
פטרייה- נוכל להסתכל לאחר שטיפה ואם יש פניאומוסיצטיס בתוך הנוזל * **_Foamy intra-alveolar exudate_**(חומר חלבוני ורוד בתוך האלבאולי לא עשיר בתאים) * **DAD** * **Interstitial pneumonia-** כמו מופע ויראלי (למרות שזאת פטריה)
30
כיצד נאבחן Pneumocystis jiroveci (carinii)
1. צביעת methylamine silver 2. צביעה אימיונוהיסטוכימית לנוגדנים ספציפיים 3. בדיקות מולקולריות- למשל PCR
31
מהי התמונה המורפולוגית והיסטולוגית של CMV כיצד נאבחן
**_דלקת אינטראסצטינאלית-_** אלבאולי ריקים (ויראלי ולא חיידקי), יכולה להיות מוקדית או דיפוזית **_אפקט ציטופאתי-_** מראה מאוד אופייני של תאים גדולים עם גרעין גדול שבתוכו יש גופיפי הסגר עם הילה **אבחון-** אימיונוהיסטוכימיה עם נוגדן ספציפי ל-CMV
32
מהי ההתייצגות הקלינית בחולים מדוכאי חיסון לעומת בריאים באספירגילוסיס מהי התמונה ההיסטולוגית
**אנשים “בריאים”-** קולניזציה ברקמת הריאה, כדור פטרייתי מבלי להרוס את הרקמה / להוביל לתגובה אלרגית אופיינית **מדוכאי חיסון-** דלקת קשה עם נמק, צומחת לתוך כלי דם ויכולה לחסום אותם. _התפצלות ב-45 מעלות_ _צביעת כסף / PAS_ _דלקת ריאות עם נמק_
33
מה ההבדל בין primary TB Secondary TB
**ראשוני-** חשיפה ראשונית לשחפת, לרוב א-סימפטומטי. _עם ההדבקה מתחילה מחלה_ **שניוני-** תגובה לאחר חודשים או שנים לרוב בגלל רה-אקטיבציה או חשיפה חוזרת.
34
מהי הפתוגנזה של שחפת
מיקרובקטריה נכנסת למאקרופאגים ← מתרבה בהם ← בקטרמיה של מיקובקטריה (לרוב א-סימפטומטי) ← זיהוי אנטיגנים בקשריות לימפה של הריאה ← דיפרנאצאציה של תאי טי ל-Th1 הפרשה של אינטרפרון -גאמא מתאי הטי ← מאקרופאגים מאוקטבים **ויכולים להרוג מיקובקטריה** ושוב גיוס של עוד מאקרופאגים ע"י TNF
35
כיצד נאבחן שחפת
* צביעת זיל נילסן- אפשר על כיח או חתך היסטולוגי * PCR * תרבית- **_Gold standard_** * liquid culture- תרבית במשטח נוזלי
36
איזה מופע מורפולוגי נראה רק ב Primary TB
**Ghon focus + מעורבות של קשריות לימפה הילריות** מוקד דלקת ברקמת הריאה, לרוב בחלק התחתון של אונה עליונה / חלק עליון של אונה תחתונה. **לרוב יעבור הסתיידות**
37
מהו המופע המורפולוגי המאפיין שחפת שניונית
דלקת גרנולומטוטית עם מרכז נמקי, בעיקר בחלק האפיקלי של הריאה- אם מתאחה יכול ליצור קווטיציות
38
מהי Progressive pulmonary TB miliary TB מתי נראה
**_2 צורות של שחפת שניונית_** **_Progressive pulmonary TB_**- שחפת מפושטת יותר בריאה ואף באיברים אחרים **_miliary TB-_** שחפת שמאופיינת במוקדים קטנים שמפושטים בריאה ובאיברים נוספים
39
מהו Ghon complex
אזור הסתיידות כתוצאה משחפת ראשונית + מעורבות של קשריות לימפה הילאריות Ghon focus + Hilary lympnodes involve = Ghon complex
40
מהו המראה ההיסטולוגי של שחפת שניונית
**דלקת גרנולומטוטית עם נמק מרכזי,** המוקף בהיסטוציטים רבים וביניהם תאי ענק
41
מהי Intestinal TB מתי תיגרם
שחפת עם מעורבות של דרכי העיכול **נגמרת בד"כ בגלל שתיית חלב לא מפוסטר** ## Footnote **המחולל:** **_Mycobacterium bovis_**
42
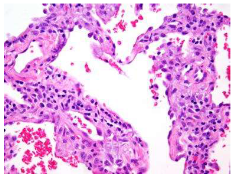
מה רואים בתמונה
CMV אפקט ציטופאתי עם הילה
43
אילו אנשים רגישים במיוחד לזיהומים במיקובקטריה
אנשים עם חסר של: IL-12, INF-gamma
44
מהי התגובה האימונית המתווכחת בזיהום של מיקובקטריה טוברקולוזיס
**Th1 cells which stimulate macrophages to kill bacteria**
45
מה הממצא בתמונות הנ"ל
שחפת גרנולומות עם מרק ורוד נמקי צביעת זיל נילסן בתמונה תחתונה ימין- הורודים אלו החיידקים
46
מה המאפיינים של מיקובקטריום טובקלורוזיס
תלוי חמצן ולכן מדביק את הריאות **אוהב להתיישב באונות העליונות של הריאה** 80% מהמקרים ריאתיים בלבד 20% חוץ ריאתיים **_החיידק יכול להדביק רק אם נמצא בריאה_** **_הדבקה באמצעות זיהום טיפתי- ורק מחולים ולא ממודבקים_**
47
מה הסיכוי של אדם בקרבת חולה שחפת להידבק
כ-75% לא ידבקו כ-25% ידבקו ← מתוכם 90% מהחיידקים יהיו בקונטרול של מע' החיסון ויהיו לטנטים בגרנולומה ← **10% מתוכם נראה רה-אקטיבציה ויעברו לשחפת פעילה**
48
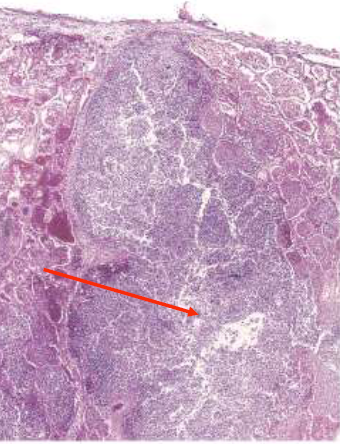
מהו ככל הנראה הממצא שבתמונות
גרנולומות בריאה בעקבות שחפת
49
סימפטומים של שחפת
* שיעול כרוני * חום ממושך * עייפות * הזעה לילית מוגברת * אבדן משקל * המופטוזיס (גניחת דם) \*\*הזעה לילית- אופייני גם בלימפומה
50
מהו הממצא המסומן בחץ
תסנין עם התבהרות בתוכו = קאביטציה ## Footnote **_ההולמרק של שחפת_**
51
מהו ההולמארק של שחפת בצילום חזה
תסנין בעיקר באונות עליונות עם התבהרות בתוכו
52
מהן 2 הבדיקות לחשיפה לשחפת
מנטו- לא מבחין בין שחפת לטנטית או אקטיבית IGRA- בדיקת דם עם נוגדנים, לא צריך לחזור לקרוא את הבדיקה כמו מנטו
53
מה נראה בשחפת ראשונית בצילום חזה
תסנינים בעיקר באונות התחתונות- אמצעיות
54
מתי נעלה חשד לשחפת
שיעול לא מוסבר במיוחד עם חום. כאב חזה פלאורליטי, גניחת דם, הזעות לילה, ירידה במשקל
55
מדוע בחולי HIV צילום חזה לא יהיה פתולוגי (בשאר האוכלוסייה צילום חזה של אדם שחפתי הינו פתולוגי ב95%)
כי התסנין הינו תאי הדלקת ובדיכוי של המע' החיסונית לא נראה את התמונה האופיינית בחזה.
56
מה הממצא שבתמונה
miliary TB
57
מהם היתרונות והחסרונות של צביעת זיל נילסן לתרבית
**_יתרון-_** מיידי וזול **_חסרונות-_** * צריך עומס חיידקי (רגישות מוגבלת) * לא ספציפי למיקובקטריה טוברקלורוזיס אלא גם למיקובקטריה אחרים (למשל נוקרדיה)
58
מהו הטיפול התרופתי בשחפת
RIPE * Rifampicin * Isoniazid * pyrazinamide * Ethambutol
59
מהם עקרונות הטיפול בשחפת
חיסול החיידקים ומזעור פוטנציאל היווצרות עמידות. טיפול לפרקי זמן ארוכים בקומבינציות תרופתיות שונות
60
מהו טווח הטיפול בשחפת
4 תרופות במשך חודשיים 2 תרופות לעוד חצי שנה ואף 3 שנים
61
מהו DOT
Directly observed therapy **_מטרתו להבטיח את השלמת הטיפול-_** חוששים מאי השלמת הטיפול, נטילה לא סדירה של כדורים וכתוצאה מכך התפתחות עמידויות **_כלומר המטופל נוטל את התרופות מול אחות בקרבת מקום מגוריו_**
62
מה הקשר בין שחפת ל- HIV
אזורים אנדומיים משותפים גורמי סיכון משותפים **_מאקרופאגים שמודבקים בשחפת יותר חשופים להדבקה באיידס וכשל חיסוני באיידס מעודד רה-אקטיבציה של שחפת_**
63
מהו הביטוי הקליני בחולה שחפתי שהוא נשא גם של איידס
הרבה פחות גרנולומות סנדרום IRIS
64
מהו IRIS בהקשר של שחפת
**Immune reconstitution syndrome** התאוששות של מע'' החיסון באיידס כתגובה מהטיפול האנטי-רטרוויראלי **ואז התרחשות של תגובה פרדוקסלית של החמרה קלינית בשחפת-** חום, ירידה במשקל וכו' **_פשוט תגובה טובה של מע' החיסון_** **_במצב כזה נמשיך לטפל ב-2 המחלות + טיפול תומך_**
64
מהו IRIS בהקשר של שחפת
**Immune reconstitution syndrome** התאוששות של מע'' החיסון באיידס כתגובה מהטיפול האנטי-רטרוויראלי **ואז התרחשות של תגובה פרדוקסלית של החמרה קלינית בשחפת-** חום, ירידה במשקל וכו' **_פשוט תגובה טובה של מע' החיסון_** **_במצב כזה נמשיך לטפל ב-2 המחלות + טיפול תומך_**
65
אילו 3 סוגי עמידויות קיימים לשחפת
**MDR-TB**- resistance to rifampicin + isoniazid **XDR- TB** → MDR + Fluroquinone, long therapy of 18-24 months **XXDR-TB-** resistance to all drugs
66
הבדלים בין שחפת חביונית (לטנטית) לשחפת פעילה תסמינים, הדבקה, צילום חזה, תרבית / משטח כיח, תבחין מנטו או איגרה
67
אילו אוכלוסיות נבדוק למנטו
**_בעלי סיכון לחשיפת יתר או הדבקה-_** אנשים שגרים באותו בית עם חולה פעיל, מהגרים , מארצות אנדמיות, דיירי מוסדות בסיכון גבוה ובתי כלא, עובדי מע' הבריאות **_בעלי רגישות מיוחדת לחלות במחלה פעילה אחרי הדבקה-_** ילדים מתחת לגיל 5, מדוכאי חיסון, חולי איידס, סיליקוזיס, נגעים מסוידים בצילום חזה
68
מהו סף לטיפול לאחר תבחין מנטו חיובי באוכלוסיות שונות
**_אנשים בסיכון גבוה-_** נתחיל טיפול במנטו מעל 5 מ"מ (חולי איידס, אנשים שהיו במגע עם חולה פעיל, אנשים עם שינויים פיברוטים המחשידים לשחפת, אנשים מושתלים + מדוכאי חיסון) **_אנשים בסיכון ביניים-_** טיפול מעל 10 מ"מ (_מ_הגרים, _מ_זריקי סמים, _מ_וסדות בריאות,_מ_עבדה למיקובקטריה, _מ_חלות רקע, ילדים ב_מ_גע עם קבוצות סיכון מתחת לגיל 5) **_אוכלוסייה כללית-_** טיפול מעל 15 מ"מ (אנשים ללא גורמי סיכון לשחפת,
69
מדוע יש FP + FN בתבחין מנטו
**_False negative-_** בשחפת מאוד מאוד פעילה המאקרופאגים עסוקים מאוד / בשחפת טרייה ייקח מספר שבועות עד שנראה תגובה חיסונית **_False positive-_** הידבקות בזנים אחרים של מיקובקטריה / חיסון לBCG
70
מהו תבחין איגרה ומה בודק
לקיחת דם מחולה והדגרה עם חלבוני השחפת ← אם יש הפרשה של אינטרפרון גמא מתאי החולה **אזי עדות לשחפת לטנטית**
71
מהו הטיפול באדם עם שחפת לטנטית
**לא בשיטת** **DOT** **וללא טיפול מושלב** בד"כ יתלו תרופה אחת מקו ראשון ומשך הטיפול קצר. לא מחייבים טיפול- מדובר על אקט מניעתי
72
מי מהבאים יידרש לטיפול בן 5, בן למהגרים מסודן, לאמו שחפת פעילה עם משטח חיובי. לילד מנטו 7 מ"מ בן 25, סטודנט לרפואה יליד הארץ, מנטו 12 מ"מ לפני כניסה למחלקות בן 52, עובד בריאות, יליד גרמניה ועלה לפני 30 שנה איגרה- 2 מ"ל
בן 5 + בן 52 מומלץ לטיפול ## Footnote **בסיכוי לחלות של 2% ומעלה - צריך לטפל**
73
מהם המאפיינים של NMT
Non TB mycobacteria נראים אותו דבר על המשטח לא חייבים לטפל כי אין העברה מאדם לאדם- העברה מסביבה לאדם בסיטי- קוויטציות (מאוד מזכיר שחפת)
74
מהו הטיפול ב NTM
**_הוכחת מחלה לא מחייבת טיפול_** משל הטיפול **12 חודשים לאחר תרבית כח שלילית ורק אז נסיים טיפול**
75
מה צריך לחזק את הצורך בטיפול ב NTM
סימפטומים רדיולוגיה מתאימה שלילת אבחנות מבדלות תרבית כפולה / ברונכוסקופיה חיובית אחת- עדות מספקת עם חיובי
76
איך נחשוד בשחפת ואיך נאבחן
**_חשד בצילום חזה לשחפת פעילה, אבחון במשטח ותרבית_**
77
איזה גן נפגע בסיצטיק פיברוזיס ועל איזה כרומוזום נמצא
CFTR- חלבון טראנסממרנאלי המתפקד תעלת כלוריד שמוציאה יוני כלור מהתא החוצה על כרומוזום 7 הכי שכיח עמדה 508 הורשה AR
78
הפתוגנזה של המחלה CF
Cl- is not secreted to the PCL (liquid named peri-capillary layer about cilliary respiratory cells) then water **_without CL- water aren't drown to the PCL and it become thick and cannot be moved by cillia -_** _good place for bacteria to grow_
79
מהי ההתייצגות הקלינית של חולה עם CF (misfolded CFTR)
**_ריאות-_** זיהומים בקטריאליים ופטרתיים חוזרים, פניטומוטורקס- התפוצצות סיצטות בריאות, ברונכואקטזיות **_מע' עיכול-_** לבלב- אי ספיקה וחסימה של לבלב אקסוקריני, בעיות כבדיות ובדרכי המרה, **מקוניום איליום ביילודים / DIOS במבוגרים** **_בלוטות זיעה-_** _הפרשת כלור = איבוד מים ואקלטרוליטים וסכנת התייבשות_ **_דרכי שתן-_** אבנים **_עקרות בגברים-_** _אין Vas deference_
80
מהם הקטגוריות של קלסיפיקציה למוטציות בגן CFTR
**_Class 1-_** פגיעה בתרגום עקב _stop codon_ **_Class 2_-** פגיעה _במבנה ובקיפול (F508)_ **_Class 3-_** חלבון מגיע לממברנה אך _לא מעביר יונים_ **_Class 4-_** מוליכות מופחתת **_Class 5-_** כמות קטנה של חלבון תקין
81
למה נתשמש בתבחין זיעה
למדוד כמה פעילות של CFTR יש ## Footnote **_הומוזיגוטים יראו פעילות של מתחת 50%_**
82
כמה כלוריד יופרש בתבחין זיעה באנשים בריאים לעומת הטרוזיגוטים והומוזיגוטים
בריאים פחות מ-30 ממול לליטר הטרו- 30 הומוזיגוטים- 100
83
מה המאפיינים העיקריים של CFTR לא קלאסי
סינוסיטיס כרוני פוליפים באף ברונכיאקטזיס \*\*לא מגיעים לאי ספיקת לבלב.
84
מהי ההתייצגות הקלינית של חולים ב-CF מבחינת מחלה ריאתית
ברונכואקטזיות זיהומים ריאתיים- **_פסאודומונס= פרוגנוזה רעה_** (הומוזיגוטים) סטרפ.ארוס (הטרוזיגוטים) התלקחויות, גניחות דם, פניאומוטורקס ואי ספיקה נשימתית
85
אילו בדיקות מעבדה ניתן לבצע כדי לאשש CF
**_תבחין זעה-_** מעל 60 מ"מול לליטר **אבחנתי לסיצטיק פיברוזיס- עם קליניקה אופיינית** **_בדיקת מוטציות לגן-_** בדיקת הגן ב-2 אללים **_פעילות אלקטרוסטטית-_** בתעלת כלוריד ע"י אלקטרודות תוך אפיות
86
מה מאפיין סיצטיק פיברוזיס ב: Late onset Early onset
Late onset- pancreatic sufficient Early onset- pancreatic insufficient
87
מהי קליניקה מחשידה לסיצטיק פיברוזיס
* **מעורבות של דרכי עיכול-** אי ספיקת לבלב, דלקות לבלב חוזרות, מקוניום איליום, DIOS * **פגיעה בפוריות גברים** * **מחלה סינופולמונרית-** דלקות ריאה + דלקות אוזניים חוזרות * **זיהום אופייני חוזר-** למשל בפסאודומונוס
88
מהם הידעים לטיפול
* תיקון פגם גנטי- הכי טוב * עידוד קיפול תקין לחלבון- האופציה השניה הכי טובה * טיפול בפגיעה הנגרמת מהמוקוז * טיפול בדלקת או בזיהום * טיפול באיברים לא תקינים
89
מהו הטיפול הפרמקולוגי בחולי CFTR
* אנזימי לבלב * ויטמינים מסיסים במים * מוקוליטיקה- מורידים צמיגות של כיח * אנטיביוטיקות (חלק כפרופלקסיס) * תרופות אנטי-דלקתיות
90
מהם אינדיקציות להשתלת ריאות ב CF מהם הקונטרא-אינדיקציות
FEV1 \< 30% סיבוכים מסכני חיים יל"ד ראיתי **קונטרא אינדקציות:** אי ספיקת איברים אחרים, חוסר הענות של מטופלים לטיפול, תת תזונה חמור, זיהום אספרגילוס / מיקובקטריה פעיל
91
אילו 2 סיבוכים ניתן לראות מבחינה חוץ ריאתית ב CF
DIOS- מאפיין רביע ימני תחתון של המעיים (איליום, צקום) CFTR- סכרת על רקע של הרס תאי בטא בלבלב האנדוקריני. טיפול במתן אינסולין
92
מהם 3 הטיפולים החדשניים לטיפול בסיצטיק פיברוזיס
* Potentiators- פותחים תעלות כלור, מאפיין סוג 3, עוזר לסה"כ 8% מהחולים * Del508-Phe- 2 גישות טיפוליות: Corrector- עוזר לקיפול תקין של התעלה Potentiator- יעודד את הפתיחה של התעלה בממברנה **_צורך בשילוב שניהן_** * שילוב של 2 corrector + 1 potentiator (also for Del508phe)
93
מהי ברונכואקטזיה
**_הרחבה של דרכי אוויר לרוב עם עיבוי הדופן,_** בתוכן מצטבר תוכן לרוב ליחה והפרשות
94
כיצד ברדיוגרפיה נזהה ברונכיאקטזיות
סימפון מורחב לאורך כל הדרך-B Singet ring-C, היהלום = כלי דם, אם **_הברוכוס גדול מכלי דם = ברונכוס מורחב_** finger in glove- סימפון פקוק , D
95
מהם 2 המסלולים להגדרת חולה עם בברונכיאקטזיס
1. ממצא מקרי בסיטי עם אחד מסימני הרדיולוגיה וקליניקה מתאימה 2. חשד בברונכיאקטזיה ←- ביצוע סיטי ויש בו לפחות אחת מהמאפיינים של ברונכיאקטזיה
96
מהי האתיולוגיה לברונכואקטזיס
30-50% אדיופאתי משני למחלות אחרות- שחפת, PCD, אסתמה, COPD, CF, וכו' **_בגדול כל מה שמוביל לדלקת כרונית של דרכי האוויר - הרס והרחבה שלהן_**
97
מה נראה בחולה עם Primary ciliary dyskinesia PCD
* Situs inversus * סינוסיטיס כרוני * ברונכואקטזיות
98
**_מה משותף מבחינת בדיקה ל-_** **_PCD and CF_**
בשניהן מדידת ה NO באוויר הננשף מאוד מאוד נמוך
98
**_מה משותף מבחינת בדיקה ל-_** **_PCD and CF_**
בשניהן מדידת ה NO באוויר הננשף מאוד מאוד נמוך
99
**מדוע חשוב לקבוע אטיולוגיה בברונכיאקטזיות**
קביעת האתיולוגיה תעזור להבין לאיזה מקום נכנס החולה למעגל PCD/ CF- problem in abnormal mucosae clearance immunodeficiency- bacterial colonization COPD- neutrophil inflammation
100
איזה חיידק נקשר עם פרוגנוזה גרועה גם ב CF + Broncheoctasis
פסאודומונס
101
כיצד נקבע את חומרת המחלה בברונכיאוקטאזיס
BSI Score שיקלול של גורמים למשל age, BMI, FEV1, radiology…
102
כיצד נטפל בכל שלב של מעגל הקסמים
* דלקת- סטרואידים * הרס הריאה- בד"כ אין טיפול, לעיתים ברונכודילאטורים / כריתת אונה * בעיה בפינוי של מוקוס- מכייחים * זיהום בקטריאלי- אנטיובטיקה
103
מהו הטיפול האנטיובטי בחולה עם ברונכיאוקטזיס
**אם יש פסאודומונס- Fluoroquinolone** **פרופלקסיס-** מאקרולידים (נוגדי דלקת + מורידים שכיחות של התלקחויות) בחולים עם הרבה התלקחויות- אופטימזיה של מכייחים (airway clearance)