CVA Flashcards

(44 cards)

1
Q

איזה עורק נותן סעיף לעין

A

internal caoritd

סעיף ראשון

How well did you know this?
1
Not at all
2
3
4
5
Perfectly
2
Q

איזה טריטריות יש לכל עורק

ACA

MCA

PCA

A

ACA- אונות פרונטליות + אונה פריאטלית חלקים מרכזיים

MCA- חלקים לטרליים של אונות פרונטלית + טמפורלית ופריאטלית

PCA- אונה אוקסיפיטלית

How well did you know this?
1
Not at all
2
3
4
5
Perfectly
3
Q

איזה תסמינים שכיחים ביותר בחסימה של כל אחד מהכלים

ACA

MCA

PCA

A

ACA- שיתוק רגל

MCA- אזורי שפה

PCA- ראייה

How well did you know this?
1
Not at all
2
3
4
5
Perfectly
4
Q

למה תוביל חסימה של ענפים חודרניים של

MCA

A

פגיעה באספקת דם למבנים אסטרטגיים- למשל שיתוק קונטראלטרלי

(capsula interna, גרעיני הבסיס)

How well did you know this?
1
Not at all
2
3
4
5
Perfectly
5
Q

מהי ההסתמנות הקלינית של

ACA

A

שיתוק + הפרעה תחושתית ברגל הקונטראלטרלית

תסמינים פרונטליים

How well did you know this?
1
Not at all
2
3
4
5
Perfectly
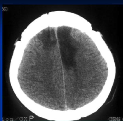
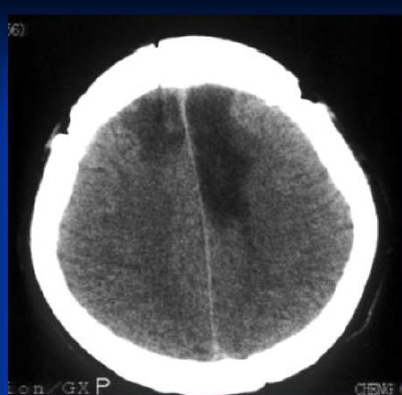
6
Q

מהו הממצא ומה תיהיה התמונה הקלינית

A

חסימה של ACA משמאל

שיתוק ואיבוד תחושה ברגל ימין

תסמינים פרונטליים

**לרוב 2 העורקים יוצאים מאותו קרוטיד ולכן חסימה אחת תשפיע גם על השני

How well did you know this?
1
Not at all
2
3
4
5
Perfectly
7
Q

מהי ההסתמנות הקלינית של

MCA

A

חסימה של הצד השמאלי- אפאזיה (אי הבנת שפה- וורניקה) / אפזיה גלובאלית (אם מערב גם את ברוקה- היכולת לבטא מילים) + שיתוק צד הקונטראלטרלי

How well did you know this?
1
Not at all
2
3
4
5
Perfectly
8
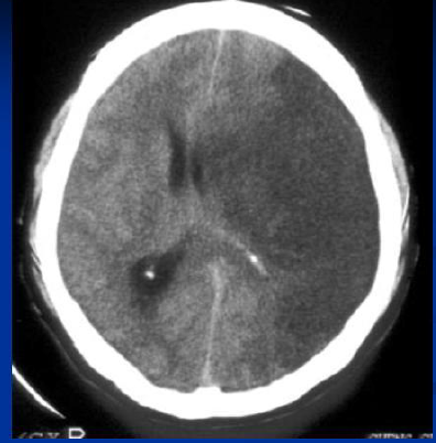
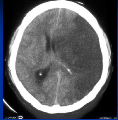
Q

מהו הממצא שבתמונה

A

חסימה מלאה של ה

MCA

עם דחיקה של המיספרה ימין

How well did you know this?
1
Not at all
2
3
4
5
Perfectly
9
Q

מהי ההסתמנות הקלינית של חסימה של ה

internal carotid

A

סעיף ראשון לעין- הפרעה בשדה הראייה

שיתוק + סטיית ראש ומבט קו-לטרלי

אבדן הכרה

How well did you know this?
1
Not at all
2
3
4
5
Perfectly
10
Q

איזה אירוע מקדים יכול להוות אינדיקציה לאירוע קטסטרופלי של

CVA

A

הופעה של אירוע איסכמי חולף- המטופל ירגיש עיוורון באותה עין של החסימה בד”כ נמשך כשעה אם המטופל יפנה לעזרה ניתן להפנות לניתוח לפני שהעורק ישלח קריש ויוביל לאירוע קטסטרופלי

How well did you know this?
1
Not at all
2
3
4
5
Perfectly
11
Q

מהי ההסתמנות הקלינית של איסכמיה באזור ה-vertebro basilar arteries

A

סחרחורת, בחילות, הקאות בתחילת האירוע **פחות שכיח במערכת הקדמית

הפרעה בשדות הראייה

מעורבות של עצבים קרניאליים

How well did you know this?
1
Not at all
2
3
4
5
Perfectly
12
Q

מתי נראה פגיעה קונטראלטרלית ומתי נראה פגיעה איפסילטרלית בפגיעה בסיבים הפרמידליים

A

כל פגיעה מעל המדולה (לפני דקיוזציה) תיהיה קונטראלטרלית

בנוגע לגרעינים- כל פגיעה מעל הגרעין תיהיה קונטראלטרלית ופגיעה בגבוה הגרעין ומתחתיו תיהיה איפסילטרלית

**אם כבר הייתה דקיוזציה- פגיעה איפסילטרית וההפך

How well did you know this?
1
Not at all
2
3
4
5
Perfectly
13
Q

מהי ההסתמנות הקלינית של פגיעה בגובה עצב כרניאלי מספר VII

ומהי ההסתמנות בפגיעה מתחת לגובה של העצב הכרניאלי ה-VII

A

פגיעה בגובה העצב הכרניאלי- גבה, עין, זווית הפה איפיסלטרלית + שיתוק פלק גוף קונטראלטרלית יד ורגל באותה צד והראש בצד הנגדי

פגיעה מעל העצב הכרניאלי- פגיעה מרכזית כולה קונטראלטרלית

How well did you know this?
1
Not at all
2
3
4
5
Perfectly
14
Q

מהי התמונה של פגיעה בקפסולה אינטרנה

A

שיתוק ע”ש בל קונטראלטרלית + שיתוק רגל ויד ימין קונטראלטרלית

כי עדיין הסיבים לא עברו דקיוזציה

How well did you know this?
1
Not at all
2
3
4
5
Perfectly
15
Q

מהי הסיבה להיווצרות אירועים איסמיים (3 סיבות)

A
  • טרשת עורקים בצוואר- יכול להוביל לטרומבוזיס או תסחיף
  • ירידה פתאומית באספקת הדם למח (בדימום)
How well did you know this?
1
Not at all
2
3
4
5
Perfectly
16
Q

מהי המשמעות אם רואים אזור לבן במח בסיטי

A

דם, נראה מיד ביחס לשבץ איסכמי שלוקח יותר זמן לראות

How well did you know this?
1
Not at all
2
3
4
5
Perfectly
17
Q

מהי הגישה הטיפולית לשבץ מוחי

A

חידוש אספקת הדם לרקמת מח שעברה נזק הפיך-

Penumbra (פנומברה)

ככל שעובר הזמן האזור האיסכמי גודל על חשבון הפנומברה

How well did you know this?
1
Not at all
2
3
4
5
Perfectly
18
Q

מהו קצב התקדמות ראשונית של הגרעין האיסכמי

Ischemic core

A

אחרי חצי שעה- נראה בסיס שאינו הפוך

אחרי שעה- הכפיל את עצמו

אחרי 4 שעות אין כמעט מה להציל

זמן = מח

19
Q

מהם 2 הטיפולים העיקריים לשבץ

A

tPA

צנתור

המטרה הינה רה-פרפוזיה

20
Q

מהם השלבים בהפעלת קוד

CVA

A

בדיקה נוירולוגית- בודקים האם אירוע איסכמי עורקי מתאים

אנמנזה- מתי הפעם האחרונה שהמטופל היה בסדר

תרופות- חולה שמקבל אנטי-קואגולנטים / עבר ניתוח בימים האחרים אינו מועמד לטיפול ב-tPA

הדמיה

בדיקה שאין קונטראינדיקציות קליניות ← לחדר הצינתורים

21
Q

מהו חלון הזמן לקבל טיפול ב

tPA

A

כ-4.5 שעות מהתחלת הסימפטומים ועד קבלת התרופה

22
Q

מהי קונטראינדקציה לקבלת

tPA

A

מטופלים שלוקחים אנטיקואגולנטים או מטופלים לאחר ניתוח ביממה האחרונה אנו נחשוש לתת להם בגלל סיכון מוגבר לדימומים )אם הם מתאימים לצנתור הם יכולים לעבור צנתור(.

23
Q

מה הסיטי הראשון בחשד לשבץ בא להראות

A
  1. אין דימום- קונטראאידנקציה לטיפול ב-tPA
  2. לא רואים אוטם חדש שמסביר את הקליניקה- אם רואים אוטם חדש אז כבר אין פנומברה
  3. בדיקה האם המטופל מתאים לצנתור- סיטי אנגיו /פרפוזיה
24
Q

באיזה טיפול נבחר אם מועמד מתאים גם ל-tPA+ צנתור

A

בשניהם!!

ניתן tPA

עד שחדר צינותרים יהיה מוכן ואז לצנתור

25
כיצד מוגברת פנומברה
רקמת מח עם בעיה בפרפוזיה אך לא בעיה בדיפוזיה
26
איזו תמונה CT פרפוזיה ייתן לנו
מפה של מה-core + panumbre
27
אילו 3 סוגי סיטי נעשה ומה יגיד לנו כל אחד למטופל בחשד לשבץ
1. סיטי בלי חומר ניגוד- לראות שאין דימום או אוטם חדש 2. סיטי-פרפוזיה- נותן את המפה של הבסיס האיסכמי והפנומברה 3. סיטי אנגיו- לבדוק האם יש חסימה של עורק שניתן להגיע דרך צנתור
28
מהם התנאים האופטימאליים למח לחידוש הפנומברה 5 מדדים
**_ל"ד-_** לא מורידים לחץ דם גם אם 200 (במטופלים שמקבלים tPA נוריד ל180) **לפחות לחץ דם של 160** **_סוכר-_** עד רמות של 150, אם פחות עקה חמצונית **_חמצן-_** מניעת עקה חמצונית **_נוזלים-_** מתן נוזלים **_טמפרטורה-_** ישר נותנים משהו להורדת חום, חום מטה את הפנומברה לאפופטוזיס
29
איזה אירוע נצפה בין יומיים ל-5 ימים לאחר אוטם גדול מהו הטיפול
**_בצקת ציטוטוקסית משמעותית_** _טיפול-_ מניטול _אם אין החמרה-_ לא ניתן טיפול **_כלומר לאחר אירוע גדול נצפה להחמרה בגלל בצקת משמעותית_**
30
בדיקת מטופל עם שבץ למניעה שניונית , מה נבדוק ואיך
* **טרשת עורקים-** סיטי אנגיו ודופלר עורקי צוואר * **אמבוליזם-** לב / טרשת פרוקסימאלית * **מחלת כלי דם לקונריים-** פגיעה בפרפורנטים במח, יכול להוביל לדימום סאב-ארכנואידי
31
מהו הטיפול למניעה שניונית של כל אחד מהמצבים שהובילו לדימום / שבץ איסכמי
1. טרשת עורקים- נוגדי טסיות 2. אנגיופאתיה של כלי דם קטנים- נוגדי טסיות
32
מהו טיפול נוגד הטסיות שניתן למניעה שניונית במצב של טרשת עורקים / אנגיופאתיה של כלי דם קטנים
**מטופל נאיבי (לא קיבל טיפול בעבר)-** יקבל **אספירין** (בד"כ 3 שבועות ראשונים פלווקיס (קלופידוגרול) + אספירין), **סטטינים**
33
מהו הטיפול בחולה שהגיע עם שבץ על רגע של AF
NOAC
34
מהו ESUS מהי הגישה הקלינית
**_Emboli stroke with undetermined source_** חולה שנבצע בו ניטור ממושך. _לא ניתן אנטי-קואגולציה עד שלא מצנו הצדקה (פרפור)גם אם משוכנעים שהגיע מהלב_
35
בהינתן היצרות של כלי דם תוך מוחיים- מה הטיפול העדיף
טיפול שמרני יעיל יותר מטיפול מניעתי של צנתור בתנאי שיש איזון של גורמי סיכון (סכרת, ליפידים, יל"ד)
36
מה נחשבת כהיצרות סימפטומטית של הקרוטיד מהם 2 דרכי הטיפול ואיזה דרך נעדיף
**_היצרות מעל 70%_**, בצעירים נמליץ על טיפול בהיצרות נמוכה יותר * **ניתוח CEA**- בחולים מבוגרים יותר יעיל * **סטנט CAS** **_ניתוח הראה % שבץ פר פרוצדורה נמוך יותר מאשר בסטנט_** **_ההמלצה הינה ללכת לניתוח אלא אם כן יש התווית נגד_** (סיכון קרדיאלי או ריאלי, עורק שעבר הקרנות או נותח בעבר)- אז נעשה סטנט
37
מהו הטיפול באדם עם שבץ קריפטוגני (מקור לא ידוע) שנמצא בו PFO (patent foramen ovale)
PFO with DVT- anti-coagulant + consider closing PFO PFO without DVT- warfarin or aspirin **_patients with PFO after stroke must do CT veins + US legs to rule DVT_**
38
מהו RoPE score מה המשמעות על סגירה של PFO
מדד שנותן _ניקוד להעדר גורמי סיכון_ כלומר בהעדר גורמי סיכון אין משהו אחר שיכול להסביר את השבץ ## Footnote **_כלומר ניקוד גבוהה = יותר נוטים לסגור את ה-PFO_**
39
כיצד נגדיר דימום תוך מוחי
**_לפי המיקום שלו_** קורטיקלי תוך מוחי
40
מהם אתיולוגיות אפשריות לדימומים מוחיים | (3)
1. **יל"ד-** פגיעה בכלי דם קטנים ← אנוריזמות קטנות ←עלולות להיקרע ולהוביל לדימום 2. **אנגיופאתיה עמילואידית-** מתרחש עם הגיל 3. **סיבות נדירות-** גידולים, מלפורמציות מולדות _ה-2 הראשונים הינם הכי שכיחים_
41
מהם התסמינים של דימום מוחי
דומים לאלו של אוטם איסכמי קלניקה של חסר שהופעה בבת אחת **בדימומים-** יותר כאבי ראש, הקאות, סיכוי לפרכוסים **_ההחמרה בגודל ההמטומה- נגזרת לדחיפות הטיפול_**
42
כיצד נקבע מהי הדחיפות לטיפול בהמטומה מוחית
**_ההחמרה בגודל ההמטומה_**
43
באיזה מיקום פרוצדורה ניתוחית יכולה לעזור במצב של דימום מוחי
צרבלום, גישה נוחה וניקוז **_דימום מעל 4 ס"מ דורש התערבות כירורגית-_** עלול להוביל הידרוצפלוס
44
מהם 5 הטיפולים התרופתיים האפשריים ע"מ למנוע גדילה של המטומה ושיפור פרוגנוזה
1. **_הורדת ל"ד-_** הורדת לחץ דם ל-130-140 **תוך שעה!** 2. **טיפול אנטי-קואגולנטי-** מטופל תחת טיפול אנטי-קואגולנטי ניתן נוגדן / פקטורי קרישה בעירוי 3. **טיפול במשככי כאבים** 4. **טיפול ע"מ למנוע עצירות-** יכול להחמיר דימום עם יעשה וולסבה 5. **טיפול בפרכוסים**