What is at the center of a functional lobule?
A portal tract/portal triad (bile duct, hepatic artery, and portal vein).
Zone 1 surrounds the portal tract, most rich in oxygen, nutrients, and hormones.
Zone 3 (the most peripheral) surrounds the central veins, which are the center of the anatomic lobules. Ischemic injury affects this area first.
What cells line the hepatic sinusoids?
Endothelial cells: Penetrated by fenestrae
Kupffer cells: Bone-marrow derived phagocytes.
Stellate cells: AKA Ito cells. Storage cells - fat, vitamin A, lipid-soluble vitamins. ECM protein secretion - cirrhosis results from over-production of these fibrosing proteins.
What are some classes of Liver function?
Metabolic: Glucose homeostasis.
Synthetic: Albumin, clotting factors, complement, binding proteins.
Storage: Glycogen, triglycerides, iron, copper, lipid-soluble vitamins.
Catabolic: Detoxification of foreign compounds
Excretory: Bile
With respect to liver regeration, what occurs during priming?
Transition from G0 to G1 phase of cell cycle.
Expression of genes, TFs, cell cycle proteins.
Requires TNF-alpha and IL-6 release
With respect to liver regeneration, what occurs during progression to mitosis?
Progression through G1 phase of cell cycle and transition into S phase, DNA synthesis. Then G2 and M, where cell division.
Hepatocyte growth factor/ Scatter factor (HGF/SF)
Epidermal growth factor (EGF)
TGF-alpha.
With respect to liver regeneration, what occurs in the third phase of regeneration?
Nonparenchymal cells (sinusoidal endothelial cells, Kupffer cells, stellate cells, binary epithelial cells) replicate, tissue remodels to recover origianl structure of liver cell plates.
Hepatic progenitor cells (oval cells) contribute to ductal proliferation.
What is kernicterus?
Irreversible brain injury in newborns caused by free bilirubin. Can be due to hemolytic disease of the newborn, which causes an overproduction of unconjugated bilirubin.
Normally, bilirubin should be bound to albumin in the blood.
What does bilirubin bind to in hepatocytes?
What is it conjugated with to make it water-soluble?
Glutathione S-transferases
Glucuronic acid in the endoplasmic reticulum. Done by uridine diphosphate-glucuronyl transferase (UGT).
What kind of bilirubin is elevated during increased destruction of erythrocytes (hemolytic anemia) or ineffective erythropoiesis (megaloblastic or sideroblastic anemia)?
Unconjugated bilirubin.
What conditions can reduce hepatic uptake of unconjugated bilirubin?
Liver cell injruy (vital hepatitis)
Certain drugs (rifampin, probenecit).
A patient presents with jaundice and chronic, severe, unconjugated hyperbilirbuinemia.
Hepatic UGT activity is shown to be absent.
Crigler-Najjar syndrome type I. Rare autosomal recessive.
In type II, similar but less severe, decrease in UGT activity.
A patient presents with mild, chronic unconjugated hyperbilirubinemia (<6 mg/dL).
There is impaired clearance of bilirubin in the absence of functional or structural liver disease.
Mutations in the UGT gene are found.
Gilbert syndrome.
Common, likely autosomal dominant.
What protein family is responsible for transport of conjugated bilirubin?
Multidrug resistance proteins (MRPs). Organic ions.
Conjugated bilirubin, bile acids, and phospholipids.
A patient presents with conjugated hyperbilirubinemia.
The urinary coproporphyrin isomer I to III ratio is 4:1.
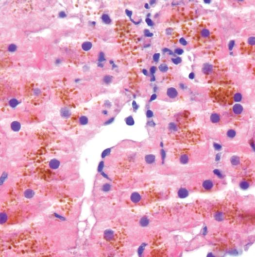
A biopsy of the liver shows a normal appearance except for coarse, iron-free dark-brown granules in hepatocytes and Kupffer cells.

Dubin-Johnson Syndrome.
Intermittant jaundice, nonspecific complaints.
Autosomal recessive. Mutations in ABCC2/MRP2 gene.
Normal coproporphyrin I to III ratio is 1:3.
A patient presents with elevated conjugated bilirubin and an elevated urinary coproporphyrins.
The liver appears normal without pigmentation.
Rotor syndrome
Autosomal recessive.
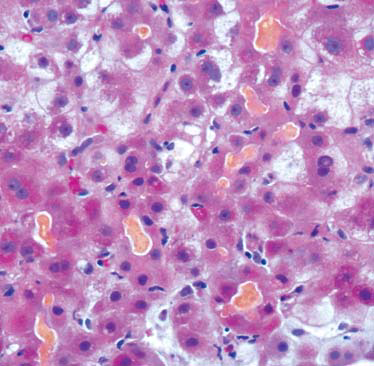
A patient presents with episodic bile plugs in bile canaliculi and a few mononuclear inflammatory cells in the portal tracts.
The condition relapses and remits with no sequelae.
Benign recurrent intrahepatic cholestasis.
Malaise and itching.
A one-year old presents with jaundice. Over the course of time, centralobular bile plugs in bile canaliculi are seen on biopsy, which then transitions to cirrhosis.
The child dies at age 2.
Progressive Familial Intrahepatic Cholestasis.
Autosomal recessive. Amish men,
FIC1, MRPs, bile salt trnasporters, aminophospholipid transporter.
Retinitis pigmentosa, often mentally retarded.
A pregnant woman in her third trimester presents with itchiness and bile plugs in bile canaliculi.
Her total bile acid levels are markedly elevated.
After delivery, the condition disappears.
Intrahepatic cholestasis of pregnancy.
Prognosis for mother is good, fetal morbidity and mortality increased, premature labor, fetal distress, placental insufficiency.
Mutation ATP-cassette transporter B4, and multidrug resistant protein-3. Increased gonaldal and placental hormones cause?
A patient presents with jaundice, fever, low serum alakaline phosphatase activity and cholesterol.
Sepsis inducing conjugated hyperbilirubinemia.
How do you treat neonatal jaundice?
Normal - 70% of newborns have unconjugated hyperbilirubinemia. Physiologic jaundice because liver does not assume conjugating and excretory capacities until 2 weeks.
Give phototherapy to make water soluble.
Erythroblastosis fetalis may result due to immune-mediated hemolysis. Very severe jaundice. Only seen after birth due to maternal compensation.
What is cholestasis?

A defect in the transport of bile across the canalicular membrane. Reduced secretion of water, bilirubin, and bile acids by hepatocytes.
Signaled by elevation of bilirubin, cholesteral, and bile acids, and elevated alkaline phosphatase activity.
Bile acids are hepatotoxic - can induce cirrhosis and itchiness.
Can be due to intrinsic liver disease (intrahepatic cholestasis) or obstruction of large bile ducts (extrahepatic cholestasis).
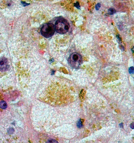
Below is feathery degeneration - demaged hepatocytes with 1. hydropic swelling 2.diffuse impregnation with bile pigment 3. reticulated appearance.

What are some causes of extrahepatic biliary system obstruction?
Gallstones in the common bile duct
Cancer of the bile duct or surrounding tissues (pancreas or ampulla of Vater)
External compression by enlarged neoplastic lymph nodes in the porta hepatis (Hodgkin disease)
Benign strictures (postoperative scarring, primary sclerosing cholangitis)
Congenital biliary atresia.
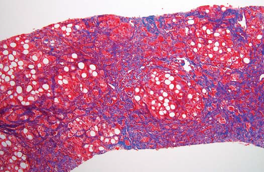
A patient presents with jaundice and hypoalbuminemia. On biopsy, the folowing is seen. Diagnosis?

Micronodular cirrhosis - early cirrhosis, small uniform nodules separated by thin fibrous septae.
Typically due to alcoholic injury.
A patient presents with long-standing jaundice, hypoalbuminemia, and low coagulation factors. The following is seen on biopsy.

Macronodular cirrhosis. Late in disease, grossly visible coarse, irregular nodules.
Photomicrograph shows nodules of varying size and irregular fibrous septae.