What is the name for congenital bile duct dilations?
Choledochal cysts
Choledochal diverticula
Choledochoceles
Multiple cysts
Caroli disease

What substances compose gallstones (cholelithisasis?_

Cholesterol, calcium bilirubinate, other calcium salts (pigment gallstones).
Pigment stones are black.
Below are yellow cholesterol gallstones.
Estrogen increases cholesterol secretion and decresaes bile salt secretion
Progesterone slows gallbladder emptying.

What factors predispose to pigment gallstones?
Chronic hemolysis (sickle cell anemia, thallassemia). Cirrhosis. Calcium bilirubinate, bilirubin polymers, calcium salts, mucin.
What are brown pigment gallstones made of, and wherea re they found?
Spingy and laminated. Calcium bilirubinate mixed with cholesterol and calcium soaps of fatty acids.
Intrahepatic and extrahepatic bile ducts.
Almost always associated with bacterial cholangitis - E. coli.
A gallbladder is found to be enlarged. It is removed and examined.

Hydrops of the gallbladder. Found when cystic duct is occluded - bile reabsorbed and replaced with mucin.
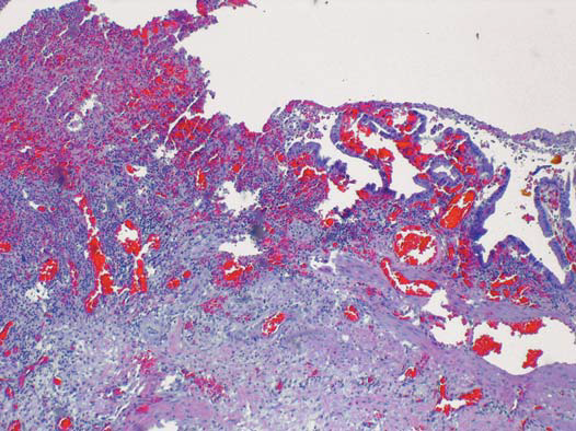
A patient presents with RUQ pain and a history of gallstones. The gallbladder is removed and its external surface is congested and layered with a fibrinous exudate.

Acute cholecystitis.
Empyema of the gallbladder: Cystic duct completely occluded, bacteria invade gallbladder, cavity distended by cloudy purulent fluid.
A patient presents with RUQ pain and a history of gallstones. The gallbladder is removed and upon examination it is thickened and firm.

Chronic cholecystitis
Fibrotic wall may be penetrated by sinuses of Rokitansky-Aschoff.
Calcification called porcelain gallbladder.
Gallbladder is found with accumulation of cholesterol-laden macrophages within the submucosa.
Cholesterolosis. Due to supersaturation of bile with cholesterol - usually asymptomatic.
Mucosa with scattered yellow flecks and mucosal folds, swollen with large foamy macrophages.
What are some benign tumors of the gallbladder?
Papillomas - associated with gallstones
Adenomyoma: Adenoma and smooth muscle
Fibromas, lipomas, leiomyomas, myxomas recorded.
May occlude bile ducts - obstruct biliary flow, cause jaundice.
An incidental finding on gallbladder removal - exophytic growth into the lumen. Gallbladder wall thickened and leathery.

Adenocarcinoma of the gallbladder.
Predisposed with cholelithiasis and calcified gallbladders
Cancers of extrahepatic bile ducts almost always adenocarcinoma.