A child is found that has been bound since birth. The joints seem abnormally stiff.
Arthrogryposis - joint fusion due to lack of movement during joint development.
A 60-year-old woman presents with hip pain that worsens with activity and is relieved by rest. Radiograph shows that the joint space is narrowed, subchondral bone cysts, large peripheral growths of bone and cartilage (osteophytes), and the subchondral bone is thickened.

Osteoarthritis
A young man presents with pain and stiffness of the knee.
Likely Chondromalacia - affects the patellar surface of the femoral condyles of young persons.
Hereditary osteoarthritis is likely dependent on what gene?
COL2A1 - collagen type II
Pattern seen on osteoarthritic spines?
Name for osteophytes at the distal interphalangeal joints?
“Lipping” - lateral edges of intervertebral disks
Heberden nodules
A diabetic patient presents with an unusually stiff foot. Microscopically, there is marked destruction of articular cartilage and subchondral bone leading to subchondral sclerosis, cyst formation, and cartilage and bone detritus within hyperplastic synovium.
Neuropathic Joint Disease (Charcot Joint)
A 70 year-old patient presents with bilateral metacarpophalangeal joint swelling and ulnar deviation. The pain is worst in the morning and improves with movement.
The synovial lining is several layers thick and fills the peripheral recesses of the joint and covers some of the articular cartilage.
A raised, rubbery, movable lesion is found in the skin of the leg that has a central core of fibrinoid necrosis surrounded by a rim of macrophages. The serum is positive for IgM directed against the Fc portion of IgG.

Rheumatoid Arthritis
Thickened synovium = pannus
Characteristic antibody is called rheumatoid factor.
May be associated with epstein-barr virus? Lupus?
Raised lesion = rheumatoid nodule.
Eventual result is ankylosis.

A young man presents with fusion of the posterior spinal joints.
Genetic testing reveals HLA-B27 allele.

Ankylosing spondylitis
Risk for developing AA amyloidosis and uremia, few with cardiac involvement.
Patient presents complaining that he is having difficulty getting up the stairs, urinating, and is having trouble with his vision.
He has a history of recent bacillary dysentery.
Reiter syndrome. Seronegative polyarthritis, conjunctivitis/uveitis, and nonspecific urethritis.
HLA-B27.
Over half develop keratoderma blennorrhagica - similar to pustular psoriasis.
A young man with history of Crohn disease presents with arthritis. He is HLA-B27 positive.
Enteropathic arthritis.
A child presents with arthritis.
Juvenile arthritis/Still disease.
What pathogen causes lyme disease? What is its vector? What joint disease does it cause?
Lyme disease caused by the spirochete Borrelia burgdorferi, transmitted by the Ixodes tick.
Joint effusion, transient arthritis -> chronic lyme arthritis, microscopically identical to rheumatoid arthritis.
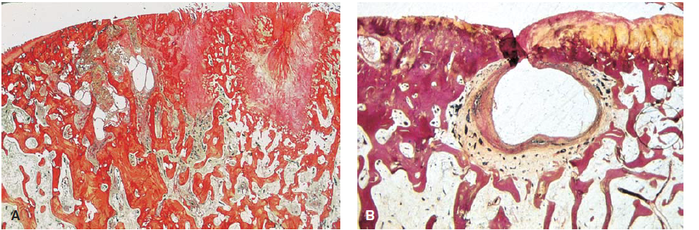
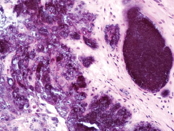
An older man presents with swelling of the hand joints. He consumes lots of steak and beer.
Histology shows sharp crystals within the bone. They show negative birefringence under polarized light.
An extracellular soft tissue deposit of crystals is found that is surrounded by foreign body giant cells. It is white and chalky.
Serum studies show elevated uric acid.
What genetic disease predisposes to this?

Gout. Podagra if the great toe.
Tophus - extracellular granuloma-like soft-tissue deposit of urate crystals
Lesch-Nylan syndrome: X-linked deficiency of HPRT, involved in the purine salvage pathway.

A patient presents with a joint nodule. Gross examination reveals a deposit of chalky white substance.
Examination under microscope reveals crystals that are stubby, short, and rhomboid. They are weakly positively birefringent under polarized light.

Calcium pyrop[hosphate dihydrate deposition disease
AKA Chondrocalcinosis (Joint cartilage deposition) and Pseudogout (synovial membranes).

A 30-year-old female presents with a small fluid-filled cyst on the extensor surface of the wrist.
The wall is composed of fibrous tissue and there is no cell lining.
Gamg;opm/
Baker cyst is a herniation of the synovium of the knee joint into the popliteal space.
A patient presents with hyaline cartilage nodule formation in the synovium and floating in the synovial fluid.
The joint is stiff, painful, and locks.

Synovial chondromatosis.
Dysregulation of hedgehog signaling in animal models? Neoplasm?
A neoplasm of synovium and tendon sheath.
It is composed of bland mononuiclear cells resembling histiocytes, admixed with scattered mutlinucleated giant cells, fibroblasts, and foma cells.
Hemosiderin-laden macrophages reflect previous hemorrhage.
Tenosynovial Giant Cell Tumor.
Benign.