Chapter 2: Microscope / Cytology Flashcards

(47 cards)

1
Q

Magnification

A

the enlargement of a specimen’s image size beyond actual size or the ratio of an object’s image to it’s actual size.

How well did you know this?
1
Not at all
2
3
4
5
Perfectly
2
Q

Resolving power (resolution)

A

a measure of the images clarity; it is the minimum distance that 2 points can be clearly seen as distinct and separate points

How well did you know this?
1
Not at all
2
3
4
5
Perfectly
3
Q

Ocular lens (eyepiece/ eye tube)

A

the last lens through which light passes before entering your eye.
It magnifies images 10x.
It is adjustable to accommodate different interpupillary distances.

How well did you know this?
1
Not at all
2
3
4
5
Perfectly
4
Q

Arm (component of microscope)

A

supports body and associated lenses.
The bottom of the arm houses the cord wrap.

How well did you know this?
1
Not at all
2
3
4
5
Perfectly
5
Q

Base/stand

A

supports arm & provides stabilty to microscope.
Location of on/off switch, light source (LED), rheostat (adjust light intensity), and focus knobs.

How well did you know this?
1
Not at all
2
3
4
5
Perfectly
6
Q

Nosepiece

A

mounts objective lens to body. Rotate it for different objective lens.

How well did you know this?
1
Not at all
2
3
4
5
Perfectly
7
Q

Objective lenses

A

Scanning - 4x- RED

Low power - 10x- YELLOW.

High power - 40x BLUE

Oil immersion- 100x- White (we won’t use this one)

How well did you know this?
1
Not at all
2
3
4
5
Perfectly
8
Q

Stage

A

flat surface where slides are secured.

How well did you know this?
1
Not at all
2
3
4
5
Perfectly
9
Q

Mechanical stage

A

a. slide grips (secure slide on stage)

b. X/Y stage control: 2 knobs for precise movement of slide.

How well did you know this?
1
Not at all
2
3
4
5
Perfectly
10
Q

Coarse & Fine adjustments

A

Fine focus knob - moves stage in smaller increments

Course focus knob- moves stage in large increments

How well did you know this?
1
Not at all
2
3
4
5
Perfectly
11
Q

Condenser lens with iris diaphram adjustment

A

focuses/condenses light for optimal illumination

How well did you know this?
1
Not at all
2
3
4
5
Perfectly
12
Q

Field of view

A

area of slide that is visible when viewing through microscope.

Field of view decreases when increasing magnification.

How well did you know this?
1
Not at all
2
3
4
5
Perfectly
13
Q

Depth of field

A

clearly visible distance into slide

Depth of field decreases with increasing magnification

How well did you know this?
1
Not at all
2
3
4
5
Perfectly
14
Q

Parforcal microscope

A

microscope which allows changing objectives without significant changes of focus

How well did you know this?
1
Not at all
2
3
4
5
Perfectly
15
Q

Working distance

A

distance between specimen and the objective lens

How well did you know this?
1
Not at all
2
3
4
5
Perfectly
16
Q

Wet mound slide

A

temporary slide preparation where specimen is suspended in a liquid (usually under cover slip)

How well did you know this?
1
Not at all
2
3
4
5
Perfectly
17
Q

Prepared slide

A

permanent slide preparation where specimen is fixed and bonded under cover slip

How well did you know this?
1
Not at all
2
3
4
5
Perfectly
18
Q

Cell membrane - function and composition

A

Cx: lipid bilayer containing phospholipids, steroids, and proteins

Fx: isolation, protection, sensitivity, support, control of entrance/exit materials

How well did you know this?
1
Not at all
2
3
4
5
Perfectly
19
Q

Cytosol - function and composition

A

Cx: fluid component of cytoplasm

Fx: distributes materials by diffusion

20
Q

Cytoskeleton - function and composition

A

Cx: protein framework/ proteins organized in filaments “microtubules and microfilaments” in cytoplasm

Fx: strength and support, movement of cellular structures and materials

21
Q

Microvilli - function and composition

A

Cx: nonmobile membrane extensions containing microfilaments

Fx: increase surface area to facilitate absorption of extracellular structures and materials

22
Q

Centrioles - function and composition

A

Cx: microtubule subunits

Fx: essential for the movement of chromosomes during division “form the spindle apparatus”, organize cytoskeleton

23
Q

Cilia - function and composition

A

Cx: mobile membrane extensions containing microtubules

Fx: Movement of materials over cell surface

24
Q

Ribosomes - function and composition

A

Cx: RNA and protein structures “attached to the endoplasmic reticulum and free in the cytoplasm”

Fx: protein synthesis

25
Rough endoplasmic reticulum - function and composition
Cx: network of membrane channels with attached ribosomes Fx: modification and packaging of newly synthesized polypeptides
26
Smooth endoplastic reticulum - function and composition
Cx: network of membranous channels "cisternae" Fx: lipid and carbohydrate synthesis without ribosomes attached
27
Golgi apparatus - function and composition
Cx: stacks of flattened membranes Fx: storage, alteration, packaging of newly synthesized proteins
28
Lysosomes - function and composition
Cx: vesicles containing digestive enzymes Fx: intracellular removal of damaged organelles and/or pathogens
29
Peroxisomes - function and composition
Cx: Vesicles containing degradative enzymes Fx: catabolism of fats and other organic compounds
30
Mitochondria - function and composition
Cx: double membraned structure filled with metabolic enzymes Fx: converts 95% of organic energy into cellular energy known as ATP
31
Nucleus - function and composition
Cx: double membraned structure containing cellular DNA organized into chromosomes Fx: Storage and processing of genetic material
32
Gap junction
They directly connect the cytoplasm of two cells, which allows various molecules, ions and electrical impulses to directly pass through a regulated gate between cells.
33
Tight Junction
The lipid portions of two plasma membranes are tightly bound together by interlocking membrane proteins. This kind of attachment is so tight that tight junctions largely prevent water and solutes from passing between the cells.
34
Cell membranes are primarily made of a double layer of:
phospholipids
35
Cells that produce lots of protein have a lot of:
ribosomes
36
The cell organelle that contains the DNA is the:
nucleus
37
The intercellular junction that forms a strong "spot weld" between the cytoskeletons of adjacent cells is:
Desmosome
38
Proteins in the cell membrane function as:
gated channels leak channels active pumps
39
Cells that use a lot of energy (like muscle cells) would be expected to have many of what organelle?
mitochondria
40
endocytosis
bulk transport into the cell -ingestion of large particles (such as bacteria) and the uptake of fluids or macromolecules in small vesicles
41
The plasma membrane is described as 'selectively permeable' because it:
allows free passage of some materials but restricts passage of others
42
Identify this
areolar (loose) connective tissue
43
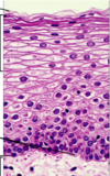
Identify this
unkeratinized stratified squamous epithelial tissue
44
Identify this
simple cuboidal epithelial tissue
45
Identify this
reticular connective tissue
46
At higher magnification, the depth of field _________
decreases
47
cell that produces a lot of lipids and carbs would have lots of this organelle :
smooth ER