Urinary system Flashcards

(94 cards)

1
Q

Urinary system purpose & functions

A
  • eliminate waste from the body
  • regulate blood volume & blood pressure
  • control levels of electrolytes and metabolites
  • regulate pH of blood
  • stroes & excretes urine

-tied together with blood in cardiovascular system

How well did you know this?
1
Not at all
2
3
4
5
Perfectly
2
Q

The three layers of smooth muscle that make up the wall of the urinary bladder are collectively referred to as the:

A

detrusor muscle

How well did you know this?
1
Not at all
2
3
4
5
Perfectly
3
Q

micturition

A

expulsion of urine from bladder

  • controlled by micturition reflux
How well did you know this?
1
Not at all
2
3
4
5
Perfectly
4
Q

urethra

A

expels urine outside the body

How well did you know this?
1
Not at all
2
3
4
5
Perfectly
5
Q

ureter

A

conducts urine from kidney to bladder

How well did you know this?
1
Not at all
2
3
4
5
Perfectly
6
Q

urinary bladder

A

stores urine until it is voided

How well did you know this?
1
Not at all
2
3
4
5
Perfectly
7
Q

renal pyramid

A

structural units that constitute the medulla

How well did you know this?
1
Not at all
2
3
4
5
Perfectly
8
Q

cortex

A

outer portion of the kidney

How well did you know this?
1
Not at all
2
3
4
5
Perfectly
9
Q

renal pelvis

A

major calyces empty into this funnel-shaped region

How well did you know this?
1
Not at all
2
3
4
5
Perfectly
10
Q

Which organ is responsible for filtering the blood?

A

kidney

How well did you know this?
1
Not at all
2
3
4
5
Perfectly
11
Q

the urinary bladder is lined with:

A

transitional epithelium

How well did you know this?
1
Not at all
2
3
4
5
Perfectly
12
Q

The apex of a renal pyramid is called the renal:

A

papilla

How well did you know this?
1
Not at all
2
3
4
5
Perfectly
13
Q

The arteries that run along the corticomedullary junction of the kidney are the:

A

arcuate arteries

How well did you know this?
1
Not at all
2
3
4
5
Perfectly
14
Q

the kidney is covered by:

A

a fibrous capsule

How well did you know this?
1
Not at all
2
3
4
5
Perfectly
15
Q

the right kidney is positioned _____________ than the left kidney

A

more inferiorly

How well did you know this?
1
Not at all
2
3
4
5
Perfectly
16
Q

the renal vein, renal artery, and ureter connect to a kidney at:

A

its hilum

How well did you know this?
1
Not at all
2
3
4
5
Perfectly
17
Q

what is a nephron?

A

functional filtration unit of kidney

How well did you know this?
1
Not at all
2
3
4
5
Perfectly
18
Q

a nephron consists of:

A

a renal corpuscle & renal tubule

How well did you know this?
1
Not at all
2
3
4
5
Perfectly
19
Q

nephron function

A

filters blood
produces urine

How well did you know this?
1
Not at all
2
3
4
5
Perfectly
20
Q

what are the 2 types of nephrons?

A
  1. cortical nephron- maintly sits in cortex (outer layer of kidney) - 85% of nephrons
  2. juxtamedullary nephron - 15% - closer to medulla/cortex border
How well did you know this?
1
Not at all
2
3
4
5
Perfectly
21
Q

glomerular filtration

A

movement of substances from blood within the glomerulus into capsular space

How well did you know this?
1
Not at all
2
3
4
5
Perfectly
22
Q

tubular reabsorption

A

movement of substances from tubular fluid back into the blood

How well did you know this?
1
Not at all
2
3
4
5
Perfectly
23
Q

tubular secretion

A

movement of substances from the blood into the tubular fluid

How well did you know this?
1
Not at all
2
3
4
5
Perfectly
24
Q

Filtration

A

1st step

blood is filtered by nephron

~starts with renal corpuscle (glomerulus and glomerulus capsule)

How well did you know this?
1
Not at all
2
3
4
5
Perfectly
25
3 main steps of urine formation:
filtration reabsorption secretion
26
The afferent arteriole brings blood to:
glomerular capillaries
27
blood leaves the glomerulus in the:
efferent artieriole
28
Glomerulus
a cluster/tangle of small capillaries with 3 unique features 1) 1 of only 3 portal systems of the body [there is blood flow from artery to capillary to portal vein to capillary again] portal vein = efferent arteriole 2) blood kept under arteriolar (very high) pressure 3) the capillaries are very leaky [have holes]
29
Glomerular capsule
aka Bowman's capsule surrounds glomerulus made of 2 layers -visceral layer [surface] -parietal layer [simple squamous ET, outside of capsule]
30
Juxtaglomerular apparatus
this specialized structure will regulate blood pressure and glomerulus filtration rate -juxtaglomerular cells [part of afferent arteriole--- release renin=blood pressure increase] -macula densa [part of DCT- modified cell group -monitor ion concentration, monitor urine content & blood pressure]
31
kidney stones
formed of uric acid. calcium oxalate, or calcium or magnesium phosphate -form in collecting ducts/renal pelvis -cause pain in kidney area to ab/pelvis area 60% pass on their own our ureter and body others may need to be removed with lithotripsy (aiming ultrasound shock waves to break the stones into smaller pieces)
32
Blood flows from the renal artery next into the:
segmental arteries
33
most secretion occurs in which nephron segment?
distal convoluted tube
34
peritubular capillaries:
vessels involved in reabsorption
35
the glomerulus is the site of:
plasma filtration
36
__________________conducts blood out of the glomerulus
efferent arteriole
37
Tubular fluid from the proximal convoluted tubule next travels to the:
nephron loop
38
Reabsorption is the movement of fluid and solutes from the:
tubular fluid into the peritubular capillaries
39
The glomerular (Bowman's) capsule and glomerulus make up the:
renal corpuscle
40
Which substance would NOT normally be expected in urine?
proteins
41
normal substances in the urine could include-
water sodium nitrogenous waste
42
Name the layers of the filtration membrane in the glomerular membrane
fenestrated endothelium basement membrane visceral layer
43
Name the functions that are carried out in the renal tubules
reabsorption formation of urine secretion
44
nephron loop helps to -
concentrate urine
45
Fluid from the proximal convoluted tubule next travels into the:
nephron loop/loop of Henle
46
The capillaries that make up the glomerulus are unique (different from other capillaries in the body) for two reasons:
they are fenestrated and contain relatively high pressure blood
47
secretion, reabsorption, and filtration are all functions of the-
kidney
48
identify 1 and 2
1- liver 2- gallbladder
49
The mesentery that attaches at the feature highlighted is the:
lesser omentum
50
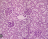
identify this tissue
kidney circles = renal corpuscles (with the glomerulus)
51
identify this
ureter (inner- transitional ET)
52
Identify this and what do you see?
Kidney ~Cortex: renal corpuscle
53
Identify this and what do you see?
Kidney ~Cortex: renal corpuscle [glomerulus & renal capsule] ~renal tubules (Proximal and distal convoluted) -- don't need to differentiate ~Medulla: loops of henle
54
identify this area
deep cortex of kidney [includes renal corpuscles with glomerulus & renal capsules; renal tubules; collecting duct]
55
Identify this area
Kidney- Medulla [straight tubules, collecting ducts & loops of henle]
56
Identify this- what kind of tissue is it?
Ureter -note: transitional epithelium allows the passing of urine by expanding
57
The ureter is made of _______________________, allowing for ____________________________
The ureter is made of transitional epithelium which allows passing of urine by expanding
58
Identify this + the specific region
Cortex of kidney [there are renal corpuscles present]
59
11a. Renal cortex 11b. Renal corpuscle (or glomerulus)
60
Identify this
Uterus
61
The pyramids and renal columns are part of the:
medulla of the kidney
62
Urine flows from the ureters directly into the:
urinary bladder
63
Identify this + what is the arrow pointing to?
Cortex of kidney; Renal corpuscle (Glomerulus)
64
Identify A, B, C, D
A- Glomerulus / Renal corpuscle B- Afferent arteriole C- Efferent arteriole D- Peritubular capillaries
65
Identify E, F, H, I
E- collecting duct F- Loop of henle H- arcuate vein I- arcuate artery
66
Identify J, K, L, M
J- interlobar vein K- Interlobar artery L- Interlobular vein M- Interlobular artery
67
Identify 1 and 2
1- renal vein 2- renal artery
68
what is the green arrow pointing to? Pink arrow? Black arrow?
Green- segmental artery Pink- interlobar artery Black- arcuate vein
69
Identify the orange arrow Yellow dot?
orange= interlobular arteries [blue=interlobular veins] Yellow dot= fibrous capsule
70
Identify 3 and 4
3- ureter 4- renal pelvis
71
Identify A
Renal column
72
Identify A, B, C, D, E
A- Major calyx B- Minor calyx C- renal cortex D- renal medulla E- renal pyramid
73
Where is the hilum?
74
identify the blue
renal papilla
75
what is A?
Renal sinus (space)
76
identify the highlighted structures
kidneys
77
identify the highlighted structures
minor calyces
78
identify the highlighted structures
major calyces
79
identify the highlighted structures
ureter
80
identify the highlighted structures
urinary bladder
81
identify the green area
urethra [female]
82
identify A
renal pelvis
83
Trace the route of glomerular filtrate on its path to the collecting duct of a nephron
glomerular capsule > proximal tubule > descending nephron loop > ascending nephron loop > distal tubule
84
Identify A and B
A- Rugae B- Trigone
85
identify A
female urethra
86
What is indicated by D in the above image?
renal column
87
pancreas, ureters, colon, kidneys, esophagus, and rectum are all positioned:
retroperitoneal
88
The detrusor muscle makes up:
wall of urinary bladder
89
________ conducts urine from kidney to bladder
ureter
90
what makes up the medulla of the kidney?
renal pyramids
91
What regulates blood pressure and glomerulus filtration rate?
the juxtamedullary apparatus
92
the site of plasma filtration is the-
glomerulus
93
Reabsorption is the movement of fluid and solutes from the:
tubular fluid into the peritubular capillaries
94
Does filtration occur in the renal tubules?
NO