Causes of high output HF
Anaemia, pregnancy
Hyperthyroidism
Pagets Beri beri
Arteriovenous malformation
Causes RVF then LVF
Symptoms of HF
SOB
Fatigue Exercise intolerance
Fluid retention Orthopnoea Paroxysmal nocturnal dyspnoea
Nocturnal cough + pink frothy sputum

Signs of HF
Raised JVP
Tachycardia, 3rd heart sound, displaced apex beat
Pitting oedema
Fine crackles
Hepatomegaly/ ascites

NY Heart association classification of HF - classes
1 = no limitations
2 = slight limitations, comfortable at rest
3 = less than ordinary activity will lead to symptoms
4 = symptoms when at rest

Types of HF
Left ventricular = causes a backup, pulmonary oedema
Right ventricular failure = result of left sided HF
Both L + R are systolic
Congestive = mix of LVF + RVF
Most common cause of LVF
Myocardial ischaemia - most common

Common cause of RVF
LVF
Causes of systolic + diastolic HF
Systolic = IHD, MI, cardiomyopathy
Diastolic = constrictive pericarditis, tamponade, restrictive cardiomyopathy, HTN
Causes of low output HF
Pump failure, decreased HR (B blockers)
Negatively inotropic drugs (antiarrhythmics)
Excessive preload (mitrl regurg, fluid overload)
Chronic excessive afterload (aortic stenosis, HTN)

Non pharmacological management of HF
Exercise
Low salt diet
Daily weights
Stop smoking
Alcohol reduction
Flu vaccine
Inform DVLA if large goods vehicle
Pharmacological management of HF
LMNOP if symptomatic
ACEi + B blockers (ARBs 2nd line) + Furosemide
In preserved ejection fraction: can add: spironolactone, ivabradine, digoxin
AVOID CCB
Complications of furosemide, cautions + SE
Monitor renal function, electrolytes + BP
Ototoxic + sensitivity to sun
Gout from hyperuricaemia
Hyperglycaemia
Hypokalaemia
Caution in kidney disease, urinary retention, cirrhosis, liver disease
SE of spironolactone
Renal failure
Agranulocytosis
Alopecia
Gynaecomastia, breast pain, changes in libido
Confusion, dizziness
Electrolyte + GI disturbance
Hyperkalaemia - discontinue

SE + cautions of digoxin
Arrhythmias
Blurred vision
Conduction disturbances
Dizziness
GI disturbances
Yellow vision
Eosinophilia + rash
Caution in hypercalcaemia, hypokalaemia, hypomagnesaemia + hypoxia
Monitor plasma conc in renal impairment
SE of ACEi
Hypotension Dry cough GI side effects
Altered LFTs
Monitor U+Es
SE + cautions + CI with B blockers
Prolongs QT
GI disturbance
Bradycardia Hypotension
Sexual dysfunction
Cold extremities
Caution in asthma, diabetes + renal impairment
CI in heart block, uncontrolled asthma or diabetes, unstable HF
What is a TAVI used for?
Transcatheter aortic valve implantation - severe airotic stenosis

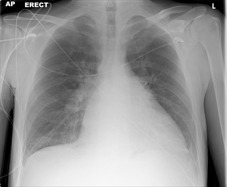
Investigations in acute heart failure
ECG Bloods = BNP or NT-proBNP CXR

CXR findings for acute HF
Alveolar oedema
Kerly B lines
Cardiomegaly
Diversion to upper lobes
Effusions

Management of acute HF
Pain = diamorphine
Pee = furosemide 40-80mg IV
Puff = GTN 2 puffs
PAP = CPAP if severe acidaemia/ dyspnoea
Posture = sit up, oxygen
What is QRISK2?
Risk assessment to assess CVD risk
What are common secondary causes of dyslipidaemia?
Excess alcohol
Uncontrolled diabetes
Hypothyroidism
Liver disease
Nephrotic syndrome
How to diagnose CVD?
Measure total + HDL
If total >9 mmol = specialist assessment
How to prevent CVD?
Cardioprotective diet: reduced saturated fat, more wholegrains, reduce sugar, 2 portions of fish, 5 fruit + veg
Exercise
Smoking cessation
Alcohol advice
Atorvastatin 20mg for primary prevention in those with >10% 10 year risk of developing CVD