triad of scimitar syndrome

Kaposi sarcoma

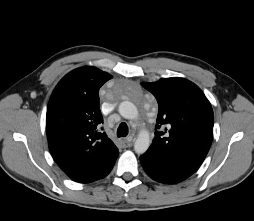
Castleman disease
Castleman disease
angiofollicular lymph node hyperplasia
POEMS
horseshoe lung associated with
scimitar syndrome
LIP associations
Sjogren’s, HIV
RA, SLE

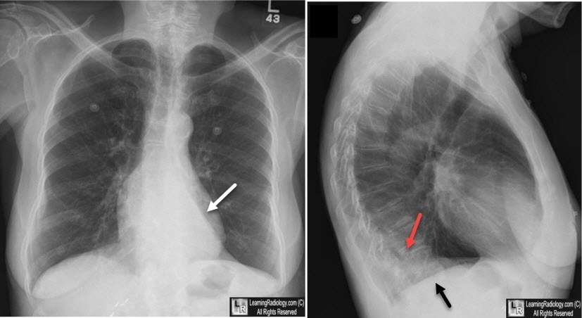
LLL atelectasis
findings of TOF
Sano shunt
RV –> Right PA
leading cause of MV stenosis
rheumatic heart disease
location of cardiac osteosarcoma
LA

carcinoid syndrome is associated with which valvular abnormalities?
how to tell difference between stunned and hibernating myocardium?
FDG-PET findings in stunned vs hibernating myocardium
both normal (preserved metabolism)
cardiac fibroma association
basal cell nevus syndrome (Gorlin syndrome)
Carney complex
cardiac lipoma location
IV septum or LV free wall
MC cause of tricuspid insufficiency
RV dilation (d/t heart failure or pulm hypertension/cor pulmonale)

MC presentation of ARVD
LBBB on EKG
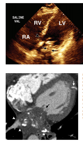
Ebstein anomaly
delayed post-Gd images obtained when?
10-12 min
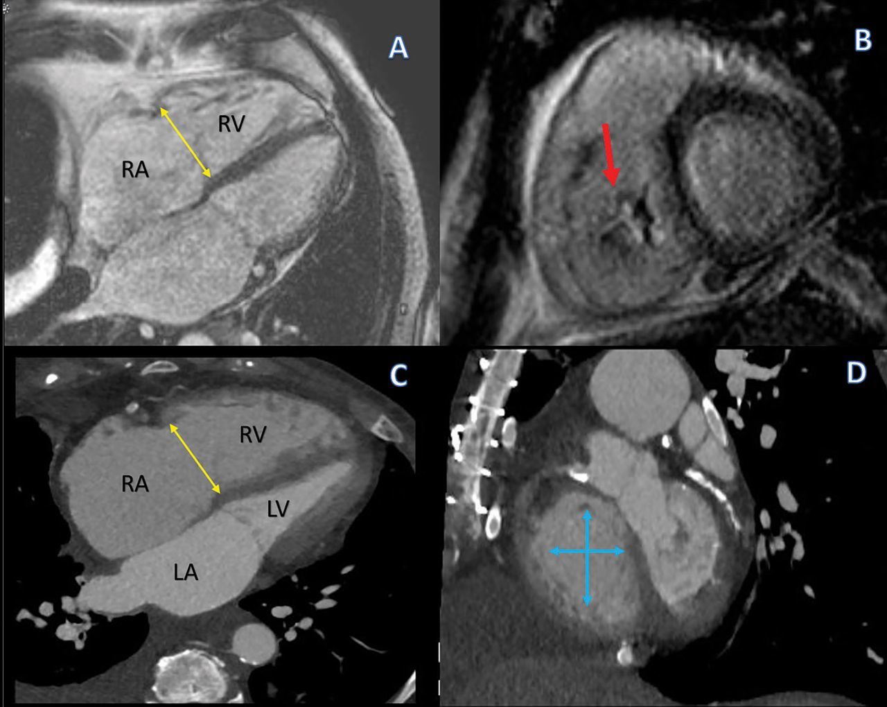
moderator band in which compartment?
RV
moderator band connects which structures?
IV septum anterior papillary muscle
