asymptomatic patient

tracheal diverticulum

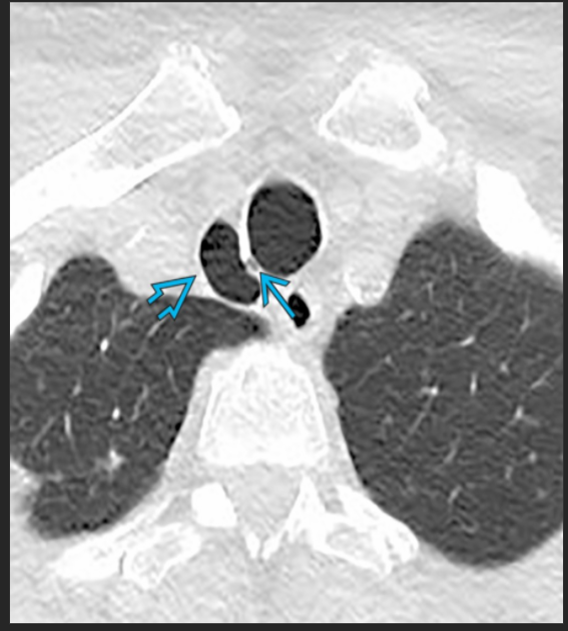
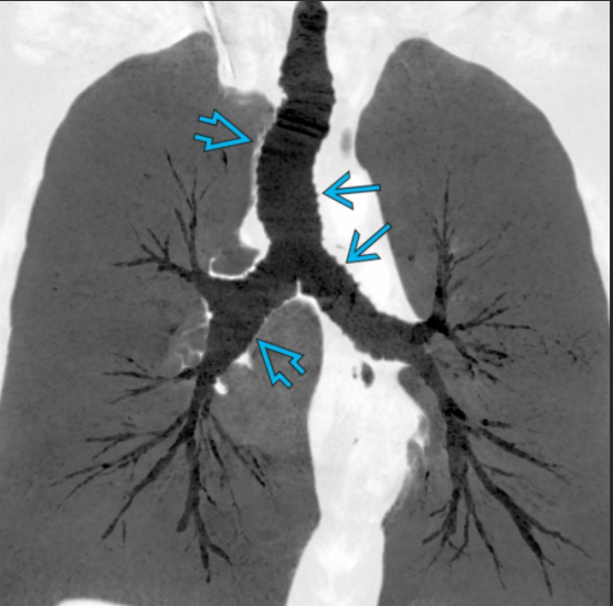
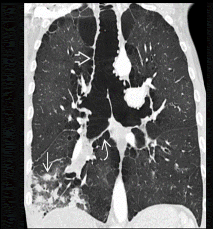
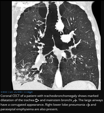
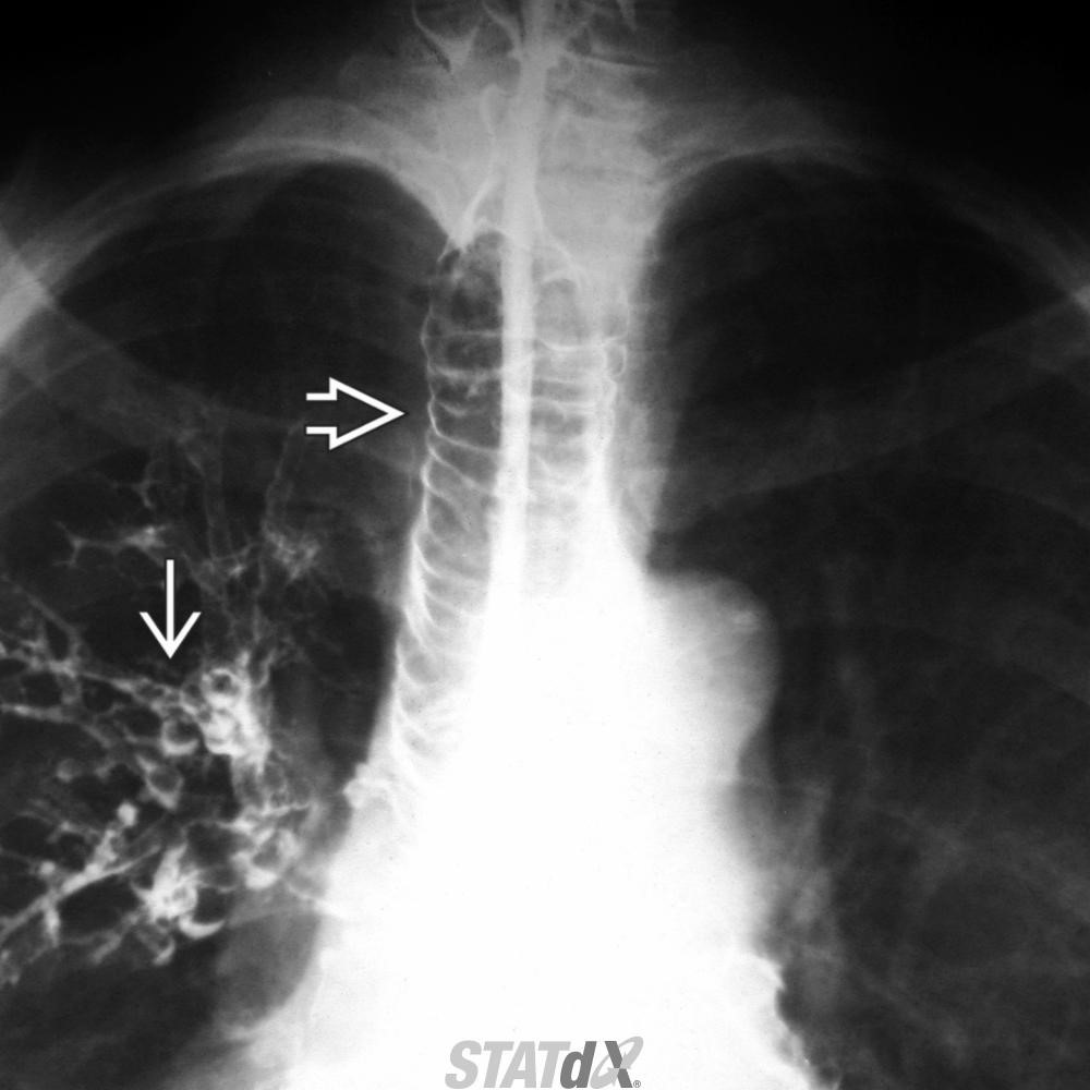
50 yo M with chronic cough and recurrent infections

Tracheobronchomegaly (Mounier-Kuhn syndrome)
Dilatation of trachea & central bronchi that impairs ability to clear mucus
Atrophy or absence of elastic fibers & thinning of smooth muscle layer in trachea & main bronchi

Tracheobronchomegaly; Mounier-Kuhn syndrome
Coronal CECT of a patient with tracheobronchomegaly shows marked dilatation of the trachea (open arrow) and mainstem bronchi . The large airways have a corrugated appearance. Right lower lobe pneumonia (straight arrow) and paraseptal emphysema are also present.


Esophageal intubation


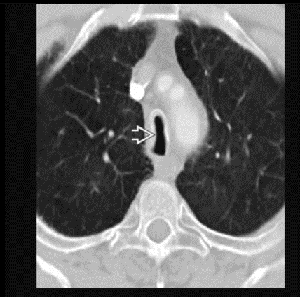
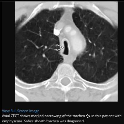
Saber sheath trachea, pathognomonic for COPD
Best diagnostic clue: Side-to-side narrowing of intrathoracic trachea
In this case you can see subtle apical centrilobuar emphysema


dynamic inspiratory and expiratory imaging


adenoid cystic carcinoma
trachia and main bronchi can have wall thickening which is CIRCUMFENTIAL

GPA