uip distribution
worse in lower lobes


lung disorder with sparing of the costophrenic angles
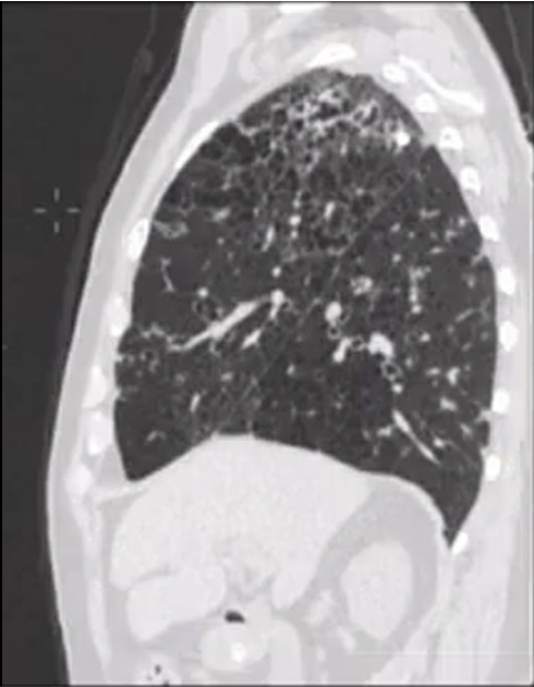
PLCH












smoker with cysts and nodules
pulmonary LCH

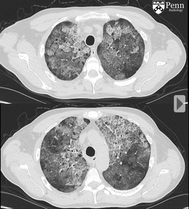
Pulmonary alveolar proteinosis
ground glass plus crazy paving
treatment = bronchoalveolar lavage
middle aged woman with chronic mild SOB. No smoking history
expiratory HRCT images

Diffuse idiopathic neuroendocrine cell hyperplasia (DIPNECH)
multiple small pulmonary nodules and mosaic attenuating from air trapping due to constrictive bronchiolitis



bronchiolar inflammation








Ritalin lung can look like this too










