
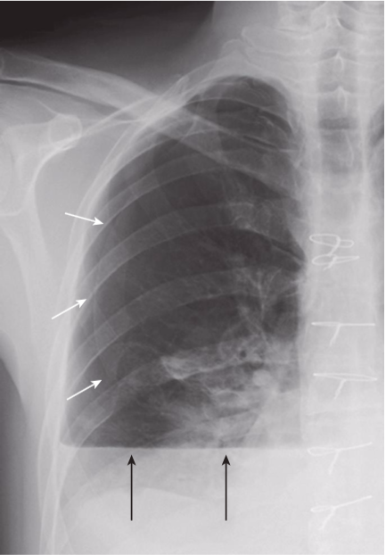
Hydropneumothorax.
hydropneumothorax produces an air-fluid level in the hemithorax marked by a straight edge and a sharp, air-over-fluid interface when the exposure is made with a horizontal x-ray beam (black arrows). This person was stabbed in the right side and there is a moderately large pneumothorax as shown by the visceral pleural white line (white arrows).

Normal versus laminar pleural effusion.
A, A normal patient in whom the normally aerated lung extends to the inner margin of each of the ribs (white arrows). The costophrenic sulcus is sharp (black arrow). B, There is a thin band of increased density that extends superiorly from the lung base (white arrow) but does not appear to cause blunting of the costophrenic angle (black arrow). This is the appearance of a laminar pleural effusion, which is most often associated with either congestive heart failure or lymphangitic spread of malignancy in the lung. This patient was in congestive heart failure.

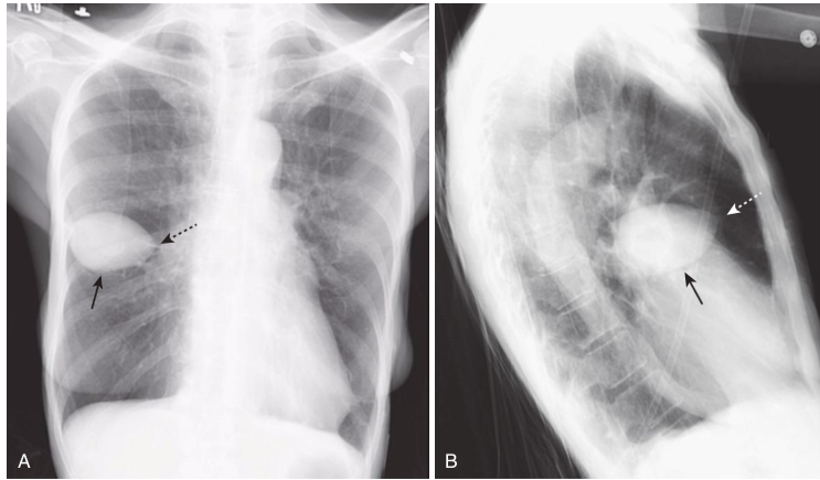
Pseudotumor in the minor fissure.
A, A sharply marginated collection of pleural fluid contained between the layers of the minor fissure produces a characteristic lenticular shape (solid black arrows in images A and B) that frequently has pointed ends on each side, where it insinuates into the fissure so that pseudotumors look like a lemon on frontal (A) or lateral (B) chest radiographs (dotted black arrow in [A] and dotted white arrow in [B]). Pseudotumors always occur along the course of the minor or major fissure, which helps to distinguish them from an actual tumor of the lung.

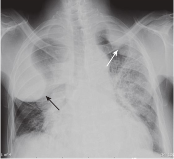
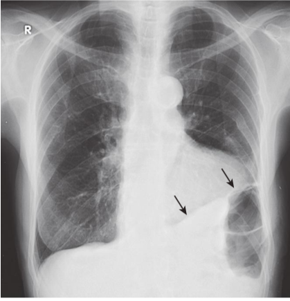
Loculated pleural effusions.
There are bilateral fluid collections (white and black arrows) that have unusual shapes and seem to defy gravity, because they are trapped in the pleural space, usually by adhesions. Loculated effusions can be suspected when an effusion has something other than a meniscoid shape or collects in a location other than the base of the lung (e.g., if the effusion were to remain at the apex of the hemithorax even if the patient were upright).

Large left pleural effusion.
The left hemithorax is completely opacified, and there is a shift of the mobile mediastinal structures, such as the trachea (solid black arrow) and the heart(dotted black arrow), away from the side of opacification. This is characteristic of a large pleural effusion, which can act like a mass. In most adults, it requires about 2 L of fluid to fill or almost fill the entire hemithorax such as shown here.

Decubitus views of the chest.
A, In a right lateral decubitus view of the chest, the film is exposed with the patient lying on the right side on the examining table while a horizontal x-ray beam is directed posteroanteriorly. Because the patient’s right side is dependent, any free-flowing pleural fluid will layer along the right side (solid black arrows), forming a bandlike density. Notice how the fluid flows into the minor fissure (dotted black arrow). B, In a left lateral decubitus view of the chest, the patient lies on the table with the left side down and free fluid on the left side layers along the left lateral chest wall (solid black arrows). Parts (A) and (B) show the same patient who has bilateral pleural effusions due to lymphoma.

Meniscus sign, right pleural effusion.
A, On the frontal projection in the upright position, an effusion typically ascends more laterally (white arrow) than it does medially (black arrow) because of factors affecting the natural elastic recoil of the lung. B, On the lateral projection, the fluid ascends about the same amount anteriorly and posteriorly, forming a U-shaped density called the meniscus sign (white arrows).

Scarring producing blunting of the left costophrenic angle.
Scarring (due, for example, to previous infection, surgery, or blood in the pleural space) sometimes produces a charac- teristic “ski-slope appearance” of blunting (black arrows), unlike the meniscoid appearance of a pleural effusion. This fibrosis would not change in appearance or location with changes in the patient’s posi- tion, as free-flowing pleural fluid would.

Normal and blunted right lateral costophrenic angle.
A, The hemidiaphragm usually makes a sharp and acute angle as it meets the lateral chest wall on the frontal projection to produce the lateral costophrenic sulcus (black arrow). Notice how normally aerated lung extends to the inner margin of each of the ribs (white arrows). B, When an effusion reaches about 300 mL in volume, the lateral costophrenic sulcus loses its acute angulation and becomes blunted (black arrow).

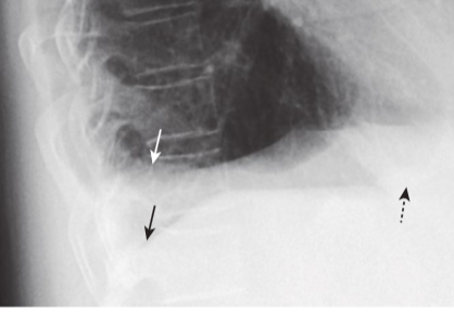
Blunting of the right posterior costophrenic sulcus on the lateral projection.
When approximately 75 mL of fluid has accumulated in the pleural space, the fluid will typically ascend in the thorax and blunt the posterior costophrenic sulcus angle first (solid white arrow). This can be visualized only on the lateral projection. There is a normal, sharp posterior costophrenic angle on the opposite side (solid black arrow). Notice how the normal left hemidiaphragm is silhouetted by the heart anteriorly (dotted black arrow), indicating which is the left hemidiaphragm. The pleural effusion is therefore on the right side.

Left-sided subpulmonic effusion.
A, In the frontal projection, there is more than 1 cm distance between the air in the stomach and the apparent left hemidiaphragm (double black arrow). The edge between the aerated lung and the dotted white arrow does not represent the actual left hemidiaphragm, which has been rendered invisible by the pleural fluid that has accumulated above it; it is the interface between the effusion and the base of the lung. There is blunting of the left costophrenic sulcus (solid white arrow) on both projections. B, On the lateral projection, the apparent hemidiaphragm is rounded posteriorly but changes its contour as the effusion interfaces with the major fissure (black arrow)

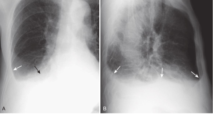
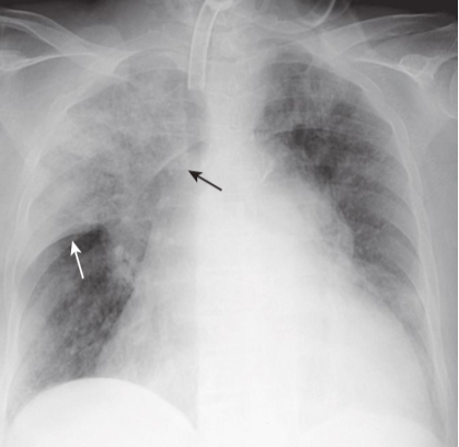
Right-sided subpulmonic effusion.
A, In the frontal projection, the apparent right hemidiaphragm appears to be elevated (black arrow). This edge does not represent the actual right hemidia- phragm, which has been rendered invisible by the pleural fluid that has accumulated above it; it is the interface between the effusion and the base of the lung (thus the term apparent hemidiaphragm). There is blunting of the right costophrenic sulcus (white arrow). B, On the lateral projection, there is blunting of the posterior costophrenic sulcus (white arrow). The apparent hemidiaphragm is rounded posteriorly, but then changes its contour as the effusion interfaces with the major fissure on the right side (black arrow).

Dressler syndrome (postpericardiotomy/postmyocardial infarction syndrome).
There is a left pleural effusion present (solid black arrows in A and B). This syndrome typically occurs 2 to 3 weeks after a transmural myocardial infarct. It also can occur following pericardiotomy, such as that which occurs in patients undergoing coronary artery bypass surgery, as in the case shown here. The combination of chest pain and fever, left pleural effusion, patchy left lower lobe airspace disease, and pericardial effusion several weeks following a myocardial infarction or open-heart surgery should suggest the syndrome. It usually responds to high-dose aspirin or steroids. This patient has a dual-lead pacemaker in place, and on the lateral projection (B), the leads are seen in the region of the right atrium (dotted black arrow) and right ventricle (arrowhead)

Left upper lobe pneumonia.
There are several black, branching structures in this left upper lobe pneumonia (white arrows)that represent typical air bronchogramsseen in airspace disease. This patient had pneumococcal pneumonia. The disease is homogeneous in density, except for the presence of the air bronchograms. Because this is airspace disease, its outer edges are poorly marginated, indistinct, and fluffy (black arrow).

Lingular pneumonia.
There is airspace disease in the lingular segments of the left upper lobe. The disease is of homogeneous density. The disease is in contact with the left lateral border of the heart, which is “silhouetted” by the fluid density of the consolidated upper lobe in contact with the soft tissue density of the heart (black arrow). Because the pneumonia and the heart are the same radiographic density, the border between them disappears.

Right upper lobe pneumococcal pneumonia.
There is airspace disease in the right upper lobe that occupies the entire lobe. Because lobes are bounded by interlobar fissures—in this case, the minor or horizontal fissure (white arrow)—the inferior margin of the pneumonia is sharply marginated. Where the disease contacts the ascending aorta (black arrow),the border of the aorta is silhouetted by the fluid density of the pneumonia.

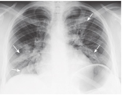
Staphylococcal bronchopneumonia.
There are multiple irregularly marginated patches of airspace disease in both lungs (white arrows). This is a characteristic distribution and appearance of bronchopneumonia. The disease is spread centrifugally via the tracheobronchial tree to many foci in the lung at the same time, and so it frequently involves several segments. Because lung segments are not bound by fissures, the margins of segmental pneumonias tend to be fluffy and indistinct. There are no air bronchograms present because inflammatory exudate fills the bronchi and the airspaces around them.

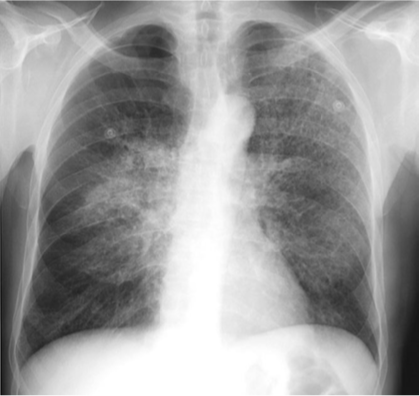
Pneumocystis carinii ( jiroveci) pneumonia (PCP).
There is bilateral, centrally- located interstitial lung disease that is primarily reticular in nature. Without the additional history that this patient had AIDS, this could be mistaken for pulmonary interstitial edema or for a chronic, fibrotic process such as sarcoidosis. There are, however, no pleural effusions present, as might be expected with pulmonary interstitial edema, and there is no evidence of hilar adenopathy, as might occur in sarcoidosis.

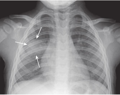
Round pneumonia.
There is a soft tissue density in the right midlung field that has a rounded appearance (white arrows). This is a 10-month-old child who had a cough and fever. This is a characteristic appearance of a round pneumonia, most common in children, and frequently due to either Haemophilus,streptococcal, or pneumococcal infection.

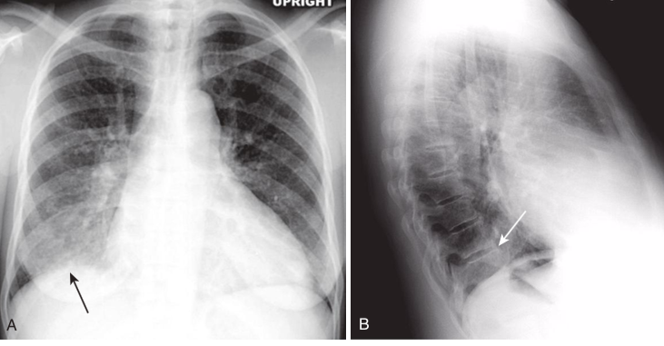
The spine sign.
Frontal and lateral views of the chest demonstrate airspace disease on the lateral film (B)in the right lower lobe (white arrow)that may not be immediately apparent on the frontal film (you can see the pneumonia in the right lower lobe in [A][black arrow]). Normally, the thoracic spine appears to get “blacker” as you view it from the neck to the diaphragm because there is less tissue for the x-ray beam to traverse just above the diaphragm than in the region of the shoulder girdle (see also Fig. 3-3). In this case, a right lower lobe pneumonia superimposed on the lower spine in the lateral view (white arrow)makes the spine appear “whiter” (more dense) just above the diaphragm. This is called the spine sign.

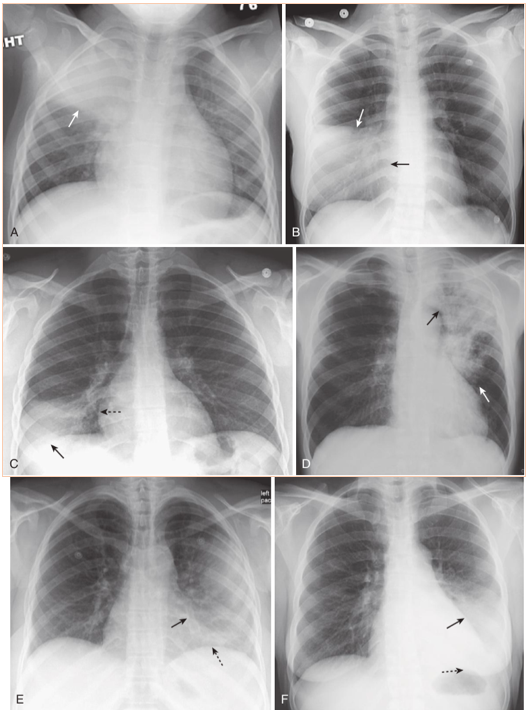
Composite appearances of lobar pneumonias.
A,Right upper lobe. The disease obscures (silhouettes)the ascending aorta. Where it abuts the minor fissure, it produces a sharp margin (white arrow). B,Right middle lobe. The disease silhouettes the right heart border (solid black arrow). Where it abuts the minor fissure, it produces a sharp margin (solid white arrow). C,Right lower lobe. The disease silhouettes the right hemidiaphragm (solid black arrow). It spares the right heart border (dotted black arrow). D,Left upper lobe. The disease is poorly marginated (solid white arrow)and obscures the aortic knob (solid black arrow). E,Lingula. The disease silhouettes the left heart border (solid black arrow)but spares the left hemidiaphragm (dotted black arrow). F,Left lower lobe. The disease obscures the left hemidiaphragm (dotted black arrow)but spares the left heart border (solid black arrow).

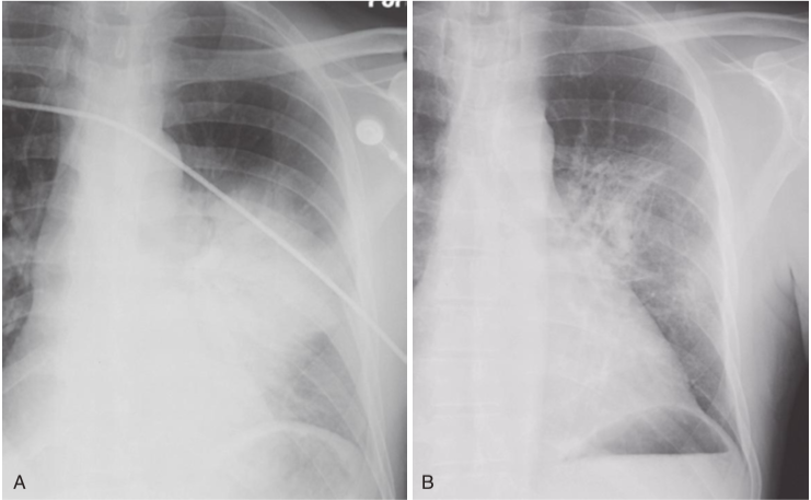
Resolving pneumonia.
Pneumonia can resolve in 2 to 3 days if the organism is sensitive to the antibiotic administered, especially pneumococcal pneumonia. Most pneumonias, as shown in the radiographs of the left upper lobe taken 4 days apart (A)and (B), typically resolve from within (vacuolization), gradually disappearing in a patchy fashion over days or weeks. If a pneumonia does not resolve in weeks, you should consider the presence of an underlying obstructing lesion, such as a neoplasm that might be preventing adequate drainage from that portion of the lung.

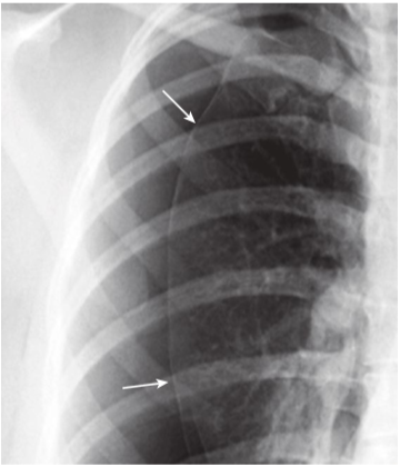
Visceral pleural line in a pneumothorax.
You must see the visceral pleural line to make the definitive diagnosis of a pneumothorax (white arrows). The visceral and parietal pleurae are normally not visible, both normally lying adjacent to the chest wall. When air enters the pleural space, the visceral pleura retracts toward the hilum along with the collapsing lung and becomes visible as a very thin white line, with air outlining it on either side. Notice how the contour of the pneumothorax parallels the curvature of the adjacent chest wall.

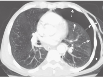
Pneumothorax seen on CT.
As the lung collapses, it tends to maintain its usual shape so that the curve of the visceral pleural line (solid white arrows)parallels the curve of the chest wall (dotted white arrows). This is important in differentiating a pneumothorax from artifacts or other diseases that can mimic a pneumothorax. As it collapses, the lung on the side of the pneumothorax also tends to remain lucent until the lung loses almost all of its normal volume, at which point it becomes more opaque. This patient also has subcutaneous emphysema–air in the soft tissues–of the left lateral chest wall (white stars). The patient had been stabbed by a friend.