
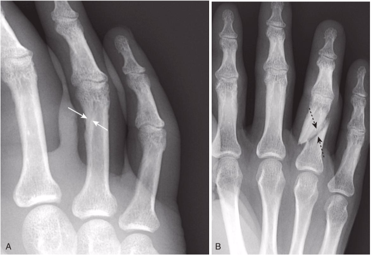
Greenstick and buckle (torus) fractures.
Incomplete fractures are those that involve only a portion of the cortex. They tend to occur in bones that are “softer” than normal, such as those in children (above) or in adults with bone-softening diseases such as Paget disease. A,There is a greenstick fracture, which involves only one part of (dotted white arrow)rather than the entire cortex (solid white arrow). B,This is a buckle fracture, in which there is buckling of the cortex (black arrows).

Nutrient canal versus fracture.
Fracture lines, when viewed in the correct orientation, tend to be “blacker”(more lucent) than other lines normally found in bones, such as nutrient canals. A,This is a nutrient canal (white arrows), whereas a true fracture is seen in another patient in (B)(dotted black arrows). Notice how the nutrient canal has a sclerotic (whiter) margin and is confined to the cortex, which is not the case with fracture lines that are darker and traverse the cortex and medullary cavity. The edges of a fracture tend to be jagged and rough.

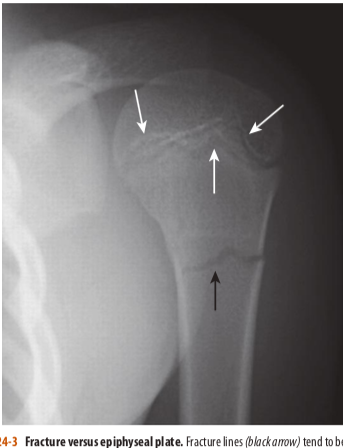
Fracture versus epiphyseal plate.
Fracture lines (blackarrow)tend to be straighter in their course and more acute in their angulation than any naturally occurring lines, such as the epiphyseal plates in the proximal humerus (white arrows). Because the top of the metaphysis has irregular hills and valleys, the epiphyseal plate has an undulating course that will allow you to see it in tangent, both on the anterior and posterior margins of the humeral head. This gives the mistaken appearance that there is more than one epiphyseal plate.

Pitfalls in fracture diagnosis.
A,Old, unhealed fracture fragments (whitearrow). B,Sesamoids (bones that form in a tendon as it passes over a joint) (whitearrows). C,Accessory ossicles (acces- sory epiphyseal or apophyseal ossification centers that do not fuse with the parent bone, such as this os trigonum;white arrow). These examples can sometimes mimic acute fractures. Unlike fractures, these small bones are corticated (i.e., there is a white line that completely surrounds the bony fragment), and their edges are usually smooth. Sesamoids and accessory ossicles are usually bilaterally symmetrical.

Dislocation and subluxation.
A,In a dislocation, the bones that originally formed the two components of the interphalangeal joint are no longer in apposition to each other (white arrows). The terminal phalanx is dislocated laterally. B,In a subluxation, the bones that originally formed the two components of a joint are in partial contact with each other. The humeral head (H) is subluxed inferiorly (white arrow)in the glenoid (G) because of a large hematoma in the joint secondary to a fracture of the surgical neck of the humerus (black arrow). The hematoma itself is not visible by conventional radiography.

Segmental fracture and butterfly fractures.
These are two comminuted fractures. A,There is a segmental fracture in which a portion of the shaft exists as an isolated fragment. Notice how the fibula has a center segment (S) and two additional fragments, one on either side (white arrows). B,A butterfly fragment is a comminuted fracture in which the central fragment has a triangular shape (dotted white arrow).

Transverse, diagonal, and spiral fracture lines.
A,In a transverse fracture (white arrow),the fracture line is perpendicular to the long axis of the bone. B,Diagonal or oblique fractures (black arrow)are diagonal in orientation relative to the normal axis of the bone. C,Spiral fractures (white arrows)are usually caused by twisting or torque injuries.

Fracture parameters.
The orientation of fracture fragments is described by using these four parameters. A,Displacement describes the amount by which the distal fragment (white arrow)is offset, front-to-back and side-to-side, from the proximal fragment (black arrow). B,Angulation describes the angle between the distal and proximal fragments (dotted black line)as a function of the degree to which the distal fragment is deviated from its normal position (solid white line). C,Shortening describes how much, if any, overlap occurs at the ends of the fracture fragments (white and black arrows). The opposite term from shortening is distraction(D),which refers to the distance the bone fragments are separated from each other (two white arrows show pull of tendons on fracture fragments of patella; black arrow points to distraction of fracture).

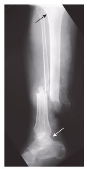
Rotation.
An unusual abnormality in fracture positioning, almost always involving the long bones, which describes the orientation of the joint at one end of the fractured bone relative to the orientation of the joint at the other end of the fractured bone. To appreciate rotation, both the joint above and the joint below a fracture must be visualized, preferably on the same radiograph. In this patient, the proximal tibia (black arrow)is oriented in the frontal plane, and the distal tibia and ankle (white arrow)are rotated and oriented laterally.

Open (compound) fracture, 5th metacarpal.
Most fractures are closed, in which there is no communication between the fracture fragments and the outside atmosphere. Open or compound fractures (black arrows)have a communication between the fracture and the outside (white arrow). Whether a fracture is open or not is best evaluated clinically. Treatment of a compound fracture must also consider the higher incidence of infection, which can occur in these injuries.

Avulsion fractures, ASIS, and lesser trochanter.
Avulsion fractures are common fractures in which the avulsed fragment is pulled from its parent bone by contraction of a tendon or ligament. They are particularly common in younger individuals who engage in athletic endeavors. There is an avulsion of the anterior superior iliac spine (ASIS) (solid white arrow),which is the site of the insertion of the sartorius muscle. There is also an avulsion of a portion of the lesser trochanter, on which the iliopsoas muscle inserts (dotted white arrow). The patient had participated in track and field events a week prior to these injuries.

Healing avulsion fracture of ischial tuberosity.
Avulsion fractures of the pelvis occur in anatomically predictable locations (tendons insert on bones in known locations), and they are typically small fragments. Sometimes they heal with such exuberant callus formation that they can be mistaken for a bone tumor. There is a healing fracture (black arrows)of the ischial tuberos- ity caused by contraction of the hamstring muscles. There is a great deal of external callus present (white arrow).

Stress fracture, two frontal views taken 5 weeks apart.
A,Although conventional radiographs are the study of first choice, they may initially appear normal in as many as 85% of cases of stress fractures, so it is common for a patient to complain of pain yet have a normal-appearing radiograph, as seen here one day after pain began. B,The fracture may not be diagnosable until after periosteal new bone formation forms (white arrow)or, in the case of a healing stress fracture of cancellous bone, the appearance of a thin, dense zone of sclerosis across the medullary cavity (black arrow). This radiograph was taken 5 weeks after the first.

Colles fracture, frontal (A) and lateral (B) views.
A Colles fracture is a fracture of the distal radius (solid white arrows)with dorsal angulation of the distal radial fracture fragment (black arrow)caused by a fall on the outstretched hand (sometimes abbreviated as FOOSH). There is frequently an associated fracture of the ulnar styloid (dotted white arrow).

Smith fracture.
A Smith fracture is a fracture of the distal radius (whitearrow)with palmar angulation of the distal radial fracture fragment (black line angle), the reverse of a Colles fracture. It is caused by a fall on the back of the flexed hand.

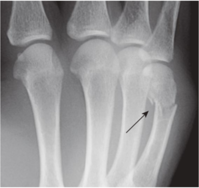
Boxer’s fracture.
A boxer’s fracture is a fracture of the neck of the 5thmetacarpal with palmar angulation of the distal fracture fragment (black arrow). It is most often the result of punching a person. Despite its name, it is not a fracture commonly sustained by professional boxers, whose 2ndand 3rdmetacarpals and radius bear the brunt of the force.

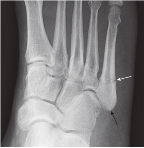
Jones fracture, base of 5th metatarsal.
A Jones fracture is a transverse fracture of the base 5thmetatarsal (white arrow). It occurs about 1 to 2 cm from the tuberosity of the 5thmetatarsal (black arrow)and frequently takes longer to heal than an avulsion fracture of the tuberos- ity. It is caused by plantar flexion of the foot and inversion of the ankle.

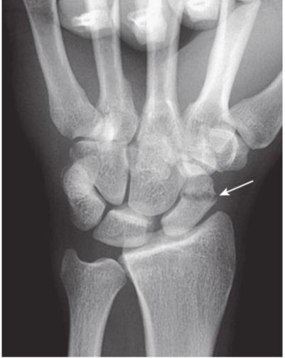
Scaphoid fracture.
Scaphoid fractures are common. They are suspected clinically if there is tenderness in the anatomic snuff box after a fall on an outstretched hand. Look for linear fracture lines on special angled views of the scaphoid (white arrow). Fractures across the waist of the scaphoid can lead to avascular necrosis of proximal pole of that bone.

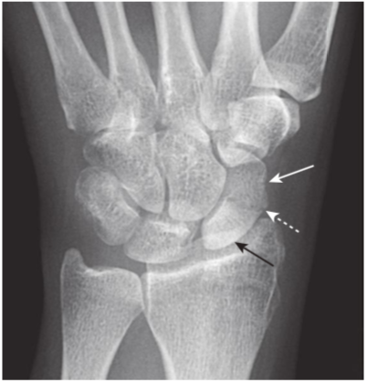
Avascular necrosis of the proximal pole of the scaphoid.
A close-up frontal view of the wrist demonstrates that the proximal pole of the scaphoid (black arrow)is denser than the distal pole (solid white arrow). There is a fracture through the waist of the scaphoid (dotted white arrow). Because of the peculiar blood supply of the scaphoid (from distal to proximal), fractures through the wrist may interrupt the proximal blood supply while the remainder of the bones of the wrist, having normal blood supply, become demineralized. This makes the proximal pole of the scaphoid appear denser relative to the other bones of the wrist.

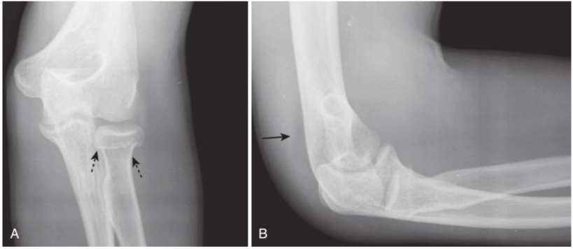
Fracture of radial head with joint effusion, frontal (A) and lateral (B) views.
A,Radial head fractures (dotted black arrows)are the most common fractures of the elbow in an adult. B,Look for fat density appearing as a crescentic lucency along the dorsal aspect of the distal humerus (solid black arrow)caused by intracapsular, extrasynovial fat that has lifted away from the bone by swelling of the joint capsule as a result of traumatic hemarthrosis—the positive posterior fat-pad sign. Virtually all studies of bones will include at least two views at 90° angles to each other called orthogonal views. Many protocols call for two additional oblique views, which enable you to visualize more of the cortex in profile.

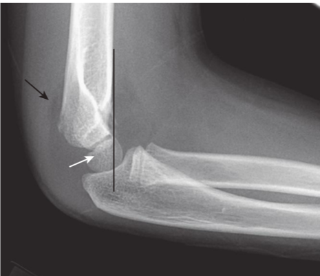
Supracondylar fracture.
A supracondylar fracture of the distal humerus is a common fracture in children, and its findings may be subtle. Most of these fractures produce posterior displacement of the capitellum of the distal humerus. On a true lateral film, the anterior humeral line (a line drawn tangential to the anterior humeral cortex and shown here in black) should bisect the middle portion of the capitellum (white arrow). When there is a supracondylar fracture, this line will pass more anteriorly, as it does here. There is a positive posterior fat pad sign present (black arrow).

Posterior dislocation of the shoulder.
Posterior dislocations of the shoulder are much less common than anterior dislocations, but more difficult to diagnose. On the frontal view (A)look for the humeral head (H) to be persistently fixed in internal rotation and resemble a lightbulb, no matter how the patient turns the forearm. There is also an increased distance between the head and the glenoid (black arrow). B,On the Y-view, the head (H) will lie under the acromion (A), a posterior structure of the scapula, not the anteriorly located coracoid process. (C). G,Glenoid.

Impacted subcapital hip fracture.
Hip fractures are relatively common fractures in older adults and are frequently related to osteoporosis. Look for angulation of the cortex (white arrow)and zones of increased density (black arrows)indicating impaction. Conventional radiographs of the femoral neck should be obtained with the patient’s leg in internal rotation (as shown here) so as to display the neck in profile. Hip fractures can be very subtle and sometimes require additional imaging such as MRI or bone scan for their diagnosis.

Normal and abnormal pronator quadratus fat plane.
Soft tissue abnormalities can provide clues to the presence of subtle fractures or help confirm the significance of a questionable finding. A,Here is an example of a normal fascial plane produced by the pronator quadratus (white arrow points to lucency)on the volar aspect of the wrist, compared with the bulging fascial plane (dotted white arrow)in (B),which has occurred because of soft tissue swelling accompanying a fracture of the distal radius (black arrow).