CIR Flashcards

(12 cards)

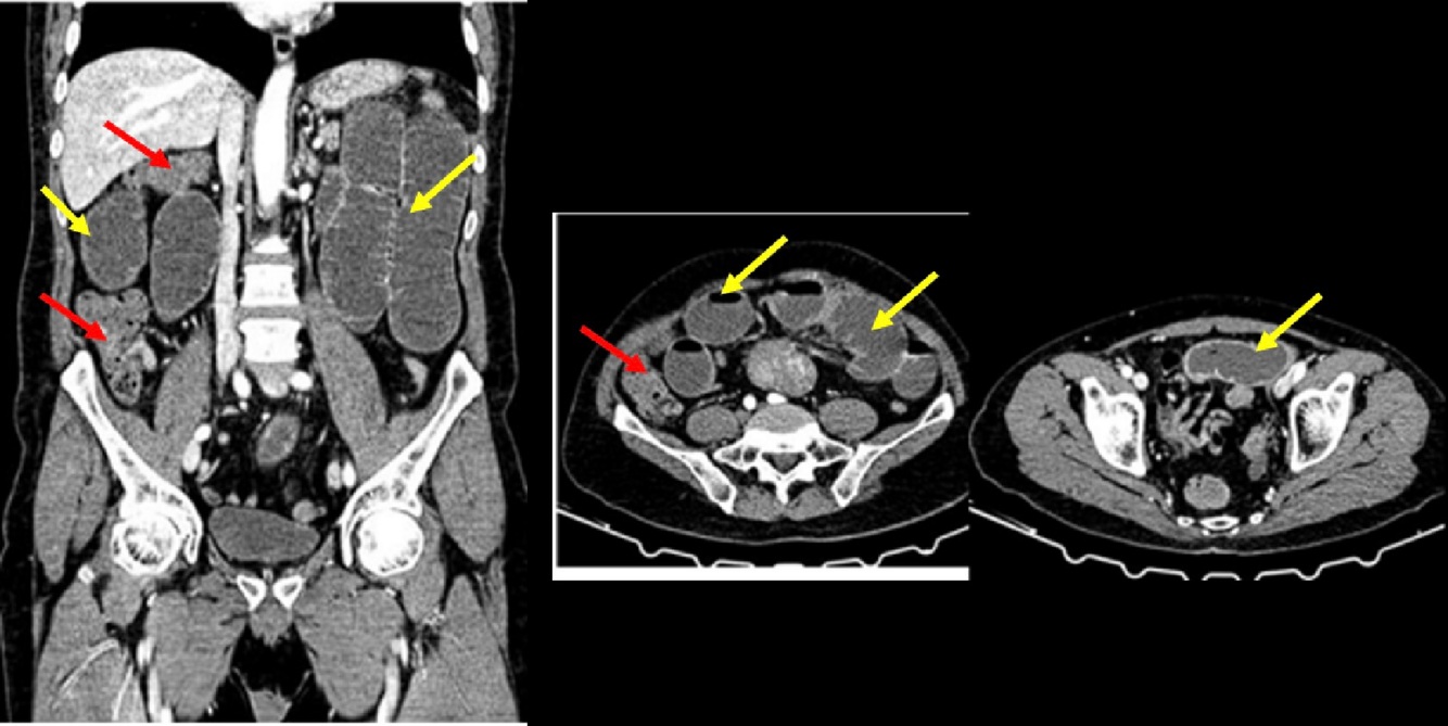
1
Q

O que aponta as setas amarelas e vermelhas?

A

Amarelas: Delgado

Vermelhas: Cólon

How well did you know this?
1
Not at all
2
3
4
5
Perfectly
2
Q

Na cirurgia para hérnia incisional com laparotomia mediana, qual a complicação mais frequente?

A

Necrose de pele e subcutâneo

How well did you know this?
1
Not at all
2
3
4
5
Perfectly
3
Q

Tto de colecistite aguda grave (Tokyo III):

A

Drenagem percutânea transhepática da vesícula biliar

How well did you know this?
1
Not at all
2
3
4
5
Perfectly
4
Q

Qual exame utilizar para diagnosticar microcálculos de vesícula biliar que não foram vistos à USG?

A

Ecoendoscopia

How well did you know this?
1
Not at all
2
3
4
5
Perfectly
5
Q

Fatores de risco para deiscência de ferida operatória:

A

Infecção de sítio cirúrgico, cirurgia de urgência, doença neoplásica, tabagismo.

How well did you know this?
1
Not at all
2
3
4
5
Perfectly
6
Q

Qual exame realizar para o diagnóstico de atresia esofágica?

A

Raio X de tórax e abdome

How well did you know this?
1
Not at all
2
3
4
5
Perfectly
7
Q

Não se faz biópsia de testículo para diagnóstico de neoplasia no local. V ou F?

A

Verdadeiro. Na suspeita, já faz a orquiectomia por inguinotomia.

How well did you know this?
1
Not at all
2
3
4
5
Perfectly
8
Q

Conduta nos derrames pleurais recidivantes de causa oncológica:

A

Pleurodese

How well did you know this?
1
Not at all
2
3
4
5
Perfectly
9
Q

Tto de escolha cirúrgico para DRGE:

A

Fundoplicatura total

(Não é indicada na acalasia)

How well did you know this?
1
Not at all
2
3
4
5
Perfectly
10
Q

Tto para fases iniciais e intermediárias do megaesôfago:

A

Cardiomiotomia a Heller e fundoplicatura parcial

How well did you know this?
1
Not at all
2
3
4
5
Perfectly
11
Q

A função hepática preservada autoriza hepatectomia parcial?

A

Sim!

How well did you know this?
1
Not at all
2
3
4
5
Perfectly
12
Q

Efeito colateral da sulpirida (anti-depressivo):

A

Bloqueio das gonadotrofinas

How well did you know this?
1
Not at all
2
3
4
5
Perfectly