CLM Flashcards

(4 cards)

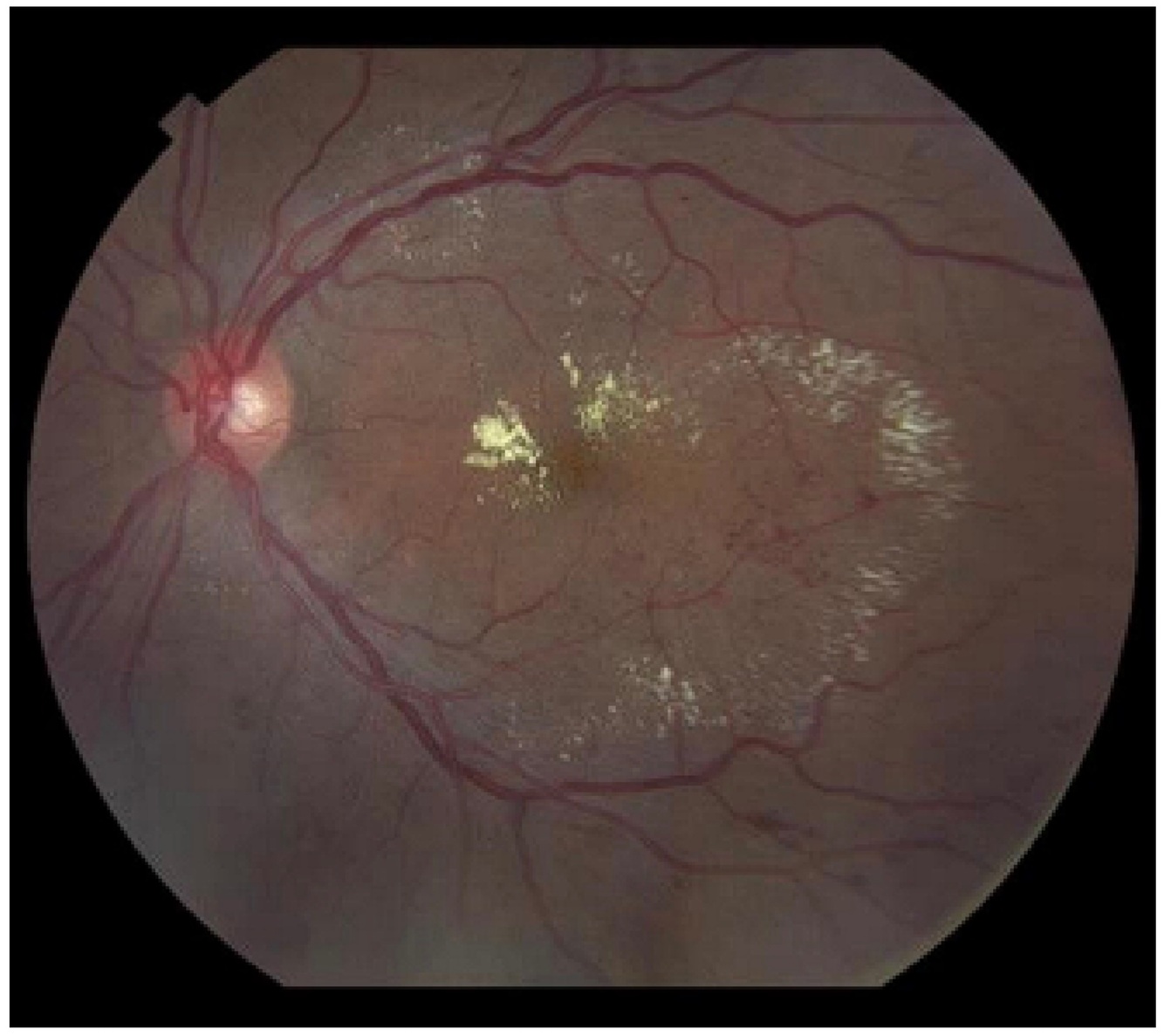
1
Q

Perda visual progressiva e indolor há 6 meses. DM, HAS e dislipidemia com controle irregular. Qual o diagnóstico da imagem?

A

Microhemorragias e exsudatos duros

(Fase exsudativa da retinopatia hipertensiva)

How well did you know this?
1
Not at all
2
3
4
5
Perfectly
2
Q

Qual o diagnóstico do ECG?

A

Taquicardia por reentrada nodal

(É um tipo de taqui supra)

How well did you know this?
1
Not at all
2
3
4
5
Perfectly
3
Q

Padrões de capnografia:

A
How well did you know this?
1
Not at all
2
3
4
5
Perfectly
4
Q

O que fazer com paciente que te fala que irá abortar?

A

Acolher sua decisão e orientar sobre os riscos dos métodos

How well did you know this?
1
Not at all
2
3
4
5
Perfectly