GO Flashcards

(9 cards)

1
Q

Nos exercícios de Kegel, qual a musculatura é exercitada?

A

Pubo-coccígea

How well did you know this?
1
Not at all
2
3
4
5
Perfectly
2
Q

Após a sutura da cúpula vaginal na histerectomia, qual próximo passo cirúrgico?

A

Sutura dos ligamentos útero-sacros à cúpula vaginal

How well did you know this?
1
Not at all
2
3
4
5
Perfectly
3
Q

Em CA de mama avançado, com comprometimento de linfonodo contalateral, qual a conduta inicial?

A

Tto neoadjuvante (quimioterapia primária)

How well did you know this?
1
Not at all
2
3
4
5
Perfectly
4
Q

O ácido mefenâmico é 1ª linha para tratamento de amenorreia?

A

Sim!

(É um AINE)

How well did you know this?
1
Not at all
2
3
4
5
Perfectly
5
Q

Na FIV, durante a estimulação hormonal para estimulação ovariana, qual a principal complicação associada?

A

Ascite e derrame pleural

How well did you know this?
1
Not at all
2
3
4
5
Perfectly
6
Q

Na suspeita de doença tireoidiana clinicamente manifesta ou de rastreio de hipotireoidismo, se o primeiro TSH vier alterado, o que fazer?

A

Repetir o TSH

How well did you know this?
1
Not at all
2
3
4
5
Perfectly
7
Q

Qual a conduta, diante de DPP com feto vivo, além da cesárea de urgência?

A

Amniotomia imediata

How well did you know this?
1
Not at all
2
3
4
5
Perfectly
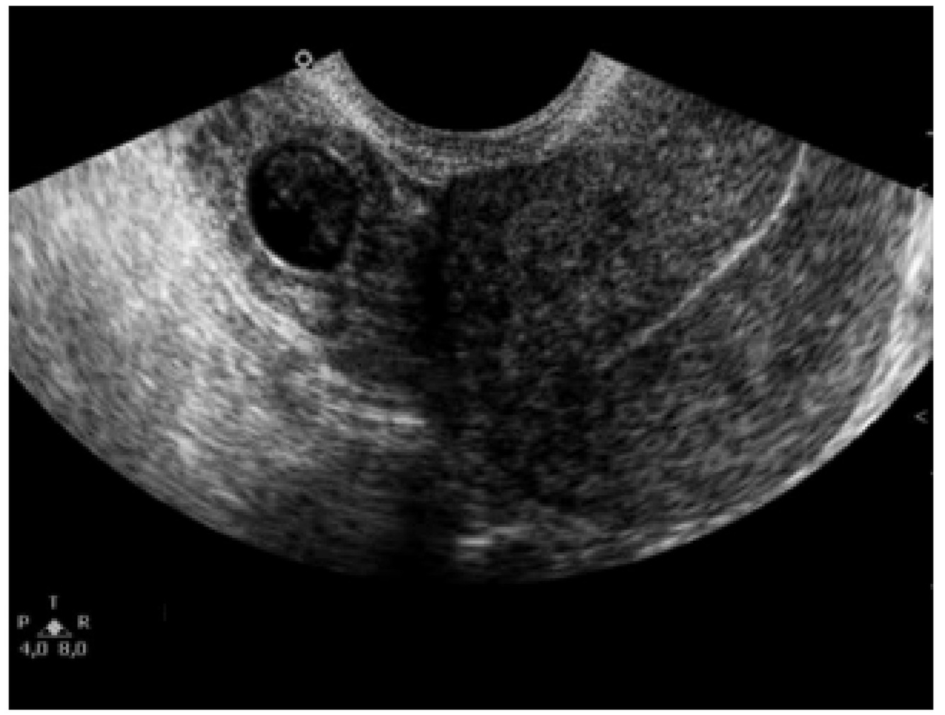
8
Q

Dor em FID, sangramento, beta-HCG positivo e USG abaixo. Qual o diagnóstico?

A

Gravidez ectópica

How well did you know this?
1
Not at all
2
3
4
5
Perfectly
9
Q

Para qual valor de ILA consideramos oligoâmnio?

A

ILA < 5,0

How well did you know this?
1
Not at all
2
3
4
5
Perfectly