CML Flashcards

(14 cards)

1
Q

epidemiology of CML

A

> male
40-60yrs at presentation
radiation exposure is a RF

How well did you know this?
1
Not at all
2
3
4
5
Perfectly
2
Q

Hx of CML

A

Lethargy/ hypermetabolism/ thrombotic event : monocular blindness CVA (plts may be increased), bruising bleeding

Massive splenomegaly +/- hepatomegaly
The spleen enlarged due to infiltration of cords and red pulp by granulocytes (which may even obliterate the white pulp)-the same process occurs in the liver hepatic sinusoids
In case of massive splenomegaly, splenic infarction may occur

How well did you know this?
1
Not at all
2
3
4
5
Perfectly
3
Q

if have massive liver adn spleen what disease thinking

A

myeloid so - CML or primary myelofibrosis

How well did you know this?
1
Not at all
2
3
4
5
Perfectly
4
Q

if massive liver, spleen and nodes what disease thinking

A

slow growing indolent lymphoid:
follicular lymphoma or CLL

How well did you know this?
1
Not at all
2
3
4
5
Perfectly
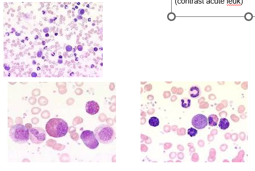
5
Q

blood in CML

A

Hb and platelets well preserved or raised (contrast acute leukaemia)
Massive leucocytosis 50-200x109/L

Blood film
* Neutrophils and myelocytes (precursers from marrow spilling into blood)
* Basophilia
* Leucocytosis between 50 – 500x109/l
* Mature myeloid cells
* No excess (<5%) myeloblasts

How well did you know this?
1
Not at all
2
3
4
5
Perfectly
6
Q

why do platelets fall in acute leukaemia

A

marrow is filled with primitive lineages
so all lineages fall
get immature cells leaking out

How well did you know this?
1
Not at all
2
3
4
5
Perfectly
7
Q

DNA of CML

A

philidelphia chr - t(9,22) - bcr-Abl

reciprocal translocation between chr 9 and 22 - move ABL oncogene to break point cluster region (Bcr) -> synthesis of abnormal protein (210kDa) with TK activity greater than normal ABL

ABL – tyrosine residue – important for signal translocation
New gene with constant activation of abl

site of bcr can influence the phenotype of the disease
In CML the breakpoint on the BCR gene is nearly always in the major breakpoint cluster region (M-BCR)

How well did you know this?
1
Not at all
2
3
4
5
Perfectly
8
Q

diagnostic technique to identify t(9,22)

A
  • Conventional Karyotyping
  • FISH metaphase or interphase karyotyping
  • RT-PCR amplification and detection

Can do in metaphase: prepare karyotype and stain with probe – diff colour for 9 and 22
Then find philidlphia and changed chr 9 where translocation has occurred – this is the diagnosis of CML

normal has 2 green and 2 red signals
yellow = fusion gene

L = metaphase preparation, R = interphase
How well did you know this?
1
Not at all
2
3
4
5
Perfectly
9
Q

PCR for dx of CML

A

Reverse transcription is converting mRNA -> cDNA then probe for mRNA
In normal cell – find Bcr cDNA and Abl cDNA using 3’ and 5’ for both abl and bcr
If instead, you use 3’able and 5’bcr – will not be able to amplify the bcr gene or abl gene
In CML – will get product – cDNA that crosses translocation – so have bcr at one end and abl at other – it must be cml.

How well did you know this?
1
Not at all
2
3
4
5
Perfectly
10
Q

natural hx of CML

A

3-4 hx of CML chronic phase:
* well
* making more granulocytes, if V high could have stroke, blindness, priapism
* Could give hydroxycarbamide and would live fine

Endless proliferation of granulocyte precurser gives rise to mutations -> more problematic subclones -> accelerated phase (6-12mo)

-> acquire mutation in differentiation programming genes -> AML (Occasionally can go from CML -> ALL)
* surival 3-6mo
* cells don’t mature,
* retain proliferation,
* marrow overwhelmed, thrombocytopenia ->
* die from neutropenia and gram –ve sepsis

How well did you know this?
1
Not at all
2
3
4
5
Perfectly
11
Q

what is imatinib

A

an Abl tyrosine kinase inhibitor
CML No longer transforming into blast transformation
not everyone will survive on it
all CML get started on imatinib - if get molecular response in 12-18mo outlook is good - likely to survive

How well did you know this?
1
Not at all
2
3
4
5
Perfectly
12
Q

assess response to imatinib

A

Haematological response
Complete Haematological Response WBC<10x109/l

Cytogenetic response (on 20 metaphases)
Partial 1-35% Philadelphia positive
Complete 0% Ph positive – got rid of the response at this level of detection

Molecular ( reduction in % BCR-ABL transcripts ie looking for fusion gene on PCR )
Much more sensitive - so can determine what proportion of cells have gone
BCR-ABL transcripts reduce 100% > 10% > 1% > 0.1%
Major Molecular response (MMR) <0.1% (3 log reduction)

How well did you know this?
1
Not at all
2
3
4
5
Perfectly
13
Q

treatment of CML

A

start oral TKI (Imatinib (1Gen,) Dasatanib Nilotinib (2G) Bosutinib (3G))
Monitor response FBC, Cytogenetics, RQ-PCR
if good response at 1 yr -> good 5yr survival
if fail - switch to 2nd or 3rd generation TKI
if fail again - allogenic SCT - if inadequate response/intolerant of 2nd generation TKIs or progression to accelarated/blast crisis

How well did you know this?
1
Not at all
2
3
4
5
Perfectly
14
Q

why are tyrosine kinases not a panacea

A

Failure to achieve CCyR
Non compliance
Side effects; fluid retention pleural effusions
Loss of MMR
* Acquiring abl point mutations -> resistance
* Evolution to blast crisis

How well did you know this?
1
Not at all
2
3
4
5
Perfectly