transfusion reactions Flashcards

(32 cards)

1
Q

what are the acute transfusion reactions

A

Acute haemolytic (ABO incompatible)
Allergic/anaphylaxis
Infection (bacterial)
Febrile non-haemolytic
Respiratory
* Transfusion associated circulatory overload (TACO) more common than TRALI
* Acute lung injury (TRALI)

How well did you know this?
1
Not at all
2
3
4
5
Perfectly
2
Q

timeframe of an acute transfusion reaction

A

less than 24 hrs

How well did you know this?
1
Not at all
2
3
4
5
Perfectly
3
Q

timeframe of a delayed transfusion reaction

A

more than 24hrs

How well did you know this?
1
Not at all
2
3
4
5
Perfectly
4
Q

what are the delayed transfusion reactions

A

Delayed haemolytic transfusion reaction (antibodies)
Infection - viral, malaria, vCJD
TA-GvHD
Post transfusion purpura
Iron overload

How well did you know this?
1
Not at all
2
3
4
5
Perfectly
5
Q

what is ‘serious hazards of transfusion’

A

SHOT is a national reporting scheme for serious hazards of transfusion
Reports submitted by country and trends of error reports from different departments – rising in ED / theatres

Voluntary reporting

serious hazards divided into:
* pathological reactions - may not be preventable
* reactions probably/possibly preventable
* hazard caused by error

A+E is where mistakes happen commonly

How well did you know this?
1
Not at all
2
3
4
5
Perfectly
6
Q

presentation of an acute reaction

A

rise in temp
rise in HR
fall in BP

sx can include:
* Fever,
* rigors
* flushing,
* vomiting,
* dyspnoea,
* pain at transfusion site,
* loin pain/ chest pain,
* urticaria,
* itching,
* headache,
* collapse

How well did you know this?
1
Not at all
2
3
4
5
Perfectly
7
Q

monitoring for a transfusion

A

Baseline temp, pulse, respiratory rate, BP before transfusion

Repeat after 15 mins (as most, but not all, reactions will start within 15 mins) -if obs have changed - need to stop - could be ABO/anaphylaxis

Ideally repeat hourly and at end of transfusion (as occasionally reactions start after transfusion finished)

How well did you know this?
1
Not at all
2
3
4
5
Perfectly
8
Q

summarise febrile non-haemolytic transfusion reaction

A

mild/mod
During / soon after transfusion (blood or platelets),
rise in temperature of 10C, chills, rigors

Common before blood was leucodepleted, now rarer

Have to stop or slow transfusion; may need to treat with
paracetamol - likely can re-start transfusion

Cause: White cells can release cytokines during storage

How well did you know this?
1
Not at all
2
3
4
5
Perfectly
9
Q

summarise allergic transfusion reactions

A

common - esp plasma
mild/mod

uriticarial itchy rash
wheeze

during or after transfusion

have to stop/slow transfusion
IV antihistamines - treat and future prevention

cause
* allergy to plasma protein
* more common if have atopy/allergies

How well did you know this?
1
Not at all
2
3
4
5
Perfectly
10
Q

summarise the transfusion reaction when wrong blood is transfused

A

severe fatal - shock
acute intravascular haemolysis - IgM

  • restless
  • chest/loin pain
  • fever
  • vomiting
  • flushing
  • collapse
  • haemoglobinuria (later)
  • low BP
  • high HR
  • high temp

stop transfusion
check blood and pt
samples for FBC, biochem, coag
repeat X-match and DAT

cause
* failure of bedside check
* wrong label
* lab error

How well did you know this?
1
Not at all
2
3
4
5
Perfectly
11
Q

summarise bacterial contamination

A

severe/fatal

shock - low BP, high HR, temp
presents similar to ABO incompatability

cause
* bacterial growth -> endotoxin production -> collapse
* donor infection
* introduced in processing - env/skin
* plts > red cells > frozen (storage temp)

How well did you know this?
1
Not at all
2
3
4
5
Perfectly
12
Q

how do we prevent bacterial contamination

A

donor questioning
clean arm
division of 1st 20ml into pouch - used for testing

look for abnormalities in bag - clumps, debris, brown plasma

if red cells out of fridge for 30 min - need to go back in for 6hrs
complete transfusion within 4h of leaving the fridge

plts - screen for bacteria before release, transfuse over 20mins

How well did you know this?
1
Not at all
2
3
4
5
Perfectly
13
Q

summarise anaphylaxis as a transfusion reaction

A

severe/fatal
soon after start of transfusion

shock - low BP, high HR temp
breathless
wheeze
laryngeal and facial oedema

How well did you know this?
1
Not at all
2
3
4
5
Perfectly
14
Q

mechanism of anaphylaxis after a blood transfusion

A

IgE Ab -> mast cell release of granules and vasoactive substances

How well did you know this?
1
Not at all
2
3
4
5
Perfectly
15
Q

anaphylaxis with IgA deficiency

A

common
IgA ab form in response to IgA esp with plasma transfusion

minority have transfusion reactions

If IgA deficient – can get hold of appropriate blood but need warning

How well did you know this?
1
Not at all
2
3
4
5
Perfectly
16
Q

transfusion related circulatory overload

A

TACO

present within 6hrs
like pul oedema
SOB
low sats
high HR and BP

CXR - fluid overload/cardiac failure
mod/severe/fatal

need to assess before transfuse
give diuretics before transfuse to make space if at risk

17
Q

cause of TACO

A

inattention to fluid balance

RFs:
* HF
* resp disease
* renal impairment
* hypo-albuminaemia (liver disease)
* fluid replacement
* diuretics
* v young
* v small
* old

18
Q

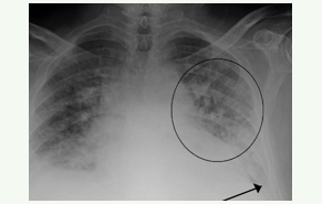
transfusion related acute lung injury

A

TRALI
severe/fatal
within 6hrs
sx similar to TACO
acute lung injury/ARDS
SOB
low sats
high HR BP

CXR - bilateral pul infiltrates

19
Q

mechanism of TRALI

A

anti- white cell Ab in donor (HLA or neutrophil Ab)
-> interact with ag in pt
-> aggregate white cells
-> stuck in pulmonary capillaries
-> release neutrophil proteolytic enzymes and toxic ox metabolites
-> lung damage

20
Q

prevention of TRALI

A

male donors for plasma and platelets
no pregnancy or transfusion - so no HLA/HNA Ab

21
Q

transfusion related reaction - infection

A

mo-yrs after transfusion
prevention - question donors, never 0 risk
Hep B > HIV > Hep C

All tested for Hep B, HIV, Hep C E HTLV1 CMV western nile virus, zika virus

22
Q

CMV infection after transfusion

A

v immunosuppressed (stem cell pt)
fatal

leucodepletion removes CMV

only give CMV -ve for pregnant women, and neonates

23
Q

parvovirus infection after transfusion

A

temporary red cell aplasia

affects foetus and pts with haemolytic anaemia

24
Q

v-CJD infection after transfusion

A

no test

exclude transfused patients as donors just in case

25
delayed haemolytic transfusion reaction
mild/mod 1-3% transfused get ab to red cell ag that the7 lack -> **alloimmunisation** if have another transfusion with same ag - Ab -> RBC destruction -> **extravascular haemolysis (IgG) -> takes 5-10days**
26
tests for delayed haemolytic transfusion reaction
high - BR, LDH, reticulocytes low - Hb DAT +ve haemoglobinuria UEs repeat G&S for new Ab
27
transfusion associated graft vs host disease mechanism
rare but always fatal - death wks-mos donor blood contain some lymphocytes -> divide normally donor's immune system recognise them and kill in immunosuppressed - cant lymphocytes recognise pt's HLA as foreign - attack gut, liver, disease, skin and marrow
28
features of transfusion associated graft v host disease
severe diarrhoea, liver failure, skin desquamation, bone marrow failure death
29
prevention of transfusion associated graft v host disease
irradiate blood components for v immunosuppressed or pts having HLA matched components
30
post-transfusion purpura
appear 7-10 days after blood/plts resolve in 1-4wks can -> life threatening bleeding affects **HPA-1a -ve pts** (prev immunised by preg/transfusion: anti-HPA-1a Ab) mech: * ?exact mechanism of own platelet destruction, as HPA-1a negative! * ?innocent bystander mechanism **Treatment – infusion of IVIG**
31
immune modulation post-transfusion
Possible increased rate of infections post-op increased recurrence of cancers in patients who have blood transfusion
32
iron overload post-transfusion
If lots of transfusion (e.g. >50 e.g. Thalassaemia / Sickle cell disease ) **accumulate iron (not excreted)**; 200-250mg of iron per unit of blood -> **organ damage - liver, heart, endocrine** etc **Prevent by iron chelation (Exjade)** with transfusions **once ferritin >1000**